Attachments
A retainer consisting of a receptacle (matrix) and a closelyfitting part (patrix).
Patrix
The matrix is usually contained within normal or expanded contours of the crown of an abutment tooth .The patrix is mostly attached to a pontic or a RPD
Definition of Attachments
Classification of AttachmentsClassification of Attachments
►Intracoronal►Extracoronal
►Stud
►Bar
►Auxiliary
Classification of Attachments
Precision attachments
Semi-Precision attachments
* machined devices with precise
tolerances
* interchangeable and adjustable.
* more expensive
* prepared in the dental laboratory.
* directly cast from plastic or wax with
less precise tolerance
Paralleling mandrel
used for attachment to surveyorMatrix
PatrixAnother distinction is made between mechanical and magnetic attachments. The difference lies in the mechanism of retention.
Magnets
KeepersIntracoronal Attachments
- Splinting is highly indicated when used in distal extension cases,
MatrixPatrix
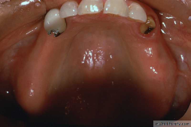
Fractured Abutment
Intracoronal Attachments-Incorporated entirely within the contour
of the crown.-Non-resilient. -Usually indicated in bounded cases.
otherwise the possibility of failure is relatively high.
Splinted Abutments
With Kennedy Class I (Bilateral distal extension);
The anterior bar allows rotation that it’s act as rotational fulcrum.The distal semi-precision
attachments (Rigid, no resiliency) have same effect as distal rest, that lead to overstress the abutment teeth.
UNFAVORABLE ATTACHMENT APPLICATION:
Intracoronal Attachments versus clasp retainersADVANTAGES
** Esthetics: elimination of clasps arms.
** Retention unaffected by crown contour.
** Reduced bulk of the prosthesis: fits within the contour of a tooth crown yet serves the functions of an occlusal rest, retentive clasp arm and bracing arm.
** More Hygienic: elimination of food stagnation.
DISADVANTAGE
** Extensive preparation of the abutment teeth.LIMITATIONS
** Require a minimum of 4mm vertical space & adequate BL width.
Extracoronal Attachments
• Positioned entirely outside the crown contour ; therefore, the normal tooth contour is maintained & the possibility of devitalizing a tooth is reduced in comparison to the intracoronal variety.
Extracoronal Attachments
- Resilient variety is usually indicated in distal extension RPDs.ERA Extracoronal Resilient Semiprecision Attachment
Extracoronal Attachments
- Due to versatility and robust design, extracoronal attachments are among the mostly commonly used attachments both in the precision and semi-precision varieties.UNFAVORABLE ATTACHMENT APPLICATIONCANTILEVERING EFFECT
excessive cantileveringexcessive stress
failure of abutment teeth
Ceka
If we have Kennedy Class I (Bilateral distal extension), using of Rigid extracoronal attachment with un-splinted abutments.
This will cause over-Stress on the distal abutment teeth
UNFAVORABLE ATTACHMENT APPLICATION:Stud Attachments
►Snap fasteners, mainly used for overdenture support, retention & stability.
► They consist of two main components:
Definition of stud attachments
Male projection
Female part► The two components interlock to form a retentive unit, mechanically attaching the superstructure to the abutments.
Advantages of stud attachments
►Among the simplest of all attachments► Their retentive elements can be reactivated or replaced
in the denture base.
• ► Have applications for both root & implant supported prosthesis
Classification of stud attachments
* Brewer & Morrow (1980), classified stud attachments into:Resilient Stud attachments
Rigid stud attachments
* Designed so as to permit or
provide for a “controlled”
movement.
* They act as safety valve for
any overload situations.
* Do not allow any movement
* Indicated when interocclusal space
is limited & when no potential
movement of the overdenture is
required
Classification of stud attachments
* Chee & Donavan (1993), classified stud attachments into:Intra-radicular
Extra-radicular
* The male portion (patrix)
forms part of the denture base
and engages a special depression
within the root contour or implant
* The male portion (patrix)
projects from the root surface
of the preparation or implant.
* Logic
* Zest
* Rotherman attachment
* Dalla Bona* Micro Fix
►Low caries index
►Adequate zone of attached gingivaRequirements of stud attachments
►Adequate periodontal support
►Controlled plaque & denture hygiene
►Adequate interocclusal clearance to allow for reasonable thickness of acrylic resin around the attachments.
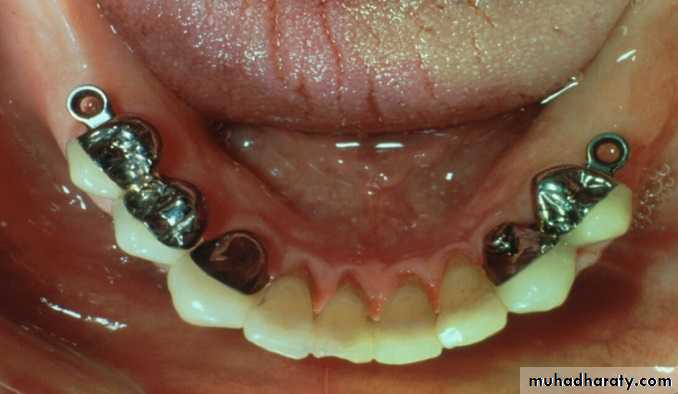
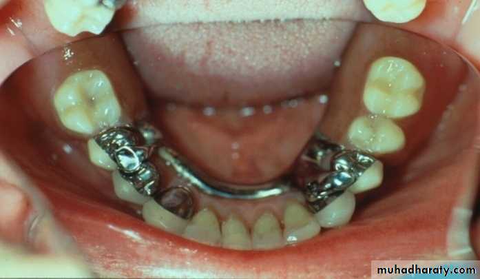
Bar Attachments
►Bar attachments consist of :A bar
Retentive clip(s)Definition of bar attachments
Advantages of Bar Attachments
* Excellent retention & stability for the prosthesis.* The bar acts as an indirect retainer & provides vertical support for the prosthesis preservation of the alveolar bone.
* Rigid splinting & constant mechanism of abutment stabilization
Requirements of Bar Attachments
** Adequate interocclusal
distance**Adequate clearance beneath
the bar
** Adequate Bony support
** Bar should follow ridge
contour
Bar Joints
Bar Units* Resilient version
* Some rotational movement
between the bar & the sleeve
more R.R support
Less torque on teeth
* Rigid version
* provides rigid fixation – no
movement between the bar &
the sleeve indicated
when saddle gap is long
Classification of Bar Attachments
► Dolder bar attachment
ResilientRigid
Telescopic Retainers
►A telescopic retainer consists of an inner coping. Permanently cemented to an abutment and a congruent detachable outer crown, rigidly connected to a removable prosthesis.
Definition of Telescopic Retainers
*Langer (1981) classified telescopic retainers ( according to resiliency) into:Rigidly interlocked T. Units
T. Units with built-in Resiliency
* involves intersurface friction
during insertion & removal of the superstructure as the parts engage & disengage themselves.
* The forms of the 1ry & 2ry crowns are modified to interrupt the continuity of the intimate contact between them. A stress breaking principle is built into the retainer itself.
* provide support only
Classification of Telescopic Retainers►ensures denture retention & stability.
►splinting of abutment teeth
►Healthier, as they take advantage of periodontal tooth support & rely less on mucoperiostal support
*Beschnidt et al (2001) classified telescopic retainers (according to the form of retention) into:
1- Parallel-sided (cylindrical)
2- Conical (tapered)
3- T. crowns with additional attachments
Classification of Telescopic Retainers1- Parallel-sided (cylindrical)
2- Conical (tapered)Classification of Telescopic Retainers
*Abutment & inner crown surfaces are prepared so as to be as parallel as possible.* Retention is achieved through tight contact .
Problems:
* Over-contouring* challenge for the patient to remove & insert the prosthesis
* The tapered configuration of the contacting walls generates a compressing intersurface tension based on a wedging action.
3- T. crowns with additional attachments
Classification of Telescopic Retainers
► Attachments were mainly incorporated in resilient telescope
systems and telescope systems made from base metal alloys
to enhance their retentive qualities.
Advantages of telescopic Retainers
Telescopic Retainers are Pericoronal Devices► Longitudinal follow-up studies reported that telescope-
retained prosthesis showed lower failure rates than those
retained by clasps or precision attachments.
Telescope-retained Prostheses regarded as
Removable splinting devices♦ The splinting action occurs when the multiple outer and
fixed inner crowns engage each other in situ.
♦ They transmit the forces with the long axes of abutment
teeth. Therefore they allow for maximization of verticalforces and minimization of horizontal (destructive) forces.
Advantages of telescopic Retainers
Telescope-retained Prostheses are Perioprosthesis
►The telescopic superstructure can be removed by the patient & is easily cleaned.►The patient has 100 % access to the entire marginal periodontal circumference of the abutments ►promotes effective homecare & oral hygiene.
Esthetics
ATTACHMENT SELECTION (in general):
Criteria for selection:Location
Available spaceFunction/type of retention
Cost
ATTACHMENTS IN RPDs
Advantages:Elimination of visible clasp arms
Disadvantages:
Additional expense
Increased frequency of adjustment and failure
Increased technical expertise required
Unpredictable or unfavorable distribution of forces












































