Odontogenic tumours are tumours arising from dental tissues or their progenitor (embryonic) cells. They are usually located in the jaw bones- central- but occasionally may be located in the surrounding oral soft tissues- peripheral
They are mostly slowly growing lesions, which are benign ( about 95%) although a few are malignant or have malignant variants. They may be locally aggressive (infiltrative) and, with the exception of a few (e.g adenomatoid odontogenic tumour), are more commonly seen in the mandible than the maxilla. They may be purely epithelial, purely mesenchymal or mixed
CLASSIFICATION OF ODONTOGENIC TUMOURS
1- TUMOURS OF ODONTOGENIC EPITHELIUM:Ameloblastoma –solid multicystic, extraosseus(peripheral), desmoplastic, unicystic.
Adenomatoid odontogenic Tumour
Calcifying epithelial odontogenic tumour(Pindborg tumor)
Squamous odontogenic tumour.
Keratocystic odontogenic tumour.
Ameloblastic carcinoma & Malignant ameloblastoma
Clear cell odontogenic carcinoma
CLASSIFICATION OF ODONTOGENIC TUMOURS
11- MIXED TUMOURSAmeloblastic fibromaAmeloblastic fibro-odontoma
Ameloblaastic fibro – dentinoma
Odonto-ameloblastoma.
Compound and complex odontoma
Calcifying cystic odontogenic tumour
Dentinogenic ghost cell tumour
Ameloblastic fibrosarcoma
CLASSIFICATION OF ODONTOGENIC TUMOURS
111- TUMOURS OF ODONTOGENIC ECTOMESENCHYME.Odontogenic Fibroma
Granular cell odontogenic Tumour
Odontogenic myxoma
Cementoblastoma
PRINCIPLES OF DIAGNOSIS & MANAGEMENT
HISTORY : Ask patient about;-Duration: long /short/prolonged
-with(out) pain?.
-Mode of onset: spontaneous/ following trauma or infection?
-Progress of tumour: slow/stationary or rapid/fast?
-Associated loss of weight
-Recurrence-Drug history
-Family history: hereditary?
-Social History: Habit
PRINCIPLES OF DIAGNOSIS & MANAGEMENT
EXAMINATION Thorough and detailed systematic examination from extra-oral to intra- oral.-Inspection No, Size, Shape, Colour, Site(anatomical location). -Surface: smooth, lobulated , irregular, ulcerated, fungating
-Attachments: Pedunculated /sessile
-Integrity of overlying skin or mucosa.
-Temperature of overlying skin
-Palpation for: Consistency- soft , firm, hard/ indurated, bony hard, cystic/fluctuant
-Relationship with overlying & underlying structures.
-Lymph nodes
-Bimanual palpation for large lesions to determine extent of tumour
-Percussion of related teeth.-Auscultation: if suspecting vascular lesion.
-Aspiration: if cystic or contains fluid
PRINCIPLES OF DIAGNOSIS & MANAGEMENT
INVESTIGATIONSIMAGING
BIOPSY
Principles of TreatmentGoals
• Complete eradication of tumour• Preservation of normal tissue
• Removal with least morbidity
• Reconstruction to replace tissue loss and form
• Rehabilitation and restoration of function
• Long term follow up to detect recurrence early
Principles of Treatment
The treatment of odontogenic tumours requires correct histological diagnosis. The appropriate choice of surgical treatment method is after proper and adequate evaluation before surgery and depends on:• Histological type benign Vs Malignant- encapsulated/non-infiltrative-
• Anatomical location/ Site of tumour - Oral Cavity
Anterior Vs Posterior
Maxilla Vs Mandible
(3) Size of Tumour/
-confinement to bone- small lesion
Local excision.
-large or malignant lesion- Radical/Extensive excision.
(4) Age of Pt ability to withstand stress of radical surgery
(5) If malignant Presence/ absence of distant metastasis.
(6) Proximity to adjacent vital structures.
(7) Rehabilitation or reconstruction methods
Treatment methods
The best modality of treatment is surgery.Radiotherapy, chemotherapy are usually used as adjuncts or palliative measures in malignant types and therefore have no role in benign odontogenic tumours
Surgical Treatment: Most odontogenic tumours are benign and surgery is the first choice. Adequate resection with margin of normal tissue is the recommended surgical treatment. Well-circumscribed (encapsulated) non-infiltrative lesions (Adenomatoid Odontogenic Tumour, Ameloblastic Fibroma, Fibro-odontomas , odontomas, cementoblastoma) may however be treated by Conservative surgery . Enucleation or Local Excision
Locally invasive (infiltrative) Lesions (Ameloblastoma , ameloblastic odontoma, fibromyxoma, Calcifying epithelial odontogenic Tumour, Keratocystic Odontogenic Tumour, Squamous Odontogenic Tumour) more aggressive approach is needed– Resection with margin of normal bone
Resection: Removal of tumour by cutting through uninvolved tissue around the tumour and delivering the tumour without direct contact with the tumour
Marginal Resection (Resection with preservation of lower cortical plates if still intact and uninvolved). Also called Resection without continuity defect or ‘En bloc resection).
Partial Resection (Removing a complete segment of the jaw) (Resection with continuity defect).It can vary from a small portion to Hemimandibulectomy or partial maxillectomy
Total Resection Removal of the whole involved bone – Maxillectomy or Mandibulectomy
AMELOBLASTOMA
A benign but locally invasive polymorphic neoplasm consisting of proliferating odontogenic epithelium which usually has a follicular or plexiform pattern, lying in a fibrous stroma. Most often a central tumour of jaw bones although peripheral variants are occasionally seen
Histology
Two patterns – plexiform and follicular (nobearing on prognosis)
Classic – sheets and islands of tumor cells,
outer rim of ameloblasts is polarized away
from basement membrane
Center looks like satellate reticulum
Clinical features: Slow – growing usually central jaw lesion. Painless- unless infected. Expands bone (expansion of buccal and lingual plates) - locally infiltrative and erodes cancellous bone.
Age: Can occur at any age More common between 2nd – 6th decades
Site:- Mandible > MaxillaAlthough any part of the jaw may be affected
Tooth mobility / derangement.Thinning of cortical plates Depressible bone egg -shell cracking sound.
Local bone invasion makes conservative surgery inadequate
Radiology
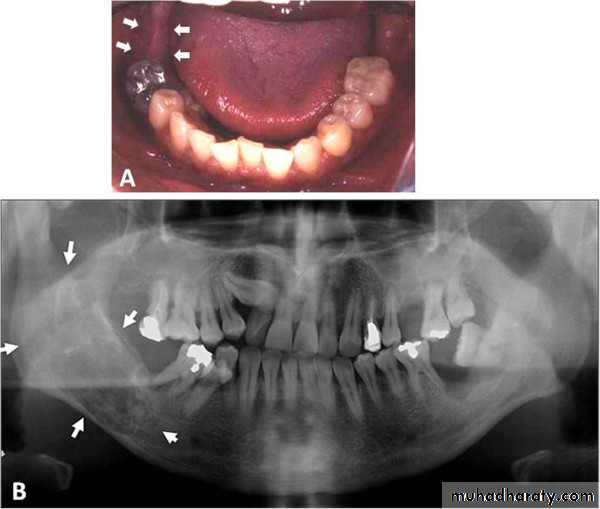
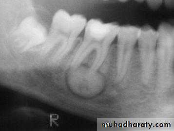
Multilocular radioluscency honey comb or soap bubble appearance.-In unicystic ameloblastoma unilocular radioluscency.
Thinning and expansion of cortical plate. Thinning of lamina dura.
Truncation /Amputation of roots
Ameloblastoma
Treatment of Ameloblastoma
According to growth characteristics and type_ Unicystic Complete removal with Peripheral ostectomies if extension through cyst wall
Classic infiltrative (aggressive)
_ Mandibular adequate normal bone around margins of resection
_ Maxillary more aggressive surgery, 1.5 cm margins
_ Ameloblastic carcinoma Radical surgical resection (like SCCa)
Calcifying Epithelial Odontogenic Tumor
(Pindborg tumor)_Aggressive tumor of epithelial derivation
_May be associated with impacted tooth,_ mandible body/ramus
_ Chief sign: expansion
_ Pain not normally a complaint
Histology
Islands of eosinophilic epithelial cells Cells infiltrate bony trabeculae
Nuclear hyperchromatism and pleomorphism
Calcifications
Calcifying Epithelial Odontogenic Tumor
(Pindborg tumor)
Radiographic findings
Expanded cortices in all dimensions Radiolucent; poorly defined, noncorticated
borders
Unilocular, multilocular, or “moth-eaten”
“Driven-snow” appearance from multiple
radiopaque foci
Root divergence/resorption; impacted tooth
Treatment of Calcifying Epithelial Odontogenic Tumor (Pindborg tumor)
Behaves like ameloblastomaSmaller recurrence rates
En bloc resection, hemimandibulectomy
partial maxillectomy suggested
Adenomatoid Odontogenic Tumor
_ Associated with the crown of an impacted
anterior tooth_ Painless expansion
Radiographic findings
_ Well-defined expansile radiolucency
_ Root divergence, calcified flecks
Histology
_ Thick fibrous capsule, clusters of spindle cells,
columnar cells
_ Treatment: Enucleation, recurrence is rare
Adenomatoid Odontogenic Tumor
Squamous Odontogenic Tumor
_ Hamartomatous proliferation_ Maxillary incisor-canine and mandibular
molar
_ Tooth mobility common complaint
Radiology: triangular, localized radiolucency
between contiguous teeth
Histology: oval nest of squamous epithelium
in mature collagen stroma
_ Treatment : extraction of involved tooth and
thorough curettage;
maxillary more extensive resection; recurrences = treat with aggressive resection
Squamous Odontogenic Tumor
Mesenchymal Odontogenic Tumors
_Odontogenic Myxoma_Cementoblastoma
Odontogenic Myxoma
_ Originates from dental papilla or follicular mesenchyme_ Slow growing, aggressively invasive
_Multilocular, expansile; impacted teeth?
Radiology: radiolucency with septae
Histology: spindle/stellate fibroblasts with basophilic ground substance
Treatment: en bloc resection, curettage may be attempted if fibrotic
Odontogenic myxoma
Cementoblastoma
_ True neoplasm of cementoblasts_ First mandibular molars
_ Cortex expanded without pain
_ Involved tooth ankylosed
Radiology: apical mass radiolucent halo with dense lesions
Histology: radially oriented trabeculae from
cementum, rim of osteoblasts
Treatment: complete excision and tooth
sacrifice










