بِــــسْـمِ الله ِالرَّحمَن ِالرَحِيْمِ
Salivary GlandsPace Be Upon You
Provided by the students:
• Hassan Thamer
• Riyadh Nazeeh
• Hassan Hazim
The major salivary gland are paired:(Parotid , Submandibular and Sublingual).
They are branched tubuloalveolar glands.The connective tissue capsule surrounds the gland and provides septa that subdivide the gland into lobes and lobules.
Individual acini arealso invested by thinconnective tissueelements.
The Duct system
In the duct system, the Lumina are formed by:• Intercalated ducts which in turn join to form
• Striated ducts which drainedinto a duct situatedbetween the lobsof the gland called
• interlobular duct orexcretory duct.
The smallest ducts are the intercalated duct to which secretory acini and tubules are attached, composed of single layer of small cuboidal cells and have myoepithelial cells.
The striated duct is composedof a single layer of columnarcells with centrally nuclei.
The interlobular duct(excretory duct)is linedby pseudostratified cuboidalepithelium.
The Secretory Portion
It is arranged in tubules and acini which are composed of three types of cells:• 1. Serous cells: resemble truncated
• pyramids and have single roundbasally located nuclei andcontain numerous basophilicgranules, basally located,and apical acidophilsecrtory granules.2. Mucous cells: They are similar to the serous cells but their nuclei are flattened and basally located.
m
3. Myoepithelial cells (basket cells): are modified
muscle cells associated with gland surroundedthe alveoli as basket so they are called basket
cells.
Is the largest salivary gland.
Its secretory portion is composed exclusively of serous cells.Its connective tissue capsule is well developed and forms numerous septa which subdivides the gland into lobs and lobules.
• Parotid Gland (Pure Serous):
The duct of Steensen is the main excretory duct which opens into the vestibule of the oral cavity opposite to the second upper molar tooth.
Serous acini
Adipose cells
Interlobular
duct
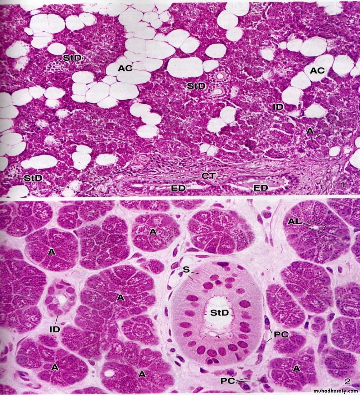
2. Submandibular Gland:
Produces approximately 60% of total salivary output.Its secretory portion contains both serous and mucous cells (seromucous).
In human, about 90% of its product are serousacinar, whereas 10% is mucous.
Histological sections of this gland display many cross-sectional profiles of these ducts (a characteristic feature of the submandibular gland).
Its connective tissue capsule is extensive and forms numerous septa.
Fatty infiltration of the connective tissue elements into the parenchyma is evident by midlife.
Submandibular Gland
c.t. septaStriated duct
Mucus acini
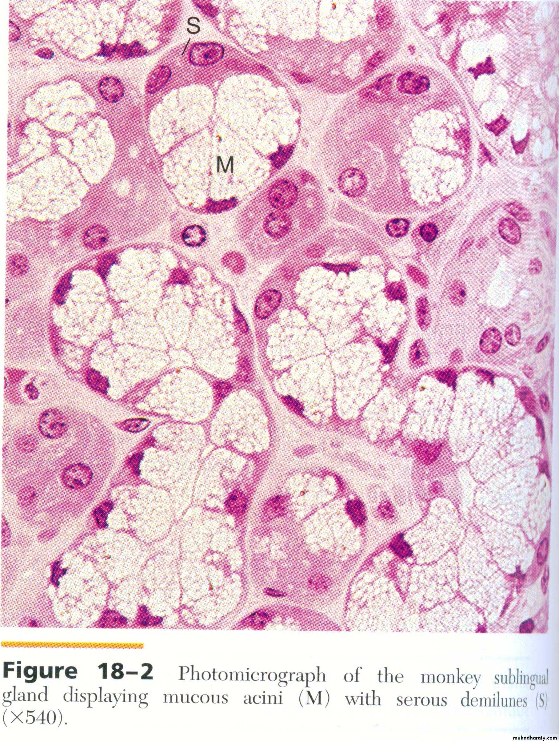
3. Sublingual Gland:
• The smallest of the three major salivary glands.• Almond-shaped, about 2 – 3 gm.
• Produces about 5% of the totalsalivary output.
• The output secretion is mixed (seromucous) ,but mostly mucous saliva.
• Histologically, is composed of mucous tubular secretory units, many of them are capped by a small cluster of serous cells (serous demilunes ).
Mucous Acini
Serous Demilunes• Serous demilunes are known to secret lysozymes.
• The gland has a scant connective tissue capsule.
• The intercellular canaliculi are well-developed between the secretory units, and the intercalated and striated ducts are short.
• Instead of a single terminal duct, it has 10-12 ducts open into the floor of the mouth and into the submandibular gland’s duct.



















