RadiationInjury Produced by Ionizing Radiationdr. Zahraa Marwan
• Radiation: It is an energy that travels in the form of waves (long wavelengths with low frequency or short wave lengths with high frequency) or high-speed particles. Approximately 80% of radiation is derived from natural sources as: -cosmic radiation -ultraviolet light -natural radioisotopes (radon gas) remaining 20% is derived from manufactured sources as instruments used in medicine.• The radiation can be divided into:1)Nonionizing radiation: It has long wave lengths and low frequencies (such as radio waves, microwaves, infra- red, ultraviolet lights and sound waves). The energy of this type of radiation can move atoms in a molecule or cause them to vibrate, but is not sufficient to displace electrons from atoms.
2)Ionizing radiation: It has sufficient energy to remove tightly bound electrons. Collision of these free electrons with other atoms releases additional electrons, in a reaction cascade referred to as ionization.
• The main sources of ionizing radiation are:
• (1) x-rays and gamma rays, which are electromagnetic waves of very high frequencies.
• (2) high-energy neutrons, alpha particles (composed of two protons and two neutrons), and beta particles, which are essentially electrons.
Radiation Units:
Several somewhat confusing terms are used to describe radiation dose:Curie (Ci): this is an expression of the amount of radiation emitted by a source
Gray (Gy): is a unit that expresses the energy absorbed by the target tissue per unit mass, (it replaced a unit called “Rad”).
Sievert (Sv): is a unit of equivalent dose that depends on the biologic rather than the physical effects of radiation (it replaced a unit called “Rem”).
• Ionizing radiation its useful in medicine, it is used in the treatment of cancer, in diagnostic imaging, and in therapeutic or diagnostic radioisotopes, but it also produces adverse short- and long-term effects such as necrosis, fibrosis, mutagenesis, carcinogenesis and teratogenesis.
• The exposure of patients to ionizing radiation during radiologic imaging tests roughly doubled between the early 1980s and 2006, mainly because of much more widespread use of CT scans
• Factors influence the biologic effects of ionizing radiation:
In addition to the physical properties of the radiation, its dose & duration, the biologic effects of radiation depend heavily on the following factors:
1- Rate of delivery significantly modifies the biologic effect. The normal cells can repair themselves and recover more rapidly than tumor cells therefore when we divided the dose of radiation this may allow cells to repair some of the damage between exposures.
2- Field size The body can sustain relatively high doses
of radiation when delivered to small, carefully shielded fields, whereas smaller doses delivered to larger fields may be lethal.3- Cell proliferation: because ionizing radiation damage DNA, rapidly dividing cells, such as gonads, bone marrow, lymphoid tissue, and the mucosa of GIT are more vulnerable to radiation injury than are quiescent cells (Exception at extremely high doses).
4- Oxygen effects and hypoxia: a poorly vascularized tissues with low oxygenation, are generally less sensitive to radiation therapy than nonhypoxic tissues.
5-Vascular damage: radiation →Damage to endothelial cells, may cause narrowing or occlusion of blood vessels leading to impaired healing, fibrosis, and chronic ischemic atrophy.
• Cellular changes of radiation injury:
• 1-acute changes:• -necrosis
• -damage to DNA, if DNA damage is severe or cannot be repaired → cell cycle arrest → apoptosis
2-chronic changes:
-fibrosis
-damage to DNA persist without repair, or if the repair of lesions may be imprecise →mutation →cancer.
Effects of ionizing radiation on DNA and its consequences,
The effects can be direct or indirect through free radical formation
• Morphology, Cells surviving radiant energy damage show a wide range of structural changes:
The nuclear changes:
1-changes in chromosomes ( including deletions, translocations & fragmentation).
2-mitosis becomes disorderly, polyploidy or aneuploidy
3-Nuclear swelling and condensation or clumping of chromatin .
4-abnormal nuclear morphology may be produced and
persist for years, including giant cells with pleomorphic nuclei .
5-Apoptosis may occur.
6-At extremely high doses of radiant energy, nuclear pyknosis and lysis appear quickly.
Cytoplasmic changes:
1-Cytoplasmic swelling, mitochondrial distortion, and degeneration of the endoplasmic reticulum.2- Plasma membrane breaks and focal defects may be seen.
(similarity between radiation injured cells and cancer cells)
Vascular changes:
During the immediate post irradiation period, vessels may show only dilation. With time, or with higher doses, there may be necrosis ,rupture or thrombosis.
later, endothelial cell proliferation and thickening of the intima resulting in narrowing or obliteration of the vascular lumens leading to scarring & ischemia.
Artery, radiation injury , thickening of the intima resulting in the obliteration of the vascular lumens
Acute Whole-Body Exposure4 syndromes are recognized depending on the dose of radiation: 1-sub-clinical or prodromal syndrome (< 200 rem) mild nausea and vomiting, lymphocytes less than 1500/ml survival is 100% 2-hematopoietic syndrome (200-600 rem)intermittent nausea and vomiting, petechiae and hemorrhage, neutrophil and platelet depression in 2 weeks, lymphocytes less than 1000/ml .infections, patient may require bone marrow transplantation
3-gastro-Intestinal syndrome: (600- 1000 rem) .nausea, vomiting, diarrhea .hemorrhage .infection .severe neutrophil and platelet depression .lymphocytes less than 500/ml .death in 10-14 days4-central nervous system syndrome: (>1000rem) .intractable nausea and vomiting, .confusion, convulsions, coma in 15 min-3hrs. .lymphocytes absent .death in 14-36hrs
• Effects Of Radiation Therapy
• external radiation is delivered to cancers at fractionated doses with shielding of adjacent tissues.• patients treated with radiation may have
• -sterility
• -secondary cancer
• -delayed radiation injury
• Note: radiation when delivered to the chest or abdomen → acute radiation sickness
Cancer Risks from Exposures to Radiation.
Cancer Risks from Exposures to Radiation:Any cell capable of division that has sustained a mutation has the potential to become cancerous.
Thus, an increased incidence of neoplasms may occur in any organ after exposure to ionizing radiation. The level of radiation required to increase the risk of cancer development is difficult to determine, but there is little doubt that acute or prolonged exposures that result in doses of 100 mSv cause serious consequences.
This is documented by the increased incidence of leukemias and solid tumors in several organs (e.g., thyroid, breast, and lungs) in survivors of the atomic bombings of Hiroshima and Nagasaki; the high number of thyroid cancers in survivors of the Chernobyl accident.
It is believed that the risk of secondary cancers following irradiation is greatest in children. This is recent large-scale epidemiologic study showing that children who receive at least two CT scans have very small but measurable increased risks for leukemia and malignant brain tumors, and radiation therapy to the chest is particularly likely to produce breast cancers when administered to adolescent females.
Delayed Radiation Injury:
Arteries →fibrosis of wall → narrowing of lumenCapillaries →thrombosis .
Heart →-restrictive pericarditis
• -myocardial ischemia > fibrosis
Skin→-radiation dermatitis (impaired healing, increased
• susceptibility to infection& ulceration)
• -skin cancer, as long as 20 years later.
Brain →-focal necrosis and demyelination of the
• white matter -spinal cord (transverse myelitis)
lungs →-acute lung injury
• -delayed radiation pneumonia
• -cancer as late complication
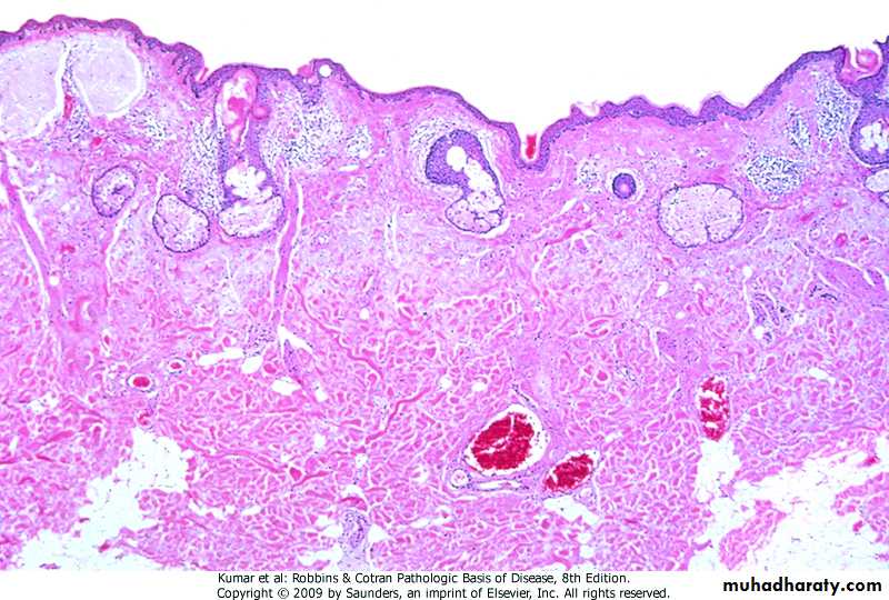
Skin, chronic radiation dermatitis
.
Breast →diagnostic radiation during adolescence increases the incidence of breast cancer after 15-20 years
Ovaries →follicles degenerate acutely.
Urinary tract →-kidneys (hypertension, atrophy) -urinary bladder (epithelial necrosis,
submucosal fibrosis) -tumors of kidneys and urinary bladderGastro-Intestinal tract→-esophagitis, gastritis, and
entero-colitis. -delayed injuries, (ischemic
necrosis, fibrosis, strictures)
Testes →infertility
Eyes → cataract
Major morphologic consequences of radiation injury. Early changes occur in hours to weeks; late changes occur in months to years.
Important points in radiation
■ Ionizing radiation may injure cells directly or indirectly (by generating free radicals from water or molecular oxygen).
■ Ionizing radiation damages DNA; therefore, rapidly dividing cells such as germ cells(gonads), the hematopoietic and lymphoid systems , and the lining of the gastrointestinal tract are very sensitive to radiation injury.
■ DNA damage that is not adequately repaired may result in mutations that predispose affected cells to neoplastic transformation.
■ Ionizing radiation may cause vascular damage and sclerosis, resulting in ischemic necrosis of parenchymal cells and their replacement by fibrous tissue.



