Functional appliances(Myofunctional appliances)
A functional appliance by definition is one that changes the posture of the mandible, holding it open or open and forward. Pressures created by stretch of the muscles and soft tissues are transmitted to the dental and skeletal structures, moving teeth and modifying growth.
Functional appliances utilize, eliminate, or guide the forces of muscle function, tooth eruption and growth to correct a malocclusion.
There are many different types of functional appliances, but most work by the principle of posturing the mandible forwards in growing patients.
They are most effective at changing the anteroposterior occlusion between the upper and lower arches, usually in patients with a mild to moderate Class II skeletal discrepancy. They are not as effective at correcting tooth irregularities and improving arch alignment, so are often followed with a phase of fixed appliance treatment.
Timing of functional appliance treatment
Generally it is better to start the functional appliance treatment in the late mixed dentition, provided there is still growth remaining.This means that the patient is ready to progress onto the fixed appliance stage, which typically follows the functional appliance. If the functional
appliance is started too early then there will be delay while waiting for the remaining deciduous teeth to exfoliate.
The exception to this is when the younger patient is being teased about their teeth. In these situations the child can be given the choice of early treatment, hence addressing the cause of the teasing. However, both the child and the parent need to be aware that by starting the functional appliance earlier the patient will need to attend more appointments, and the total orthodontic treatment time will be longer.
Duration of wear
Functional appliances should be worn for at least 10- 12 hours a dayThese appliances should be worn at nighttime as this is when growth takes place
How functional appliances work
It would appear that changes caused by functional appliances are principally due to dento-alveolar changes. This means there is distal movement of the upper dentition and mesial movement of the lower dentition, with tipping of the upper incisors palatally and the lower incisors labially.There are some minor skeletal changes, with some degree of maxillary restraint as well as mandibular growth. These changes, although clinically welcome, are too small (1–2 mm) to predictably replace the need for orthognathic surgery in severe skeletal discrepancies.
Action of functional appliance
Functional appliance can produce following changes• Orthopedic changes
• 2. dentoalveolar changes
• 3. muscular changes
1.Orthopedic changes
Myofunctional appl are capable of accelerating growth in condylar regionThey bring about remodelling of glenoid fossa
They can change direction of growth of the jaws
Action of functional appliance
2 - Dentoalveolar changes
They can bring about changes in sagittal direction. The combination of maxillary dental retraction andmandibular dental protrusion that all functional appliances create is similar to the effect of interarch elastics.This "Class II elastics effect" can be quite helpful in children who have maxillary dental protrusion and mandibular dental retrusion in conjunction with a Class II skeletal problem, but the same effect is deleterious in patients who exhibit maxillary dental retrusion or mandibular dentalprotrusion. Mandibular dental protrusion usually contraindicates functional appliance treatment.
In transverse direction they can bring about expansion of the dental arches by incorporating screws in them
In vertical plane they allow selective eruption of teeth. Functional appliances also can influence eruption of posterior and anterior teeth. It is possible to level an excessive curve of Spee in the lower arch by blocking eruption of the lower incisors while leaving the lower posterior teeth free to erupt.
3 - muscular changes
Functional appliance can improve tonicity of the orofacial musculatureClassification of functional appliances
• Passive Tooth-borne Appliances: These appliances have no intrinsic force-generating capacity from springs or screws and depend only on soft tissue stretch and muscular activity to produce treatment effects.e.g. Activator, Bionator, Twin Block.• Active Tooth-borne Appliances: These are largely modifications of activator and bionator designs that include expansion screws or springs to move teeth (expansion activator, orthopedic corrector, sagittal appliance, any number of activators carrying the developer's name
• 3. Tissue-borne Appliances. The functional regulator of Frankel is the only tissue-borne functional appliance. A small pad against the lingual mucosa beneath the lower incisors stimulates mandibular repositioning. Much of the appliance is located in the vestibule, however, and it alters both mandibular posture and the contour of facial soft tissue. It serves as an arch expansion appliance in addition to its effects on jaw growth because the arches tend to expand when lip and cheek pressure is removed.
LIP BUMPER
• “combined removal-fixed appliance”. • Used in both maxilla & mandible to shield the lips away from the teeth.• Uses:
-in lip sucking patients.
-hyperactive mentalis activity.
-to augment anchorage
-distalization of first molars
ACTIVATOR
• Indicaitons: In actively growing individuals with favorable growth patterns.-class II div I mo
-class II div II mo
-class III
-class I open bite
-class I deep bite
-as a preliminary T/t before major fixed appliance therapy to improve skeletal jaw relations.
-for post treatment retention -children with lack of vertical development in lower facial height
Contraindications:
-correction of class I cases with crowded teeth caused by disharmony b/w tooth size & jaw size.-in children with excess lower facial height.
-in children whose lower incisors are severely procumbent.
-in children with nasal stenosis caused by structural problems w/in the nose or chronic untreated allergy.
-in non-growing individuals
Advantages:
-uses existing growth of the jaws-minimal oral hygiene problems
-intervals b/w appointments is long
-appoints are short,minimal adjustments required
-hence,more economical
Disadvantages:
requires very good patient cooperationcannot produce a precise detailing & finishing of occlusion.
may produce moderate mandibular rotation(hence contraindicated in excess lower facial height cases)
Mode Of Action:
Acc. To Andresen & Haupl-induce musculoskeletal adaptation by introducing a new pattern of mandibular closure.
stretching of elevator muscles of mastication leading to contraction myotactic reflex set up kinetic energy which causes:
-prevention of growth of max. dento- alveolar process
-movement of max. dento alveolar process distally
-reciprocal forward growth of mandible.
• In addition, a condylar adaptation by backward & upward growth occurs.
FRANKEL’S FUNCTION REGULATOR
2 main T/t effects:
• serves as a template against which craniofacial muscles function. Framework of the appliance provide an artificial balancing of environment.
• 2) removes the muscle forces in the labial & buccal areas thereby providing an environment which enables skeletal growth.
Types:
FR I-Class I & Class II Div I . FR 1a-Class I with minor to moderate crowding.FR 1b-Class II div I where overjet does not exceed 5mm
FR 1c-Class II div I ;overjet >7mm
FR II- Class II div I & II
FR III-Class III• FR IV-open bite & bimaxilliary protrusion
• FR V- incorporate head gear. Indicated in long face patients having high mandibular plane angle& vertical maxillary excess. FR III FR IV
BIONATOR
• It’s a Modified activator which is less bulky (Palatal coverage iseliminated. As with the activator, lingual flanges stimulateforward posturing of the mandible and shelves or blocks between the teeth provide vertical control).• 3 types
Standard type-class II div I having narrow dental arches
Class III Appliance
Open bite appliance
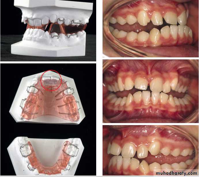
TWIN BLOCK APPLIANCE
• The Twin Block appliance is a removable, orthodontic functional appliance that is used to help correct class II div. I, particularly an underdeveloped lower jaw.The removable twin block is a tooth-born functional appliance that is worn fulltime. It helps in the advancement of the mandible. It is a two-piece appliance composed of an upper and lower bite block. Upper & lower bite blocks interlock at 70 0 angle.
The upper and lower parts fit together using posterior bite blocks with interlocking bite-planes, which posture the mandible forwards. The blocks need to be at least 5 mm high, which prevents the patient from biting one block on top of the other. Instead the patient is encouraged to posture the mandible forwards, so that the lower block occludes in front of the upper block. The appliance can be worn full time, including during eating in some cases, which means that rapid correction is possible. It is also possible to modify the appliance to allow expansion of the upper arch during the functional appliance phase. A modification to allow
correction of Class II division 2 malocclusions
Twin-block appliance modifi ed for treatment of a Class II division 2 malocclusion
HERBST APPLIANCE• Fixed functional appliance developed by Emil Herbst in early 1900’s.
• Indications: -correction of class II MO due to retrognathic mandible.
-can be used as anterior repositioning splint in patients having TMJ disorders.
Specific indications -Post adolescent patients: T/t completed w/in 6-8 months,hence possible to use the residual growth in these patients.
-Mouth breathers
-Uncooperative patients • 2 types: -Banded Herbst -Bonded Herbst
Advantages:
-continuous action-T/t duration is short
-less pt cooperation needed
-can be used in pts who are at the end of their growth
-can be used in pts with mouth breathing habit.
Disadvantages: -cause minor functional disturbances. -increased risk of development of dual bit,with TMJ dysfunction symptoms as a possible consequence. -repeated breakage & loosening of appliance occurs,esp. in lower premolar area. -plaque accumulation & enamel decalcification can occur -tendency for posterior open bite.
LIMITATIONS & COMPLICATIONS Of Functional Appliances
• Discomfort, as both upper & lower teeth are joined together.• Mainly depends on patient’s compliance
• Can be used only if a favorable horizontal growth pattern is present in cases of Class II correction.
• It has to be removed during masticaiton,particularly when strongest forces are applied.
• May interfere with speech.
• Treatment duration is often long












