Basic factors in implant surgery
Bahoz Himdad MajeedBasic factors in implant surgery
1- A sterile technique, avoiding any contamination of the implant surface.2- Avoid damage to the bone by thermal injury during the drilling.
3- Careful preparation of the osteotomy, so that the implant is stable on placement.
4- Placement of the implant in an esthetic and prosthetically driven position.
5- Avoidance of excessive loading during the healing period.
Avoidance of thermal injury to the bone
Bone cells are irreversibly damaged if the temperature of the bone is rased above 47 degrees for more than 1 minutes, resulting in bone necrosis, extensive resorption and failure of osseointegration.This maybe avoided by:
1- Careful cooling of bone and drills.2- Use of sharp drill.
3- Control of cutting speed ( 1500-2000 rpm ).
In the initial healing phase the implant must not be subjected to movement, micro movement of 100 micron meter may lead to osseointegration, but beyond that there will be implant failure.
Primary stability of an implant depends on the:
1- Length of the implant.2- Diameter of the implant.
3- Design of the implant.
4- Surface characteristics of the implant.
5- Thickness of the bone cortex and how many cortices the implant engages.
6- Density of the medullary bone trabeculation.
7- Dimension of the preparation site compared to the implant size.
Pre operative care
1- Oral prophylaxis and antiseptic rinsing of the oral cavity.2- Administration of antibiotics 3g of amoxicillin preoperatively followed by a 5 days course.
3- Oral analgesics (200-400mg) of ibuprofen or comparable alternatives.
Anesthesia
LA is generally sufficient, depending on the skill of clinician and patient attitude.Sedation may also be considered.
Full mouth rehabilitation or extensive grafting procedures may warrant the use of GA.
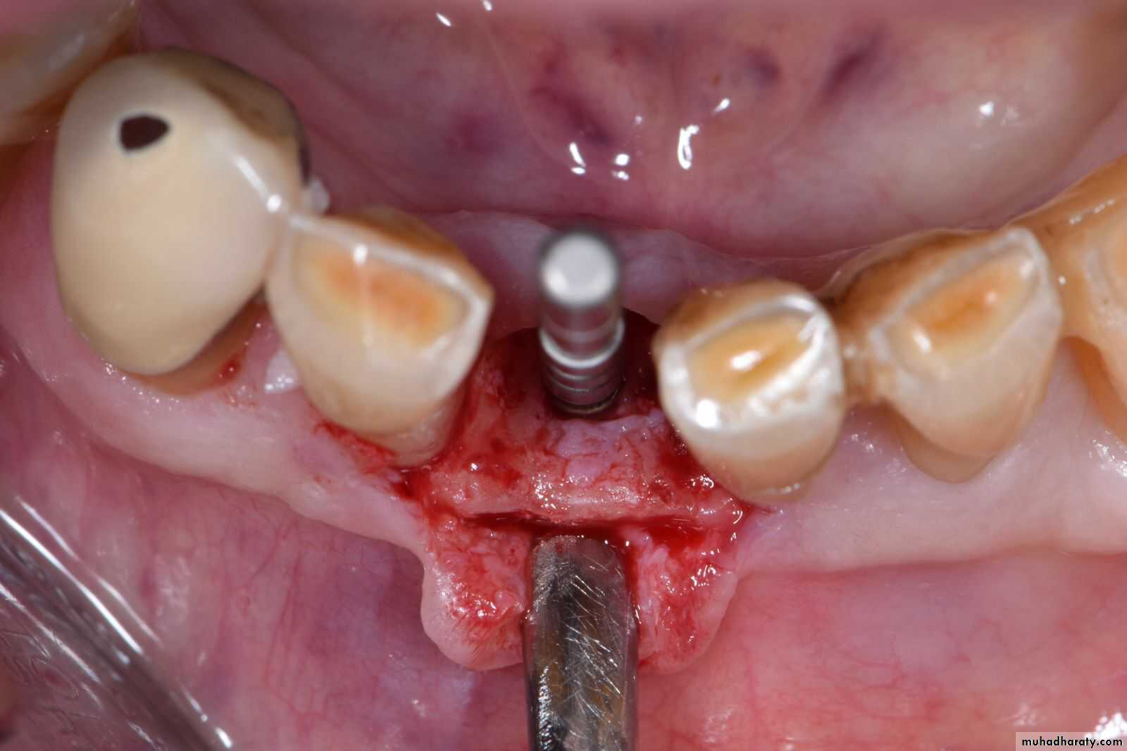
incisions
Midcrestal incision is employed in most cases.
The incision can be extended within gingival crevices of adjacent teeth and muco periosteum elevated in apical direction to allow adequate visualization of the bone conture.
Crestal incision may be located palatally in thr maxilary arch, where there is more keratinized tissue and also in cases where bone augmentation and graft material or membrane have to be placed in labial aspect.
Post operative instructions
1- No spitting or gargling, drinking with straw in case of maxillary sinus lift procedures.2- No smoking or alcohol consumption.
3- fingers and tongue should kept away from the surgical area.
4- Follow the antibiotic and anti inflammatory regimen.
5- ice pack application extaorally.
6- sleep with the head slightly elevated to reduce swelling.
7- Avoid brushing in the surgical area.
8- A fairly soft diet must be maintained, avoid hard and crusty food.
9- Addition of multivitamin supplements and 500mg of vitamin C.10- Rinsing with chlorhexidine or saline after meals from the 2nd postoperative day.
11- in case of maxillary posterior implants, avoid swimming and blowing through the nose.
12- Temporary prosthesis may require periodic adjustments, old dentures may be worn after adequate soft lining procedures.
Thank you




