Esophagus Manal alahmad
sophagus
• The esophagus:• is a tubular organ designed to convey foods from the pharynx to the stomach is a straight tube about 20 cm (8 inches)
Esophagus
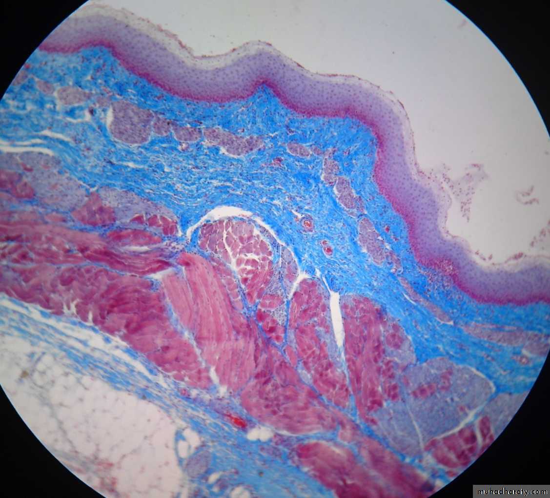
• The wall of esophagus consists of 4 layersMucosa
Submucosa
Muscularis Externa
Adventitia (Serosa)
Esophagus
للاطلاع
EsophagusMucosa
Consists of:
• 1-Lining epithelium : non-keratinized stratified squamous epithelium
• 2-Lamina propria: Ioose connective tissue
• 3-muscularis mucosae: smooth muscle
Esophagus
Submucosa• -In the submucosa, the fibroconnective tissue contains coarse collagenous and elastic fibers.
• -also can contain esophageal glands
Esophagus
Muscularis Externa.consists of 2 substantial layers of muscle.
• inner circular layer
• outer longitudinal layer between this layers found
• ***Aurbach’s plexus
The upper 1/3 contains skeletal muscle
The middle 1/3 contains both skeletal and smooth muscle.
The lower 1/3 consists of only smooth muscle.
Esophagus
Adventitia(Serosa) :• -Connective tissue
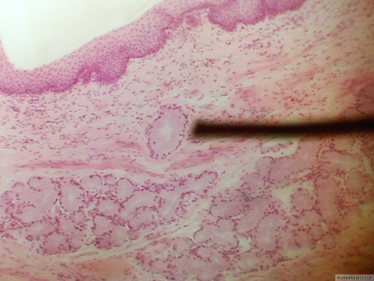
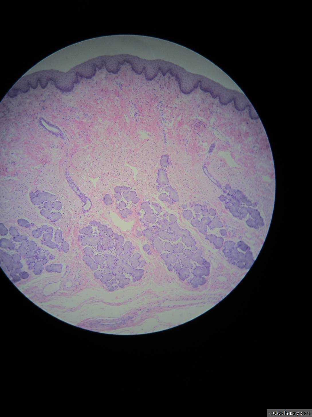
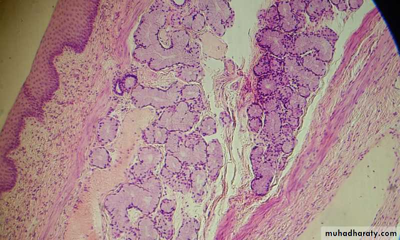
Esophageal gland proper
in the sub mucosa• upper esophagus
St.sq.non k. epith
• Muscularusmucosa
Submucosa
Muscularis externa
longitudinal
• circular
• adventitia
Mid esophagus
Mucosa.
thrown into longitudinal folds that expand as a bolus of food passesEpithelium: The esophagus is lined by a non-keratinized, stratified squamous epithelium, which undergoes continual renewal
The muscularis mucosa is thickest in the esophagus, consisting of ~ 20 layers.
Esophageal gland
in the sub mucosaEsophageal cardiac gland
Esophageal gland proper
in the sub mucosaAurbach’s plexus
Esophagus
Glands.• # esophageal glands a few mucous glands are scattered in the submucosa
• # esophageal cardiac glands are mucous glands near the stomach in the lamina propria of mucous (The lower of Esophagus) .
Esophageal Gland
Lower esophagus
Cardio esophagus gland in the lamina propriaCardio esophageal gland
Cardio esophageal
junctioncolumnar epthelium
• stratified sq. epith• Cardiac gland















