• Oral Diagnosis practical Exam
Linea albaFordyce spot
Fordyce spot
Saliva test
• Identify the Abnormality / Clinical sign
• Finger clubbing• Sign of heart disease
• Identify the Abnormality/ Clinical sign
• Identify the Abnormality/ Clinical sign
• Icterus• Sign of liver disease
• Identify the clinical examination Procedure
• Percussion test• Lateral/horizontal and Vertical submission
Muscle of mastication
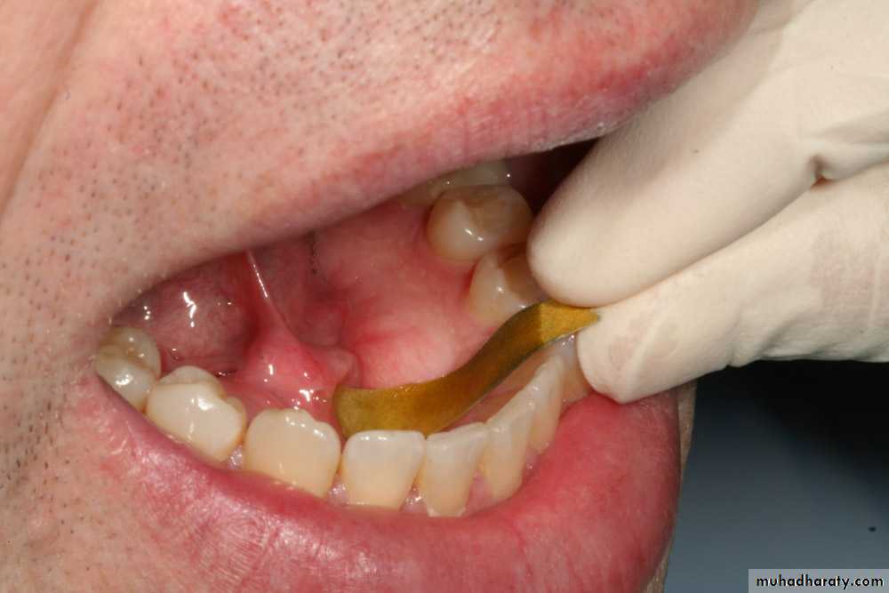
• Identify the procedure being performed
• Bilateral sub-mandibular lymph node examination• Identify the procedure being performed
• Bimanual palpation of sub-mandibular salivary gland• Identify the examination procedure
• Finger test• Knuckle test
• Identify the Examination Procedure
• Examination of lateral pole condyle• Intra-auricular examination of posterior surface of condyle
• Identify the Examination Procedure
• TMJ auscultation• Identify the Examination Procedure
• Bi-digital palpation of Masseter muscle• Identify the Examination Procedure
• Palpation of Lateral Pterygoid muscle insertion• Identify the Examination Procedure
• Palpation Temporalis muscle Origin• Identify the Anatomical Structure
• Opening of Sub-mandibular salivary gland• Stensen’s duct opening
• Identify the Oral Condition
• Interproximal caries in relation to 11, 21,22• Occlusal / Pit and fissure caries in relation to first and second molar
• Identify the lesion
• Generalized inflamed marginal and papillary gingiva• Provisional diagnosis: Generalized gingivitis
• Identify the lesion
• Genralized gingival inflamation, loss of contour, recession• Provisional diagnosis: Generalized periodontitis
• Identify the lesion
• Ulcer in lower lip• Ulcer on right lateral border of tongue



























































