Anatomy of knee joint
OSTEOARTHRITIS
The knee is the commonest of the large joints to be affected by osteoarthritis .Often there is a predisposing factor(secondary): injury to the articular surface, a torn meniscus, ligamentous instability or preexisting deformity of the hip or knee, to mention a few. However, in many cases no obvious cause can be found (primary).RISK FACTOR
genetic component. Curiously, while the male:female distribution is more or less equal in white (Caucasian).peoples, black African women are affected far more frequently than their male counterparts.
Pathology
1-Cartilage breakdown usually starts in an area of excessive loading.2-changes are most marked in the medial compartment narowing of joint space.(varus)
3- sclerosis of the subchondral bone and peripheral osteophyte formation Chondrocalcinosis is common.
4- capscular fibrosis.
PATHOLOGY OF OA
Clinical features
Age :Patients are usually over 50 years old; they tend to be overweight and may have longstanding bow-leg deformity.Pain is the leading symptom, worse after use, or on stairs. After rest, the joint feels stiff and it hurts to ‘get going’ after sitting for any length of time. Swelling is common, and giving way or locking may occur.
On examination there may be an obvious deformity (usually varus) or the scar of a previous operation. The quadriceps muscle is usually wasted.
Except during an exacerbation, there is little fluid and no warmth; nor is the synovial membrane thickened (effusion).
Movement is somewhat limited and is often accompanied by patello-femoral crepitus.
The natural history of osteoarthritis is one of alternating ‘bad spells’ and ‘good spells’.
X-ray
The anteroposterior x-ray must be obtained with the patient standing and bearing weight; only in this way can small degrees of articular cartilage thinning be revealed.1-The tibio-femoral joint space is diminished
(often only in one compartment) and there is
2-subchondral sclerosis.
3-Osteophytes and
4- subchondral cysts
5-chondrocalcinosis are usually present and sometimes there is soft-tissue calcification in the suprapatellar region or in the joint
itself
X-ray Non weight bearing
X-ray weight bearing
Treatment
A-CONSERVATIVE TREATMENT:1-Joint loading is lessened by using a walking stick.
2-Quadriceps exercises are important.
3-Analgesia like NSAIDs .
4-physiotherapy like heat ( short wave or infrared therapy) ,message ..etc.
5-A simple elastic support may do wonders, probably by improving proprioception in an unstable knee.
6-Intra-articular corticosteroid injections will often relieve pain, but this is for short duration.
7-intra articular intra-articular injection of hyalouranic acid or platelet rich plasma is anew modalities with oral of glucosamine.
OPERATIVE TREATMENT
Persistent pain unresponsive to conservative treatment, progressive deformity and instability are the usual indications for operative treatment:-
1-Arthroscopic washouts, with trimming of degenerate meniscal tissue and osteophytes, may give temporary relief.
2- Realignment osteotomy is often successful in relieving symptoms and staving off the need for ‘end-stage’ surgery. The ideal indication is a ‘young’ patient
(under 50 years) with a varus knee and osteoarthritis
confined to the medial compartment: a high tibial valgus
Osteotomy.
3-Replacement arthroplasty is indicated in older
patients with progressive joint destruction. This isusually a ‘resurfacing’ procedure, with a metalfemoral condylar component and a metal-backed polyethylene table on the tibial side.
Lesions of the menisci
Meniscal tearsThe menisci have arole in(1)increase the stability of the knee,(2)controlling the complex rolling and gliding actions of the joint and(3)distribution load during movement.
Tears are common in young adults,it split in its length by aforce grinding it between the femur and the tibia,this occur when weight is being taken on the flexed knee and there is twisting strain in young (footballers).
Medial meniscus is affected more than lateral because its attachments to the capsule make it less mobile.
Acute tears are often related to trauma, most frequently as a result of a twisting motion.Most common in active people aged 10–45.
Anatomy of meniscus
Types of tears :-
1-Vertical tears like (a)bucket-handle tears when split vertical but still attached anterioly and posteriorly;(b)anterior or posterior horn tears when afree fragment remains attached anteriorly or posteriorly.2-Horizontal tears are usually degenerative or due to repetitive minor trauma ,may be associated with meniscal cysts.
Most of meniscus is avascular and spontaneous repair does not occur unless the tear is in outer third which is vascularized from the capsule. The loose tags act as amechanical irritant,which give rise to recurrent synovitis ,effusion and secondary osteoarthritis .
Meniscal tears
Clinical features:-
The patient is young age with history of twisting injury to the knee on sport field. Pain is severe and occasionally the knee is locked in partial flexion; swelling some hours later.With rest the initial symptoms subside and recur after trivial strains or twists;sometimes the knee gives way and again followed by pain and swelling.
If the patient is over 40 with no history of trauma,the main complaint is of recurrent giving way or locking.
Locking is a sudden inability to extend the knee fully suggests abucket-handle tear.
On examination ; the joint may be held slightly flexed and effusion,tenderness localized to the joint line on medial side;later on there's wasting of the quadriceps ;Apley's grinding test may be positive.
Imaging :-
Plain x-ray are normal but MRI are reliable method for diagnosis that are missed by arthroscopy .Arthroscopy :-
It has advantage that if a lesion is identified ,it can be treated as the same time .
Treatment :-
In the past, meniscal tears were treated by open operation;nowadays arthroscopic surgery is preferable.
For the peripheral tears,operative repair is feasible otherwise displaced portion should be excised(partial or complete meniscectomy).postoerative physiotherapy is an important part of the treatment.
Investigation
Meniscal cysts
A meniscal cyst can be likened to ganglion because it contain gelateneous fluid and surrounded by fibrous tissue.Its probably traumatic in origin, arising from either asmall horizontal tear or repeated squashing of the peripheral part of the meniscus.The patient presents with pain, and a small lump can be seen and felt,usually on the lateral side of the joint;it may feel firm or tense particularly when the knee is extended.
If it's symptomatic,the cyst can be decompressed or removed arthroscopically;any meniscal lesion can be dealt with same time.
Knee deformity :-Bow legs(Genu varum)and Knock knees(Genu valgum)BY the end of growth, the knees are normally in 5-7 degrees of valgus,so any thing more or less than that would be classified as deformity.In general,deformity is usually can be noticed by simple observation,this is best done with the Bilateral genu varum(bow leg) can be recorded by measuring the distance between the knees with the legs straight and the medial malleoli just touching;it should be less than 6 cm.Genu valgum(knock knee) can be recorded by measuring the distance between the medial malleoli when the knees are held touching with patellae facing forwards;it is usually less than 8 cm. patient standing and bearing weight.
Genu varum and valgum
In children these deformities are so common that are consarsidered normal stages of development,most correct spontaneously by the age of 10-12.
Treatment is unnecessary but reassured the parents and the child should be seen at intervals of 6months to record progress.If the deformity is still marked,by the ageof 10 years so operative correction is needed by:-
1-stapling one side of the physis to slow growth on that side(epipheseodesis). 2-osteotomy ,at a later stage.
Bone dysplasias and rickets are associated with more intractable deformities which needed operative correction.
Blount's disease is aprogressive bow leg deformity associated with abnormal growth of the posteromedial part of the proximal tibia, children are often overweight and start walking early;deformity is usually bilateral and rotational element.
ethe epiphysis.spontaneous resolution is rare and operative correction is usually needed.
Valgus and varus deformities in adults –especially if they are unilateral are likely due to rheumatoied arthritis(valgus) or osteoarthritis(varus).
Treatment :slight deformity can be well tolerated but if the deformity is marked or associated with instability,it can be corrected by joint reconstruction or supracondylar femoral osteotomy for valgus and high tibial osteotomy for varus .
Osteochondritis (Osteochondrosis)
Its agroup of conditions in which there is compression,fragmentation or separation of small segment of articular cartilage and bone ,there's afeatures of ischemic necrosis with death of bone cells and reactive vascularity and osteogenesis in the surrounding bone;despite the name,there are no signs of inflammation.It occurs mainly in adolescents and young adults
Causes:-
It occurs during phases of increased physical activity and may be initiated by trauma or repetitive stress ,however there's other predisposing factors(multifocal or familial)
Ther are three types of Osteochondritis :-
1-crushing Osteochondritis.
2-splitting Osteochondritis(Osteochondritis dissecans).
3-pulling osteochondritis(traction Osteochondritis).
Crushing Osteochondritis
it's characterized by spontaneous necrosis of the ossific nucleus in long bone epiphesis or one of the cuboidal bones of the wrist or foot.
The pathological changes are the same as those in other forms of osteonecrosis : bone death,fragmentation or distortion of the necrotic segment and reactive new bone formation around the ischemic trabeculae.
Clinical features :
Pain and limitation of joint movement are the usual complaints. Tenderness is sharply localized to the affected bone.X-rays show the characteristic increased density,accompanied in the later stages by distortion and collapse of the necrotic segment.
Examples of crushing Osteochondritis are Freiberg's diseases of the metatarsal ; Kohler's disease of the navicular ; Kienbock's disease of the carpal lunate ; Panner's disease of the capitulum and Scheuermann's disease (vertebral Osteochondritis ).
Treatment is conservative(analgesia and splintage) rarely need operation .
splitting Osteochondritis(Osteochondritis dissecans)
a small segment of articular cartilage and the subjacent bone may separate(dissect) as an avascular fragment.it occur typically in young adults usually men and affects particular sites: the lateral surface of the medial femoral condyle in the knee , the anteromedial corner of the talus , the superomedial part of the femoral head , the humeral capitulum and the first metatarsal head.
The cause is almost certainly repeated minor trauma resulting in osteochondral fracture of a convex surface;the fragment loses its blood supply.
The knee is the commonest joint to be affected with intermittent pain,swelling,joint effusion,locking of the joint and giving way.
X-rays show the dissecting fragment is defined by the radiolucent line of the demarcation,when it separates,the resulting (crater).
The early changes are better shown by MRI;there's decreased signal intensity in the area of the affected osteochondral segment.
Radionuclide scanning with 99mTc-HDP show markedly increased activity in the same area.
Treatment in the early stage consist of load reduction and restriction of the activity. In children,complete healing may occur(up to 2 years).
In adult,it is doubtful,however it is generally recommended that partially detached fragments are pinned back in position(by arthroscopy in the knee joint), if the fragment becomes detached and causes symptoms ,it should be fixed back in position or else completely removed .
pulling osteochondritis(traction Osteochondritis)
there's localized pain and increased radiographic density in an unfused apophysis may result from tensile stress on the physeal junction.
Ther are two sites: tibial tuberosity(Osgood-Schlatter's disease)and the calcaneal apophysis(Sever's disease); both are subject to unusual traction forces from powerful tendons which insert into the apophysis junction .
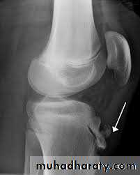
Osgood-Schlatter Disease
Osgood-Schlatter (OS) disease is more appropriately described as a disorder or a condition. Osgood, in the English literature, and Schlatter, in the German literature.
OS condition is a traction phenomenon resulting from repetitive quadriceps contraction through the patellar tendon at its insertion upon the skeletally immature tibial tubercle. This occurs in preadolescence during a time when the tibial tubercle is susceptible to strain. OS condition should be distinguished from overuse of the patella-patellar tendon junction, which is referred to as Sinding-Larsen-Johansson syndrome (the adolescent equivalent of jumper's knee).
Etiology:
The etiology of OS condition is controversial. Several causes have been hypothesized. The most likely cause is that the apophysis is subject to traction during the adolescent years, which can result in microfractures. The tibial tubercle apophysis appears in children aged 7-9 years. Usually, an apophysis develops proximally toward the epiphysis as the epiphysis grows distally toward the apophysis. Repeated traction from the patellar tendon can cause microfractures in the apophysis.Clinical features:
Obtaining the individual's history and performing a physical examination are usually sufficient for the physician to make a diagnosis of OS condition.OS condition is the most frequent cause of knee pain in children aged 10-15 years. Patients present with a history of pain inferior to the patella at the insertion of the patellar tendon. Typically, individuals report a sport or other activity that aggravates the pain, which generally is improved with rest and worsened with activity. While any activity may be involved, sports involving jumping or running are a common cause.Physical findings are limited to the area of the tibial tubercle and patellar tendon. Generally, there is a prominence and soft tissue swelling over the tibial tubercle. Tenderness of the patellar tendon may be present. The remainder of the knee examination usually is normal. Attempted flexion against resistance may produce pain. Patients may resist knee flexion because of inflammation and pain from pull on the patellar tendon. Tight hamstrings and/or quadriceps may also be noted when compared to the uninvolved side.
Imaging Studies:
While radiographs are not essential, they usually are obtained. Radiographs show fragmentation of the tibial tubercle apophysis and, at times, a separate ossicle.
TREATMENT: Medical therapy:-
Most patients respond to conservative care that consists of rest and avoidance of the offending activity. Stretching of the quadriceps and hamstrings before engaging in athletics may be helpful. Applying ice after physical activity may decrease swelling and pain. Immobilization by casting or bracing usually is unnecessary except in severe cases. Nonsteroidal anti-inflammatory drugs may be used but have not been shown to decrease the course of the disease. Steroidal injections should not be used. Other than the presence of an ossicle that causes pain with kneeling, there are no long-term disabilities or problems associated with this condition.Surgical therapy:-
Surgery to treat OS condition is rarely indicated. Occasionally, adults have a large ossicle and an overlying bursa, which may cause pain with kneeling. If so, treatment consists of excision of the bursa, ossicle, and any prominence. Surgical treatment is rarely, if ever, indicated in children.
OUTCOME AND PROGNOSIS :
OS condition has a natural history that is self-limiting. In the Krause study (1990), 90% of patients were relieved of all their symptoms approximately 1 year following onset of symptoms with conservative care. Occasionally, patients may have continued problems kneeling into adulthood or have a tender ossicle and/or bursa that may require resection.Chondromalacia patellae(patellofemoral overload syndrome)
The syndrome of anterior knee pain and patellofemoral tenderness is common among active adolescents and young adults.Parthenogenesis:-
The basic disorder is due to mechanical overload of the patellofemoral joint which due to :
1-malcongruence of patellofemoral surfaces(abnormal shape of patella or intercondylar groove).
2-malalignment of the extensor mechanism or relative weakness of the vastus medialis which causesthe patella to tilt or subluxate during flexion and extension.
Pathology:
Patellofemoral overload leads to both changes in articular cartilage and the subchondral bone.
Articular cartilage :-there's softing and fibrillation of articular surface of patella.
Subchondral bone:- there's reactive vascular congenstion(apotent cause of pain).
Clinical features :
The patient is usually a teenage girl or an athletic young adult ,complains of pain over the front of the knee or underneath the knee-cap. Symptom are aggravated by activity or climbing stairs, or when standing up after prolonged sitting. The quadriceps may be wasted and there may be asmall effusion.
Patellofemoral pain is elicited by pressing the patella against the femur and asking the patient to contract the quadriceps-first with central pressure, then compressing the medial facet then the lateral. If in addition, the apprehension test is positive, this suggest previous subluxation or dislocation.
Imaging :
x-ray examination should include skyline views of patella, which may show abnormal tilting or subluxation, and a lateral view with knee partly flexed to see if the patella is high or small.The most accurate way of showing and measuring patellofemoral malposition is by CT or MRI with the knees in full extension and varying degrees of flexion.
Arthroscopy:
Cartilage softening is common in asymptomatic knees and painful knees may show no abnormality. However, arthroscopy is useful in excluding other causes of anterior knee pain.Differential diagnosis of anterior knee pain :
1-Referred from hip.
2- Patellofemoral disorders (patellar instability, patellofemoral overload, patellofemoral osteoarthritis, osteochondral injury).
3-Joint disorders (osteochondritis dissecans, loose
body in the joint, synovial chondromatosis ).
4-Periarticular disorders(patellar tendinitis, patellar ligament strain, bursitis, Osgood-Schlatter's disease
Treatment:
In the vast majority of cases the patient will be helped by adjustment of stressful activities and physiotherapy and reassurance that most patints recover. Exercises are directed at strengthening the medial quadriceps so as to counterbalance the tendency to lateral tilting or subluxation of the patella.If the symptoms persist, surgery can be considered-lateral release, or lateral release combined with one of the realignment procedures:
1-proximal realignment with vastus medialis reefing.
2-distal realignment with transposition of the lateral half of the patellar ligament towards medial side or through transposition of patellar ligment insertion(tibial tubercle).other procedures like chondroplasty(shaving of patellar articular surface by arthroscopy or lastly patellectomy.


































