Practical hemodynamic disturbances
Congestion of the liver (due to Rt. sided heart failure), the dark red congested regions that represent accumulation of RBC's in centrilobular regions with the surrounding viable parenchyma forming a "nutmeg" liver
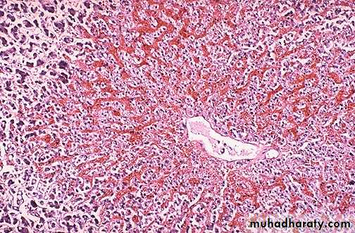
Microscopical slide of the liver, the central vein and sinusoids are distended with blood with central hepatocyte degeneration; This is usually due to a "right sided" heart failure. Diagnosis: liver congestion
Two oval shape thrombus attached to the wall of right atrial with clear lamination (lines of Zahn)diagnosis: mural thrombus in the heart
The deep vein of the leg contain thrombus which has apparent laminations (lines of Zahn), produced by alternating pale layers of platelets admixed with some fibrin and darker layers containing more red blood cells. Diagnosis : Deep venous thrombosis
These are "lines of Zahn" which are the alternating pale layers of platelets admixed with fibrin and darker layers containing more red blood cells forming a true thrombus.
Fates of thrombus : a cross section through a medium sized artery showing organization & the recanalization of the thrombus in these two slides. At the right the thrombus is replaced by area of granulation tissue ( organization)
This pulmonary thromboembolus is occluding the main pulmonary artery. (gross)
This is the microscopic appearance of a pulmonary embolus in a major pulmonary artery branch ( RBC, platelets, and fibrin forming lines of Zahn).
Diagnosis: pulmonary thromboembolism.
Here is a "saddle embolus" that bridges across the pulmonary artery from the heart, as it divides into right and left main pulmonary arteries.
A large wedge hemorrhagic area of infarction produced by a medium-sized thromboembolus to the lung.
Diagnosis: pulmonary infarction (hemorrhagic infarction)
A wedge-shaped firm pale area of coagulative necrosis (infarction) in the renal cortex of the kidney.Diagnosis : Coagulative necrosis of kidney (pale infarction)












