measels
omphalocele
Staphylococcal scalded skin syndrome
Hypothroidism
Tsh ( important investigation )Mental retardation , short stature , developmental delay
jundice
Drain + hand rey dysplasia
Dx ?????Dic ???
Iron D. anemia
KoilynechiaHypochromic microcytic anemia
If the slide without koilnechia wt. ddx
B,thalassemia , lead poisoning , IDA , B6 defficiency
Spherocyte
Inheretance >> autosomal dominant or ressisiveRx ... Blood transfusion , folic acid , splenectomy if Hb < 10 mg/dl , rx of hyperglobulinemia in neonatal period
Macrocytic RBC
Compare with lymphocyteDDx >>> b12 defficiency , folic acid difficiency
Dx >> hypothyroidism , liver disease , drugs
Chicken pox
Avoid immunocompromise and pregnantKoplic spot of measels opposite to 2nd molar tooth , rash
Meningococcemia
Other ddx >> dic , hemorrhagic rashAcute gengivostomatitis
Caused by herpis semplex دائما يكون بالمقدمة عكس ال coxacki virus يكون الالتهاب بالمؤخرة من الفمHerpis zoster
Sickle cell and target blood cell
Dx>>> sickle thalassemia or sickle cell anemiaComplications splenic crisis
aplastic crisis
vaso-oclusive crisis most common
sequestration crisis
leg ulceration
hereditary spherocytosis
Rx of spherocytosis .. Supportive , blood transfusion , splenectomy ?
Ddx >>> hereditory spherocytosis , autoimmune hymolitic anemia , ABO incompatibilty
Maxilary hypertrophy , paller , browns discoloration below eye lids
dx. Chronic hemolytic anemia ( prolong thalasemia )also can occure in spherocytosis , sickle cell anemia , pyrovate deficiency
Investigation >>> hemoglobin electrophoresis
hb A2 normal , hbF high , hbA lowHB A2 high only in trait
RX>>>> blood transfussion , chelating therapy , bone marrow transplantation
Hair on end appearance
Rx >>> chronic hemolytic anemia
3 clinical abnormalites on clinical examination
1. maxillary hypertrophy2. Paller
3. Splenomegaly
1 y old child otherwise well
Dx>> ITPThere is purpura allover his body
If this purpura with hepatosplenomegaly dx will be leukemia
Raccon eye
Medical cause neuroblastoma
chart of physical and neuromuscular maturity of premature baby
Infective endocarditis
splinter hemorrhageosler nodes
fever , splenomegaly
Compliation >> brain abcess , arrthmia , hrt. Failure
herpes whitlow
eczema herpeticum
herpetic neonatorum
osteogenesis imperfecta x ray , blue sclera
Autosomal dominantInverted u shape ventral suspention , floppy baby if > 5 months its abnormal
Abnormal ventral suspention
HypotoniaPositive symetrical moro reflex c6,5
Must check it in CP, hyperbilirubinemia , asphyxiaStop at 6 months
Sucking
7,9,10,12 cranial nervePlanter grasp
Tonic neck reflex
+ve symmetricalIt disappear at 6 months
5month
Hypotonia
prematurityPalmer grasp
3 month = head lag normal
If she 9 month = abnormal (hypotonic) or flopinessHeadlag below 3 month
Head lag disappear and the head perpendicular to body 4 months
Pincer grasp 1 y
Rooting 5 cranial nerve
Head lag disappear at 3 months
Crowel 7-8 months
parachute reflex
8 -9 monthsStand at 9 – 10 months
Walk at 13-15 months
13 – 15 monthsIf > 18 month no walk say delay
Caput succedunum
Cephalhematoma
Meconeum stained nails
complication that this baby prone tomeconeum aspiration
pneumonia
pneumothorax
birth asphyxia
Candidal napkin dermatitis
Lesion in the flexures>>>>>> candidiasis
+ stallaite lesions
Clubbing
Ddx of git conditions >> IBD , Celiacrespiratory bronchectasis , lung abscess
Small eye microphthalmos
Loss of inferior medial side of eyelid of the same eyeDDx >>> torch infection , congenital abnormality
monilial thrush
May occure due to lactose intoleranceRx >> lactose free formula . Zink supplimintation . Anticandida . Dietry rehablitation
Lt. lower facial n. palsy
No wrinckles on lt.Lt eye cant close
Lt. nasolabial fold pushed to rt.
Encephalocele
Advice to mother > folic acid before 1 month of delivaryOther >. C.S , increase risk for future pregnancy
Sunset eye due increase of IC pressure
X ray of wrist showing cupping fraying splaying
Dx >>> rickettwo labrotary investigation 1. alkaline phosphatase elevation
2. s.calicium low or normal
ricket
Periorbital edema , abdominal distention , generilized edema
GUE >>>> protien in urine ( renal cause )
Other inves. RFT , LVT , echo1, muscle wasting ,loss of haoir
2, MarasmusRx >>>> dietry rehabilitation
Rx of infection
• Loss of hair , rash ( flecky paint rash ), swelling of the hand
• Kwashirkor• Rx>>> diatry rehabiltation , rx of infection
• S.albumen
• S, electrolyte
Cyanosis at birth why ?
Meconum aspiration syndrome because he has peeling of the skinCauses of peeling postmaturity
placental insuffeciency in premature baby
If this baby has dyspnea after birth wt. is the cause >>> meconum aspiration , birth asphyxia , pneumothorax
Gower sign ( proximal m. weakness )
Ddx >>> Duchehen muscle dystrophy , hypokalemia , steroid or hypothyroidismMongolian spot start from birth
Disappear spontanously on age of 1 ySequent in lt. eye
Abducent n. palsyHair on back
Rx >>> surgery in case of urine or stool incontinanceInvestigation >> lumbosacral xray show spina bifida occulta
Cystic dilitation of the forth ventricle
Transilumination +ve of the cystDandy walker
Trisomy down
Investigation of choice > karyotyping show trisomy2 git complication > deudenal atresia
Hischprung disease2 hematological complication
Leukemia , macrocytic anemia , hyperglobulinemea , polycythemiaKaryotype show 45x0
Renal abnormality >> horseshow kidneyHeart abnormality >> coarctation of aorta , tricusped aortic valve , aortic
Reproductive abnormality >> delay puberty , infertility
nevus flammeus port wine stain
Normal or due to ssturage weber syndrome
Inheretance of this lesion is sporadic
2 neurological complications>> seizure , mental retardation
Investigation>> mri or skull xray show train road calcification
Spina bifida
Neurological complicationparalysis , incontinance , hydrocephalus
Scissoring legs and spasticity of cp patient
Rx >> physiotherapyInvestigation >>
TsH _ hypothyroidism
Karyotype – down
blood nsugar –back with wideman syndrome
Protruded tongue
Chart for neurological and physical development of premature baby
DDH
X ray show shenton line and perkin line
, us show head of femur outside ihe accetabular groove for grading
macrosomia
Immediate investigation .. Blood sugar
Problems >>
Birth trauma , perinatal asphyxia , hypoglycemia
Current jelly stool intussuception
Imperforated hymen
Rx surgeryHypothyroidism
If no rx mental retardation , short statureDevelopmental delay
Presentation in neonatal period من المح
candida diaper rash ( candidiasis )
Stellate lesion , flexure involvement , erythmatous rashUmblical hernia
Disappear at 2 year so no nedd of rx unless complicatedprune belly syndrome
Associated abnormality downward displacement of bladderMumps
Complication orchitis , meningitis
Acute complication meningoencephalitis , pancreatitis , orchitis , oopheritis
gastroschiasis
Torticolis
Caused by steroncledomastoid tumor due to traumatic delivaryRx by phsiotherapy
neuroblastoma
Pincer grasp
Pharangitis
2 chronic non suppurative complication>> psgn , rhumatic fever2 ddx >> im , diphtheria
Acute tonsillitis
Complication otitis mmedia , quinsy , retropharyngeal abscessCellulitis
Antistaph AB
Mastitis Neonatorumcellulitis rx antistaph AB
pectus excavatum
Bilateral hydrocele
Hydrocele no rx till 1 yearPectus carinatum
omphalocele
Strawberry tongue
Investigation throat culture , aso titer, anti dna ase antibody
Geographical toungue
No rx needpeutz jeghers syndrome
Perioral pigmentation + diverticulosisAutosomal recessive
Chromosomal study showing trisomy
Abnormality with down polycythemia, macrocytic anemia ,Leukemia ,Deudenal atresia , hirschprung disease
Intussuception
Papillodema
Bulging optic disc
Angulation of vessels
Cause by many pathology like meningitis , brain tumor
acute otitis media with effusion
acrocephaly
Turner syndrome
Heart proble / coarctation of aorta , tricusped atresia
Kidney >> hoarseshoe kidney
kwashiorkor
Nephrotic syndromerickets
kwashiorkorjundice
Monilial rashSever wasting
Erb’s pulsySimian crease
(single palmer crease)Down syndrome
mumps
Sever wasting marsmus
Caput succedaneum
monliasiscardiomegaly
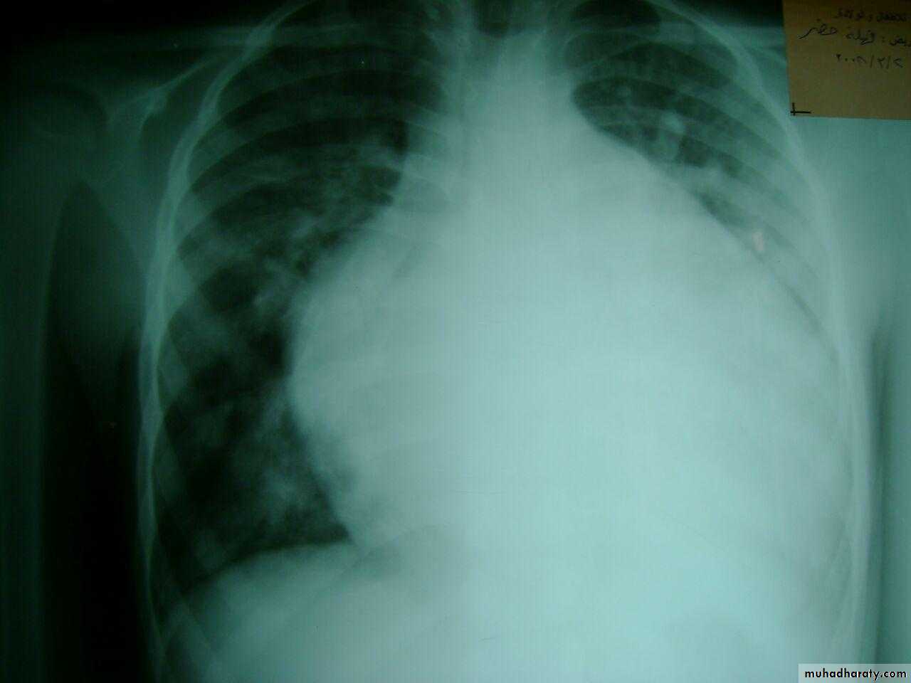
globular heart pericardial effusion
pleural effusion - multiple opacities
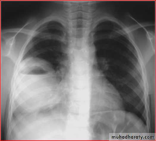
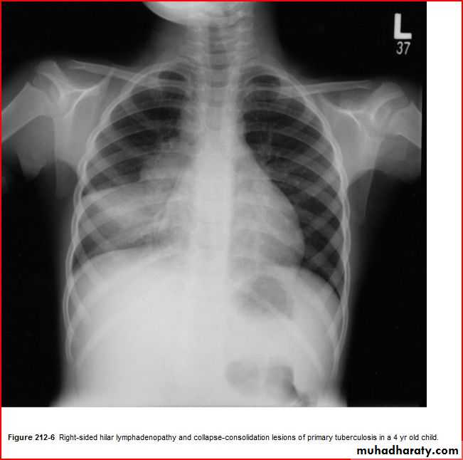
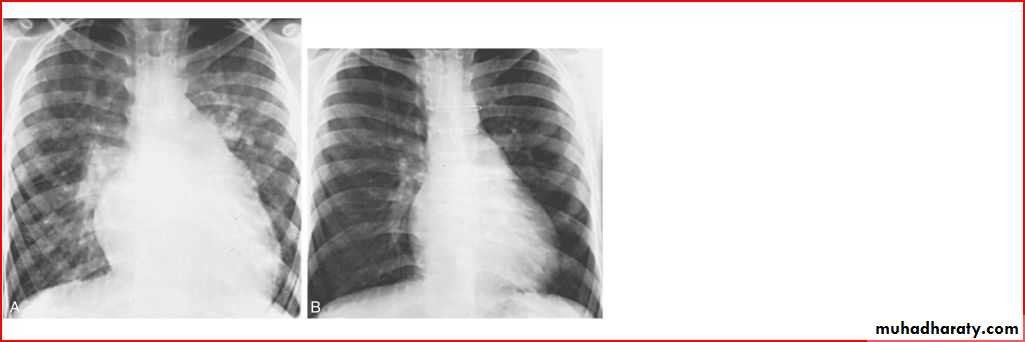
TB ddxheart cardiomegaly و pleural effusion
May with periphral lymph adenopathyNormal ECG
dextrocardia with situs inversus
Homgenous opacity filling the rt. Hemithorax there is shefting in trachea to rt. Side mean this is collapse
Deudenal obstruction double bubble sign
Rx iv fluid , surgeryDouble bubble sign deudenal obstruction + air fluid level
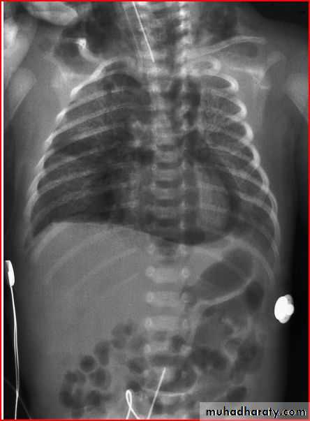
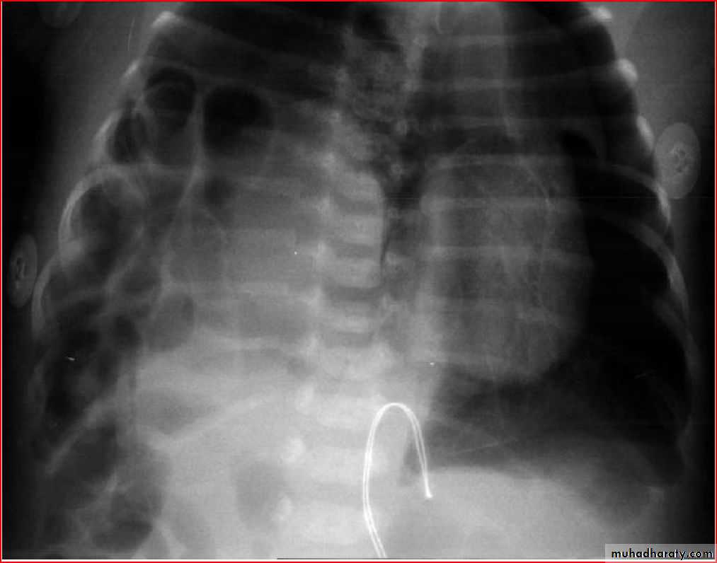
pneumoperitonum
Pneumoperitonum
Diaphragmatic hernia
Rt. Diaphragmatic hernia or diaphragmatic eventration
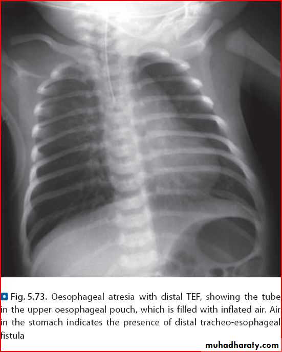
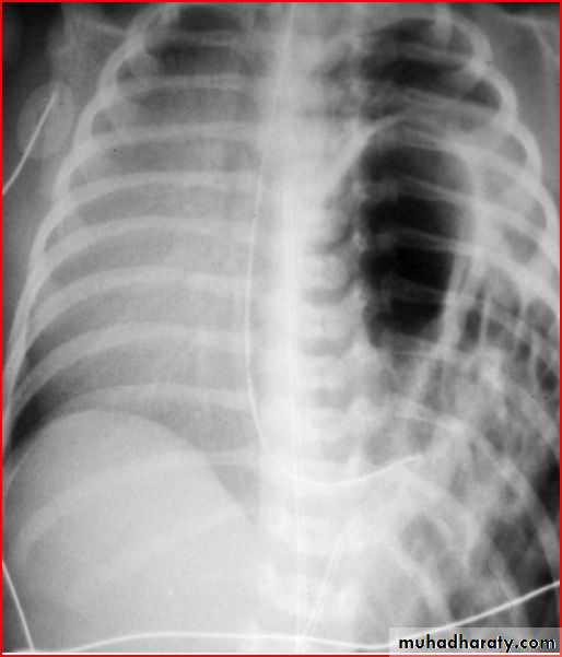
Esoph. atresia
Esophagial atresia or achalasia ???
Air fluid levels of intestinal obstruction
atresia
3 month infant presented with cough & dyspnea
Xray shows hyperinflated chest (depresed diaphragm , > 6 ribsMay be bronchiolitis
Hyperinflated chest
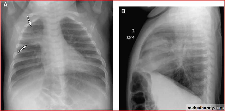
Hx of FB
A showing normal x rayB xray during expiration showing lt. lung emphysema make shifting of mediastinum
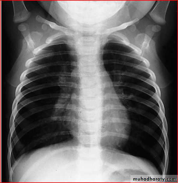
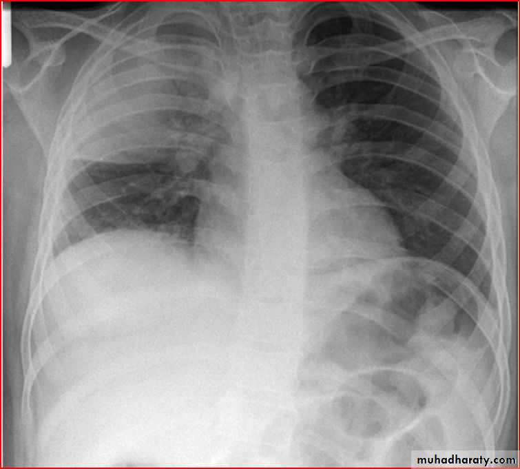
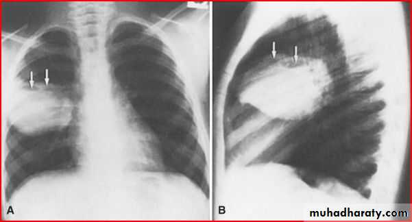
Lobar Pneumonia (rt upper lobe)
Consolidation limited by fissureMost common cause is strept. pneumonae
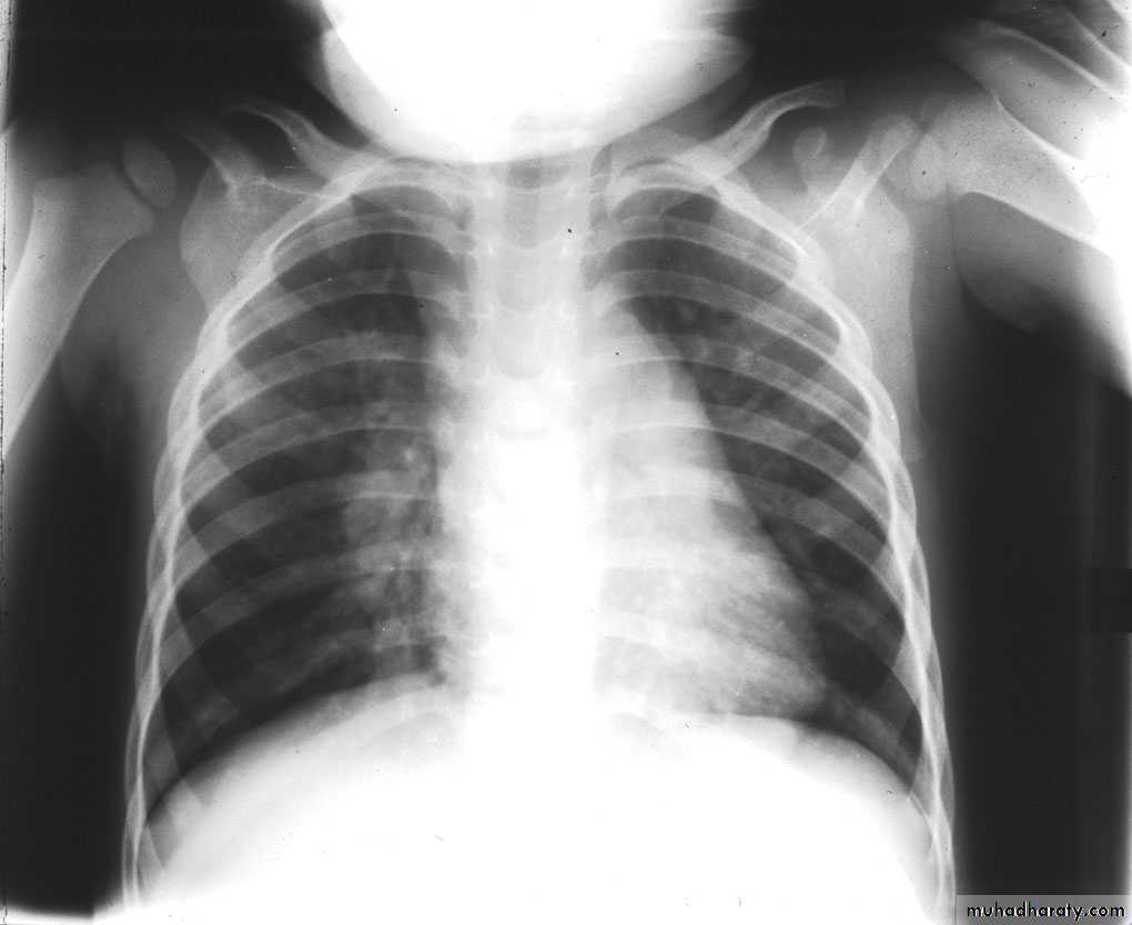
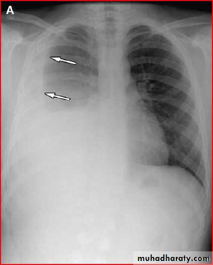
Middle lobe pneumonea limitted by the horizontal and oblique fissure
Opacification of whole lt. hemithorax consolidation of pneumonea but no pleural effusion b.c there is free costophrenic angle
Pneumatocele
Complecation of staph pneumonea may complicate to pneumothorax
10 y boy presented with acute abdomen
Dx. Lt. lower lobe pneumoneapneumonea
Pleural effeusion + minscal sign
Pneumatocele
pneumothorax
Tention pneumothorax ( shifting mediastinum )
Endotracheal tubeSo, +ve pressure ventilation complicated to pneumothorax
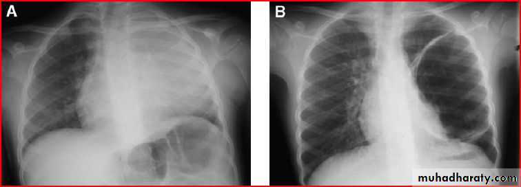
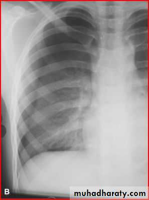
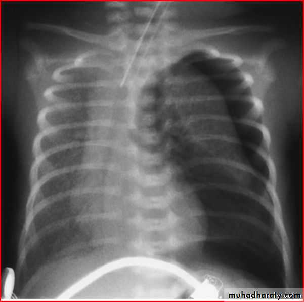
Rt. Total lung collapse
Normal xray after FB removalRds ( fine reticulo-granular pattern ) كعب البطل
Ground glass apperance
Diaphragmatic hernia
Rx >> endotracheal tube and o2 and NG tubeDiaphramatic hernea and endotracheal tube
Lung abscess
Lung adscess with air fluid level
RDS with pneumomediastinum as rds complication
Rt. Diaphragmatic hernia (rare) + pneumothorax in lt. due to lung hypoplasia
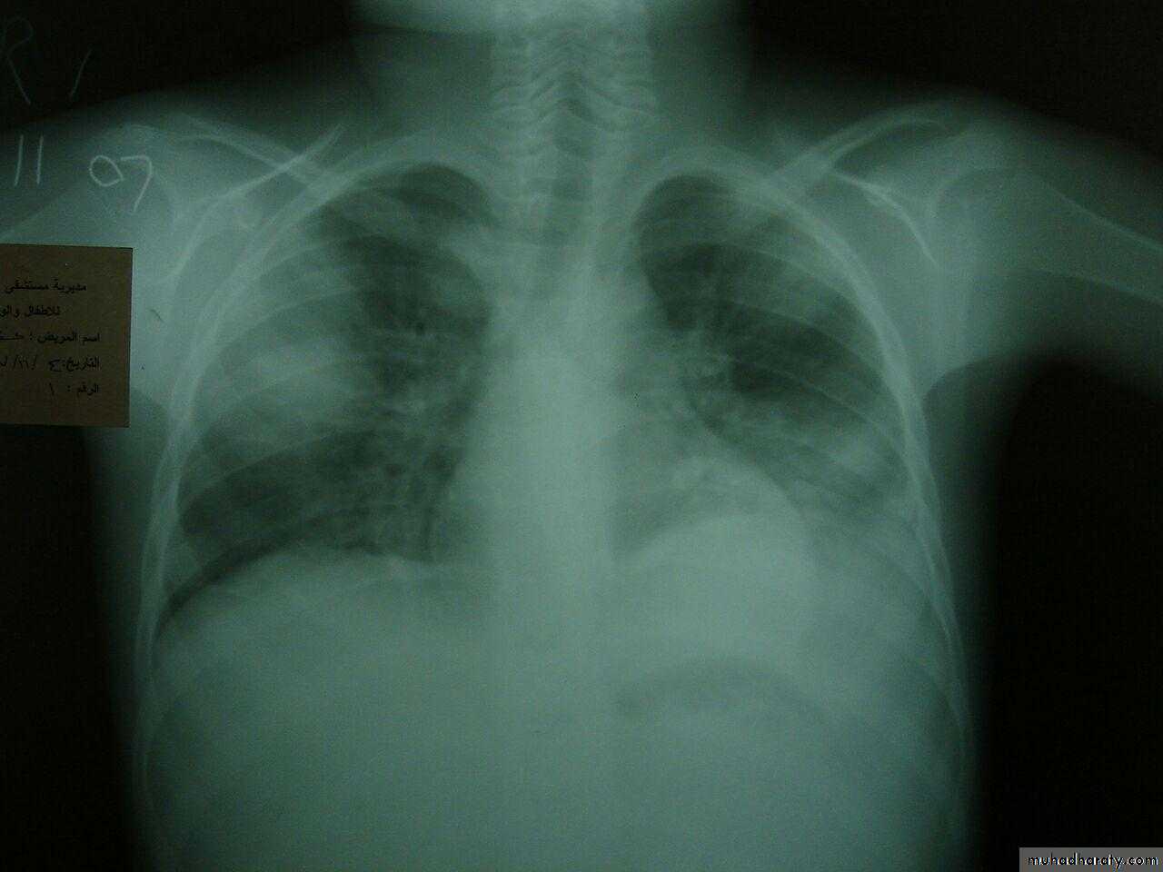
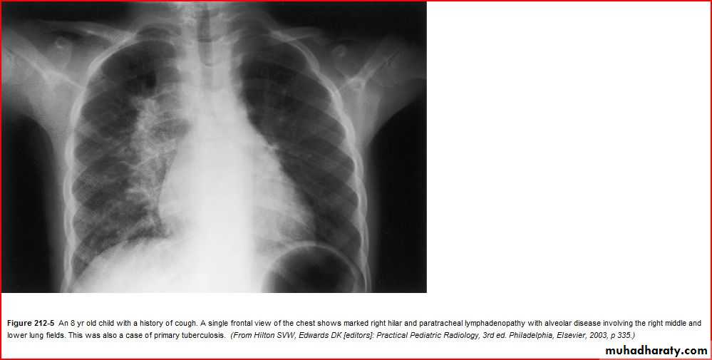
Enlarged hilar lymph nodes + non hemogenous opacity of middle and lower lobe
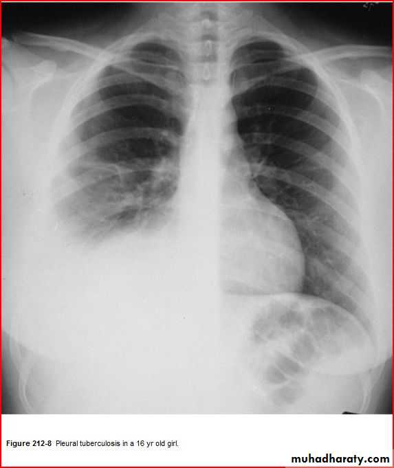
TBPleural effusion meniscal sign
Cardiomegaly
Oligemic lung (devoid vascularty of lung )
Elevation of heart apexRt. Sided aortic notch
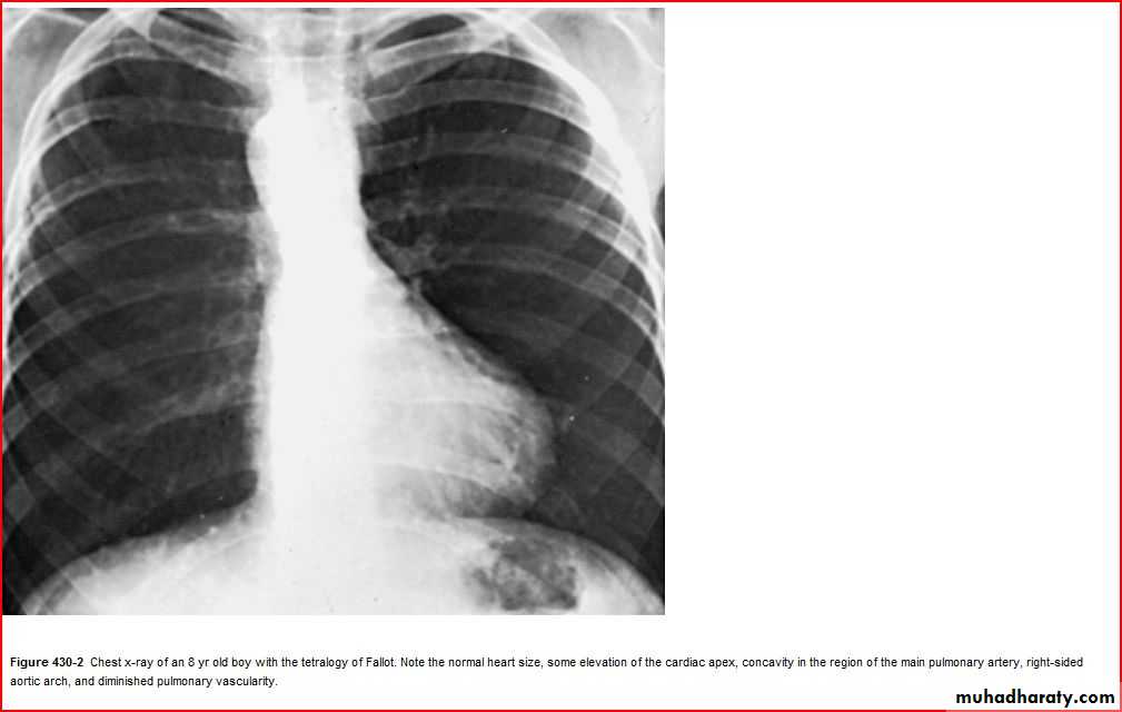
BOOT SHAPE HEART ( TOF )
Enlarged heat then normal heart after treatment of ASD
Barium meal showing pyloric stenosis
Ricket
Ricket
Leadpipe apperance
Barium enema
( coil spring sign )Coil spring sign intussusseption
3 signs >> current jelly stool
Suscage mass
Prolapse of the mass theough rectum
3 bubble apperance of jujenal atresia
Double bubble apperance of dudenal atresia
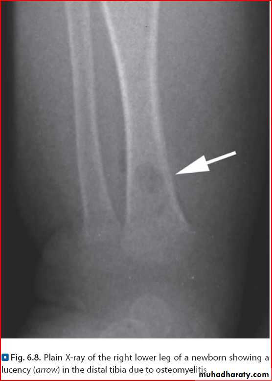
Osteomylitis
Full bladder
Working kidnycardiomegaly
globular heart pericardial effusion
Neonatal examination
harlequin color change in lbw baby
lanugo hair in premature baby
Salmon patch in normal baby navus simplex
port wine stain (navus flammeus)
Strawberry nevus
cavernous hemangioma
colobomas of the iris
heterochromia of the iris
megalocornea
webbing of neck in female turner syndrome
Sternomastoid tumor
macrocefalia neonatal
Scalp defect
Eye light reflex
neonatal conjunctivitis
microophthalmia
Trisomy-slanting eyes
bradydactyly in down syndrome
Erbs palsy
phocomelia
Café aule spots benign
milia
Appear after 1st day , red raised , eosinophils
Erythema toxicum
Erythema toxicarum
Pilonidal sinus
meningeocele
scoliosis
Neutral head position
Neonatal reflexes
Placing & stepping
Tonic
Kwashiorkor is a form of severe protein–energy malnutrition characterized by edema, irritability, ulcerating dermatoses, and an enlarged liver with fatty infiltrates. Sufficient calorie intake, but with insufficient protein consumption, distinguishes it from marasmus. Kwashiorkor cases occur in areas of famine or poor food supply.















































































































































































































































































































































































