A TMJ Disorder
The TMJ is diarthroidal articulation between the condyle of the mandible &the squamous portion of the temporal bone .1-The articulating surfaces of the bones are covered by an a vascular fibrous connective
2-The articulating complexes of bone carry teeth .3-It has bilateral articulation with cranium
• 4-The TMJ is a complex joint because each joint has an articular
• disc (meniscus ) interposed between the condyle &the temporal bone .
Lateral aspect of the TMJ :
• INSERT.
• ORIGIN• FUNCT.
• MUSC.
• RAMUS
• ZYG.AR.
• CLOS.
• 1-MASS.
• CORON.
• TEM.FO
• CLOS/R
• 2-TEMP.
• A.MA/M
• LT.PT.P.
• CLOS.
• 3-M.PTR
• D.&NEC.
• = = =
• OPEN.
• 4-L.PTR
• MAS.PR.
• CHIN/ IN
• =
• 5-DIGAS
• STR./CL.
• MAS.PR.
• TURN H.
• 6-S.C.M.
Discal ligament
Capsular ligament
Tempromandibular ligament
Accessory ligament
A-sphenomandibular ligament
B-stylomandibular ligament
Diseases of the TMJ:
1- agenesis of the condyle ,.
2- Hypoplasia of the condyle
3-Hyperplasia of the condyle
Limitation in the mandibular opening & pain
Freedom of eccentric
Anterior open bite &inability to close repeatedly to fixed retruted position in agenesis of the condyle .
Asymmetry of the face & deviation during opening
A-developmental
The signs & symptomsThese disorders are not commonly found ,& my result from bacterial invasion or spreading of infection to the TMJ .
1- cardinal signs of inflammation
2-clicking of the joint
3-deviation on opening
B-infectious disorders
Signs & symptoms :
Subluxation :Dislocation Ankylosis Perforation of the disc
Paine ,false clll. malocclusion , pretragus notch , drooling of saliva , improper speech &hard lock . joint noises-Traumatic disorders :
Signs & symptoms :
1- rheumatoid arthritis : 2-Osteoarithritis :
* limitation &difficulty in mouth opening anterior open bite-inflammatory disorders
Extra capsular disorder:
• It is quite common problem affecting the general population ,female more than male at a ratio of 2:1. Usually affecting young people at the age of ( 14-25) years but it can occurs at any age . usually affecting civilized people more often than ruler people .*symptomatology:
1-masticotary pain :discomfort about the face & mouth induced by chewing &other jaw function .
2-joint sounds
• a- clicking :single joint sound of short duration.
• b-crepitation: multiple gravel like sound .
• 3-restricted movement of the mandible
• a-restricted mouth opening (normal 40mm)• b-limited lateral movement (5mm)
• 4-masticatary muscle tenderness &TMJ tenderness .
• 5-other less frequent signs &symptoms• a-ear problem .
• b- salivary gland problem
• Diagnosis:
• (CC , HPI ,past medical history , past dental history ,social history ,psychological history )• clinical examination
• inspection
• palpation
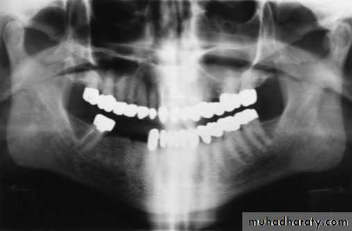
radiographic examination
• Transcranial view
• Transpharngyal view
• Panoramic view
• *CT *MRI *EMG * cone beam tomography *Cast sometime needed to analyze the occlusion
* see the morphology & position of the disc* presence of perforation or tear of the dsic
* presence of the adhesion of the disc
* presence of the loose body
Arthrography :
*invasive *exposure to radiation *hypersensitivity to contrast media
Arthroscope: provide good visualized & diagnosisTreatment :
• The goal for management of TMJs are to
• 1- reduce the pain
• 2- restore normal joint function
According to the ADA there are many form of treatment used , but it must be notice that the order of the recommendation does not mean the priority sequence
• * pharmacological therapy
Muscle relaxent (myogesic,cyclopenzaprine, methocarbamol, diazepam.botulinum toxin A “BOTOX”)
NSAID(ibuprofen,naproxen,mobic) Steroid , Sodium hyaluronat
* physical therapy
which is represent a group of supportive action for managing pain
Thermotherapy ,Coolant therapy , Massage therapy , Electrical stimulation therapy, ultrasound therapy &EMG biofeedback* exercise therapy :
the objective of muscle exercise is to causes reflex relaxation of antagonistic muscle .
• 1- passive exercise• 2- active exercise
• - assist stretching
• - resisted exercise
• - clenching exercise
* occlussal splint therapy
It is a removable appliance that fits over the occlusal & incisal surface of the teeth in one arch creating precise occlusal contact with the teeth of the opposing arch ,
The effect of the therapeutic laser include reduction of the nerve conduction velocity , selective inhibition of A & C fibre .
*laser therapy
Bite Plate
Is one of the reversible modality in treatment of temporomandibular joint disorders.There are five general features common to all splints that may be responsible for decreasing muscle activity and symptoms:
1- Alteration of the occlusal condition.
2- Alteration of the condylar position.
3- Increase in the vertical dimension.
4- Cognitive awareness.
5- Placebo effect.
Resilient Splint
Anterior Repositioning SplintCentric Relation Splint
1- For bruxism.
2- Muscle hyperactivity.
1- TMJ Clicking.
2- TMJ Lock.
3- Symptomatic treatment of inflammatory disorders.
1- Chronic sinusitis.
2-Teeth protection in athletics.
3- Mixed dentition.
4- bruxism.
Indications
Indications
Indications
TYPES OF OCCLUSAL SPLINTS:
• anterior repositioning splint
• A interocclusal appliance that encourages the mandible to assume a more anterior position .
• Indication :
• - joint sound• - intermediate or chronic loc k - symptomatic treatment of inflammatory joint diseases
* resieliant splint
• A interocclusal appliance when it is in place , the condyles are in the most musculoskeletal stable position at the same time the teeth are contact evenly
• Indication : it is used to treat muscle hyperactivity
Oral myofunctional therapy :
is a program to re-educate the muscles of the mouth &face to work in a balanced relationship . It includes breaking of the habit , proper feeding of infant & proper balancing of environmental forces . The appliances used are activator ,bionator &oral screen• CENTRIC RELATION SPLINT :
• A interocclusal appliance when it is in place , the condyles are in the most musculoskeletal stable position at the same time the teeth are contact evenly
• Indication : it is used to treat muscle hyperactivity
• *open surgical treatment
acupuncture
Prosthodontic therapy
Orthodontic therapy
Surgical care:
Arthrocentesis ,Arthroscopic surgeryThere are certain recommendation for treatment of patient with TMJ problem :
• 1- treatment should directed toward relaxation of the muscle
• 2- treatment must include several modalities since the problem of multifactorial etiology• 3- treatment must include only reversible modalities
• 4- surgery involve the TMJ should not be done unless specific intracapsular organic problem can be identified



























