قراءة
عرض

Diagnosis

It is essential to obtain the exact history of the hypersalivation as well as a thorough and complete past medical history.
Oral evaluation should be performed, focusing on salivary gland enlargements, oral ulcerations, head/neck/oral masses, neuromuscular function, and condition of removable intraoral prostheses.
A salivary flow rate should be obtained.
The normal rate of unstimulated salivary output from all glands is approximately 2.0 to 3.5 mL per 5 minutes.


salivary gland tumor

Diagnosis (Cont.)

Blood samples should also be obtained and evaluated for heavy metals.
Premenopausal women should be evaluated for potential pregnancy.
If the onset is acute, a CT scan of the brain should be obtained to rule out a CVA or a central nervous system mass.


salivary gland tumor


Salivary Gland Tumor

Benign Tumors

Pleomorphic Adenoma

It’s the most common tumor of the salivary glands; overall, it accounts for about 60% of all salivary gland tumors.
It’s a mixed tumor because it consists of both epithelial and mesenchymal elements.
The majority of these tumors are found in the parotid glands, with less than 10% in the submandibular, sublingual, and minor salivary glands.
It may occur at any age, but the highest incidence is in the fourth to sixth decades of life.

Clinical presentation

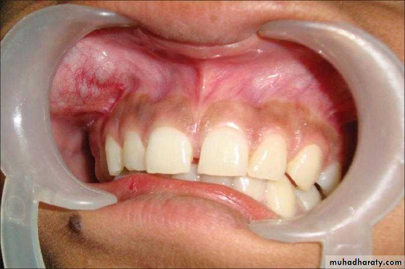
It appears as painless, firm, and mobile masses that rarely ulcerate the overlying skin or mucosa.
In the parotid gland, these neoplasms are slow growing and usually occur in the posterior inferior aspect of the superficial lobe.
In the submandibular glands, they present as well-defined palpable masses.
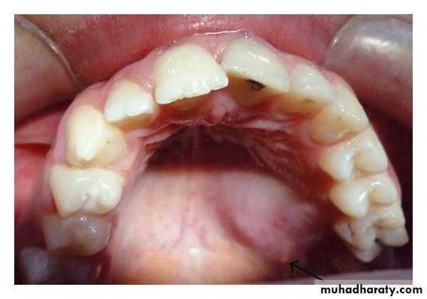
Intraorally, pleomorphic adenomas most often occur on the palate, followed by the upper lip and buccal mucosa.
It can vary in size, depending on the gland in which they are located.


salivary gland tumor





salivary gland tumor




salivary gland tumor

Rare case of PA on the Buccal mucosa

salivary gland tumor




salivary gland tumor

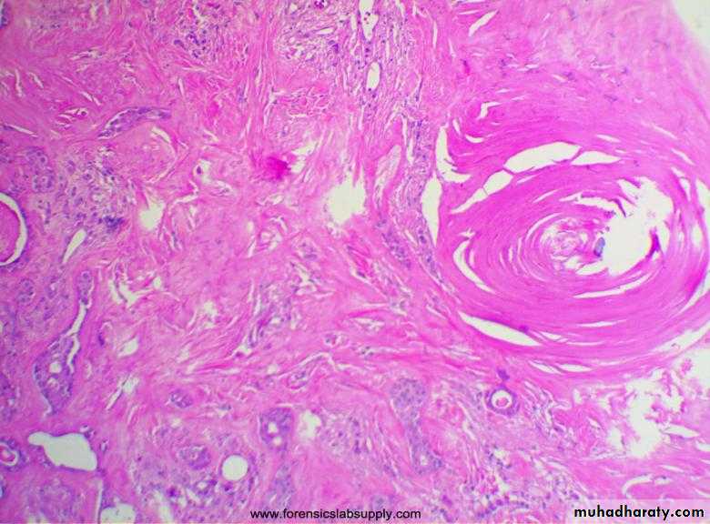
Pathology

The gross appearance of pleomorphic adenoma is that of a firm smooth mass within a pseudocapsule.
Histologically, the lesion demonstrates both epithelial and mesenchymal elements.
The presence of these different elements accounts for the name pleomorphic tumor or mixed tumor.
One characteristic of a pleomorphic adenoma is the presence of microscopic projections of tumor outside of the capsule.
If these projections are not removed with the tumor, the lesion will recur.



salivary gland tumor




salivary gland tumor

Treatment

Surgical removal with adequate margins is the principal treatment.
Because of its microscopic projections, this tumor requires a wide resection to avoid recurrence.
A superficial parotidectomy is sufficient for the majority of these lesions.
Lesions that occur in the submandibular gland are treated by the removal of the entire gland.

Monomorphic Adenoma

It’s a tumor that is composed predominantly of one cell type, as opposed to a mixed tumor (pleomorphic adenoma), in which different elements are present.

Management is the same as for a pleomorphic adenoma.

Basal Cell Adenoma
Basal cell adenomas are slow-growing and painless masses that account for approximately 1 to 2% of salivary gland adenomas.
This lesion has a male predilection (male-to-female ratio is 5:1).
70% of basal cell adenomas occur in the parotid gland, and the upper lip is the most common site for basal cell adenomas of the minor salivary glands.


Treatment
Treatment is surgical excision with a margin of normal tissue.
Recurrence is rare but has been reported; thus, patients should be monitored periodically.

Malignant Tumors

Mucoepidermoid Carcinoma
It’s the most common malignant tumor of the salivary glands.
It is the most common malignant tumor of the parotid gland and the palate is the most common site for affected minor SG.
The highest incidence occurs in the third to fifth decades of life.

Clinical presentation

The clinical course depends on the grade.
Low-grade tumors undergo a long period of painless enlargement.
High-grade mucoepidermoid carcinomas often demonstrate rapid growth and a higher likelihood for metastasis. Pain and ulceration of overlying tissue are occasionally associated with this tumor.
If the facial nerve is involved, the patient may exhibit a facial palsy.


salivary gland tumor




Treatment
A low-grade mucoepidermoid carcinoma can be treated with a superficial parotidectomy if it involves only the superficial lobe.
High-grade lesions should be treated aggressively to avoid recurrence.
Postoperative radiation therapy is a useful adjunct in treating the high-grade tumor.

Adenoid Cystic Carcinoma

The most common malignant tumors of the submandibular and minor salivary glands.
Approximately 50% of all adenoid cystic carcinomas occur in the minor salivary glands.
It is characterized by frequent late distant metastases and local recurrences, which account for low long-term survival rates.

Clinical presentation

It presents as a firm unilobular mass in the gland.
It’s painful, and parotid tumors may cause facial nerve paralysis in a small number of patients.
Unfortunately, the tumor’s slow growth may delay diagnosis for several years, allowing perineural invasion to be advanced at the time of surgical removal.
An intraoral adenoid cystic carcinoma may exhibit mucosal ulceration, a feature that helps distinguish it from a benign mixed tumor.
Metastases into the lung common.


salivary gland tumor




Treatment
Radical surgical excision of the lesion is the appropriate treatment.
Even with aggressive surgical margins, tumor cells can remain, leading to long-term recurrence.
There’s better survival in tumors originating from the parotid gland compared with minor salivary glands.
Factors affecting the long-term prognosis are the size of the primary lesion, its anatomic location, the presence of metastases at the time of surgery, and facial
nerve involvement.

Acinic Cell Carcinoma

Between 90 and 95% of these tumors are found in the parotid gland; almost all of the remaining tumors are located in the submandibular gland.
This tumor occurs with a higher frequency in women and is usually found in the fifth decade of life.


salivary gland tumor




salivary gland tumor

Clinical presentation

These lesions often present as slow-growing masses.
Pain may be associated.
The superficial lobe and the inferior pole of the parotid gland are common sites of occurrence.


Treatment
The tumor initially undergo a relatively benign course.
Treatment consists of superficial parotidectomy, with facial nerve preservation if possible.
When found in the submandibular gland, total gland removal is the treatment of choice.



رفعت المحاضرة من قبل: Mustafa Shaheen
المشاهدات: لقد قام 5 أعضاء و 480 زائراً بقراءة هذه المحاضرة








تسجيل دخول

أو
عبر الحساب الاعتيادي
الرجاء كتابة البريد الالكتروني بشكل صحيح
الرجاء كتابة كلمة المرور
لست عضواً في موقع محاضراتي؟
اضغط هنا للتسجيل