د. وحدة امراض 10\4\2018
عدد الاوراق ( 14 ) م\3\موصل lec:3The Female Genital Tract
Tumors of the vulva:
A variety of benign skin neoplasm such as papillomas , fibromas & lipomas occur in the vulva & there is a site at which benign sweat glands tumors hidradenoma are particularly prone to develop .Papillary hidradenoma is identical in appearance to intraductal papilloma of the breast .It is present as a sharply circumscribed nodules on the labia majora or interlabial folds .
Condyloma accuminataum (venereal wart ) are sexually transmitted benign tumors.
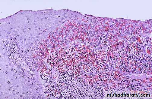
Malignant vulvar neoplasm are uncommon & most tumors are squamous cell carcinoma .
These tumors usually develop in elderly women & can arise either from an epithelium showing the changes of Vulval Intra epithelial Neoplasia (VIN) i.e. mean dysplasia, or an otherwise normal sq. epithelium .The tumor may present as :
Indurate plaque.
Ulcer with hard rolled edges.
Warty mass.
Most commonly on the labia majora
Extramammary Paget’s diseaseoccur on labia majora , minora &/or perineal skin .
It is similar in its skin manifestations to Paget’s disease of the breast .
It manifests as a pruritic red ,crusted ,sharply demarcated map-like area .
It may be accompanied by a palpable submucosal thickening or tumor.
Microscopically:
There are large anaplastic tumor cells lying singly or in small clusters within the epidermis & its appendages .These cells are distinguished by a clear separation halo from surrounding epithelial cells & a finely granular cytoplasm containing PAS ,Alcian blue ,0r Mucicarmine + ve mucopolysaccharide .
In contrast to Paget’s disease of the breast , in which 100% of patients show an underlying ductal breast carcinoma , vulvar lesions are most frequently confined to the epidermis of the skin & adjacent hair follicles & sweat glands .
The prognosis of Paget’s disease is poor in cases associated with carcinoma ,but intraepidermal extra mammary Paget’s disease may persist for many years even decades without the development of invasion .
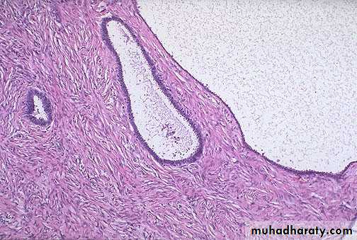
Gartner’s Duct Cysts
They are relatively common lesions found along the lateral walls of the vagina & derived from wolffian duct rests.They are 2cm. fluid filled cysts that occur sub mucosally .
Vaginal Intraepithelial Neoplasia & Squamous Cell Carcinoma
Primary carcinoma of the vagina accounting for about 1% of malignant neoplasm in the female genital tract & of these 95% are sq. cell carcinoma. The greatest risk factor is previous cancer of the cervix or vulva .From 1- 2% of patients with an invasive cervical cancer eventually develop vaginal sq. ca. This has been attributed to multicentric nature of the sq. neoplasia in the lower genital tract ,inadequate removal of primary ca. & mutagenic effects of radiation therapy .
Adenocarcinoma
It is rare but has received attention because of the increased frequency of clear cell adenocarcinoma in young women whose mothers had been treated with Diethylstilbestrol (DES) during pregnancy ( for a threatened abortion ).
Fortunately fewer than 0.14% of such DES exposed young women develop adenocarcinoma .
The uterus
The cervixCervicitis
Cervical infection is common, possibly because of the complex deep folds of the endocervical crypts offer a relatively protected haven in which microorganisms can flourish.Many cervical infections are of a non-specific & probably mixed bacterial nature but specific infections with Neisseria gonorrhea , Herpes virus ,Chlamydia , Mycobacteria ,Trichomonas vaginalis & Treponema pallidum can occur .
Cervical ectopy (Erosion)
The term is applied to a red area on the ectocervix which surrounds the external os.An ectopy is a physiological change consequent up on an increase in cervical bulk , as occurs at puberty or in pregnancy. This causes an unfolding of the cervix with eversion of the distal endocervix out in to what is anatomically the ectocervix .The thin endocervical columnar epithelium is relatively transparent & hence the subepithelial vessels impart to an ectopy its characteristic redness .
The exposure of the delicate endocervical epithelium to the acidity of the vagina results in squamous metaplasia , a protective mechanism .
This area of sq. metaplasia is often known as the transformation zone & it is of considerable importance because most cervical carcinoma appear to originate at this site.
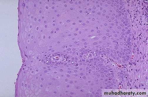
Premlignant diseases of the cervix
Squamous cell carcinoma of the cervix does not usually arise abruptly in other wise normal cervical sq. epithelium but evolves over a number of years ,probably 10-15 years , from an epithelium which shows progressively severe degrees of abnormality .The early or premalignant stage of cervical ca.
is characterized by the presence within the sq. epithelium of cells showing :Failure of maturation.
Loss of polarity.
Excessive & abnormal mitotic activity.
Increase of N/C ratio.
Both nuclear & cytoplasm pleomorphisum.
The term cervical intraepithelial neoplasia (CIN) has been introduced to cover the whole spectrum of premalignant changes in cervical epithelium. If undifferentiated cells are confined to lower third of the epithelium the lesion is classified as CIN I ,whilst if such cells extend in to the middle third of the epithelium the term CIN II is applied .If undifferentiated cells extend to the upper third of the epithelium or occupy its full thickness the lesion is regarded as CIN III .
It should not , however ,be assumed that all examples of CIN I or CIN II progress to CIN III or that CIN III will invariably proceed to an invasive ca .
Many cases of CIN at any stage in the evolution of this abnormality, either remain stationary or regress with probably no more than 1/3 of cases of CIN III advancing to invasive stage .
All cases of CIN have to be regarded as potentially invasive ,fortunately these epithelial lesions , though asymptomatic are readily detected by cytological examination of the cervical smear preparations (Pap smear)& their treatment & eradication by techniques such as cryocautory & laser therapy are relatively simple.
The Bethesda system was introduced since 1988 for the interpretation of Pap smears.
It is hoped that cytological smearing will reduce the incidence of invasive cervical ca .
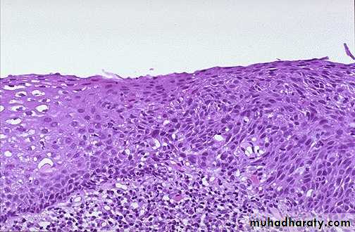
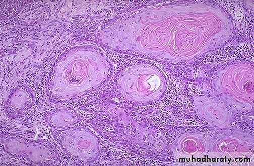
Malignant Tumors of The Cervix
70 % of malignant tumors of the cervix are sq. cell ca.. Most of the remainder being either adenocarcinoma or mixed adenosquamous carcinoma.Squamous cell carcinoma
Epidemiological studies demonstrated an association between sq. cell ca. of the cervix & early marriage ,early pregnancy ,a high no. of pregnancies , sexual promiscuity, divorcé ,sexually transmitted diseases, prostitution& low socioeconomic status .It is virtually certain that the more common link between these various factors is the early onset of sexual activity .It is believed that a carcinogen is transmitted sexually by the male at a time when the epithelium of the cervix is in unstable state i.e. when the transformation zone is undergoing sq. metaplasia during late adolescence.
Certainly the role of sexual transmission is indicated by the fact that the barrier methods of contraception are associated with the lower incidence of cervical ca..
Potential risk factors that remain poorly understood include :
oral contraception use ,cigarette smoking ,parity ,family history ,& lack of circumcision of the male sexual partner .
Concerning sexually transmitted agents ,HPV is an important factor in cervical carcinogenesis .Specific HPV types are associated with cervical ca .(high risk) type 16,18,31,33 while HPV type associated with condyloma accuminatum (low risk ) types 6,11,42,44.
HPV (high risk ) linked (integrated) with the host genomic DNA & this ability is linked to specific viral oncogenes (E6,E7 genes).
Adenocarcinoma of the cervix
It is common in nullipara in contrast to sq. cell ca..Some adenocarcinoma of clear cell type occur in young girls exposed prenatally to diethylstilbestrol (DES).
The tumor grows in the endocervix & is commonly well differentiated.
Endometritis
The endometrium is relatively resistant to infection ,partly because of it’s excellent natural drainage & partly because it is difficult for an infection to become established during reproductive life in a tissue which is regularly shed .Acute Endometritis
It occurs most commonly after an abortion or parturition especially if fragments of the placenta or membrane are retained in the uterus .A variety of organisms including streptococci ,staph. ,E.coli & pseudomonas .
The inflamed endometrium is edematous & congested with polymorphonuclear cells infiltrate not only in stroma but also in the glands where small intra luminal abscesses are commonly seen .
Non-specific chronic endometritis
A chronic inflammation of the endometrium may follow an acute endometritis but is more commonly chronic from the onset.
Microscopically :chronic inflammatory cells infiltration ,lymphocytes with predominance of plasma cells ,some degree of fibroblastic & vascular proliferation may be present .
Tuberculous Endometritis
It is nearly always secondary to tuberculous salpingitis .The disease is often accompanied by infertility but this may well be because of the accompanying tubal lesion rather than
a result of endometrial change .Continued menstrual shedding of the endometrium prevent the disease proceeding to the caseation .
Endometrial polyps
It is focal over growth of the endometrium which protrudes in to the uterine cavity . Such polyps may be pedunculate or sessile , pink & fleshy with a smooth surface .Malignant change is extremely uncommon .
Endometrial hyperplasia
It is one of the causes of abnormal uterine bleeding .Endometrial hyperplasia is related to an abnormally high ,prolonged level of estrogenic stimulation with diminution or absence of progestational activity .Thus hyperplasia occurs most commonly around menopause or in association with persistent an ovulation in younger women .
Conditions leading to hyperplasia include
Polycystic ovarian disease
(Stein Leventhal syndrome ).
Functioning granulose cell tumors of the ovary.
Excessive cortical function (cortical stromal hyperplasia ).
Prolonged administration of estrogenic substances.
Fox classification of endometriala hyperplasia
Endometrial hyperplasia exhibits a continuum of alterations in gland architecture ,epithelial growth pattern ,cytology & the grade increase as a function of the severity of these changes :1- simple endometrial hyperplasia .
i.e. diffuse hyperplasia of glandular & stroma(cystic glandular hyperplasia ).
Simple hyperplasia is due to prolonged ,unopposed estrogenic stimulation of the endometrium ,the commonest cause of which is a succession of anovulatory cycles .
Simple hyperplasia is not associated with subsequent adenocarcinoma & should not be regarded as premalignant condition .
2- Adenomatous hyperplasia ( endometrial polyp ) focal hyperplasia of glands only.
3- Endometrial hyperplasia with architectural atypia ,but no cellular atypia .4- Endometrial hyperplasia with cellular atypia ,which is very difficult to differentiate it from adenocarcinoma.
Atypical hyperplasia is associated with a high risk of progression to adenocarcinoma. The degree of risk is related to the severity of the atypia & it may reach to 50%.
Malignant tumors of the endometrium
Adenocarcinoma
It occurs most commonly between the ages of 50 &60y . Nulliparus women are prone to develop an endometrial adenocarcinoma a high frequency of this form of neoplasia is seen with :obesity ,diabetes ,hypertension & infertility .
Two general groups of endometrial cancer can be identified .:
1-The first group which based on prolonged estrogen stimulation & endometrial hyperplasia .
additional support include the followings:
Women with ovarian estrogen secreting tumors have a higher risk of endometrial cancer .Endometrial cancer is extremely rare in women with ovarian agenesis & in those castrated early in life .
Estrogen replacement therapy is associated with increased risk in women & prolonged administration of DES increase the risk .
In post menopausal women ,there is greater synthesis of estrogen in body fats from adrenal & ovarian androgen precursors , a finding that may partly explain why there is increased risk of endometrial cancer with age & obesity .
the endometrial ca. in this group is well differentiated (endometrioid ) type , carry good prognosis & superficial type .
2 - A second group less commonly exhibits hyperestrinism or pre-existing hyperplasia & acquire the disease at a some what older age on average .
in this group the tumors are generally more poorly differentiated ,carry poor prognosis .
Prognosis is related to the :
Degree of differentiation ( grading) of the tumor.Clinical stage at the time of diagnosis .
Endometriosis
It is a condition in which tissue identical in all respects to the endometrium is found in sites distant from the uterus . The ectopic tissue occurs most commonly in the ovaries ,fallopian tubes ,pouch of Douglas , uterine ligaments ,recto vaginal septum & the bowel . Occasionally foci of endometriosis are encountered in laparotomy scar , at the umbilicus or in the skin .
Three potential explanations exist to explain the origin of endometriosis
1-The regurgitation theory ,retrograde menstruation through the fallopian tubes occurs regularly even in normal women & could mediate spread of endometrial tissue to the peritoneal cavity.2-The metaplastic theory ,endometrium could arise directly from coelomic epithelium .
3-The vascular or lymphatic dissemination theory ,this theory would explain the presence of endometriotic lesion in the lung or lymph nodes , a phenomenon not explainable by the first two theories .
Grossly
pelvic endometriosis is seen as small bluish nodules with surrounding fibrosis .
In the ovaries the lesions are commonly cystic & contain altered blood ( chocolate cyst).
Histologically:
The lesions of endometriosis consist of both endometrial glands & stroma .The endometrium is usually functional & hence menstrual type bleeding occurs & often obscures & distorts the original histological appearances .It is the hormonal sensitivity of the endometriotic lesion that is responsible for their role in producing symptoms ;recurrent swelling causes pain & repeated bleeding leads to fibrosis ,i.e. why the patient complain of dysmenorrhoea ,deep pain on sexual intercourse & rectal discomfort , infertility due to tubal occlusion .
Malignant change may occur in both ovarian & extra ovarian foci of endometriosis .
Adenomyosis
This common condition is characterized by the presence of endometrial tissue with in the myometrium , below the base of the endometrium.
The cause is unknown ,it occurs in approximately 15 to 20 % of the uteri. Adenomyosis causes expansion (enlargement ) of the uterine wall & may be visible on gross examination as numerous small cysts .
Microscopically:
Irregular nests of endometrial stroma ,with or without glands ,are arranged with in the myometrium with myometrial muscle reaction around it separated from the basalis by at least 2 to 3 mm.
Benign tumors
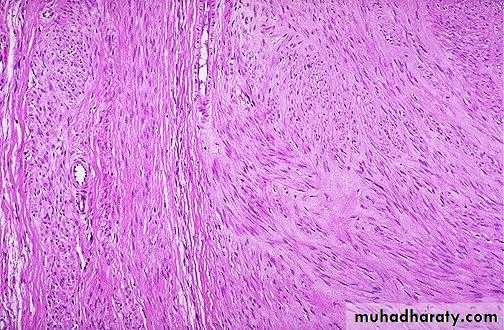
LeiomyomasThese originate from the smooth muscle cells of the myometrium. They are usually multiple extremely common & vary in size from tiny seeding less than 1 cm in diameter to huge masses which fill the abdomen .
They may be within the wall i.e. intramural ,in a submucosal site immediately below the endometrium ,or lie just beneath the peritoneum to form
a subserosal tumor .
Malignant tumors
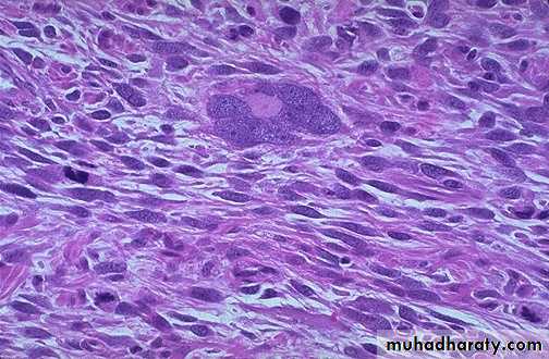
Myometrial leiomyosarcomas are rare & may arise either in a pre-existing leiomyoma or directly from the myometrium .They are less well demarcated in appearance than leiomyomas often show areas of haemorrhage or necrosis & are characterized histologically by their cellularity ,pleomorphism& mitotic activity ( i.e. 10 or more than 10 mitosis per 10 high power fields ).leiomyosarcoma occur most commonly during the sixth decade & have a poor prognosis .
Tuberculous Salpingitis
The fallopian tubes are usually the first part of the female genital tract to be involved in tuberculosis .It is secondary to extra-genital disease & reaching the tube via the blood .The infected tubes are usually moderately or markedly thickened & the tube deformed &bound down to the ovary by dense adhesions leading to infertility .
Histologically:
There is diffuse non-specific chronic inflammatory cells infiltration of the mucosa by caseating granulomas.
The ovaries
Non-Neoplastic cysts
Cystic changes occur with some frequency in Graafian follicles (cystic follicles ) & corpus lutea ( luteal cyst)
1-Corpus luteum cysts :are usually solitary ,contain either altered blood or clear amber fluid ,are lined by luteinized granulosa & theca cells & usually asymptomatic .It can rupture & bleed in to the peritoneal cavity.
2 Follicular cysts :are found in the cortex are small & unilocular their smooth lining is formed of flattened granulose cells which may secrete sufficient estrogen to inhibit pituitary FSH secretion & lead to anovulatory cycle with consequent endometrial hyperplasia .
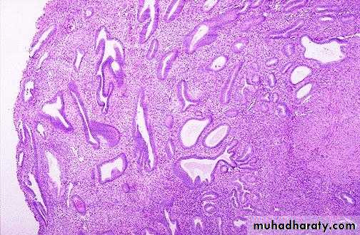
3.Polycystic ovarian disease (PCOD) Stein-Leventhal Syndrome :
the central pathologic abnormality is numerous follicular cysts which are associated with thickening of the ovarian capsule ,hyperplasia & lutinization of the theca cells & anovulation ,there is often an accompanying clinical triad (expressed either partially or fully ) of infertility ,obesity & hirsutism which is known as Stein-Leventhal Syndrome .
Polycystic ovary syndrome: wedge-shaped section through the ovary shows large multiple variable sized follicular cysts lined by flattened cells
4-Theca lutein cysts :
found in cases in which the ovaries are subjected to excessive gonadotropic stimulation as occurs in patients with hydatidiform mole & in some women receiving gonadotrophin therapy.Tumors of The Ovaries
The many different ovarian tumors are classified on the basis of their cells or tissue of origin .A simplified form of the classification of ovarian tumors in to 5 groups :
I- Tumors derived from the surface epithelium(60% of all ovarian tumors):
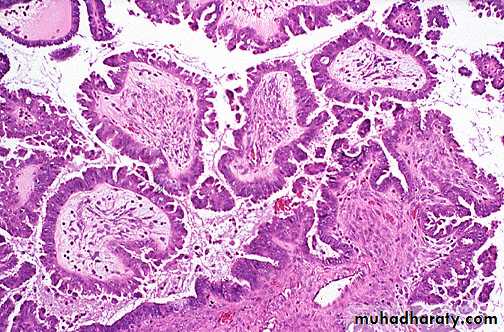
1-Serous tumors ( benign ,border line ,malignant ).
2-Mucinous tumors (= , = , = ).3-Endometriod tumors (= ,= , = ).
4-Clear cell tumors ( = , = , = ) .
5-Transitional cell tumors ( Brenner tumor of benign border line & malignant Brenner tumor).
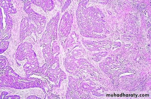
serous cystadenoma -which is benign and just has more stroma. Note abundant fibrous stroma between the smaller cystic areas.
A serous cystadenocarcinoma in which there is more pronounced papillary growth with more hyperchromatic cells.
II-Tumors of sex cord & stromal origins
1-Granulosa –stromal cell tumors leading to granulosa cell tumors (Call-Exner bodies ) ,tumors of the thecoma –fibroma group .2-Sertoli-stromal cell tumors ; androblastoma.
3-Sex cord tumor with annular tubules .
4-Gynandroblastoma .
5-Steroid (lipid) cell tumors .
III-Tumors derived from the germ cells
1-Teratoma ( immature ,mature could be ’solid’ or ‘cystic’(dermoid cyst )
2-Dysgerminoma identical to seminoma of testis .
3-Yolk sac tumor ( endodermal sinus tumor).
4-Mixed germ cell tumor.
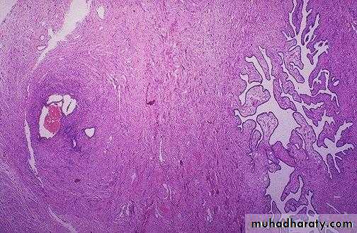
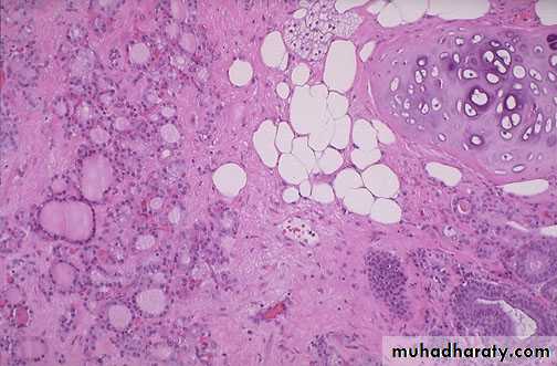
Teratoma
1-Mature teratoma : it is composed entirely of adult tissue derived from all 3 germ layers .Solid ,has predominantly solid gross appearance .
Cystic ( dermoid cyst ), benign it is the most common .It represent 20% of all ovarian neoplasms .It is the most common ovarian tumor in childhood .
Microscopically: we find ectodermal derivatives in 100% of the tumor , mesenchymal in 93% & endodermal in 71% .
Malignant change is found in less than 1% in the form of squamous cell carcinoma .
Dermoid cyst containing tooth, cartilage & hair
2-Immature ( malignant teratoma)
It composed of a mixture of embryonal & adult tissue derived from all 3 germ layers regardless of its gross appearance.Grossly may be solid or solid with multiple minute cysts or predominantly cystic .
it is a tumor of children & adolescents .
IV-Miscellaneous tumors
1- Primary malignant lymphoma of the ovary .2- Fibroma .
V-Metastatic tumors
The ovary is a common site of secondary tumors especially from the uterus ,breast & GIT.Krukenberg tumor :
it is secondary tumor in the ovaries which is due to transcoelomic spread of a gastric or colonic adenocarcinoma & is characterized by the presence of mucin –containing signet ring cells scattered in a fibrous stroma which is extremely cellular .
Abortion
The clinical incidence of spontaneous abortion is about 15% but the real incidence may be as high as 40-80%.The etiologic factors
Infection
particularly rubella ,campylobacter , listeria , syphilis , toxoplasmosis & CMV .
Mechanical disturbances ( uterine leiomyomas ,cervical incompetence ).
Endocrine disease .
Immunologic mechanisms ( autoimmune disease ,ABO incompatibility ).
Inherited chromosomal abnormalities .
The morphologic confirmation of the occurrence of pregnancy is one of the most common determinations performed by the pathologist when :
Fetal parts.
Gestational sac.
Viable chorionic villi are present .
Then the task is easy,
But in the absence of chorionic villi a search should be made for
Trophoblastic cells whether isolated or in clumps .
most patients who have had abortion should undergo D&C in order to remove residual trophoblastic tissue This material should always be examined microscopically in order to rule out early gestational trophoblastic disease.
In hydropic abortion gross villous swelling & cistern formation are seen & these villi are surrounded by attenuated trophoblasts .
Gestational Trophoblastic Disease
It is a group of diseases related to normal or abnormal gestation that has a common features the proliferation of the trophoblast & that are generally designated as gestational trophoblastic disease which include :
1 . hydatidiform mol. a. complete.
b. partial .
c. invasive .
2 . placental site trophoblastic tumor.
3 .choriocarcinoma .
(Hydatidiform Mole )
Complete H. mole.
This is an abnormal conceptus in which an embryo is absent & the placental villi are so distended by fluid that they resemble a bunch of grapes .
No trace of an embryo ,amniotic sac or umbilical cord is apparent .
Microscopically :
The stroma of the villi is markedly edematous often with cistern formation .A constant feature is the presence o f a variable degree of atypical villous trophoblastic hyperplasia .
H. Mole occurs most commonly in women aged less than 18 or more than 40 years .
There is a clear-cut relation ship between H.Mole & choriocarcinoma , 50% of choriocarcinoma occurring in women who have previously had H.Mole.
Complete H .Mole
is caused by abnormal gametogenesis & fertilization . The nuclei of the trophoblastic cells in this disease contain only paternal chromosomes & therefore androgenetic in origin .The chromosomal no. is normal in 85% 46xx & in 15% are 46xy .
It has been hypothesized that in the 46xx cases the process is fertilization of an empty ovum with no effective genome by haploid sperm that duplicates without cytokinesis ,where as in the 46xy cases there might be fertilization of the empty ovum by 2 haploid sperms with subsequent fusion & replication.
There is a striking geographic variation in the frequency of complete H. mole .This may explain by difference in socioeconomic status ,ethnic group& deficiency in vitamin A .
A mole leads inevitably to abortion ,often preceded by unduly rapid uterine enlargement, hyper-emesis gradivarum & hemorrhage .
After the uterus has been emptied ,a women with a mole has a 2-3% risk of eventually developing choriocarcinoma but unfortunately ,the histological feature of any individual mole offer no guide to eventual prognosis ,No relationship existing between degree of trophoblastic hyperplasia & the later occurrence of choriocarcinoma.
Partial H.Mole
About 15 - 35% of all moles are of the partial type.It is often associated with the presence of an embryo although is usually abnormal.
Grossly:
The placenta contain mixture of normal & vesicular villi .These villi show focal edema leading to central “cisternal” formation .Many of the villi contain fetal (nucleated ) red blood cells .Trophoblastic proliferation is present but in lesser degree than in complete H. mole .
Most partial moles are triploid (69xxx or 69xxy) & few show trisomy 16.
A partial mole is often accompanied by a fetus that is usually grossly abnormal .
The risk for the development of choriocarcinoma following a partial mole is very low .
5 -10 % of partial mole progress to invasive mole .Partial moles should be distinguished not only from complete mole but also from the hydropic villi seen in 15-40 % of spontaneous abortion.
Invasive Mole (Chorioadenoma Destruens)
It refers to H.M. ( nearly always of the complete type but occasionally of the partial type ) in which the villi penetrate the myometrium &/or its blood vessels .
This phenomenon which occur in 17% of all complete moles , it is an exaggerated expression of the capacity of normal trophoblast for invasion .
Choriocarcinoma
It is a malignant tumor of trophoblast & is formed of both cytotrophoblast & syncytiotrophoblast.It is a unique neoplasm in that being purely fetal origin .
It is neoplastic allograft in the mother .
The tumor follows H.mole in 50% of cases & unremarkable abortion in a further 25% ;the remainder develop often after a period of months or years ,as a sequel to an apparently normal pregnancy .
Choriocarcinoma & H.mole secrete placental HCG & assay of serum & urinary levels of this tumor marker are used in patient management .
There is increased risk of choriocarcinoma for women of group A married to men of the same group .
Microscopically :
The tumor is composed of cluster of cytotrophoblast separated by streaming masses of syncytiotrophoblast ,resulting in a characteristic dimorphic plexiform pattern .Villi are characteristically absent as a matter of fact ,their presence is said to rule out the diagnosis of choriocarcinoma .No matter how atypical the trophoblastic cells may be .
The natural history of untreated choriocarcinoma is characterized by the development of early hematogenous metastasis ,the most common sites being the lung, vagina, brain, liver, kidney &bowel & often present with massive hemorrhage .
Ectopic pregnancy
It is one in which a fertilized ovum implant & being to develop before it reaches its natural site in the uterus .An extra uterine gestation can develop in the ovary or in the peritoneal cavity , but 97% of ectopic pregnancy occur in the fallopian tubes ,most commonly in the ampullary portion .
With in the tube ,the developing placental tissue evokes an inadequate decidual response & not only invades the muscular wall but also erode the intramural vessels leading to hematosalpinx .
The invading trophoblast weakens the tubal wall which may rupture & lead to intra peritoneal hemorrhage which lead to acute abdomen demanding surgical treatment .
Many cases of tubal pregnancy are clearly due to
1- partial tubal obstruction usually as a consequence of infection .2- While some result from the ovum lodging in a tubal diverticulum .
3- Other suggested delayed ovulation with washing back of the fertilized ovum by menstrual reflux & transmigration of the ovum i.e. An ovum released from the ovary traversing the peritoneal cavity to enter the contra lateral tube.
4- IUCD ( Intra Uterine Contraceptive Device) increase incidence of ovarian ectopic pregnancy .





























