Practical pathology
(Wound healing)الاعداد :ست زينب نورالدين
باشراف دكتورة سوزان
1
231
باثو عملي / ثالث اسنان كركوك
د.زينب
11/1/2018
2
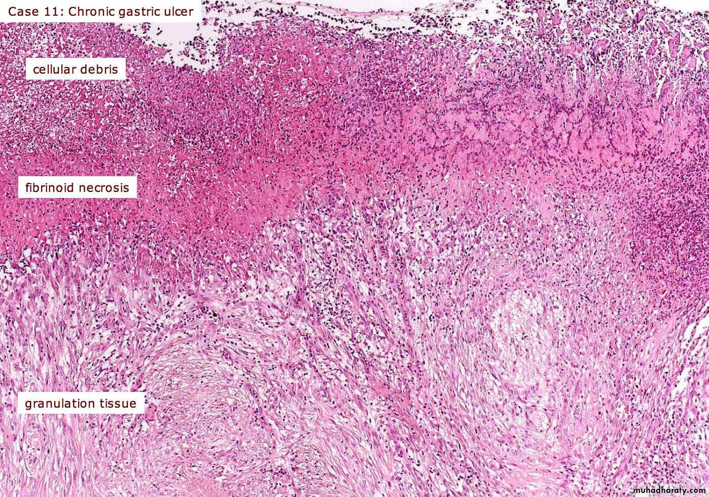
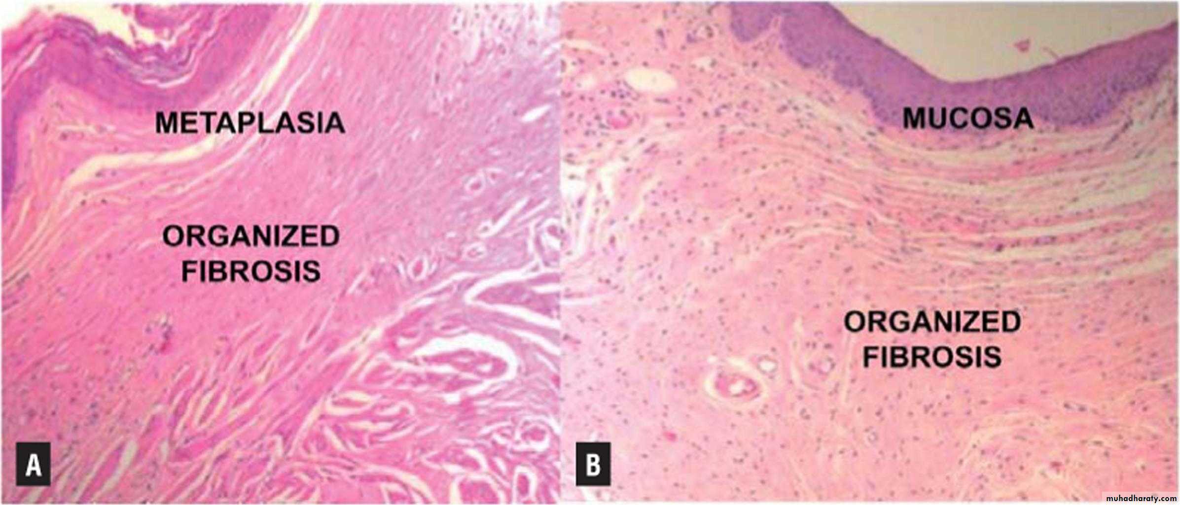
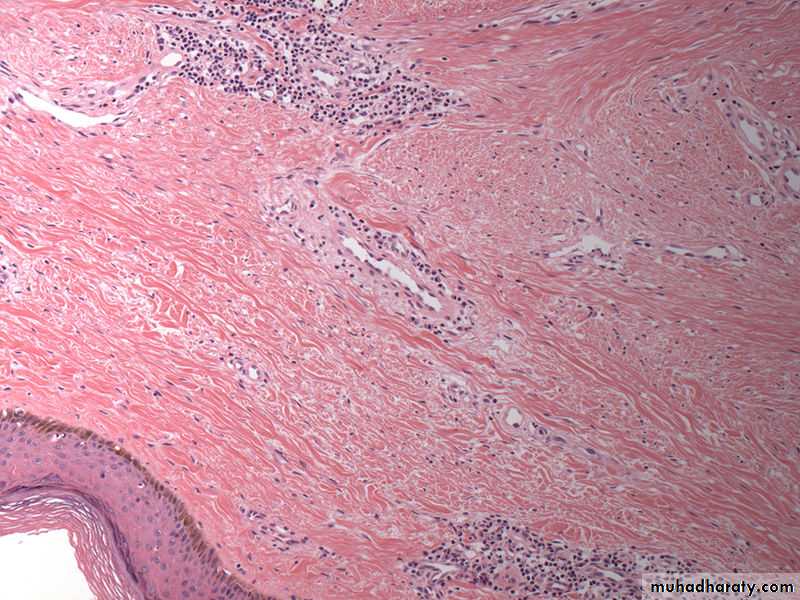
Wound healing
granulation
scarwound
Wound healing3
Healing or is tow types :
1-Primary healing ;- in clean simple wound like simple surgical wounds , the scar formation will be minimum.
2-Secondary healing;- large wounds like car accident or bullet injury , it will take longer healing time and will produce large scar
*Inordinate deposition of extracellular matrix, mostly excessive collagen, at the wound site results in a hypertrophic scar.
4
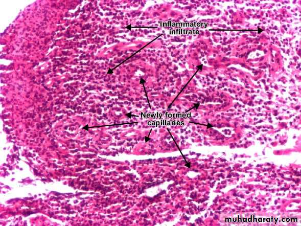
Granulation tissue
It is part of the healing process of wounds and is consist of newly formed blood vessels (angiogenesis) and recruitment of fibroblast to the sight of injury and collagen fibers deposition that lead to make a mesh , it start from bottom and sides of the wound
5
6
7
8
9
10
11
12
13
scar
1415
16
17
18
19
20
21
22
23
24
25
26
27
28
29
Practical pathology
الاعداد : ست زينب نورالدينباشراف : دكتورة سوزان
ACTINOMYCES
30
what is Actinomycosis?
Actinomycosis is a slowly progressive rare bacterial chronic infection involving the jaw, thorax, or abdomen.
The disease is caused by a number of anaerobic bacteria termed Actinomyces, and the most common is Actinomyces israelii.
These organisms are branching, filamentous, gram-positive , non acid fast bacilli
31
causes
Actinomyces is from opportunistic normal flora of mouth ,
1-if there was any breakage or injury in the tissue like in accidental conditions or because of dental procedures2- if there was severe immunity depression and if there was another infection , Actinomyces will act as
opportunistic organism and will cause the disease
يعني اذا كان هناك التهاب معين و نزل بسببه المناعة فان هذا البكتريا راح يستغل الفرصة و يسوي هو هم التهابات
** 70% of the pathology happen in mouth
3- bad oral hygiene like in surgical conditions in mouth where the patient cannot maintain good oral hygiene
32
clinical signs
abcess formation in mandible or maxilla and they usually break through the skin and discharge through one or more openings (sinus formation). And lumpy jaw , and most important thing is presence of yellow granules of sulfur in the culture media of
Actinomyces and tuberculosis are similar in some signs like abscess (sinus) opened to outside in cervicofacial surface
33
Very impotent note
sinus formation is from cardinal signs of T.B
** main difference between the actinomycosis and T.B , is that there is no necrosis in actinomycosis34
35
36
37
38
39
40
41
42
43
44
45
46
47
Practical pathology
(Lipoma)اعداد ست زينب نور الدين
باشراف دكتورة سوزان
48
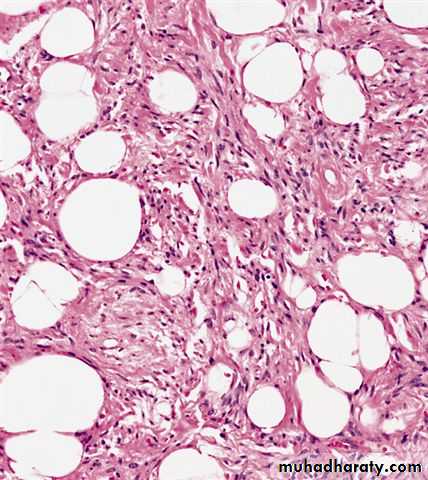
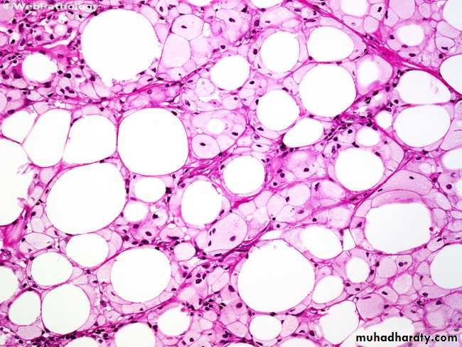
What is lipoma?
Lipomas are soft, fatty lumps that grow under the skin. They're harmless and can usually be left alone if they're small and painless.
Lipomas are non-cancerous (benign) and are caused by an overgrowth of fat cells. They can grow anywhere in the body where there are fat cells, but are usually seen on the:
neck, chest ,arms, shoulders
49
What is lipoma?
They feel soft and "doughy" to touch and range from the size of a pea to a few centimeters across. They grow very slowly and don't usually cause any other problems.
Occasionally, lipomas can develop deeper inside the body, so you won't be able to see or feel them
50
51
52
53
Practical pathologyNASAL POLYP
الاعداد :ست زينب نورالدينباشراف دكتورة سوزان
54
What is nasal polyp?
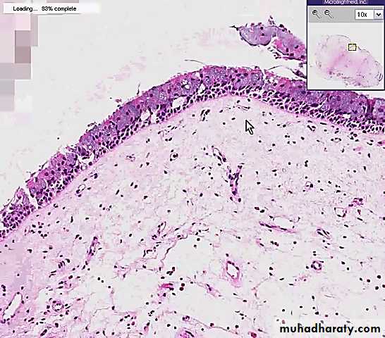
Nasal polyps it is chronic inflammatory process cause abnormal lesions that originate from any portion of the nasal mucosa or paranasal sinuses. Polyps are an end result of varying disease processes in the nasal cavities
_ nasal polyp in histology: is lose connective tissue and inflammatory cells surrounded by psedostratified columner epithelium , but if it happened in the back of the nose will be ciliated epithelium
55
signs and symptoms
if the flu persist more than one month may indicate nasal polyp that present in sinuses and presented like rhinosinusitis
Sometimes presented with facial pain
56
Causes are
1- one of the complications of plastic surgeries is nasal polyp because it will cause destruction of tissue of nose
2- Hay fever which is seasonal may cause nasal polyp
nasal polyp can cause obstruction of the nose so the patient will breath from his mouth , not from the nose and this will cause dry mouth which will lead to dental caries
57
Normal nasal cavity
58
59
60
Nasal polyp after surging
61
62
Nasal polyp under the microscope
63
64
Epithelial. cell and goblet cells
Loos connective tissue65
66
67
68
69
70
Multiple nasal polyp
71
72

























































