Removable Orthodontic Appliance
Advantages of removable orthodontic appliance
• Removable nature of appliance make it possible for the patient to maintain good oral hygiene during treatment• take less chair side time for orthodontics , as they are fibricated in labrotary
• Damaged appliances can be removed by patients .• Apparently simple to fabricate, use and adjust. Hence require
minimal chair time• Less orthodontic scars compared to fixed appliances such as
decalcification, caries under molar bands and white spots aroundbonded brackets and gingivitis.
• Cost-effective
• Efficient to use for certain type of tooth movements
• Removable appliances are the appliances of choice inthe first stage of the correction of a posterior crossbite
• They are used commonly during mixed dentition for
treatment of a variety of interceptive procedures. If oneconsiders the factors of risk and the relationship between
work volume and effect, removable appliances deserve
preference.
Disadvantages
• Not effective with uncooperative patient
• Only treat the minor cases of malocclusion
• Only capable of tipping tooth movement• Limited control over tooth movement
• Only certain types of malocclusion can be corrected.• Tooth movement in three dimensions is not possible.
• May hinder with speech and eating• Appliances may be lost or broken
• Residual monomer of acrylic resin may cause allergy and/orirritation.
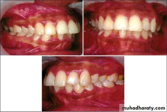
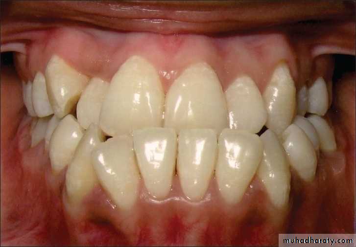
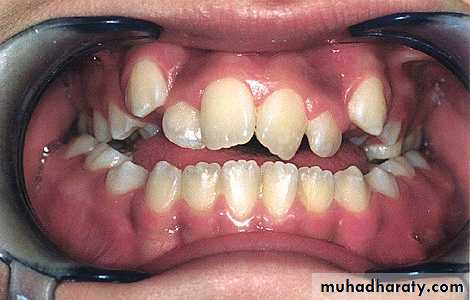
indications
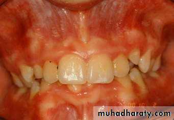
• Incisor inclinition• To treat arch individually
• Narrow arches
• Unilateral cross bite
• Single malpositioned teeth
• Bite correction
• Bad habits
indications
Incisor inclinition
Incisor proclinition
indicationsIncisor inclinition






























