Benign tumors & tumor like lesions of the oral cavity
Dr. Wafaa KhalilIntroduction
The discovery of leukoplakia, erythroplakia, ulceration, ulcerated masses or a brownish-black pigmentation in the oral cavity alerts the physician and dentist to the possible presence of oral Cancer which is highly curable if detected at an early stage.However, many benign conditions may also be encountered in the oral cavity which require therapy or at least recognition. Some of the following conditions are true benign neoplasms ; others are non-neoplastic but may be confused with tumors.
Cysts
Dermoid and Epidermoid CystsThe dermoid cyst is a form of cystic teratoma, which is lined by epithelium and in addition reveals the presence of skin appendages, e.g. hair, sebaceous glands or teeth.
The epidermoid cyst is also lined by epithelium but does not contain any skin appendages.
Hamartoma is a mostly benign, focal malformation that resembles a neoplasm in the tissue of its origin. ... It grows at the same rate as the surrounding tissue. It is composed of tissue elements normally found at that site, but they are growing in a disorganized manner.Teratoma
non-local/foreign — arises from other tissuesis actually a neoplasm
common targets: ovaries – testis
Clinical features:
Swellings may be seen as midline swellings or rarely as lateral swellings, in the floor of the mouth and neck. Those above the geniohyoid muscle, elevate the tongue, causing difficulty with mastication and speech. Those present inferior to the geniohyoid muscle, cause a submental swelling, that described as a double chin.
It does not move up or down on swallowing, which is important in distinguishing it from a thyroglossal cyst.
Dermoid and Epidermoid Cysts
Pathology:
Both the epidermoid and dermoid cysts are lined by keratinizing stratified squamous epithelium and contain keratin scales.
The dermoid cysts are characterized by the presence of one or more dermal appendages in the wall, such as sebaceous glands, sweat glands, hair follicles, etc.
Location of dermoid and epidermoid cysts of the oral cavity: (A) Dermoid cyst is visible, in the floor of the mouth, as it elevates the tongue and is present above the mylohyoid muscle, (B) Epidermoid cyst is seen as a submental swelling, as it is located below the mylohyoid muscle
A
B
Dermoid and Epidermoid Cysts
Treatment:
Surgical excision (enculation) is the best line of treatment. For cysts present in the floor of the mouth an intraoral approach, is advisable. For very large cysts present inferior to the mylohyoid musle, an extraoral approach via a horizontal submandibular incision in the midline may be required for better access. Marsupialization may be considered if very large lesion.
Nasolabial Cyst
These occur at the junction of the globular, lateral and median nasal processes, under the ala of the nose.They are diagnosed by their position as they lie in a depression on the maxilla, and not in the bone. Therefore the term nasoalveolar is a misnomer.
Clinical features: Majority of the cases are unilateral though bilateral lesions have been reported. A swelling is seen involving the lip, that lifts up the nasolabial fold and obliterates the labial sulcus. When it bulges into the inferior meatus, it may result in difficult breathing The cysts are fluctuant and painless unless infected secondarily.
Pathology:
Various types of epithelial cells may form the lining of the cyst lumen, often including ciliated cells and goblet cells.Only in large cysts may a radiograph show some erosion of the underlying bone.
Treatment: The cyst should be removed surgically by an intraoral approach.
Nasolabial Cyst
Almost all lesions in the oral cavity that are called fibromas are not true neoplasms, but merely fibrous overgrowths caused by chronic irritation. Many authors therefore prefer the term fibroepithelial polyp or fibrous hyperplasia for this type of lesion.
• A Fibro-Epithelial Polyp is a very common, firm, painless swelling found mainly on the inside of the cheeks, lips and tongue.
• It represents a reactive, localised ‘scarring’ due to trauma or local irritation.
• The size may vary from a few millimeters up to some centimeters.
• A fibroma has a smooth overlying mucosa and is often pedunculated.
• The consistency may vary from soft and myxomatous to firm and elastic.
• Surgical excision is the treatment of choise.
• Hemangioma
• A hemangioma is a benign lesion of blood vessels or vascular elements.• The majority of oral and oropharyngeal hemangiomas seem to be of a developmental nature ( hamartoma).
• Hemangiomas of the oral cavity are often present at birth or shortly thereafter.
• They have a strong preference for occurrence in the tongue and the floor of the mouth.
Hemangioma
• Bleeding, either spontaneously or from mechanical irritation, can be a serious problem.
Hemangioma
• Angiography may be an aid in diagnosing a Hemangioma.
• A Hemangioma may histologically consist of numerous irregular, blood-filled spaces, lined by endothelial cells and surrounded by connective tissue.Hemangioma
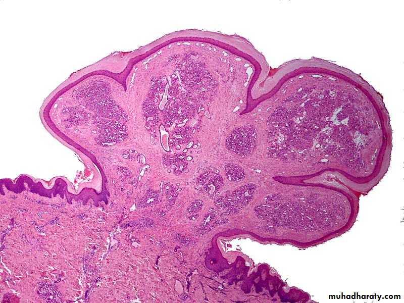
Keratoacanthoma
• Is a common low-grade (unlikely to metastasize or invade) skin tumour that is believed to originate from the neck of the hair follicle. Also called molluscum sebaceum.• Its etiology is unknown. Men are affected twice as often as women.
• A keratoacanthoma is usually a solitary and rapidly growing lesion.
• It appears as a well-circumscribed, slightly elevated lesion that rarely measures more than 1 cm.Keratoacanthoma
• It is dome-shaped, symmetrical, surrounded by a smooth wall of inflamed skin, and capped with keratin scales and debris.
• Keratoacanthoma very closely resembles squamous cell carcinoma.
• It grows rapidly, reaching a large size within days or weeks, and if untreated for months will almost always starve itself of nourishment, necrose (die), slough, and heal with scarring.
• Occur in the lower and upper lip mostly.
• Histologic examination of a keratoacanthoma shows hyperplastic epithelium with carcinoma-like features.
• Excision of the entire lesion, with adequate margin, will remove the lesion
Keratoacanthoma• Lipoma
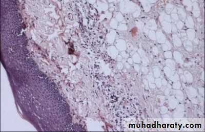
• Is a benign neoplasim composed of adipose tissue. Its cause is unknown.• Lipomas are soft to the touch, usually movable, and are generally painless.
• When it is located superficially, a yellowish texture can be seen.
• Trauma and metaplasia of perivascular connective tissue have been suggested as playing a role.
• Histologic examination of a lipoma shows a well-delineated mass of lobules of fat cells with fibrous septa interspersed between them.
Lipoma
• Surgical removal by simple excision is the treatment of choice. Recurrences have not been reported.• Lymphangioma
• Lymphangiomas and cystic hygromas are rare benign hamartomatous lesions of the lymphatic system.• The tongue being the usual site .
• The size may vary from pinhead to massive dimensions.
• No clear sex predilection is demonstrated, and whites appear to be affected more often than people of other races.
• The typical Lymphangioma is characterized by irregular nodularity of the mucosa, with gray and pink, grapelike projections.
Lymphangioma
• No true encapsulation occurs and quite often the proliferation of lymphatic vessels spreads diffusely into the surrounding soft tissues.• Small lesions can be excised. With extensive, symptomatic lymphangiomas surgical removal of the bulk of the lesion seems to be the only possible treatment.
• Complete surgical excision is difficult, particularly in the mouth, because of the multiple fingerlike projections extending into the adjacent tissues.
• Steroids and antibiotics should be administered during and after surgery.
• Recurrences are common.
Lymphangioma
Intra-oral photograph showing growth in left buccal mucosa, (b) photograph showing gross appearance of excised specimen, (c) photomicrograph showing stratified squamous epithelium with juxta epithelial stroma showing large thin endothelial lined lymphatic vessels, (d) photomicrograph showing eosinophilic material resembling lymph in lymphatic vessels with few lymphocytes
Lymphangioma
Neurofibroma
• Its derived from the fibrous elements of the neural sheath.• Its a hamartoma or a reactive process rather than a neoplasm.
• May exist as solitary lesions or as part of generalized neurofibromatosis or von Recklinghausen’s disease.
Neurofibroma
• Quite often the tongue is involved, in some cases resulting in unilateral macroglossia.
• Neurofibroma is not encapsulated. Proliferating Schwann's cells are haphazardly arrange.
• A small neurofibroma can be excised with a 1-cm margin.
• Large neurofibromas, debulking is typically the treatment of choice.
Multiple neurofibromas on the tongue.
• Traumatic neuroma
• A traumatic neuroma is a reactive hyperplasia caused by injury of a nerve.• Traumatic neuromas may occur anywhere in the oral cavity mostly in the mental nerve region.
• The lesion usually manifests itself as a small submucosal nodule that may be painful at palpation.
• Management consists of conservative surgical removal, if possible, followed by coagulatin of the adherent nerve.
• Recurrence is rare.
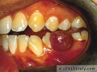
pyogenic granuloma
• Is a benign, elevated, and capillary-rich lesionIs, soft, red or purple mass on the lips, interdental papilla, or buccal mucosa .• It may occur in the skin.
• The cause is thought to be local irritation, hormonal factor or trauma.
• When located at the gingiva of pregnant women, the term pregnancy tumor may be used.
• Histologic evaluation shows granulation tissue with numerous
endothelium-lined vascular spaces and fibroblasts.
pyogenic granuloma
pyogenic granuloma
• An oral pyogenic granuloma most frequently involves the gingiva.
• The lower lip and the dorsal surface of the tongue are rather common sites as well.• The lesion is usually pedunculated or sessile, and the surface is often ulcerated.
• The size of the lesion's diameter may vary from 0.5 to 2 cm or more.
• Sometimes rising the question of whether one is dealing primarily with a vascular lesion with secondary signs of inflammation or with an inflammatory condition.
• Mitotic activity may be abundant and should not be mistaken as a sign of malignancy.
• Surgery is the management of choice. Recurrence rare.
pyogenic granuloma
• Papilloma
• A papilloma is a benign epithelial neoplasm composed of fingerlike projections of squamous epithelium.• Oral and oropharyngeal papillomas may occur as single or multiple, sessile, warty lesions, seldom measuring more than a few millimeters.
• When they involve the oropharynx, the soft palate and the uvula are the usual sites.
• The histology of a papilloma shows fingerlike projections of squamous epithelium above the level of the surrounding mucosa.
• Management consists of surgical excision. Recurrences are rare.
•
Papilloma
Papilloma





















































