3 pptx - 3
دخول
الرئيسية
المحاضرات
البحث
اختبرني
مكتبة علوم
تطبيقات
المترجم الطبي
Clinics
3
رقم المحاضرة:
1
بتاريخ
2018-10-21
Clinics
-
3
جامعة ISHIK
>
كلية طب الأسنان
>
المرحلة الرابعة
مواضيع المحاضرة:
قراءة
عرض
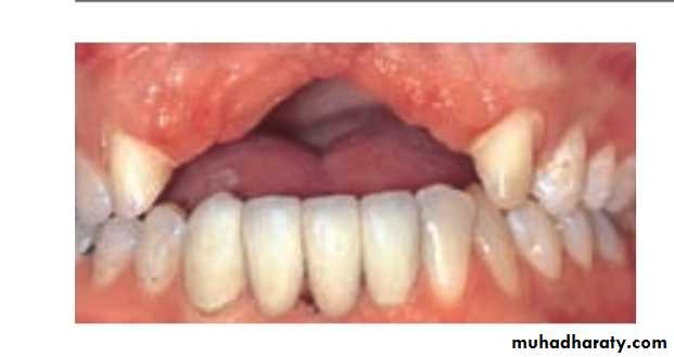
Types of bridges
Prepared by :Mustafa moniem
Bridge
Types of bridges
Disadvantages
Disadvantages
رفعت المحاضرة من قبل:
Mustafa Moniem
المشاهدات: لقد قام عضو واحد فقط و 171 زائراً بقراءة هذه المحاضرة
تسجيل دخول
أو
عبر الحساب الاعتيادي
الرجاء كتابة البريد الالكتروني بشكل صحيح
البريد الالكتروني
الرجاء كتابة كلمة المرور
كلمة المرور
دخول
لست عضواً في موقع محاضراتي؟
اضغط هنا للتسجيل