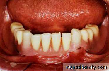
Over denture
Over denturea removable partial denture or complete denture that covers and rests on one or more remaining natural teeth, the roots of natural teeth, and/or dental implants;
a prosthesis that covers and is partially supported by natural teeth, natural tooth roots, and/or dental implants—called also overlay denture, overlay prosthesis, superimposed prosthesis
indications
Presence of four or less retainable teeth in the arch.
Good oral hygiene.
When prognosis of wearing complete denture is poor in cases of extreme ridge resorption, xerostomia, exaggerated gag reflex, insufficient learning ability, psychologic factors, etc.
If the remaining teeth would be more severly damaged by a different type of treatment.
When no other type of treatment promise a superior result.
In oral rehabilitation of the cancer patient.
Contra indication
Patients who can not be motivated to the desired level of oral hygiene.Systemic complications.
Inadequate inter arch distance.
Psychologically since some patients can not accept any type of removable prosthesis.
advantage
Greater functional stability due to preservation of residual ridges contours near the abutment teeth.Better retention, especially when retentive attachments are used in mandibular prostheses.
Greater chewing efficiency because of better stability & retention.
Less pressure on mucosa.
Reduced extension of the denture base in the maxilla. This is often very important psychologically for the patient.
Tactile discrimination.
Possible incorporation of existing denture into the new prosthesis.
disadvantage
Caries & periodontal disease around abutment teeth in patient lacking oral hygiene motivation.
Extra laboratory steps.
increased cost.
Potential weakness of the acrylic resin denture base.
Types of over denture
Immediate over denture.Transitional over denture.
Definitive over denture.
Immediate over denture
An immediate over denture is constructed for insertion immediately after the removal of some natural teeth.Indicated when prognosis of remaining teeth is poor.
Transitional over denture
A transitional over denture is obtained by converting an existing removable partial denture to over denture status.Definitive over denture
A definitive over denture is constructed for insertion after some time from the removal of some natural teeth and preparation of the abutment teeth.Indicated when prognosis of remaining teeth is good.
Treatment planning
The teeth that can be retained are identified.The hopeless teeth are extracted.
The definitive prosthetic plan & construction design formulated.
Evaluation criteria
Clinical factors
• The strategic importance of the tooth.
• The load it will be expected to withstand.
• The patient oral hygiene.
• The extent of treatment necessary to save the tooth.
Non clinical factors
• Wishes, expectations and demands of the patient.• The patient attitude toward the treatment.
• Cost.
• General health of the patient.
• Cooperation of the patient.
Preparation phase
Periodontal procedures.Surgical procedures.
Endodontic procedures.
prosthetic procedures.
Periodontal procedures
Improvement of oral hygiene.Periodontal procedures
Periodontal surgery.• Gingivectomy.
• Surgical crown lengthening.
• Mucogingival surgery.
Surgical procedures
Extraction of hopeless teeth.Soft tissue lesions.
Hard tissue lesions.
Endodontic procedures
Design options
Supporting elements (non-retentive)• Roots sealed with amalgam, composite, or glass ionomer cement.
• Gold root copings without attachments.
• Single attachments.
• Bar attachments.
• Telescope attachments.
Retentive attachments
Functions:• Securing the prosthesis against forces that tend to lift it.
• Providing periodontal support for the prosthesis.
• Transferring the forces of the muscles of mastication from the prosthesis to the periodontium in as nearly axial direction as possible.
• Distributing shearing forces.
• Stabilizing and or splinting the abutment teeth.
Types of attachments
Rigid attachments
Grasps the abutment tooth bodily
Permits no movement between anchor and prosthesis except for rotation around the long axis of element (single tooth)
Non rigid attachments
Permits movement around anchor in one plane or more, also allow vertical movement
Resilient attachments
Allow vertical movement
Implant supported over denture
Implant Over-DentureAn implant over-denture connects to cylinder-like configurations (called implants) that have been surgically implanted into jaw bone.
The denture appears like a traditional prosthesis. However, that part of the denture overlying implants is modified to retain various semi-rigid attachments that receive implant extensions projecting above the gum. This arrangement helps keep a denture securely in place while eating, speaking and during other oral activities, but still allows easy self-removal of the denture for cleaning purposes.





































