SKIN TUMOURSDr. Saad M Attash2018
The epidermis is composed of keratinised, stratified, squamous epithelium and can be subdivided further into five layers: the stratum basale (deepest), the stratum spinosum, the stratum granulosum the stratum lucidum and the stratum corneum (superificial). It accounts for 5% of the total skin. The dermis constitutes 95% of the skin and is structurally divided into two layers. The superficial papillary layer is composed of delicate collagen and elastin fibres in ground substance, into which a capillary and lymphatic network ramifies . The deeper reticular layer is composed of coarse branching collagen, layered parallel to the skin surfaceAdnexal structures such as hair follicles and sebaceous and sweat glands span both the epidermal and dermal layers and contain some keratinocytesLipoma : Lipomas its the most common tumor in man. Lipoma it a dermal or subcutaneous collection of benign adipose tissue. Most lesion are solitary , discrete nodule that remain asymptomatic and occur commonly in trunk and extremities. Often the lesions may have a fibrous capsule that can surrounded the collection of adipose cells. Dercum syndrome : is a rare condition characterized by multiple, painful lipomas. These lipomas mainly occur on the trunk, the upper arms and upper legs. Treatment : usually removed for cosmetic reasons or on occasion pain, as a result of a neural or vascular component (angiolipoma) or when they compress an adjacent nerve.Large lipomas (>10cm) as well as deep-seated one Should arouse the suspicion of malignant change. The most frequent malignant counterpart is the liposarcoma
Sebaceous cyst (epidermal cyst) : Are the most common form of cysts, they can occur at any age and any body location except in the palm and soles. Most commonly , they occur in areas of increase pilosebaceous activity on the head and upper trunk. The lesion occur when The duct of sebaceous gland become blocked, it distended with its own secretion and ultimately become sebaceous cyst. It is firm swelling, adherent to skin and has punctum. It may get infection and ulceration. Complications : infection, ulceration, calcification, keratin horn and malignant change which is very rare Treatment : if infected treated by drainage the abscess and later on surgical excision
Basal cell carcinoma : It is the most common malignancy of whites. It arise from A-basal layer epithelial cells. B-external root sheath of hair follicle. It is slowly growing tumor, it doesn’t metastasize but can infiltrate the adjacent tisssues. commonly found in face above line drawn from angle of mouth to lobe of ear. It could occur anywhere, but particularly in the skin of scalp, face, arm and hands i.e sun exposed area. Microscopic appearance : Characteristic finding is of ovoid cells in nest with a single outer (palisading) layer.
Risk factors : 1- Sun exposure. 2- Adancing age. 3- Faint complexion. 4- Long term exposure to psoralene and UVA therapy (for psoriasis). 5- Arsenic exposure. 6- Immunedefeciency. 7- Radiation 8- Viral infection e.g. HPv 16,HIV.Type of basal cell carcinoma : 1- Nodular ulcerative type. 2- Superfscail spreading. 3- Sclerosing type. 4- Pigmented type. 5- Basal cell naevoid syndrome (Gorlin syndrome).
Treatment of basal cell carcinoma : Curettage and desiccation. Surgical excision with safty margin (0.5 cm). Cryotherapy. Radiation therapy. Mohs fresh frozen section. Dermobrasion and chemical peel. Interferon alpha. Co2 LASER. Local chemotherapy e.g 5-fluorouracil
Sequamous cell carcinoma : It originates from the keratinising cells of epidermis or its appendages. it also arise from stratum basale of epidermis but, unlike BCC,it expresses cytokeratins I and 10. Types of sequmaous cell carcinoma: A-verrucous SCC: slow growing,exophytic,and less likely to metastasize. B-ulcerative SCC:grow rapidly and is locally invasive. Microscopic appearances :Charactrestic irregular masses of squamous epithelium are noted to proliferate and invade the dermis from the germinal layer.this tumor is stains positive for cytokeratin 1 and 10.
Treatment : as for basal cell carcinoma but with exception is safe margin are more than that of basal cell carcinoma (1-2 cm).
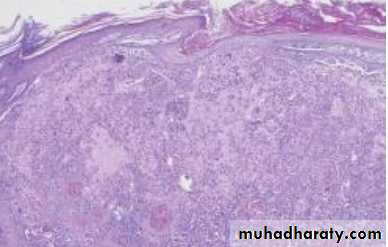
• Malignant melanoma : It is neoplasm of melanocyte which is neural crest derived cells that have differentiated toward melaoncytes.it occur in skin but can occur anywhere in body where the melanocyet are exist, such as bowel mucosa, retina…etc.Microscopic appearances : Atypical melanocyte invades from the dermis-epidermis junction down into the dermis.Clinical features : appeared as change in pre-existing naevus or as new lesion. Assess lesion for ABCDE :AsymmetryBorder irregularityColour change Diameter more than 6mmExtra features (itch,bleeding…. ).
Melanoma thickness grading : Clark level : 1- In situ 2- Papillary dermis 3- Papillary reticular dermis 4- Reticular dermis 5- Sucutaneous Breslow depth (mm) : 1- <1.00 2- 1.01-2.00 3- 2.01-4.00 4- >4.00 5- More depth in mm means more aggressive tumours
Treatment of malignant melanoma :
Surgical excision of primary tumour is the mainstay of treatment.In situ 0.5 cm safety margin
< 1 mm 1 cm
1 to 4 mm 2 cm
> 4 mm 2-3 cm
With lymph node dissection (in case of lymph nodes metastasis).
For advanced melanoma number of therapeutic modalities which included: systemic chemotherapy, immunotherapy, isolated limb perfusion, and radiotherapy.
Prognosis : 1- Breslow depth. 2- Type of lesion: superficial type better prognosis. 3- The anatomical site: tumor on the trunk and scalp have poor prognosis. 4- Lymph node metastasis. 5- Sex: good prognosis in female than male Prevention : 1- Avoid sun exposure by using physical and chemical barrier2- Prophylactic removal of suspicious naevus3- Periodic self examination in front of mirror

















