Component of the Fixed Appliance
Dr. Fadhil yassinintroduction
Fixed Orthodontic Appliance
• Bonded (fixed) appliance Apparatus that remains firmly in place, not intended to be removed by the patient, to achieve alignment of upper or lower teeth for the correction of malocclusions .Dr. Fadhil yassin
Dr. Fadhil yassin
Indications of fixed orthodontic applianceWhen multiple tooth movement is required.
Intrusion
Derotation
Controlled space closure at extraction sites.
Bodily movement
Extrusion
Torque control
Dr. Fadhil yassin
Poorly motivated patientPoor dental health
Extremely sever malocclusion requiring orthognathic surgery
Contraindications of fixed appliance
Dr. Fadhil yassin
Component of fixed orthodontic Applince
Dr. Fadhil yassin
Dr. Fadhil yassin
Component of fixed orthodontic ApplinceComponent of fixed orthodontic Applince
Dr. Fadhil yassin
Component of fixed orthodontic Applince can be devided into :1- Fixed components
2- removable component
Dr. Fadhil yassin
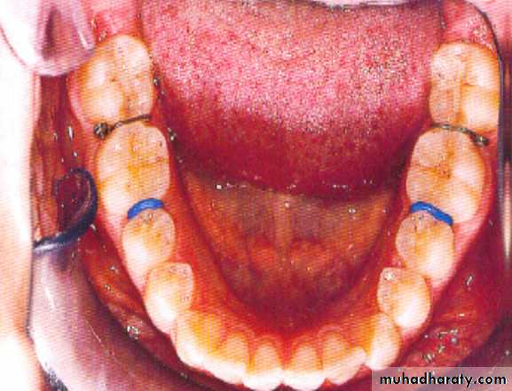
BANDS
Fixed Component: BandsMetal attachments that are cemented to individual teeth and provide a place for attachment of other auxiliaries like buccal tubes, lingual buttons, etc.
Dr. Fadhil yassin
Types
Pinched Bands: they are formed on tooth surface, welded electrically and to them attachments are welded.
Preformed Bands: they are prefabricated.
Dr. Fadhil yassin
the zinc phosphate.
glass ionomer cements.
New cements: a composite of glass ionomer and resin materials, and usually are light-cured.All interior surfaces of an orthodontic band must be coated with cement before it is placed, so that there is no bare metal.
Cementation
Dr. Fadhil yassin
Bounded Base
a- Principle Attachment include Bracket andedge wise tube
b- Accessory Attachment include Tube, Hook , Buttons & Cleat , and Eye Let.
Dr. Fadhil yassinBRACKET
Dr. Fadhil yassin
1. Material used:
• Metal brackets:• stainless steel brackets
• Nickel titanium brackets
• gold brackets
• Plastic
• Polycarbonate
• Fiberglass reinforced plastic
• Polyurethane
Classification of Brackets
• Ceramic
• Alumina based:
• Monocrystalline
• Polycrystalline
• Laminated brackets.
• 2. Zirconia based brackets
Brackets can be classified according to:
Dr. Fadhil yassin
Brackets type
Dr. Fadhil yassin
2- Brackets according to type of ligation
Brackets with ligationSelf-ligating brackets:
• Passif
• active
parts of bracket
Dr. Fadhil yassin
Bracket Part of Bracket
Base : it content welded mesh or other retentive structure to increase the bonding strength.Slot : horizontal canal that receive the arch wire, its size and shape vary with orthodontic technique and type of appliance .
Wings: projection from the centre of the bracket to facility retention of the ligature wire or elastic to secure the arch wire in place
Hook: prewelded of soldered to the distogingival wing of the bracket to facility elastic attachment
Dr. Fadhil yassin
3. Slot Size and shape• Measurements
• Vertical depth: 0.018 or 0.022”
• Horizontal depth: 0.025 or 0.028 or 0.030”
Dr. Fadhil yassin
- Vertical rounded slot (Begg)
- Horizontal rectangular slot (edgewise) by Angle- Combination
- Horizontal square slot (Rickett)…0.018 * 0.018
Slot Shape
Dr. Fadhil yassin
• Siamese.• Mini-twin.
• Single wing.
• Self-ligating.
4. Morphology of the Bracket
Dr. Fadhil yassin
5. According to No. of wingSingle : 2 Wings
Twin : 4 Wings
Triple : 6 Wings
Dr. Fadhil yassin
6. According to Design
- Standard Bracket : the Bracket base with uniform thickness and the slot with zero torque and zero angulation- Preadjusted bracket by Varing
Dr. Fadhil yassin
Orthodontic tubesBondable Tube
Bondable Tube
Tube parts
Orthodontic tubes
Dr. Fadhil yassin
Bondable bottons
Removable Component Archwires
Dr. Fadhil yassin
1- Materialstainless steel, Elgiloy, titanium alloys, glass, polymers , coated with metal or non-coated
2- Cross Section
round, rectangular, single, multistrand or braidedClassification of archwire acording to:
Dr. Fadhil yassin
archwiresDr. Fadhil yassin
Classification of archwire acording to:
• 3- Size
• Round
• Rectangular
• Square
• 0.012 inch (0.30 mm)
• 0.16 x 0.022 inch
• (0.41 x 0.56 mm)
• 0.016 x 0.016 inch
• (0.41 x 0.41 mm)
• 0.014 inch (0.35 mm)
• 0.17 x 0.022 inch
• (0.43 x 0.56 mm)
• 0.017 x 0.017 inch
• (0.43 x 0.43 mm)
• 0.016 inch (0.40 mm)
• 0.17 x 0.025 inch
• (0.43 x 0.64 mm)
• 0.018 x 0.018 inch
• (0.46 x 0.46 mm)
• 0.017 inch (0.43 mm)
• 0.18 x 0.025 inch
• (0.46 x 0.64 mm)
• 0.019 x 0.019 inch
• (0.48 x 0.48 mm)
• 0.018 inch (0.46 mm)
• 0.19 x 0.025 inch
• (0.48 x 0.64 mm)
• 0.019 inch (0.48 mm)
• 0.20 x 0.025 inch
• (0.51 x 0.64 mm)
• 0.020 inch (0.51 mm)
• 0.21 x 0.025 inch
• (0.53 x 0.64 mm)
Dr. Fadhil yassin
Archwire
A wire engaged in orthodontic attachments that are affixed to the crowns of two or more teeth to cause or guide tooth movement .
Dr. Fadhil yassin
• high strength.• low stiffness.
• high range.
• high formability.
• Weldable
• Aesthetics
• biocompatible
Properties of an ideal orthodontic archwire
Dr. Fadhil yassin
Ligation of archwire• ligation of A.W.:
• steel ligature
• steel kobayshi ligature
• elastomeric ligature
• self-ligation
Dr. Fadhil yassin
Techniques of ligationFig 1. Diagram of basic ties for upper canines:
metal ligatures in straight (A) and double-over (B) ties;elastic ligatures in straight (C) and double-over (D) ties.
Dr. Fadhil yassin
Techniques of ligation
Fig 2. Ligature must be snug with bracket to prevent slackening. Diagram shows correct ligature position from labial (A) and occlusal (B) perspectives;
wrong ligature position is shown from labial (C) and occlusal (D) perspectives
Dr. Fadhil yassin
Techniques of ligation
Fig 3. Ligature wire makes a loop around the rotated tooth so that when the wire is twisted, the part of the tooth farther from the alignment is pulled toward the archwire, labial (A) and occlusal (B) perspectives.
Dr. Fadhil yassin
Techniques of ligation
Fig 9. In cases where segmented round archwires are used, a stabilization tie may be useful to prevent the wirerotating in the bracket slots. In the detail, the loop around the vertical bend is incorporated into the archwire.
Dr. Fadhil yassin
Techniques of ligation
Fig 11. Tie togethers can be used to support the archwire (A and B) or not (C and D), being crosstied in the interbracket area (A and C) or twisted (B and D). Additional ligatures must be used when the archwire is not supported by the tie together (C and D).Dr. Fadhil yassin
• Begg light wire appliance.
• Edge-wise appliance.• Straight wire appliance.
• Tip-edge appliance.
• Lingual pre-adjusted edgewise appliance.
Fixed orthodontic systems
Dr. Fadhil yassin
• Seperation.
• Fitting Bands.
• Cementation.
Steps in Banding
Dr. Fadhil yassin
Separators TypesIt create space among teeth to be banded to be banded for easy placement of orthodontic band, it needs 2-5 days .
* Metal : soft SS (0.5mm) .* Electrometric(blue for post.& green for ant.).* Spring .
Dr. Fadhil yassin
SeperationSeparating springs, typically opening enough space for banding in approximately 1 week.
Dr. Fadhil yassin
Separating Springs
Elastomeric separators ("doughnuts"), squeeze the teeth apart over a period of several days.
Dr. Fadhil yassin
Headgear Tubes.
Auxiliary Edgewise tubes.Auxiliary Labial Hooks.
Lingual Arch Attachments.Lingual Attachments, (buttons, cleats and eyelets).
Uprighting Springs.Auxiliary Elements
Dr. Fadhil yassin
Headgear Tubes45 or 51 mil round tubes are placed on maxillary first molars > to insert the inner bow of the face bow appliance.
Also can accept a heavy auxiliary labial arch wire.
Dr. Fadhil yassin
Auxiliary Edgewise tubes
Used mainly for segmented arch technique, which are necessary to intrude teeth.
Placed gingivaly in relation to the main arch wire on both maxillary and mandibular first molars.Auxiliary rectangular tubes on canines are also used during space closure of the extraction spaces.
Dr. Fadhil yassin
Lingual Arch Attachments
• There are two lingual attachments:• One is the horizontal lingual sheath which made to accept a doubled-over segment of 36 or 30 mil steel wire.
• The other is a lingual bracket made to accept 32 × 32 beta-titanium or steel wire.
• Uses:
• Stabilize lingual arch.
• Reinforce the anchorage and tooth movement.
Dr. Fadhil yassin
Lingual Attachmentsbuttons, cleats and eyelets.
Used for attachment of cross-elastics.
Used to control rotations of premolars and canines during space closure.
Dr. Fadhil yassin
Uprighting SpringsMade of 0.012’’ or 0.014’’ Australian wire.
They move the tooth root in a mesial or distal direction.Dr. Fadhil yassin
Bracket Placement
Mesiodistal Bracket positioning on flat surfaces teeth . It’s important to position brackets in the mesiodistal centers, while on cuspids and bicuspids it’s important to position the bracket at the crest of the contour on their buccal surfaces. The other authors used following scheme to determine the vertical bracket position
• Maxillary teeth
• Vertical measurement
• Mandibular teeth
• Vertical measurement
• Central incisors
• 4.0 mm
• Central incisors
• 3.5 mm
• Lateral incisors
• 3.5 mm
• Lateral incisors
• 3.5 mm
• Canines
• 4.5 mm
• Canines
• 4.5 mm
• Premolars and Molars
• 4.0 mm
• Premolars and Molars
• 4.0 mm
Dr. Fadhil yassin
A. Brass wire.
A stop, hook or loop, soldered, crimped or bent into an archwire, usually at some point anterior to the molar tubes, so that the archwire can be tied to the molar attachments by means of stainless steel or elastic ligature.
B. Sliding Jig.
used for application of an intermaxillary force to an individual tooth as in retraction of anterior teeth for space closure.
C. Auxiliary Forces Elements:
1. intra max. forces.
2. inter max. forces.
3. extra oral forces.
Accessory Components
Dr. Fadhil yassin
Sliding jigs
Dr. Fadhil yassin• I. Intra max. forces:
• between 2 teeth or 2 groups of teeth in the• same dental arches
Dr. Fadhil yassin
• 1. elastic ligature
especially delicate plastic ligaturesfor ligating arch wires to the brackets
Intra max. forces
Dr. Fadhil yassin• Uses :
• 1- Space closure• 2- Rotational correction
• 3- Space consolidation
• 4- pulling ectopic tooth into
• arch wire
2-Power Chain Elastic
Dr. Fadhil yassin
3. elastomeric thread :
used for:rotation
Cusped movement
figure eight ligation,etc.
-Elastic ligature silk
spun elastic thread ofmedium force
Dr. Fadhil yassin
FunctionIt create space among teeth to be banded for easy placement of orthodontic band, it needs 2-5 days
4-Separators
• Types
• Metal : soft SS (0.5 mm).• Elastomeric
• Spring
Dr. Fadhil yassin
5. Rubber bands
used as intraoral &extraoralelastics
Dr. Fadhil yassin
6- Stainless steel open &close coil springs.Dr. Fadhil yassin
• 2. Inter max. forces:Dr. Fadhil yassin
Component of CL-II elastics:
1. Anterior-posterior component: distal force to the maxillary teeth & mesial force to the mandibular teeth which result in retraction of maxillary teeth & protraction of mandibular teeth.2. Vertical component; extrusion of maxillary anterior teeth & mandibular posterior teeth which result in rotation of the occlusal plane up posteriorly & down anteriorly.
3. Transverse component (slight force); buccal tipping of the lower molars.
A. CL-II elastic
Dr. Fadhil yassinExtra oral force appliances:
Headgear + Face bow
• It can be used with maxillary fixed or removable appliance.
• Fixed appliance can be simple as banded maxillary 1st permanent molars alone.
• Include banding as bonding of remaining dentition.
Neckgear + Face bow
Directional Force ( J-hooks )
• Attach directly to the anterior part of the upper arch wire.
• Lit is used more commonly for retraction of canines or incisors.
Reverse Facial mask
it is made of two pads that contact the soft tissue in the forehead and chin region, the connect by midline framework and adjustable by set screw.
headgear + chin cup
Indicate at class III malocclusion
Auxiliary force elements
Dr. Fadhil yassin
TYPES OF ANCHORAGE FOR HEADGEAR:
• 1. Cervical attachment (neck strap);
• 2. Occipital attachment or headcap
• 3. Combination of headgear (cervical & occipital attachment)









































































































