د. خالد امراض 5\3\2018
عدد الاوراق ( 7 ) م\3\موصل lec: 3Tumors And Tumor-Like Lesions
.presentation
-epigastric fullness & discomfort
-detected by
.routine physical examination
.radiographic studies
. Laboratory investigation
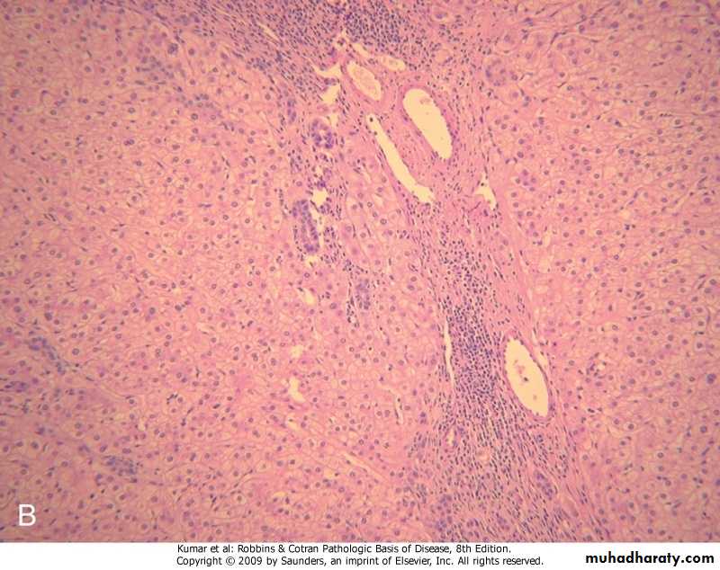
NODULAR HYPERPLASIAS .focal nodular hyperplasia (solitary).nodular regenerative hyperplasia (numerous)common factor in both lesions is focal or diffuse obliteration of portal vein radicles with compensatory augmentation of arterial blood supplyFocal Nodular Hyperplasia.well-demarcated up to many centimeters in diameter most frequently in young to middle-aged adults.yellowish with central gray-white, depressed stellate scar from which fibrous septa radiate to the periphery.attributed to long-term use of anabolic hormones or of contraceptives
Focal nodular hyperplasia
Focal nodular hyperplasia
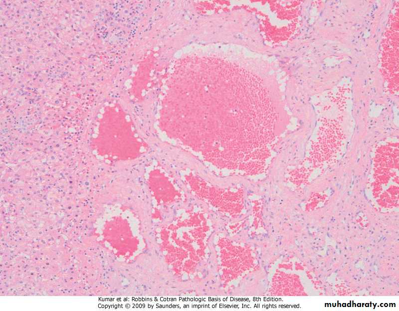
BENIGN NEOPLASMS Cavernous HemangiomaLiver Cell Adenoma.occurs in young women on oral contraceptives.have clinical significance -mistaken for hepatocellular carcinoma -subcapsular adenomas may rupture, particularly during pregnancy>life- threatening intraperitoneal hemorrhage -rarely may transform into carcinoma
.morphology -grossly .well demarcated solitary or multiple nodules up to 30 cm in diameter .yellow-tan, & frequently bile-stained -histology .sheets & cords of hepatocytes .no portal tracts, instead, prominent solitary vessels are present
Liver cell adenoma
Liver cell adenoma
MALIGNANT NEOPLASMSHepatocellular carcinoma
Cholangiocarcinoma
Hepatoblastoma
Angiosarcoma
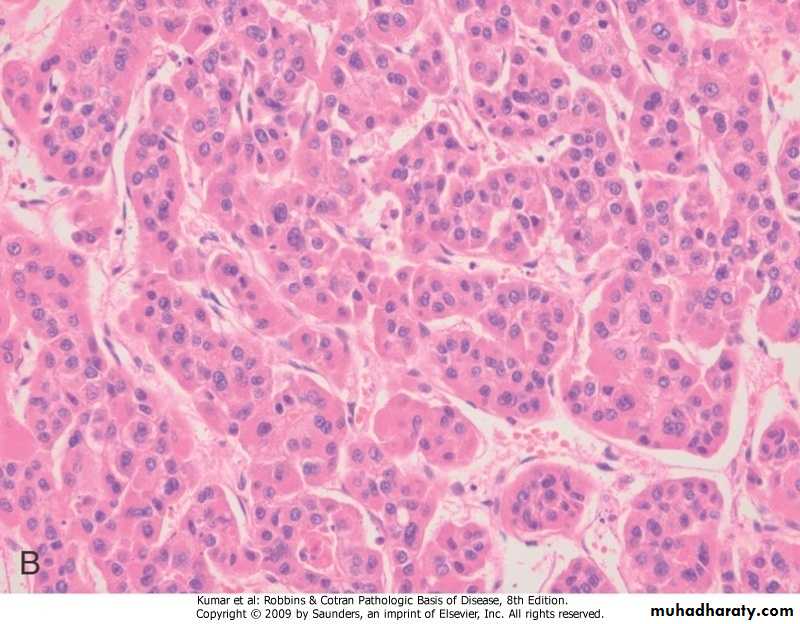
Hepatocellular Carcinoma .male:female is 3:1.age incidence 20-40 years.major etiological factors -viral infection (HBV,HCV) -chronic alcoholism -non-alcoholic steatohepatitis (NASH) -food contaminants (aflatoxins).pathogenesis -many factors interact (genetic, age, gender, chemicals, hormones, & nutrition) -repeated cell death & regeneration
.morphology -grossly (single mass, multifocal, diffuse) -histologically (differentiated, anaplastic)
Hepatocellular carcinoma
Hepatocellular carcinoma
.clinical features -non-specific -abdominal pain -abdominal fullness -abdominal mass.diagnosis -radiology -biopsy .natural course -progressive enlargement>seriously disturbing hepatic function -metastasizes, to lungs & other sites -death occurs from .cachexia .G-I or esophageal variceal bleeding .liver failure .rupture of tumor with fatal hemorrhage -five year survival of large tumors is dismal (death within first 2 years)Cholangiocarcinoma
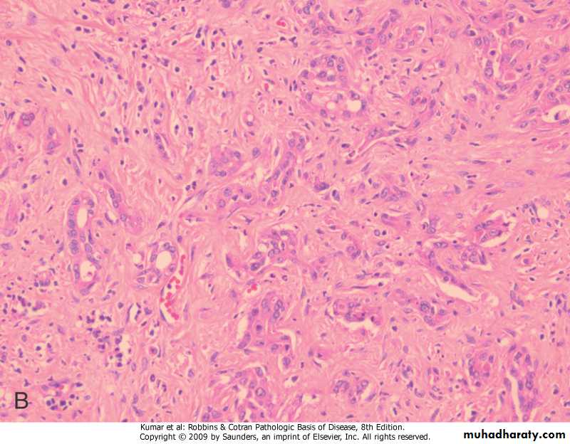
.cancer of bile ducts
.risk factors
-primary sclerosing cholangitis
-congenital fibrocholecystic disease of biliary system
-previous exposure to Thorotrast
-chronic biliary infection by liver fluke
.morphology
-gross (single mass) -histology (glands formation without bile)
Cholangiocarcinoma
Cholangiocarcinoma
.diagnosis -radiology -biopsy.clinically is detected late as -obstruction to bile outflow -liver massMetastatic Tumors .far more common than primary ones .the most common primaries -breast -lung -colon.typically, multiple nodules are producedIntrahepatic Biliary Tract DiseaseSecodary biliary cirrhosis
Primary biliary cirrhosis, periductal inflammation
Primary sclerosing cholangitis, periductal fibrosis
THE BILIARY TRACTGall Bladder
.a storage organ for bile, with a capacity of 50 mL in adults .histology -mucosa -fibro-muscular layer -sub-serosal layer -peritoneal covering.cystic duct joins common hepatic duct> common bile duct courses head of pancreas>duodenum through Ampulla of Vater
CONGENITAL ANOMALIES
.Agenesis
.Duplicated
.Bi-lobed
.Aberrant location
.Folded fundus
CHOLELITHIASIS.afflicts 10%-20% of adults .types -cholesterol-containing stones, (80%) -bilirubin-containing (pigment )stones, (20%) .risk factors -cholesterol stones .old age .female sex hormones .obesity & metabolic syndrome .rapid weight reduction .gallbladder stasis .inborn errors of bile acid metabolism .hyperlipidemia syndromes
-pigment stones .chronic hemolytic syndromes .biliary infection .gastro-intestinal disorders (Crohn disease, ileal resection or bypass, cystic fibrosis).pathogenesis -cholesterol stones .super-saturation of bile with bilirubin & cholesterol -pigment stones .disorders associated with elevated levels of unconjugated bilirubin in bile -hemolytic syndromes -severe ileal dysfunction or bypass -bacterial contamination of biliary tree
.morphology -cholesterol stones .pure-pale yellow, round to ovoid, (radiolucent) .mixed (calcium carbonate, phosphates, & bilirubin)-gray-white to black, (radio- opaque in 10%-20%) -pigment stones .black-sterile bile (radio-opaque in 50%- 75%) .brown-infected bile (all radiolucent)
Gall bladder, cholesterol stones
Gall bladder, pigment stones
.clinical features -silent -biliary colic -complication in gall bladder (empyema,perforation, fistulas, cholecystitis,
carcinoma)
-cholangitis & cholestasis
-pancreatitis
-intestinal obstruction
CHOLECYSTITIS
.almost always occurs in association with gall stones.types
-acute
-chronic
-active chronic
Acute Cholecystitis .calculous cholecystitis (obstruction of bladder neck or cystic duct) .acalculous cholecystitis (severely ill patients) -post-operative state -severe trauma -severe burns -multi-system organ failure -sepsis -prolonged intra-venous line -post-partum state
.pathogenesis -calculous (chemical inflammation) -acalculous (ischemia).morphology -enlarged hemorrhagic gallbladder -lumen is filled with turbid bile that may contain pus & fibrin -empyema -gangrene
.clinical features
-abdominal pain at right upper quadrant or epigastric region-most patients have no jaundice
-in calculous cholecystitis, the attack may be sudden
-in acalculous cholecystitis, symptoms are more insidious
Chronic Cholecystitis.follows bouts of acute cholecystitis, or occurs de novo.gall stones are present in 90% of cases.pathogenesis -super-saturation of bile.morphology -gross, thickened wall, lumen contains clear, mucoid bile & usually stones -histology, inflammation - Outpouchings of the mucosal epithelium through the wall (Rokitansky- Aschoff sinuses) -hydrops of gallbladder
Chronic cholecystitis
Chronic cholecystitis, Rokitansky-Aschoff sinus
.clinical features-recurrent attacks of abdominal pain at epigastric or right upper quadrant
-nausea, vomiting, & intolerance for fatty foods
.complications -bacterial infection>cholangitis -gallbladder perforation>local abscess -gallbladder rupture>peritonitis -biliary-enteric fistula -aggravation of a pre-existing medical illness -porcelain gall bladder>cancer
Extra-Hepatic Bile Ducts
CHOLEDOCHOLITHIASIS
.stones either arise within gallbladder, or formed in ducts
.clinical features
-asymptomatic
-obstruction>cholangitis
-pancreatitis
-hepatic abscess
-secondary biliary cirrhosis
-acute calculous cholecystitis
BILIARY ATRESIA.complete or partial obstruction of lumen of extra-hepatic biliary tree within first 3 months of life .presents as neonatal cholestasis .pathogenesis -fetal form, associated with other anomalies -perinatal form, normal biliary tree is destroyed after birth, due to .viral infection, or .genetic predisposition
Tumors Of Gall Bladder
BENIGN TUMORS AND TUMOR-LIKE LESIONS.Adenoma.Inflammatory polyp.Adenomyosis
CARCINOMA OF THE GALLBLADDER.slightly more common in females.most frequently in the 7th decade of life .only rarely is surgically resectable .mean 5-year survival rate is about 1% .predisposing factors -stones -infection .morphology -grossly (infiltrative, exophytic) -microscopically (adenocarcinoma).clinically, rarely detected preoperatively
Gall bladder, adenocarcinoma
Gall bladder, adenocarcinoma




















