Infectious Diseaseslec. 3By: dr. Zahraa Marwan
Viral InfectionsViral infection
Viruses are classified by their nucleic acid genomes into:DNA viruses
RNA viruses .Mechanisms of viral injury
1- Inhibits host cell DNA, RNA or protein synthesis e.g. Poliovirus.2- Direct cell killing by damaging host cell membrane or DNA e.g. measles.
3-virus replicate efficiently causing lysis of host cell.
4- Induce Immune reaction as type III &IV hypersensitivity reaction.
5- virus may damage host defense mechanisms leading to secondary infection e.g. HIV
6-Induce cell proliferation & transformation resulting in cancer e.g. HBV may lead to liver cancer.
Mechanisms of virus injury to cells
Microscopical picture of viral infection
Mononuclear infiltrationTissue necrosis
Giant cell formation
Inclusion body formation.
(intranuclear or intracytoplasmic)
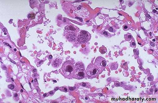
This is cytomegalovirus (CMV) infection in the lung. Note the very large cells that have large violet intranuclear inclusions with a small clear halo. Basophilic stippling can be seen in the cytoplasm.
Body response to viral infection
LymphocytosisProduction of neutralizing antibody
Cell mediated immunity plays a role in controlling viral infection
Production of interferon
Types of viral infection
Acute
Latent: the persistence of viral genomes in cells that do not produce infection, the infection and tissue injury result from reactivation of this latent virus e.g. Herpes virus
Persistent: the immune system is unable to eliminate the virus, and continued viral replication (Chronic Productive Infections) e.g. HBV
Slow viral infection take very long incubation period.
Acute Transient Infections
Measles:.caused by single-stranded RNA virus.spread by respiratory droplets>viremia.clinical features include, (croup, oral ulcers, pneumonia, diarrhea, keratitis, rashes).most children develop T cell-mediated immunity.antibody-mediated immunity protects against reinfectionMeasles giant cells in the lung, there is eosinophilic intranuclear inclusions.
Chronic Latent Infections
Herpes Virus Infections:.caused by double-stranded DNA viruses.cause acute infection followed by latent infection with reactivation.there are 3 groups -α-group, (HSV-1, HSV-2, varicella zoster), infect epithelial cells and produce latent infection in neurons -β-group, (CMV, human herpes virus 6 and 7), infect lymphocytes -γ-group, (EBV, KSHV-8), produce latent infection in lymphoid cellsHerpes Simplex Virus.HSV-1 and HSV-2, replicate in skin and mucous membranes (oropharynx, genitalia).clinically responsible for -cutaneous and mucous membrane vesicles -keratitis -fatal sporadic encephalitis -disseminated infections in neonates -esophagitis -bronchopneumonia
Stages of Herpes Simplex infection (oral sore)
Fungal Infections:
• Fungi are divided into:• 1-mold (multicellular): which consist of thread like filaments (hyphae) that grow and divide at their tips.
• 2-yeast (individual cells): which are round to oval and mainly reproduce by budding. Some yeasts, such as Candida albicans, can produce buds that fail to detach and become elongated, producing a chain of cells called pseudohyphae.
3-dimorphic fungi: existing as yeast or molds, depending on environmental conditions (yeast form at human body temperature and a mold form at room temperature).
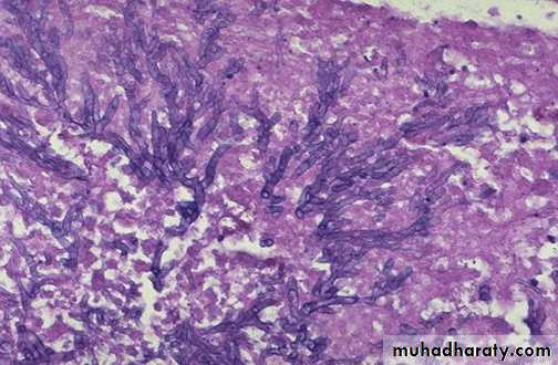
Mold ,Septate hyphae are close-packed with acute-angle branching.
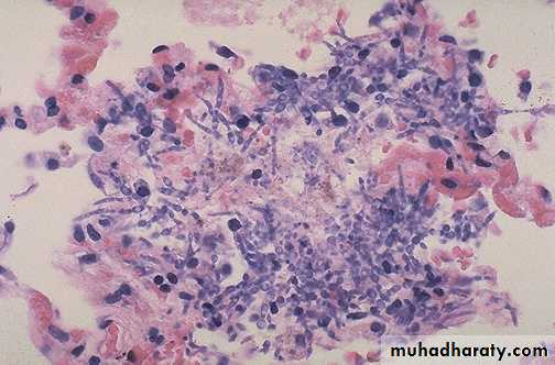
Diagnosis Aspergillus infection, :Yeast A numerous budding cells and pseudohyphae characteristic for Candida.
Diagnosis: Candidial infection (fungal infection) lungFungal infections, also called mycoses, are of four major types:
• Superficial and cutaneous mycoses are common and limited to the skin, hair, and nails.• Subcutaneous mycoses involve the skin, subcutaneous tissues, and lymphatics.
• Endemic mycoses are caused by dimorphic fungi that can produce serious systemic illness in healthy individuals.
• Opportunistic mycoses can cause life-threatening systemic diseases in individuals who are immuno-suppressed as AIDS or who carry implanted prosthetic devices.
• Who's at risk of oral thrush?
newborns
dry mouth
children receiving oral steroids for asthma
debilitated people
people who wear dentures.
following a course of broad-spectrum antibiotics that destroy normal bacterial flora.
.candida is introduced into blood by -intravenous lines and catheters -peritoneal dialysis -cardiac surgery -intravenous drug abuse.pathogenesis include: -adhesion to host cells -enzymes production -immune response
• Candidiasis:
Florid proliferation of the fungi creates gray-white, dirty-looking pseudomembranous composed of matted organisms and inflammatory debris. Deep to the surface, there is mucosal inflammation.• People with oral thrush for no obvious reason should be evaluated for HIV infection.
• Oral candidiasis (candidal stomatitis), the fungi creates gray-white, dirty-looking pseudomembranous on the tongue
Esophagus, candidiasis, silver stain-pseudohyphae and budding yeasts
Aspergillosis:.Aspergillus, is ubiquitous mold causes -lung allergy, asthma -sinusitis -pneumonia -fungemia in immunosuppressed individuals..predisposing factors -neutropenia -corticosteroids.
Pathogenesis: -transmission is air-borne>lung -engulfed by alveolar macrophages -production of virulence factors .adhesins .antioxidants .enzymes .toxins
morphology -aspergilloma, growth in pulmonary cavities with minimal or no invasion -invasive aspergillosis, immuno- suppressed, (lung, brain, heart, kidney)










