Practical of Cell Injury
Third Year2018-2019
• Endometrial hyperplasia is an example of hormone-induced hyperplasia due to hyperestrogenism.
Left ventricular hypertrophy.
pathological hypertrophy due to increase demand, this results in increase in the size of the organOn the left is a normal testis. On the right is a testis that has undergone atrophy
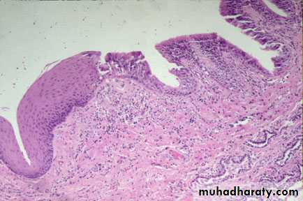
Metaplastic transformation (arrow) of the normal esophageal stratified squamous epithelium (Lt) to mature columnar epitheliumSquamous metaplasia of bronchial epithelium
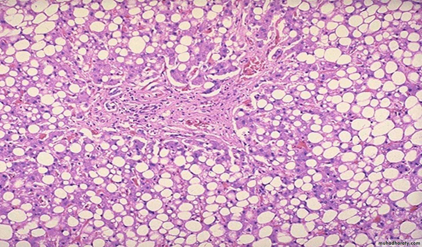
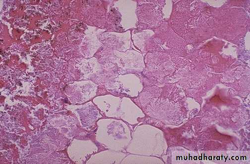
Fatty changes of the liver a large clear space of a fat inside the hepatocyte that displaces the nucleus to the periphery
Fat Droplets
Liver cell necrosis: Nuclear changes
normalpyknosis
karyorrhexis
karyolysis
Coagulative necrosis(infarction)-Spleen
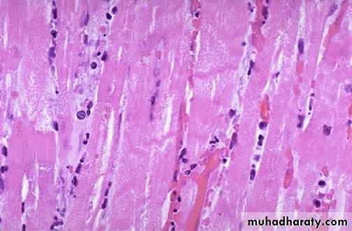
Myocardial infraction, the cells become more eosinophilic , loss of striation, absence of nucleus & their outline are preserved
Coagulative necrosis(infarction)-kidney
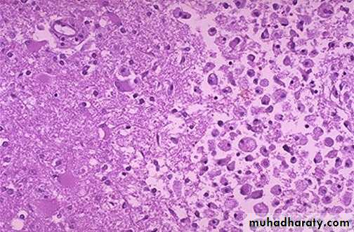
Liquefactive necrosis- Brain infarction
Caseous necrosis (TB) involving hilar LN, yellow white appears as cheese-like
Caseous necrosis (Lung TB),
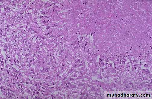
amorphous structureless granular eosinophilic materialFat necrosis
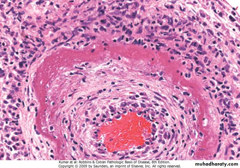
shadowy outlines of necrotic fat cells, with basophilic calcium deposits, surrounded by an inflammatory reactionFibrinoid necrosis. It is marked by deposition of fibrin-like proteinaceous material in arterial walls, which appears eosinophilic on light microscopy.
It is a form of a necrosis of the tissue with superadded putrefaction.
Gangrenous necrosisDry gangrene -Ischemia
Wet gangrene –D.M
Apoptosis of an epidermal cell. The cell is reduced in size and contains brightly eosinophilic cytoplasm and a condensed nucleus.




























