Impaction (3)
Impacted mandibular canines
These are less frequently impacted than maxillary canines (about 0.3% of population) and are mostly buccally located, partially erupted teeth can be removed easily using elevators or forceps.Localization of an unerupted teeth is by periapical film, OPG or occlusal view that is taken with the X-ray directed along the long axis of the teeth.
Removal is by raising a 2-sided or 3-sided buccal mucoperiosteal flap with care to avoid damaging the mental nerve, bone removal and the tooth is extracted wholly or after sectioning.
Deeply impacted teeth or those located lingually can be left in situ if they do not cause any damage to the adjacent roots or not associated with other pathologies.
Surgical exposure and orthodontic traction is also indicated after consultation with the orthodontist, the exposure is either through a flap or sometimes through excision of the overlying soft tissue when the tooth is only covered by soft tissue.
It is noteworthy to say that orthodontic traction is difficult since impacted mandibular canines are frequently in horizontal position near the roots of the adjacent teeth, also due to the dense bone in the region as well as the buccal position of the impacted teeth .
It is always essential to consult an orthodontist before extraction of impacted canine.
Impacted lower premolars
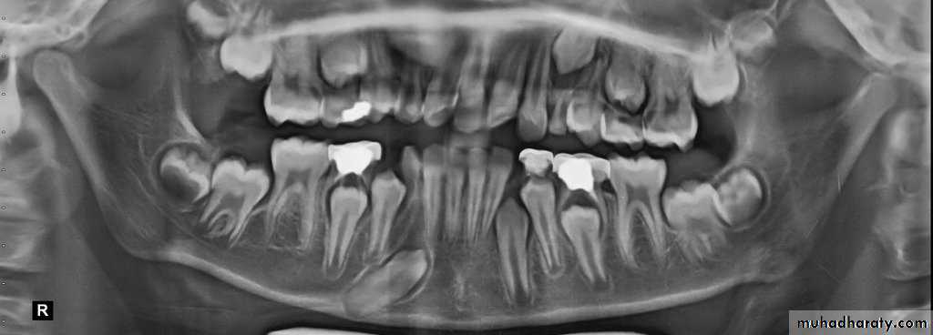
It occurs mostly due to loss of space by drifting forward of the first permanent molar after early extraction of the second deciduous molar, other causes are gross malformation and retention of the deciduous predecessor.Localization is by periapical film or OPG with occlusal view to demonstrate the bucco-lingual position.
Removal is by raising a 2-sided or 3-sided buccal flap, with preservation of the mental nerve, bone removal, sectioning of the tooth if needed and extraction of the tooth. In young patients it is essential to consult an orthodontist before extraction.
Impacted maxillary premolars
It is usually impacted with its crown palatally, or it may be within the arch between adjacent roots. It can be partially erupted, completely buried or the crown may be wholly exposed, in the latter case extraction is easy with an elevator or forceps.Completely impacted teeth require a palatal envelope flap extending from the second molar to the lateral incisor on the same side, bone removal and extraction of the tooth.
Buccal approach is needed in cases where the tooth is within the arch between the standing teeth, sectioning of the tooth is needed when the root is curved. Care is taken not to damage the adjacent teeth.
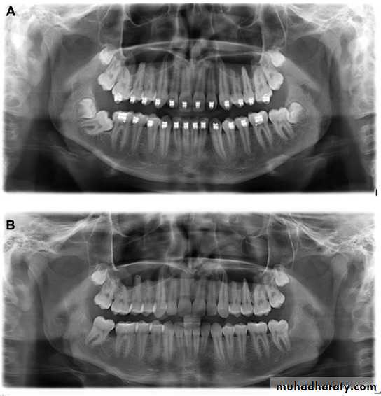
Impacted first and second molars
These are uncommonly impacted, their management consist of surgical extraction through a buccal flap, bone removal avoiding damage to the inferior dental nerve that may cross buccal to the neck of the teeth, sectioning of the tooth may be necessary. The indications of surgical treatment include symptomatic teeth, those that have caused infections, or have evidence of radiographic changes such as cyst or resorption of adjacent teeth roots.Rarely all the three mandibular molars or the second and the third molars are impacted, in this case we start with the mesial of the two and the middle of the three.
.
Another line of treatment is the surgical up-righting, especially of the impacted second molar. This is done through buccal approach, the tooth is exposed carefully without exposing the CEJ, if the third molar is present it needs to be removed, if not, bone posterior to the second molar is removed, followed by tipping the tooth slightly posteriorly and superiorly, and the tooth can be allowed to erupt spontaneously. This procedure is better carried out when 2/3 of the roots of the impacted second molar are developed. Teeth with fully developed roots have poor prognosis for this procedure
Usually there is no need for fixation but RCT may be needed 6-8 weeks after surgery, also there should be no occlusal forces on the tooth in the postoperative period. Follow up for about 2 years is necessary.
Buried deciduous molars
These are usually ankylosed and should be removed surgically through buccal approach, bone removal and tooth sectioning if necessary.Supernumerary teeth
These are more in the males than in the females, they can be present in the primary dentition as well as in the permanent dentition, They are associated with cleidocranial dysostosis and cleft lip and palate.Supernumerary teeth can be classified according to their position into Mesiodens, Paramolar and Distomolar. According to the shape they can be conical (peg-shaped), supplementary; which have the shape and size of a normal tooth or they can have conventional shape with smaller or larger size.
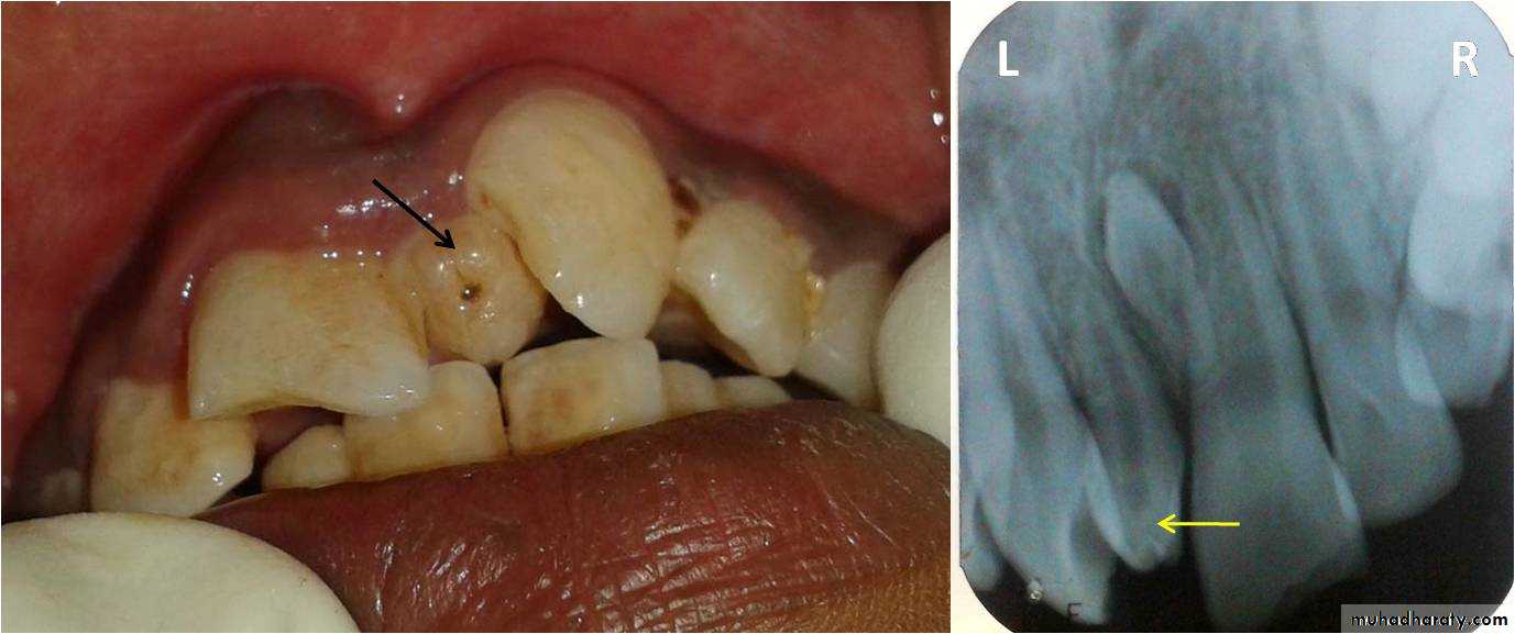
Mesiodens; is situated in the premaxilla in the midline and it is commonly conical, it can have a horizontal or inverted position.
Supplemental teeth may also occur in the anterior maxillary region.
Supernumerary teeth can be single or multiple, unilateral or bilateral.
Paramolar; appear in the premolar or molar region and is situated buccally or lingually to the teeth, they can be conical or supplemental.
Distomolar; appear as a fourth molar usually distal to the standing molars and they are either normal or smaller in size.
Supernumerary teeth can have no effect on other standing teeth or they can cause failure of eruption of the other teeth, crowding, malposition or misalignment, resorption of the roots of the adjacent teeth or they can be associated with other pathologies (e.g. cysts).
Erupted supernumerary teeth are extracted easily especially if they are conical in shape. Unerupted teeth can be left in situ if they have no effect on the adjacent teeth but they should be monitored regularly. If they need removal they should be localized accurately using periapical films (buccal object rule may be applied) or vertex occlusal view. OPG is needed to determine the vertical position of the tooth and its position in relation with the floor of the nasal cavity or maxillary sinus.
They are approached palatally through palatal flap or buccally, bone removal and tooth sectioning may be needed, sometimes combined palatal and buccal approach is necessary.
It is essential to avoid damaging the roots of the adjacent teeth.
Dilacerated incisors :
Trauma to the deciduous incisors especially in the 2-3 years of age can cause damage to the underlying permanent incisor tooth germ causing root development to take place at an angle.Exposure and orthodontic traction can be performed if possible, but if not, these teeth should be removed and the lateral incisors allowed filling their space.
It is essential to seek the opinion of an orthodontist.












