IMPRESSION REGISTRATION FOR REMOVABLE PARTIAL DENTURE
ByAssis. Pro.Radhwan Himmadi Hasan
B.D.S. , M.Sc. , Ph.D.
2018
1
3/17/2018
Dr.Radhwan Himmadi Hasan
• INTRODUCTION
• An impression is defined as a negative likeness of the teeth and/or edentulous areas where the teeth have been removed, made in a plastic material which becomes relatively hard while in contact with these tissues• CLASSIFICATION OF IMPRESSION MATERIALS
• RIGID MATERIALS• Plaster of Paris Metallic Oxide Paste
• THERMOPLASTIC MATERIALS
• Modeling plastic
Impression Waxes & Natural Resins
• ELASTIC MATERIALS
• Reversible Hydrocolloids Irreversible hydrocolloids Mercaptan Rubber-base materials Polyether Impression Material Silicone Impression Materials
• Condensation SIM
• Addition SIM
• IRREVERSIBLE HYDROCOLLOIDS
• (ALGINATE)
• Indicated for diagnostic casts, orthodontic treatment casts & master casts for R.P.D.
• Nontoxic, nonstaining & inexpensive
• Can be disinfected with 2% Gluteraldehyde
• Should be stored in 100% moisture & poured within 1 Hour
• Low tear strength
• Surface details - less than elastomeric impression materials
• Dimensional stability – less than elastomeric impression materials
• POLYSULFIDE IMPRESSION MATERIALS
• High tear strength
• Cast poured will have smoother texture & will be harder as they do not retard or etch the surface of the setting stoneShould have a uniform thickness that does not exceed 3mm
• Medium and heavy body should not be used in case of large/multiple undercuts
• Long term dimensional stability is poor due to water loss after setting
• Should be held still during the impression making procedure
• Allow to rebound for 7 to 15 minutes after removal from mouth and pour immediately
• Unpleasant odor & Stains clothes
• POLYETHER IMPRESSION MATERIALS
• Good surface details
Hydrophilic – good wettability for easy cast forming Shorter working and setting timeFlow characteristics and flow - lowest among others Stiffness – cast breakage of while removal from tray
• Unpleasant taste Absorbs water
• Cannot be immersed in disinfecting solutions Pour within 2 hours for better results• CONDENSATION SILICONES
• Moderate working time (5 to 7 minutes) Pleasant odor
• Can be disinfected with disinfecting solutions without any alternation in accuracyHydrophobic
Ideally pored within 1 hour
• ADDITION SILICONES
• Most accurate among elastic impression materials
• Fast recovery from distortion Good tear strengthWorking time – 3 to 5 minutes
• Both hydrophilic & hydrophobic forms are available Available in automixing devices
• Pouring can be delayed up to 1 week Stable in sterilizing solutions• Sulfur in latex gloves – retards the setting reaction
Anatomical Impressions‘Anatomical form’ is the surface contour of the ridge when it is not under any occlusal load .This resting form is recorded with soft impression materials like alginate, plaster of Paris, etc. Other impression materials like elastic putties tend to displace and distort the soft tissues due to their high viscosity
Disadvantages
When the denture is at rest it will adapt well to the tissue surface. Under occlusal load, the rest in the direct retainer will prevent the tissueward movement of that part of the denture near the abutment tooth. However, the distal end of the denture will show tissueward movement and compress the tissues under occlusal load and produce lever action .This will lead to weakening of the abutment due to torsional forces acting on it and residual ridge resorption.
3/17/2018
Dr.Radhwan Himmadi Hasan14
Generally anatomic impressions are preferred for tooth supported partially edentulous arches (Kennedy’s class III and class IV cases). Anatomicalimpressions are contraindicated for distal extension cases due to the reason explained above.
Functional Impressions
These impressions are recorded under functional
load (pressure), that is, the tissue surface is recorded in the compressed form .Since the
soft tissues are recorded in the compressed form, the denture will not exert additional stress on the abutment teeth during functional loading. By this procedure, the occlusal load can be evenly distributed between the soft tissues and the abutment teeth. This prevents the concentration of deleterious forces on the abutment teeth.
Functional impressions are required only to record edentulous saddles. The existing teeth do not change form under load and hence they do not require a functional impression. The functional impressions are indicated for tooth-tissue supported partial dentures.
3/17/2018
Dr.Radhwan Himmadi Hasan
15
16
Anatomic or Resting form
Supporting or Functional formMcCracken’s Removable Partial Prosthodontics 3rd edition
3/17/2018Dr.Radhwan Himmadi Hasan
3/17/2018
Dr.Radhwan Himmadi Hasan
17
Impression Making for Kennedy’s ToothSupported Partial DentureGenerally Kennedy’s class III and class IV arches are considered as tooth supported partial denture. Since maximum support is obtained from the abutment teeth, it is not necessary to record a functional impression. Conventional anatomic impressions are made. The material of choice to make a master impression for these partial dentures is irreversible hydrocolloid. Elastomers are used when there are severe undercuts and for cases which use internal attachments for retention. Alginate is preferred for its ease of use, economic price. The procedure for impression making is similar to the procedure described for making a diagnostic impression
3/17/2018
Dr.Radhwan Himmadi Hasan
18
Impression Making for Distal Extension Denture Bases
Type of impression registration The soft tissues can be recorded in their anatomical form. They can also be recorded in functional form (displaced under occlusal load). Sometimes, a part can be recorded in the functional form and the remaining areas can be recorded in the anatomical form.DUAL IMPRESSION PROCEDURES
Generally, functional impressions require a special tray to closely adapt to the tissues and provide adequate space for even thickness of the material. As we do not require a functional impression of the dentulous area, we prefer to limit the functional impression to the saddle area. The remaining areas are recorded with an anatomic impression using a stock tray.
Since we record the ridge and teeth using two impressions, i.e. one portion in the functional form and the other in the anatomical form, these impressions are known as dual impressions. It should be remembered that both these impressions (anatomical and physiological) made in a dual impression technique are master impressions.
3/17/2018
Dr.Radhwan Himmadi Hasan
19
Dual impressions are indicated for all tooth tissue supported partial dentures. We know that Kennedy’s class I and class II cases directly fall into this category. There are various dual impression techniques available to record a distal extension denture base.
Though there are different techniques, the basic principle is similar. An anatomical impression is used to record the teeth and a functional impression is used to record the edentulous ridge. The two impressions are used together to fabricate the denture. The greatest challenge is to fabricate a denture using both these impressions. It is over come with the help of the following procedures:
1-The functional and anatomical impressions are fused together (Pick-up impression).
2-A cast is poured from the anatomical impression and later altered according to the functional impression (Altered-cast technique).
Dual impressions can be broadly classified as:
1-Physiological or functional dual impressions.
2-Selective pressure functional dual impression technique.
3/17/2018
Dr.Radhwan Himmadi Hasan
20
Physiological or Functional Dual Impressions
Here, one anatomical impression is made of the entire ridge and one physiological or functional impression is made only on the edentulous portion. The functional impression is made by applying occlusal load on the impression tray while making the impression .Thus the tissues are displaced during impression making. The common techniques employed to record a physiological dual impression are:
• McLean’s technique
• Hindle’s modification of McLean’s technique• Functional relining method
• Fluid wax.
3/17/2018
Dr.Radhwan Himmadi Hasan21
METHODS OF FUNCTIONAL IMPRESSION
223/17/2018
Dr.Radhwan Himmadi HasanINDICATIONS FOR FUNCTIONAL IMPRESSION
Mandibular distal extension partial dentures –
Only a limited ridge area can be used as a stress bearing site.
Mainly Kennedy’s class I & II edentulous arches.
23
3/17/2018
Dr.Radhwan Himmadi Hasan
McLean’s Physiologic Method
24Clinical Removable Partial Prosthodontics – Stewart. 3rd edition
Principle
Two impressions are made in this procedure. A functional impression of the edentulous ridge is made. The second impression is made over the functional impression and it records the structures in their anatomic form. The second impression is also known as the pick up impression because it covers, and picks up the functional impression (first impression) along with itself.
3/17/2018
Dr.Radhwan Himmadi Hasan
Custom tray over a preliminary cast
253/17/2018
Dr.Radhwan Himmadi Hasan
Occlusal rim over a distal extension base is made
26
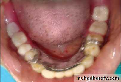
Functional impression of extension area under occlusal load
3/17/2018Dr.Radhwan Himmadi Hasan
Hydrocolloid impression over the first impression made under finger pressure.(pick up impression)
27
3/17/2018
Dr.Radhwan Himmadi Hasan
McLean’s Physiologic Method
Finger pressure not equal to biting pressureAlginate between stock tray and occlusal rim acts as buffer. May not transfer entire load to special tray.
28
Disadvantages-
3/17/2018
Dr.Radhwan Himmadi HasanHindel’s Modification
First anatomic impression in alginate is madeAcrylic resin tray over saddle area is prepared
Impression of saddle area is made in zinc oxide eugenol paste without pressure( stopper on tissue side)Super impression is made with a modified tray applying finger pressure.
29Clinical Removable Partial Prosthodontics – Stewart. 3rd edition
3/17/2018
Dr.Radhwan Himmadi Hasan
30
Hindel’s special tray with holes to apply pressure
3/17/2018
Dr.Radhwan Himmadi HasanHINDLE’S FINGER LOADING
Effects Produced by McLean and Hindle’s Methods(disadvantages of functional impression)• The denture is fabricated using an impression made over compressed tissues. But the tissues in the oral cavity are not always in a state of compression. The retentive components will try to retain the denture as it was fabricated.
This gives the denture an inherent property to constantly compress the tissues even when there is no occlusal load Since the tissues are constantly compressed there will be excessive bone resorption. 1-Bone resorption occurs due to two reasons:
• Constant pressure stimulates the osteoprogenitor cells to form osteoclasts. Osteoclasts resorb bone.
• Constant pressure decreases the blood supply to the bone which again through a
series of chemical mediators stimulate osteoclasts
3/17/2018
Dr.Radhwan Himmadi Hasan31
32
2-If retentive clasps do not hold the denture base properly, the partial denture will be slightly occlusal to the normal position (pushed away due to tissue rebounce). Since the dentures are occlusally displaced, they will be the first to contact the opposing teeth during occlusion. This will produce premature contacts
3/17/2018
Dr.Radhwan Himmadi HasanFunctional Reline Method orAtered cast technique
33Clinical Removable Partial Prosthodontics – Stewart. 3rd edition
Functional Relining Method
Principle In this method, an anatomical master impression of all the oral structures is made. Two casts are made from this anatomical impression, one is the
master cast and the other is the refractory cast (The refractory cast is made by duplicating the master cast). The framework of the partial denture is fabricated using the refractory cast. This framework is verified in the patient’s mouth and is directly used to record the functional impression. The master cast made from the anatomical impression is altered according to the functional impression made on the tissue surface of the framework.
3/17/2018
Dr.Radhwan Himmadi Hasan
3/17/2018
Dr.Radhwan Himmadi Hasan34
3/17/2018
Dr.Radhwan Himmadi Hasan35
3/17/2018
Dr.Radhwan Himmadi Hasan36
Altering the Master Cast
This is done for functional reline, fluid wax and functional selective pressure dual impression techniques. In all these techniques, the master cast is made using the anatomical impression (first impression). This anatomical master cast isaltered according to the functional impression, which is made later (second impression). Remember, all the following procedures are made after making the functional impression.
Procedure
• The edentulous area in the anatomical master
cast is cut away with a saw. The cast is sliced
using two cuts one buccolingual and one
anteroposterior
• The buccolingual cut is made 1 mm behind
the terminal abutment across the edentulous
ridge
• The anteroposterior cut is made 1 mm lingual
or medial to the lingual suclus. Note: the
lingual sulcus should be cut away along with
the edentulous ridge
3/17/2018
Dr.Radhwan Himmadi Hasan37
• Vertical grooves are prepared on the cut walls of the cast
• The framework along with the functionalimpression is placed over the cut anatomical
master cast. Since the edentulous areas are cut
away from the cast, the edentulous areas of the impression will be projecting in free space
• The framework is sealed to the master cast
using softened modelling plastic
• The cast is inverted along with the framework.
Now the functional impression attached to the
framework will be seen projecting underneath
the cut areas of the cast .
• The impression is beaded and boxed in
continuity with the cast
3/17/2018
Dr.Radhwan Himmadi Hasan38
• The cast is soaked in slurry water for 10
minutes before pouring the impression.• A low expansion dendrite stone is poured into the boxing.
• The resulting master cast will have an altered
ridge contour obtained from the functional
impression (Fig. 20.40).
3/17/2018
Dr.Radhwan Himmadi Hasan39
• Also known as Corrected cast or Split cast Technique.
• It is mainly a modification of functional impression through laboratory procedure.
• Functional impression for this technique can be made using any of the above mentioned materials and techniques.
40
ALTERED CAST TECHNIQUE
3/17/2018
Dr.Radhwan Himmadi Hasan
SELECTIVE TISSUE PLACEMENT IMPRESSION METHOD
413/17/2018
Dr.Radhwan Himmadi Hasan
42
Nature of the denture bearing area
• Stress bearing areas should be identified in the maxillary and the mandibular arch to derive support.
• In the maxillary arch, the buccal slopes of the ridge can resist lateral forces. The hard palate can act as a secondary stress-bearing area. The crest of the ridge provides the maximum support to the denture.
• In the mandibular arch, the buccal shelf area acts as a primary stress-bearing area. It has a thick cortical plate covered with a firm mucosa. It is also placed almost perpendicular to the occlusal stress. The slopes of the ridge can act as secondary stress-bearing areas and they resist horizontal stress.
3/17/2018
Dr.Radhwan Himmadi Hasan
SELECTIVE TISSUE PLACEMENT IMPRESSION METHOD
The technique attempts to direct more force to those portions of ridge able to absorb stress without adverse response & to protect the areas of ridge which are least able to absorb forces.and this done by relief of special try during impression taking.
43
3/17/2018
Dr.Radhwan Himmadi Hasan
















































