IMMEDIATE DENTURE
WHAT IS AN IMMEDIATE DENTURE?It is a denture, inserted and replaced immediately after extraction of the teeth.
Definition:1. Avoid any change in patient’s appearance and Prevent changes of the facial and oral musculature.
Advantages of Immediate Dentures
Advantages of Immed. Dentures
• 2. Promotes better healing and The denture can prevents swelling.• 3. Promotes better ridge form.
• 4. Prevents collapse of facial musculature.
• 5. Hastens patient adaptation to dentures.
• 6. A surgical stent and protective bandage helps to reduce bleeding.
• 7. Protect the tissues at sensitive extracted sites from irritation.
• 8. Establish the speech patterns more easily.
• 9. Prevents patient embarrassment.
• 10. Promotes patient health.
• 11. Provides a guide for optimal patient esthetics.
• 12. Provides a guide for V.D.O.
Advantages of Immed. Dentures
Challenging Factors and disadvantages of Immediate Dentures
• 4. Increased denture maintenance.• 5. Increased treatment time and cost.
• Increased complexity of clinical procedures.
• Limited evaluation of trial dentures.
• Increased patient discomfort.
• Patient is unavailable for appointment.
• Patient is debilitated or with Systemic conditions (poor surgical risk).• Acute infections that require drainage.
• Emotionally disturbed or diminished mental capacity and Indifferent patients.
• Patient who have undergone Radiation therapy.
• Patient with a severe Gagging reflex.
• Patients with extensive bone loss.
Contraindications of Immed. Dentures
Immediate Denturesinclude:
• Partial Immed. Dent.
• Transitional Immed. Dent.
• Conventional Complete Immed. Dent.
Differentiate between Immediate & Interim Dentures !
Interim immediate dentureA dental prosthesis to be used for a short interval of time for reasons of esthetics, mastication, occlusal support, or convenience, until more definitive prosthetic therapy can be provided.
Interim immediate denture may be:
A removable partial dent. can serve as an interim prosthesis to which artificial teeth will be added as natural teeth are lost.A transitional denture may become an interim complete dent. when all of the natural teeth have been removed from the dental arch.
Immediate Partial Denture
Immediate Treatment Partial Denture:
A partial acrylic resin denture that is placed at the same appointment of extraction
to restore esthetic and function immediately.Immediate treatment partial
support
stability
retention
Immediate Transitional Denture
Immediate Transitional DenturesIndications
Multiple extractions
Esthetics
Function
If conventional ICD contraindicated
Immediate Transitional Dentures
ProblemsIntensive post insertion care
Short-term solution
More expensive
After healing, a second denture is made
Immediate Complete Denture
Conventional Complete Immediate Dentures• A complete removable denture or over-denture fabricated for placement immediately after the removal of natural teeth
• Maxillary six anteriors are still.
• Remove all posterior teeth about 1-3 months before making immediate denture.• Predictable, a stable ridge contour.
Concept Condition:
Conventional Immediate Complete Dentures
Rationale
Allows for posterior segment to heal and stabilize.Maintains anterior teeth for appearance, some function.
After healing, it is relined with acrylic resin.
Conventional Immediate Complete Dentures
Conventional Immediate Complete Dentures
Indications• Maxilla
• anterior teeth present
• Cooperative patient
Not Recommended
• Both jaws simultaneously
• Mandibular arch
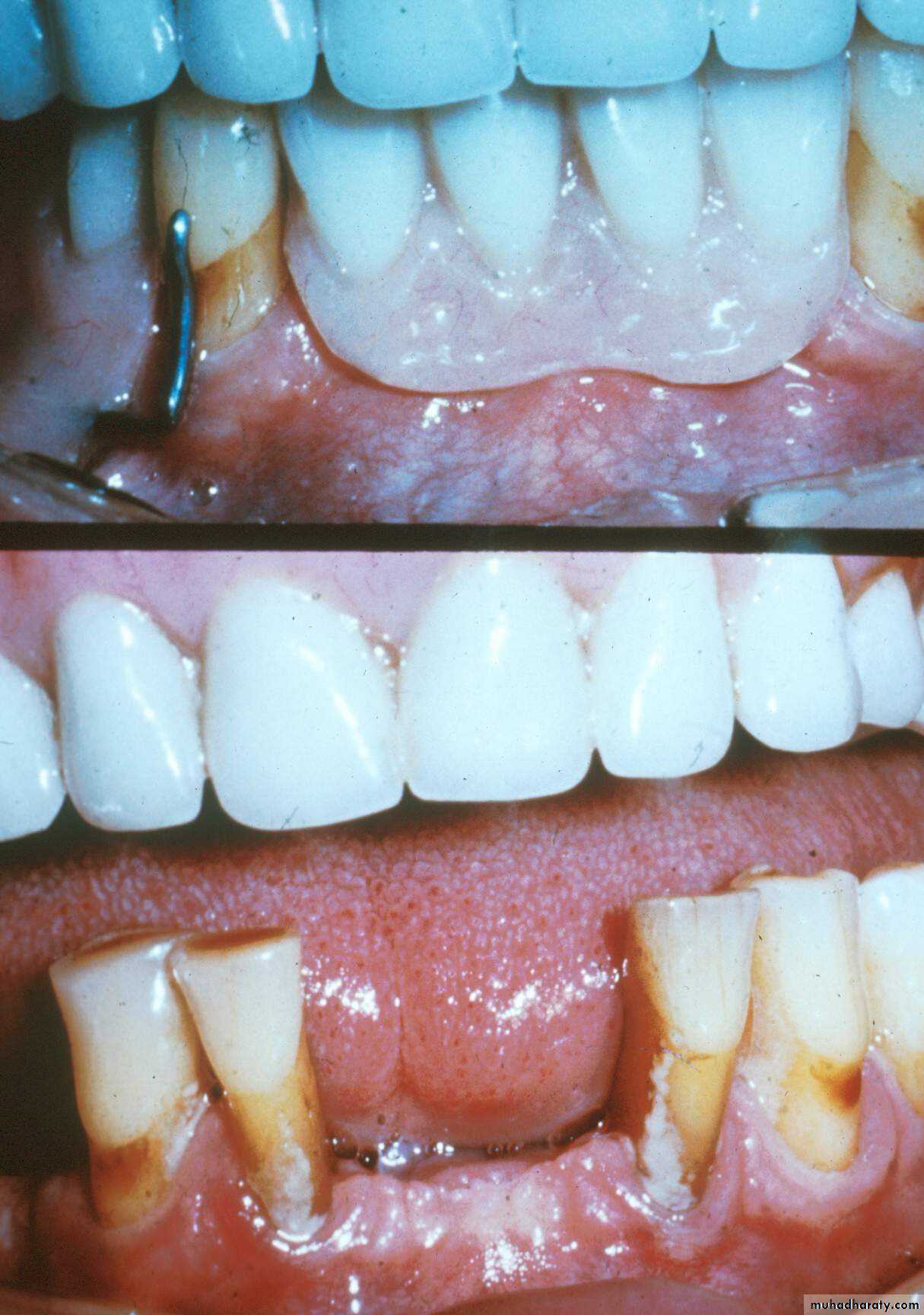
• It is not advisable to attempt to construct an immediate denture to replace more than six or eight teeth in an arch:
• First, there is considerable blood loss during the removal of teeth and associated alveolectomy.
• Second, the denture will be subject to a greater degree of procedural errors and will fit only for a short time.
• (The six anterior teeth and perhaps the premolars)
Immediate Denture Treatment Sequence
1st Clinical Appointment - Exam & preliminary impressionsLab procedures - custom tray fabrication
2nd Clinical Appointment - Master impressions
Lab procedures - master cast, record base & occlusion rim fabrication if indicated
3rd Clinical Appointment - Maxillomandibular relation records, and tooth selection
Lab procedures – Cast trimming, Setting of the
teeth & wax trial + denture fabrication
4th Clinical Appointment - Wax trial denture try- in (confirm mounting & esthetics) if indicated
Lab procedures - process dentures
5th Clinical Appointment - Extractions & denture insertion, adjust tissue surface & flanges, adjust occlusion & care instructions
6th Clinical Appointments - 24 hour post-insertion checks, adjust dentures & reinforce care instructions
7th & 8th Clinical Appointments - 72 hour, and one week post-insertion checks adjust dentures, clinical remount & reinforce care instructions
Immediate Denture Treatment Sequence
Impression Techniques
Fundamentals for impression making:Area coverage
Borders
Valve seal without interference of function
Accurate adaptation of the underlying tissues without injurious displacement.
Preserve the maximum ridge bulk.
Selecting & Arranging artificial teeth:
Special Lab work for Immed. Comp. Dent.For tooth set-up:
Anterior teeth:
Cut anterior teeth off cast at gingival level.
Set anterior teeth on cast for patient viewing.
Posterior teeth:
Arrange posterior teeth on record base in (balanced/ monoplane/ lingualized) occlusion, and
wax-up for try-in evaluation.
Set-up the anterior teeth:
Immediate Denture Laboratory ProjectUse a sharp pencil to mark the gingival outline
buccally and linguallyPreserve the incisal edge position and tooth angulation information prior removal of stone teeth.
Different Methods For Cast Trimming
Immediate Denture Laboratory ProjectThe teeth are removed from the cast in a manner that They are not cut below the gingival crest
1-
The terminal 5 mm of gingiva should be trimmed in the manner shown above so that the denture gingiva may not appear too thick.
2mm
• Remove stone tooth without obliterating the gingival outline mark and shape into a gentle convex shape.
• Place a subgingival esthetic convenience groove at the labial gingival sulcus to aid in esthetic positioning of the denture teeth.
Esthetic convenience groove
2-Modify the undersurface of denture tooth until the desired incisal edge position is reproduced in the setup
3-The Alternating Tooth Setup Technique
Trim and set only one anterior tooth at a time.Alternate from side to side to keep natural
neighboring tooth as angulation, length, and
contour orientation.
15 mm
Complete the anterior
teeth setupDuring the Setting-up of Anterior teeth:
The study model can be used to compare the tooth arrangement incorporated in the replacement teeth.Set-up the posterior teeth:
Immediate Denture Laboratory ProjectSectional wax-up
Anterior segment for patient viewing.Posterior segment for check record.
Immediate Complete Denture
Try-In
Usually the Posterior
segment only tried as a “removable” section used for:Confirmation of horizontal and vertical relationships
Tooth shade
Post Extraction Instructions
Include the following points:Do not remove denture
Keep head elevated
Small amounts of blood in saliva is normal
Diet: soft and warm, not hot
Avoid:
Spitting, rinsing
Strenuous activity
Alcohol, smoking
Post Insertion Management
Recall next day
Remove denture
Apply topical anesthetic to
traumatized mucosa
Locate over extensions and pressure
areas and adjust
Reappoint 1 week
Healing, shrinkage, resorption
Patient remountRelines
Interim – within first 12 months
Definitive – 12 months +
Post Insertion Management
Occlusal adjustment & Remount when:
Healing edema resolvedTraumatized mucosal lesions healed
Usually within 14-21 days
Post Insertion Management
Reline
Short term – tissue conditionersMid-term – intermediate direct liners
Long-term – standard reline protocol
Post Insertion Management
THERE ARE 2MAIN METHODS OF CONSTRUCTION
Immediate Complete Denture1 Without surgery (Without Alveoloplasty).
A- Partially flanged typeB- Socket type
C- Completely flanged type
2 with surgery (Surgical Alveoloplasty)
Must be …Completely flanged typeUnless it is necessary, one should avoid alveolectomy in the anterior region.
If it must be performed because of marked undercuts, a transparent tray should be prepared for use during the surgical procedures.It must be adapted to the cast after the necessary - cast alveolectomy" has been performed.
Alveoloplasty
“The recontouring or reduction of a portion of the alveolar process”
Goals of alveoloplasty:
Eliminate bony projections that result in undercuts.Improve the path of insertion of the prosthesis.
Eliminate bony sources of irritation.
Goals:
Increase space between the residual ridges (inter arch space I.R.S).Improve denture stability by removal of excess tissue.
Disadvantages of Alveoloplasty
• Accelerates bone loss.• Increased post-operative pain.
Types of Alveoloplasty:
Simple alveoloplasty:Buccal or labial cortical reduction:
Intraseptal alveolectomy and cortical plate in-fracture:• - Buccal or Labial Cortical Recontouring:
Surgical techniques include:
Simple ExcisionCryosurgery
Electrosurgery
Immed. Comp. Dent. Master Cast Trim
Trimmed areas sanded smoothAvoid removing incisive papilla
Immed. Comp. Dent. Surgical Template
Fabricated after cast trim.Used to locate the pressure areas on mucosa at time of surgery.
Denture trimmed according to blanched mucosa observed under template.
Then continue the construction of Immed. Dent. steps as usual, according to the planned trimmed R.R. & new position of the anterior teeth.



























