Inflammatory Lesions of the Jaws
• Periapical Inflammatory lesions.• Pericoronitis.
• Osteomyelitis: * Acute * Chronic
• Osteoradionecrosis.
• Bisphosphonate-related osteonecrosis of the jaws (BRONJ)
Medication- related osteonecrosis of the jaws (MRONJ)
Inflammatory Lesions of the Jaws
Most common pathologic conditions of jaws :
Body responds to chemical, physical, or microbiologic injury with inflammation.• Normally bone metabolism represent balance between osteoclastic bone resorption & osteoblastic bone production.
Mediators of inflammation change this balance either to bone resorption or bone formation.
• Necrotic pulp → periapical inflammatory lesion.
Spreading of infection along bone marrow→ Osteomyelitis.
• Periodontal lesions & pericoronitis : Lesion extended into overlying soft tissues that surrounding the crown of the partially erupted tooth.
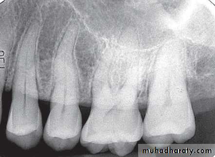
Periapical inflammatory lesions :
Is a local response of bone around apex of tooth that occurs 2° to pulpal necrosis or extensive periodontal disease..
Clinical features:
Asymptomatic -severe pain, with /without facial swelling, Fever.Lymphadenopathy.
Fistula.
Radiographic features:
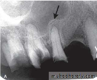
Location: Apex of involved tooth / Cervically up the tooth root.Periphery: Ill defined / Well defined, with gradual blending of normal trabecular pattern into sclerotic pattern.
Internal structure: *Early lesion→ no radiographic change.
*Widening of PDL space at the apex.
*A mixture of sclerosis (radiopaque) and rarefaction (radiolucent).
* ↑se bone formation → periapical sclerosing osteitis.
*↑se bone resorption → periapical rarefying osteitis.
No change
Effects on surrounding structures:
* Losing of lamina dura at the apex.* Regions of sclerotic bone around apex.
* External apical root resorption.
* Inflammatory periosteal reaction (new bone formation in max. S.) → halo shadow.
mucositis
PeriostitisDifferential diagnosis:
• Periapical cemental dysplasia : Vital lower mand. incisors- radiolucent, radiopaque, mixed.no root resorption.• Enostosis :
Dense bone islands, osteosclerosis,
Normal PDL space width,
well defined periphery,
no blending with surrounding bone.
• Periapical granuloma or cyst: Small radiolucent lesion with well defined periphery simulating a cortex.
• Cyst → displacement of adjacent structures & expansion of outer cortical boundaries of the jaw.±>1 cm → radicular cyst.
• After RCT and periapical surgery → apical radiolucency → apical scar.
TRt: 1- RCT. 2- Extraction .
Inflammation of the tissues surrounding the crown of a partially erupted tooth.
Clinical features:Pain and swelling , lymphadenopathy, trismus may occur especially in lower third molar area.
Radiographic features:* Soft tissue inflammation→no change. Location: Most common site → mand 3rd molar region.
*In close proximity to bone or inside follicular space.
Pericoronitis:
operculum
*Radiolucency or sclerotic with thick trabeculae.
Periphery: ill defined with gradual merging with sclerotic region.Internal structure: *Sclerotic with thick trabeculae. Or radiolucency adjacent to crown.
Effect on surrounding structures:*Sclerosis and rarefaction of surrounding bone.
*In extensive cases, new bone formation at inferior cortex, posterior border of the ramus, and
along the coronoid notch.
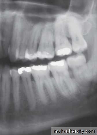
Osteomyelitis
It is an inflammatory process of bone that spread to all parts of bone ( marrow, cortex, cancellous portion, and periosteum) causing: *Destruction of endosteal surface of cortical bone.*Development of sequestra .
* It may resolve spontaneously or with antibiotic intervension.
It is divided into acute or chronic phase.
Acute osteomyelitis (Acute or subacute suppurative osteomyelitis, pyogenic osteomyelitis, Garre’s osteomylitis, proliferative periostitis, periosteitis ossificans):
It is an infection spreads to bone marrow. - Garre suggested that inflammatory exudates spread
subperiosteally, elevating periosteum and
stimulating new bone formation.
CT axial view : sequestra (arrows)
Clinical features: It affect all ages with male predilection .
• More common in the mandible.
• Rapid onset, swelling of adjacent soft tissue.
• Fever, lymphadenopathy.
• Involved teeth are sensitive to percussion, and mobile .
Radiographic examination: • Panoramic, intraoral periapical, and occlusal films.
CT scanning is good for detecting periosteal new bone formation and sequestra.
• MRI displays abnormal bone marrow edema.
Radiographic features:
Location: posterior body of the mandible.
Periphery: ill defined with gradual transition to normal trabeculae.
Internal structure: *Decrease in bone density.
* Loss of trabecular sharpness.
*Scattered areas of radiolucency.
* Sclerotic regions → sequestra.
.
Effect on surrounding structures:
*Bone resorption or bone formation.*Bone formation is parallel to bone surface and lift the periosteum.
*A radiolucent band separates this periosteal new
bone from the bone surface.
This is continue to form several radiopaque lines
separated by radiolucent bands (Onion-skin
appearance) → Proliferative periostitis
Differential Diagnosis:
*Fibrous dysplasia (normal bone and marrow is replaced with fibrous tissue) → bone enlargement inside the cortex, no onion- skin appearance.
*Malignant neoplasia (osteosarcoma, SCC) → periosteal bone destruction, no sequestra.
Management:
* Removal of inflammatory source→ tooth, RCT.
* Surgical incision and drainage.
*Antimicrobial treatment.
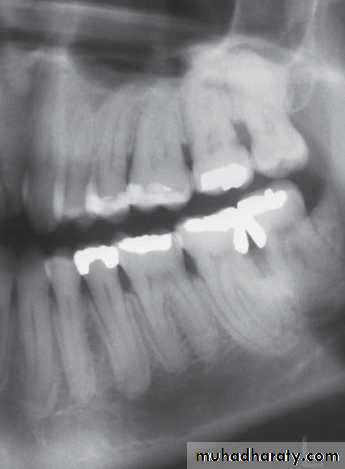
Chronic Osteomyelitis (Chronic diffuse sclerosing osteomyelitis, chronic non-suppurative osteomylitis, Garre’s osteomylitis) :
It is a state of balance in which bone metabolism is tipped toward bone formation producing sclerotic radiographic appearance.
Clinical features:
* Intermittent pain . * Swelling . * Fever . * Lymphadenopathy. * Drainage with sinus formation.
Radiographic features:
Location: *posterior mandible.Periphery: Better defined than the acute phase. In acute exacerbation periphery is radiolucent.
Internal structure: Lesion is more radiopaque and may be equivalent to cortical bone. Small regions of radiolucency may be scattered .
Effects on surrounding structures: New periosteal bone in series of radioqaue lines (onion skin) parallel to the cortical bone surface.
Apical widening of PDL space of non- vital tooth.
Well –defined break in outer cortex (draining fistula).
Differential diagnosis:
Fibrous dysplasia → no new periosteal bone formation, no sequestra.Paget’s disease→ affect the entire mandible.
*Osteosarcoma → sunray – like appearance (Codman's triangle).
Management:
*Surgical → sequestrectomy, resection .
* long term antibiotic therapy.
Fibrous dysplasia
OsteosarcomaPaget’s disease
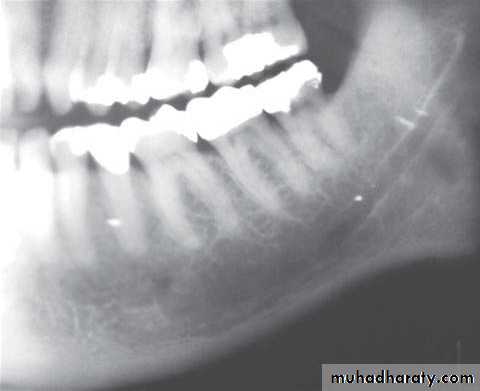
Osteoradionecrosis :
Inflammatory condition of bone (osteomylitis) that occur after the bone has been exposed to high therapeutic doses of radiation for treatment of malignancy of head & neck.*Subsequent trauma (e.g. tooth extraction) or infection may produce osteomyelitis with rapid destruction of the irradiated bone, sequestra formation and poor healing.
Doses ≥ 50 GY irreversible damage.
Radiation causes damage to bone , hypoxia, hypocellularity and hypovascularity . Delayed or lack of healing
.
Clinical features:
The mandible is more common specially posterior part.
• Loss of mucosal covering & bone exposure is evident.
• Pain may be present.• Sequestration of bone with swelling.
• Extraoral drainage.
Radiographic features: Similar to chronic osteomylitis.
Location: posterior part of the mandible.
Periphery: ill – defined , irregular cortical resorption.
Main radiographic features:
Ragged, patchy or moth-eaten radiolucent areas of bone destruction.
• Occasional evidence of radiopaque sequestra of dead bone.
• Little evidence of healing.
.
Effects on surrounding structures: Stimulation of sclerosis. No new periosteal bone formation.
Management:
• Preventive therapy is more effective than curative one.
• Removal of periodontally involved tooth before radiation.
• Treatment with good oral hygiene are main objectives of preventive therapy
Extraction of /6, showing the typical destructive appearance (solid arrow),
resulting in a pathological fracture (open arrow). Radiotherapy had been given several years previously
Osteoradionecrosis of the maxilla. (A) before radiotherapy and (B) within 6 months of receiving the radiation. Note the combination of bone sclerosis, bone destruction around the teeth and alveolar crest and widening of the periodontal membrane space.
B
A
Bisphosphonate- Related Osteonecrosis of the jaw (BRONJ) :
Is an antiresorptive agent that were used for prevention of bone loss.It inhibits osteoclasts and reduce bone metabolism.
They are used for treatment of the following conditions:
1- Bone lesions of multiple myeloma 2- hypercalciemia of malignancy 3- Metastatic bone tumors. 4- Osteoporosis.
Denosumab; another antiresorptive agent; and the antiangiogenic agents like sunitinib and bevacizumab were also found to cause jaw necrosis , hence the nomenclature of BRONJ changed by the American Association of Oral and Maxillofacial Surgeons to medication- related osteonecrosis of the jaws (MRONJ)
Clinical features:
Patients may be diagnosed with MRONJ if the following three situations are present ( American Association of Oral and Maxillofacial Surgeons:2015) :• They are receiving or have received treatment with antiresorptive or antiangiogenic medications.
• They present with exposed necrotic bone in the maxillofacial region that has persisted for more than 8 weeks.
• They have no history of radiation therapy.
• It is more common in posterior mandible.
Staging:
Stage (0) At Risk : No apparent exposed /necrotic bone in patient who have been treated with either I.V or oral medication.
Stage 1: Exposed bone, no pain or Infection .
Stage II- Exposed bone with infection and pain .
Stage III- Pathological fracture, large volume of necrotic bone, no response to antibiotics.
Radiographic features: There are no specific radiographic findings with clinically exposed bone.
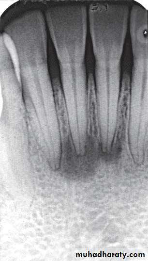
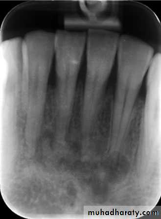
• Presence of sequestra . • Increase in bone sclerosis. • Widening of PDL space • Thicknening of lamina dura.
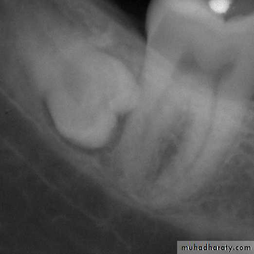
(BRONJ). Exposed necrotic bone is seen at the lingual side of the mandibular right second molar. A lesion with osteolysis and osteosclerosis extends from second molar to first premolar region
( A and B ) of the same patient taken 7 years apart reveal thickening of the lamina dura around the teeth.
A
B
B
A
( A and B ) of the same patient taken 1 year apart demonstrate a developing sclerotic bone pattern with a sequestra (arrow) related to bisphosphonate therapy.
Management:
• Preventive treatment as patient should have dental examination to exclude any source of infection before drug intake.• Treatment is aimed at controlling the symptoms of pain and infection with antibiotics and mouth washes.



























