قراءة
عرض



idding

Practical pathology

الاعداد : ست زينب نورالدين
باشراف
دكتورة سوزان


idding

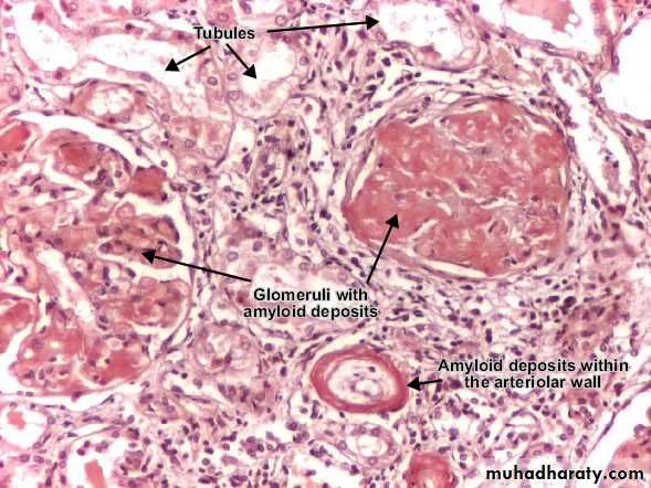
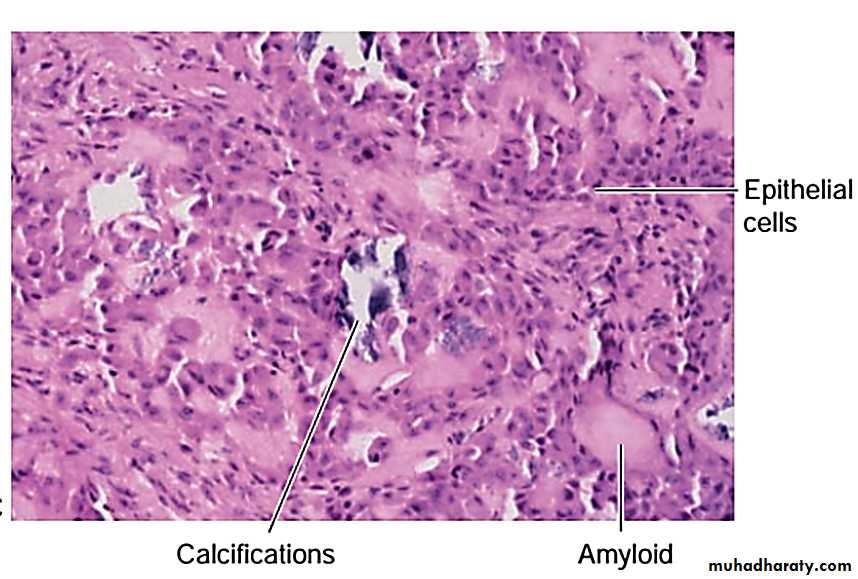
Amyloidosis

idding




idding





idding




idding




idding




idding




idding





idding




idding




idding




idding




idding





idding




idding




idding




idding




idding




idding





idding




idding





رفعت المحاضرة من قبل: أوس الشرقي
المشاهدات: لقد قام 5 أعضاء و 160 زائراً بقراءة هذه المحاضرة








تسجيل دخول

أو
عبر الحساب الاعتيادي
الرجاء كتابة البريد الالكتروني بشكل صحيح
الرجاء كتابة كلمة المرور
لست عضواً في موقع محاضراتي؟
اضغط هنا للتسجيل