idding pptx - عملي
دخول
الرئيسية
المحاضرات
البحث
اختبرني
مكتبة علوم
تطبيقات
المترجم الطبي
أمراض
idding
رقم المحاضرة:
2
بتاريخ
2018-01-12
أمراض
-
عملي
جامعة كركوك
>
كلية طب الأسنان
>
المرحلة الثالثة
مواضيع المحاضرة:
قراءة
عرض
Practical pathology
الاعداد : ست زينب نورالدين
باشراف
دكتورة سوزان
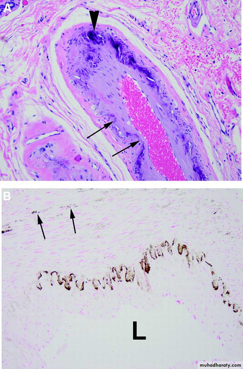
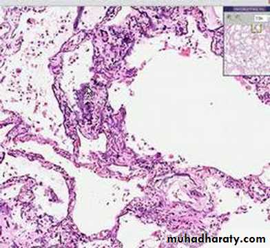
CALCIFICATION
What is the calcification
It is abnormal deposition of calcium salts inside the cell.
رفعت المحاضرة من قبل:
أوس الشرقي
المشاهدات: لقد قام 7 أعضاء و 169 زائراً بقراءة هذه المحاضرة
تسجيل دخول
أو
عبر الحساب الاعتيادي
الرجاء كتابة البريد الالكتروني بشكل صحيح
البريد الالكتروني
الرجاء كتابة كلمة المرور
كلمة المرور
دخول
لست عضواً في موقع محاضراتي؟
اضغط هنا للتسجيل