Microorganisms that cause Anug
Prepared by :Mustafa moniemSupervised by :Dr.Ali alzubaydi
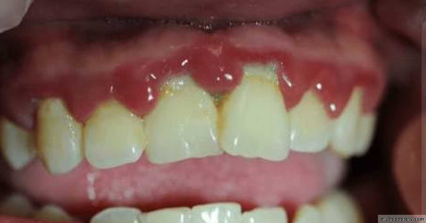
Acute necrotizing ulcerative gingivitis
Is a common, non-contagious infection of the gums with sudden onset. The main features are painful, bleeding gums, and ulceration of inter-dental papillae (the sections of gum between adjacent teeth).Treatment of ANUG is by debridement (although pain may prevent this) and antibiotics (usually metronidazole in the acute phase, and improving oral hygiene to prevent recurrence.
The causative organisms
are mostly anaerobic bacteriaSuch as
• P. intermedia
• Fusobacterium
• Spirochetes
• Treponema.
ANUG may also be associated with diseases in which the immune system is compromised, including HIV/AIDS
1. P. intermedia
Prevotella intermedia
is a gram-negative, obligate(are microorganisms killed by normal atmospheric concentrations of oxygen (20.95% O2)) anaerobic pathogenic bacterium involved in periodontal infections, including gingivitis and periodontitis, and often found in acute necrotizing ulcerative gingivitis. It is commonly isolated from dental abscesses
P. intermedia is thought to be more prevalent in patients with noma.
2.Fusobacterium
Is a genus of anaerobic, Gram-negativeIndividual cells are slender’ rod-shaped bacilli with pointed ends.
Strains of Fusobacterium cause several human diseases, including periodontal diseases, and topical skin ulcers.
3. spirochetes
Spirochete is a member of the phylum Spirochaetes which contains distinctive diderm (double-membrane) bacteria, most of which have long, helically coiledSpirochaetes are chemoheterotrophic ( are organisms that obtain energy by the oxidation of electron donors in their environments) in naturewith lengths between 3 and 500 µm and diameters around 0.09 to at least 3 µm










