Skull and brain imaging
ByDr. Firas Abdullah
Brain tumors
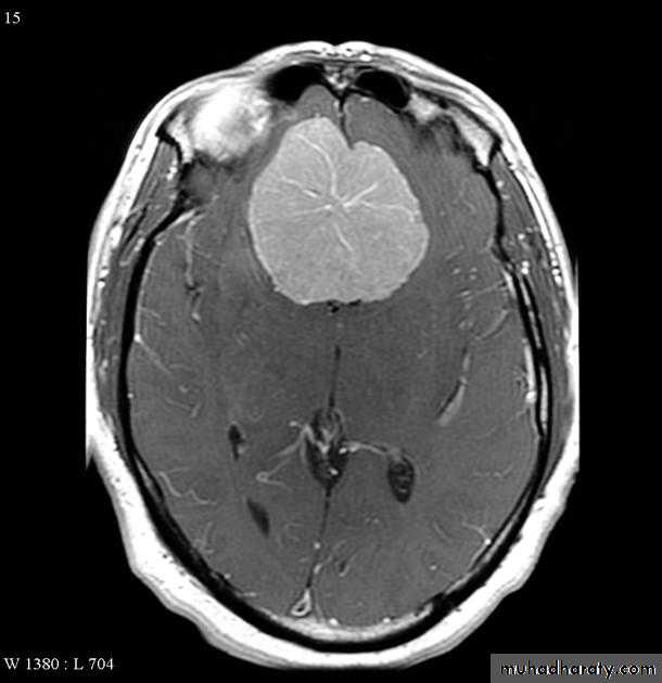
Glioma:• Typically appears as a solitary, irregular mass, surrounded by oedema
• Compression or displacement of the ventricles• The CT attenuation values of the tumour itself are usually low, but may be high or mixed.
• Some, particularly the low grade tumours, may be very densely calcified.
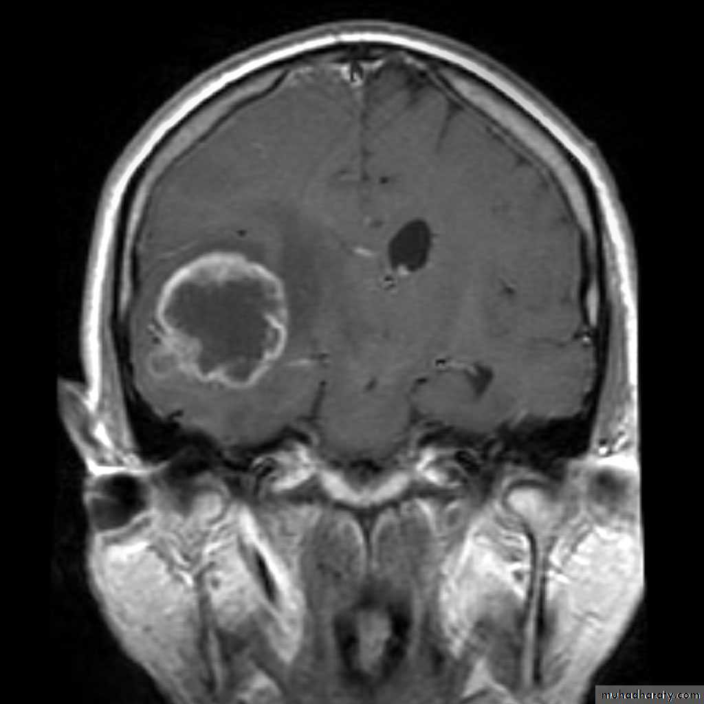
• Partial enhancement with intravenous contrast medium, sometimes only the outer portion enhances, giving a so called ring enhancement pattern.
Brain tumors
Glioma:
• AT MRI, same as for CT. The essential features are a mass, often with adjacent oedema.
• Calcification is less evident than in MRI.• In general, the tumour is lower in signal intensity than the normal brain on the T1-weighted images and higher in signal intensity on the T2-weighted images.
Brain metastasis
• Metastases in the brain may be of high, iso, or low density
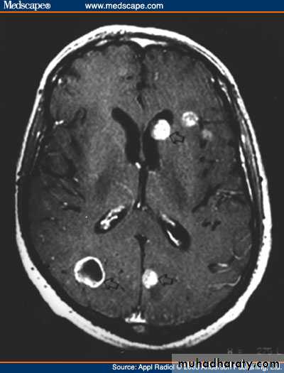
• They usually show contrast enhancement (ring enhancement(
• They are often surrounded by significant oedema
• Metastases are typically multiple.
• A solitary metastasis is indistinguishable from a primary intracerebral brain tumour.
Meningioma:
• Arise from the meninges of the vault, falx, or tentorium (extra-axial)• Characteristic sites, the commonest being the parasagittal region, over the cerebral convexities, and the sphenoid ridges
• Unenhanced CT scan, a meningioma is slightly denser than the brain
• The tumour shows marked enhancement post contrast injection
• Sclerosis and thickening of the adjacent bone.
Acoustic neuroma:
• Neurofibromas of the acoustic nerve arise in the internal auditory canal or immediately adjacent to the internal auditory meatus in the cerebellopontine angle.• When large, they can be recognized at CT or MRI. When small, they may only be identifiable with MRI.
• Contrast enhancement improves their visibility with either technique
Pituitary tumours:
• Divided into macroadenomas (>1 cm), and microadenomas (<1 cm).• Large tumours may cause enlargement of the pituitary fossa.
• Computed tomography can show a pituitary tumour , but MRI is the investigation of choice and can readily demonstrate its relationship to the optic chiasm and optic nerves and can show very small tumours
Infection
• In acute meningitis CT and MRI are usually normal.
• Encephalitis is caused by infection, usually viral or by an immune reaction to infection. CT and MRI show unilateral or bilateral focal abnormal areas, often in a characteristic distribution appearing as low attenuation on CT and high signal on a T2-weighted MRI scan• An abscess can be caused by pyogenic, tuberculous, fungal or parasitic organisms. Necrosis and pus formation occur in the center of the abscess, which appears as low density on CT. The wall of the abscess enhances with intravenous contrast and may be surrounded by oedema giving an appearance known as ring enhancement



