Immediate Denture
Assis.Prof.Dr.Radhwan Himmadi Hasan1
صناعه نظري / رابع اسنان كركوك
د.رضوان
9/4/2018
394
Outline
• Definition• Indication
• Contraindication
• Advantage
• Disadvantages
• Surgical Difficulties
• Types Of Immediate Denture
• Technique
• Post operative Instructions
• Appoinments after Insertion
2
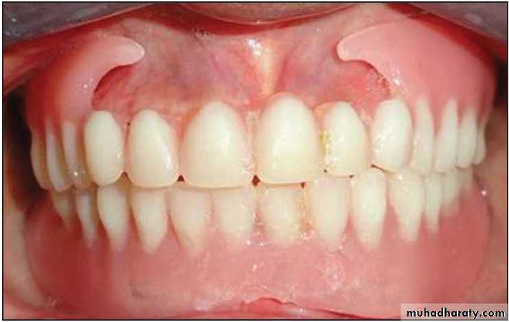
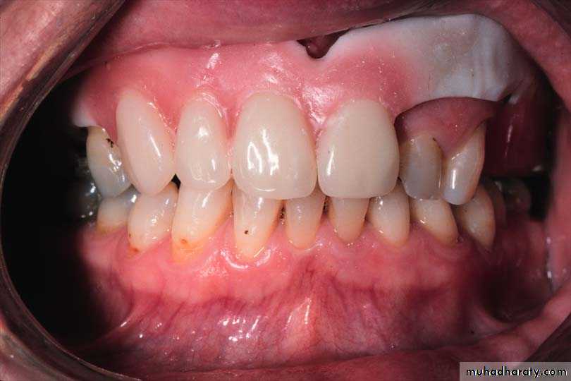
Immediate Denture
An immediate denture is defined as a denture that is made prior to the extraction of the natural teeth and inserted into the mouth immediately after the extraction of those teeth. It may involve total or partial replacement.3
Indications
1.Educated patient with daily social activities/Doctors, Lawyers, Teachers.2.Patient with stable health condition.
3.hopless remaining teeth:
a. advanced periodontal disease.
b. advanced carious non vital teeth.
c. sever tilted teeth.
4
Contraindication
Patient is unavailable for appointment.
Patient with Systemic conditions (poor surgical risk)
Acute infections that require drainage
Emotionally disturbed or diminished mental capacity
5
Indifferent patients Patient who have undergone Radiation therapy (extraction itself is contraindicated).
Patient with a severe Gagging reflex.
Patients with extensive bone loss
6
Advantages
1 . Maintenance of the soft tissue contour of the face
2. Denture will support the soft tissue around the face in their correct position once teeth are lost.
7
3. Prevent collapse of tissues together with the occurrence of infection such as angular cheilitis.
4 . Esthetic are maintained by placing the artificial teeth in a position similar to natural teeth or improved by changing the position.
8
6 . Adaptation to denture is aided:
a - Maintain tooth position.b - Maintain muscles balance.
c - Prevent the formation of abnormal mandibular movement.
d - Aids chewing and mastication.
e .Patients adapt to immediate dentures provided at the time of extraction.
9
Disadvantages
1. No trial denture stage possible2. Increased cost: the provision of relines and further denture provision makes treatment costly.
10
3. After care may require many visits including reline/rebase/new denture.
4. Good cooperation is require.5. Gross irregularities of teeth make processing difficult, e.g. class 2 division 2, bulbous tuberosities/tori
11
Surgical Difficulties
Cyst/osteosclerosis may present difficulties in planning shape of ridge.Special care of infective endocarditis/diabetes/coronary heart disease.
Dilaceration.
Multirooted teeth.
12
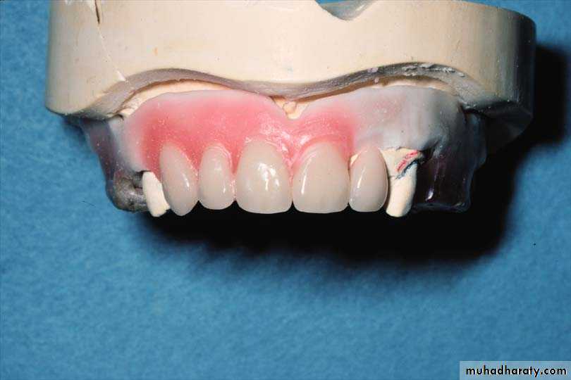
Types Of Immediate Denture
According to the denture’s flanges shape: (a) complete flange;
(b) partial flange:
(c) open face. (socket fit denture)
13
Flanged denture
RetentiveEasier to reline and rebase
May be difficult to place where there is an undercut.
14
Socket Fit Denture
are:1.The teeth sit into sockets of the extracted teeth, gives more natural appearance2 .Esthetically good initially
3.Contraindicated in mandible because of poor stability of lower denture during function
15
4 . Prone to loss of esthetic as resorption continues
5. Difficult to reline/rebase or changed to flanged type6 . Have poor retention Wherever possible, a flange denture should always be designed.
16
According to the surgical alveoplasty performed
I With surgery2 Without surgery
17
The surgical procedure involves
(1) Extraction of the teeth.(2) Removal of the associated interseptal bone.
(3) Collapse of the labial cortical plate of bone and mucoperiostium, back into the resulting ‘ gutter‘.
18
(4) Insertion of the clear acrylic template to check if bone removal has been sufficient. Blanching of the mucosa is clearly seen beneath the template in any area where there is excessive pressure.
(5) Suturing of the sockets and insertion of the immediate denture.
19
Without surgery
Replacement of the natural teeth by artificial teeth :When it is decided to place the anterior teeth in their original position, the following steps should be done :
Upper and lower impressions, with the dentures in position, are made and poured with dental stone.
One stone tooth by one is removed and replaced by artificial tooth in the same position; the position of each individual tooth can be more easily copied.
Root sockets are prepared in the stone models into which necks of the artificial teeth are fitted
20
The labial root portion of the teeth is excavated to approximately I mm on the labial side and flash with the gingival margin on the lingual or palatal side. The depth of the socket should never exceed 5 mm
21
Goals of alveoloplasty
Eliminate bony projections that result in undercutsImprove the path of insertion of the prosthesis
Eliminate bony sources of irritation
22
According to timing of teeth extraction and Denture purpose
1. Conventional Immediate Denture (CID): A complete or removable partial denture or overdenture fabricated for placement immediately after the removal of natural teeth. The posterior teeth would be extracted and allowed to heal before the anterior teeth extraction The denture is intended to be relined to serve as the long—term prosthesis.
23
Indications
For patients with periodontally weak teeth indicated for extraction.For socially active people who are very self conscious about their appearance.
24
2. Interim Immediate Denture (IID):All remaining teeth are extracted on that day and immediate denture inserted on same day. After healing is completed ,second new denture is fabricated and inserted as long term prosthesis
25
Technique
Preliminary impressionsFinal impressions
Jaw relation records
Tooth set up and try in
Extraction and insertion
Post insertion care
26
Preliminary impressions
Use dentate or partially edentulous stock trays27
Final Impressions
Normally need to use 2 piece custom trayIf no large tissue undercuts may be able to use 1 piece custom tray
28
1 piece tray 2 piece tray
Border molding & Final Impression
29
Jaw relation records Occlusion rims
30
Tooth set up and try in Extraction and insertion
31
Post operative Instructions
Leave dentures in your mouth for first 24 hours.Removing the denture will not decrease pain due to extractions and if you removed the dentures , you may not be able to re-insert the denture.
Denture also acts as bandage and limiting the bleeding and help preventing breakdown of blood clot that forms in the socket.
32
Hold Ice packs against the extraction area no more than 20minutes per hour for first 24 hours may reduce swelling.
After 24 hours use heat compress.
33
Diet for the first 24 hours should be restricted to liquids and soft foods.
After first 24 hours dentures should be removed after every meal for cleaningTake prescribed medicines as directed.
34
Appoinments after Insertion
it is important to review a patient with dentures after first 24 hours.1-After 24 hours: General checkup is made to ensure no major ulceration has occurred and the socket is healing well.
2-After 48 hours: Patient is seen for sore spots.
3- After 1 week: More detailed checkup and occlusal adjustment.
35
4- After 1 month: socket has healed and temporary relining may be required.
5- 3 to 6 months: Management of loss of fitting due to bone resorption and may require reline/rebase.
6- After 1 year: New denture is made in case of Interim Immediate Denture.
36




































