Inflammation
Dr Mustafa Salah FadhilDefinition of INFLAMMATION
Local physiological response of a vascularized tissue to injuryFunction: Often beneficial, but sometime harmful:
1. Dilute, destroy and wall off injurious agents2. Start process of healing
Nomenclature: has suffix itis (after name of tissue) e.g.,
AppendicitisDermatitis
Cholecystitis
Gingivitis
Causes of Inflammation
1.Infections: e.g., bacterial, viral, parasitic, fungal etc.
Viruses lead to death of individual cells by intracellular multiplication.
Bacteria release specific exotoxins-chemicals synthesized by them which specifically initiate inflammation-or endotoxins, which are associated with their cell walls.
Some organisms cause immunologically-mediated inflammation through hyper-sensitivity reactions such as parasitic infections and tuberculosis
2.Physical agents: e.g., trauma, heat, cold, radiation, etc
3.Chemical agents: e.g., acid, alkali, drugs, etc.
4.Hypersensitivity: e.g., rheumatic fever, SLE, RA….Cardinal signs of inflammation
Heat (Calor): vasodilationSwelling (Tumor): exudate
Redness (Rubor): vasodilationPain (Dolor): prstaglandin, bradykinin, nerve compression
Loss of function (Functio laesa): pain & swellingComponents involved in inflammation
• Blood vessels
• Cells• Circulating N, M, L, E, B, & plasma cells
• Connective tissue, mast cells, fibroblasts, M & L
• Plasma & plasma proteins
• Extracelluar matrix
• Collagen, elastic tissue, adhesive glycoproteins, protoglycans & basement membrane
Types of inflammation
Short duration: hours -days-weeksExudative fluid (protein rich fluid + infl cells + debris)
Main inflammatory cellsN & M
Long duration: months - years
Fibrosis (indurative)
Main inflammatory cells
L, M, plasma cells + fibroblasts & endothelial cells1. Acute inflammation
2. Chronic inflammationExudate
• Exudate
ExudateDefinition: extracellular fluid rich in proteins & cells. Due to increase vascular permeability induced by chemical mediators and due to the direct damage of the vessels.
Consist of:
1. Fluid rich in plasma proteins2. Fibrin
3. Cells: Neutrophils, macrophages, eosinophils, few lymphocytes & red blood cells
4. Debris
Function:
1. Dilute toxins.
2. It contain fibrin which localize infection.
3. It carries oxygen & nutrients to the inflammatory cells4. It carries drugs & antibodies against bacteria
Acute inflammation
Acute inflammation
Initial reaction of vascularized tissue to injuryNeutrophils are predominant inflammatory cells in early stages (6-24 hours)
Monocytes (macrophages) predominate in later stages (24-48 hours)Processes of acute inflammatory response
Vascular changesVasodilation ( increased diameter)
Increase vascular permeability
Leukocyte cellular events
Margination & rolling
Adhesion & transmigration (Diapedesis)
Chemotaxis & activation
Phagocytosis & degranulation
Release of leukocyte products
Vascular changes
1) Change in diameterInitial arteriolar vasoconstriction
Then arteriolar vasodilatation
2) Increase permeability
Hallmark of acute inflammationResult in marked outflow of fluid into interstitial tissue ( )
Ending in increase blood viscosity & slowing of the circulation (stasis)
Mechanisms of increased vascular permeability
1. Endothelial cell contraction (venules)
Reversible due to histamine, bradykinin, leukotrienes
Immediate transient response (15-30 min)
2. Direct endothelial injury (any vessel)
Irreversible, seen with severe injuries (burns or infections)Causes necrosis & detachment of endothelial cells
3. Increased transcytosis (venules)
Reversible due to VEGF secretionsCausing widening & increased number of intracellular transcytoplasmic channels
4. Leakage from new blood vessels
Mechanisms of increased vascular permeabilityLeukocyte cellular events in acute inflammation
1) Margination (pavement) & rollingWith slowing of the circulation, leukocytes accumulate along vascular endothelial surface (Margination or Pavement)
Then they transiently stick on endothelial cells (rolling) using selectins adhesion molecules
2) Adhesion & transmigration (Diapedesis)
More firm & stable sticking of leukocytes to endothelial surface (adhesion) using integrins adhesion molecule
Then leukocytes pass between endothelial cells along the intercellular junction (transmigration) using PECAM-1
3) Chemotaxis & activation
Chemotaxis: WBC locomotion towards site of injury along a chemical gradient due to action of chemotaxinsTypes of chemotaxins:
Exogenous: bacterial productsEndogenous:
C5a (complement factor)
LTB4 (lipooxygenase pathway)
IL-8 (Chemokines)
PAF (platelet activating factor)
Leukocyte activation: series of WBC responses that follow binding of chemotactic factors to their receptors on the cell membrane
This result in:
Secretion of chemical mediators, degranulation & oxidative burst
Arachidonic acid metabolism
Increase number & affinity of adhesion molecules
Chemotaxis
4) Phagocytosis & degranulation
Affecting neutrophils & macrophagesThree steps:
1-Recognition & attachment
Facilitated by coating of microorganisms by serum proteins called OPSONINS: Mainly IgG & C3b
2-Engulfment
Through formation of pseudopodia, phagosome, phagolysosome
3-Killing or degradation
Through formation of free radicals (Superoxides, hydrogen peroxide (H2O2) & hydrochloride (HOCL) )
H2O2-MPO-halide system is the most bactericidal system in N
5) Release of leukocyte products
These include:Lysosomal enzymes (protease)
Oxygen-derived active metabolites (free radicals)
Products of arachidonic acid metabolism (lipooxygenase & cyclooxygenase products)
Chemical Mediators of Inflammation
A substances which play a role in genesis and modulation of inflammatory reactionThey are responsible for:
1. Vasodilatation2. Increased permeability
3. Emigration of WBC (Chemotactic agent).
Chemical Mediators of Inflammation
Chemical Mediators of Inflammation
A/ Vasoactive Amines
1) Histamine: secreted from mast cells, basophils & platelets
2) Serotonin: secreted from plateletsEffects: arteriolar vasodilation & increase vascular permeability
B/ Arachidonic Acid (AA) MetabolitesAA present in the cell membrane phospholipids
Release from phospholipids through the action of phospholipase enzyme by mechanical, chemical & physical stimuliAA metabolism proceeds along 1 of 2 pathways
Cyclooxygenase pathway---------- PostoglandinsLipooxygenase pathway------------Leukotriens
Arachidonic Acid Metabolites
Thromboxane A2Vasoconstriction
Platelet aggregation
Protacyclin (PGI2)
Vasodilatation
Inhibits Platelet aggregation
PGD2, PGE2 & PGF2
VD & edema
PGE2:
Fever
Pain
5-HETE:
ChemotaxisLTB4:
ChemotaxisAggregation of neutrophils
LTC4, LTD4, LTE4
Vasoconstriction
Bronchospasm
Increase vascular permeability
Cyclooxygenase pathway
Lipooxygenase pathway
C) Cytokines
Polypeptides produced by activated lymphocytes & macrophages.Involved in cellular immunity & inflammatory responses.
• IL-1 & TNF
• IL-6
• IL-8
Chemotactant & neutrophil activating agent
D) Nitric Oxide (NO)
Soluble free radical gas synthesized by endothelial cells, macrophages & specific neurons in the brainEffects:
Vascular smooth muscle relaxation causing VDDecreased platelet aggregation & adhesion
Microbicidal agent
E) Oxygen Free RadicalsSuperoxide (O2-), OH-, H2O2 & NO
Effectskill bacteria
Endothelial cell damage causing increase vascular permeabilityActivation of proteinases
Injury to surrounding cellsF) Complement System
Present as inactive form in the plasmaVascular effect (anaphylotaxins): C3a, C5a & C4a causing VD & increase vascular permeability
Leukocyte adhesion, chemotaxis & activation: C5a
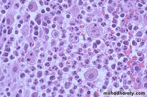
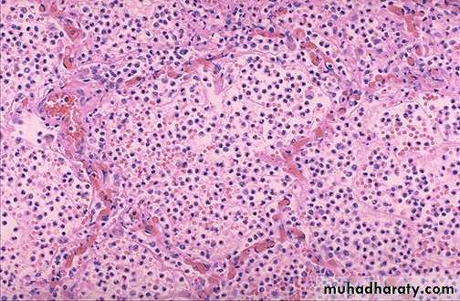
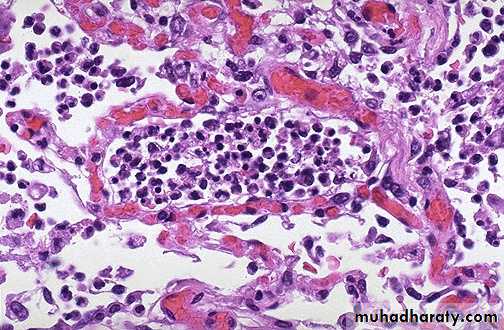
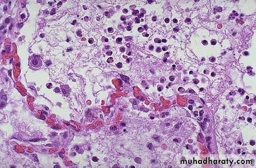
Phagocytosis: C3b & C3b1 act as opsoninsMicroscopic appearance of acute inflammation
Congestion of blood vesselsExudation of fluid
Exudation of inflammatory cells mainly neutrophilsSpecial macroscopic appearances of acute inflammation
1. Serous inflammation:There is abundant protein-rich fluid exudate with a relatively low cellular content. Examples include inflammation of the serous cavities, such as peritonitis, and inflammation of a synovial joint, acute synovitis.
2. Catarrhal inflammation:
When mucus hypersecretion accompanies acute inflammation of a mucous membrane. The common cold is a good example.3. Fibrinous inflammation :
When the inflammatory exudate contains plentiful fibrinogen, this polymerises into a thick fibrin coating. This is often seen in acute pericarditis and gives the parietal and visceral pericardium a 'bread and butter' appearance.Special macroscopic appearances of acute inflammation
4. Suppurative (purulent) inflammation:Means: pus
Consists of dying and degenerate neutrophils, infecting organisms and liquefied tissues and exudate.
The pus may become walled-off by granulation tissue or fibrous tissue to produce an abscess (a localised collection of pus in a tissue).
If a hollow viscus fills with pus, this is called an empyema, for example, empyema of the gallbladder or of the appendix
5. Membranous inflammation:
An epithelium becomes coated by fibrin, desquamated epithelial cells and inflammatory cells. An example is the grey membrane seen in pharyngitis or laryngitis due to Corynebacterium diphtheriae.
Fates (outcomes) of acute inflammation
1. Complete resolution: return to normalIt involve:
removal of the exudate, fibrin & debris
reversal of the microvascular changes
regeneration of lost cells
2. Healing & organization: connective tissue replacement.
Occurs in:
substantial tissue destruction
tissue cannot regenerate
extensive fibrinous exudate
3. Suppuration:
(It may be diffuse in tissue, localized in tissue (abscess) , on the surface of a wound, or in serous cavity)
4. Progression to chronic inflammation:
when there is persistent infection
when there is foreign body, …etc
Complete resolution
Effects of Acute Inflammation
Dilution of toxinsEntry of antibodies
Drug transport
Fibrin formation
Delivery of nutrient & O2
Stimulation of immune system
Digestion of normal tissue
Swelling & pain
Inappropriate inflammatory response




















