A Simplified Impression Technique for Distal Extension Removable Partial Dentures
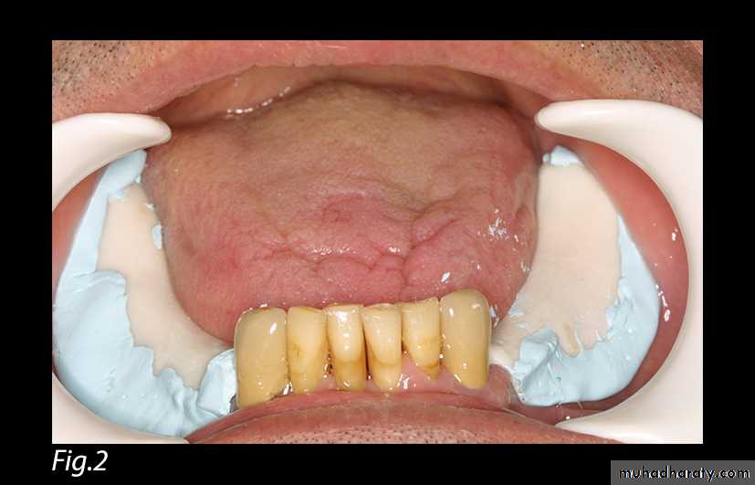
The construction of a removable partial denture in distal extension cases is a delicate procedure since the prosthesis is supported by two different tissues, namely teeth and mucosa. The different resiliency of these supporting tissues may lead to the instability of the prosthesis. This paper describes a functional impression technique that aims to equalize the masticatory load between teeth and edentulous areas thus reducing the instability of the partial denture during function and preserving the residual teeth.Keywords: Distal extension - dental impression - removable partial denture.Procedure:1. An individual resin tray is constructed with the self-curing acrylic resin (Formatray; Sybron/Kerr Co, Romulus, Mich) on the edentulous ridges areas of a preliminary cast. Compound occlusal rims (Impression Compound, Kerr (Europe) Co AG CH-4051 Basel) are fixed on the outer surface of the individual tray. Care is taken so that the height of the occlusal rims surpasses the height of the residual teeth in order to ensure a positive and sole contact between the occlusal rims and the impression stock tray later on during the pick-up impression phase (Fig. 1). The tray is selectively relieved and covers the edentulous areas up to the border tissue attachment including the retromolar pads [3, 8, 10, 11].2. The individual tray is loaded with zinc oxide-eugenol impression paste (Cavex Outline by Cavex Holland BV) and brought to position without any compression while the soft tissues are left in their passive state (Fig. 2).Fig. 1: Individual tray with occlusal rims surpassing the height of residual teeth.
Fig. 2: Impression of the edentulous ridges without any compression.
3. When the material sets, the tray is removed and the impression inspected (Fig. 3). The excess material is trimmed away and teeth are freed from any residual impression paste. The tray is tested in the mouth for stability.4. A metallic rim-lock perforated stock tray (Coe Stainless Steel Trays no. 264008, GC America Inc., Alsip, IL) covering the whole arch is chosen (Fig. 4). The mucostatic impression of the soft tissue areas, already taken, is inserted in the mouth (Fig. 5).Fig. 3: Mucostatic impression of the edentulous areas.
Fig. 4: Metallic stock tray chosen to cover the whole arch.The arrow indicates the site of finger pressure over the edentulous area.
Fig. 5: The mucostatic impression with the occlusalrims in place.
5. While the metallic tray is being loaded with an alginate impression material (Jeltrate, Dentsply Caulk, Milford, DE), this same material is used to fill the space between the soft tissue impression and the remaining teeth.6. The loaded metallic tray is inserted into position over the teeth and the acrylic tray. The index fingers are positioned on the tray facing the edentulous areas, and a positive pressure is exerted upon the metallic tray until the alginate impression material sets (Fig. 6). The completed impression is removed (Fig. 7). This maneuver permits to relate the edentulous ridge to the residual teeth in a functional state.
Fig. 6: Loaded metallic tray with a positive pressure.
Fig. 7: Pick-up impression relating edentulous
areas to residual teeth.In this technique, the role of the compound occlusal rims is to transmit the positive pressure exerted by the fingers to the edentulous ridge areas and to ensure a functional relationship between teeth and edentulous ridges. The impression is finally poured with dental stone (Silky-Rock, Whip Mix, Louisville, KY).
References:
1- Applegate OC. An evaluation of the support for the removable partial denture. J Prosthet Dent, 1960;10:112-123.2- Monteith B. Management of loading forces on mandibular distal-extension prostheses. Part I: Evaluation of concepts for design. J Prosthet Dent, 1984;52(5): 673-681.
3- McGiveney G, Brown D. McCracken's removable partial prosthodontics. 11 ed. 2005, St.Louis: Elsevier Mosby. 292-299.
4- McLean D. The partial denture as a vehicle for function. J Am Dent Assoc 1936;23:1271-1278.
5- Maxfield J, Smith D. The measurement of forces transmitted to abutment teeth of removable partial dentures. J Prosthet Dent 1979;41:134-42.
6- Christensen G. Making better removable partial dentures. J Am Dent Assoc 1995;126:1041-1044.
7- Christensen G. What has happened to removable partial prosthodontics? J Am Dent Assoc 2003;134:111-113.
8- Hindels G. Load distribution in extension saddle partial dentures. J Prosthet Dent 2001;85(4).
9- Hindels GW. Stress analysis in distal extension partial dentures. J Prosthet Dent, 1952;7:197-205.
10- Zarb G, Hickey C. Boucher’s Prosthodontic Treatment for Edentulous Patients 9ed. 1985, St Louis, MO: Mosby, p.538.
11- Stewart K, Kuebker W. Clinical Removable Partial Prosthodontics. 1983, St Louis, MO: Mosby, p.381-400.







