مواضيع المحاضرة: 1
قراءة
عرض

Dento alveolar fracture

Prepared by :Mustafa moniem
Supervised by : Dr Ali Alzubaydi
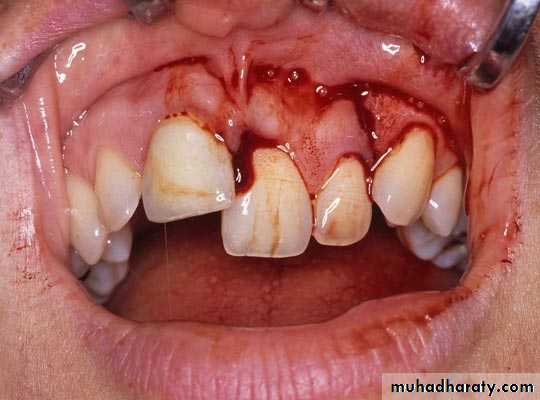
Dento alveolar fracture




Dento alveolar fracture




Dento alveolar fracture




Dento alveolar fracture





Dento alveolar fracture




Dento alveolar fracture




Dento alveolar fracture




Dento alveolar fracture




Dento alveolar fracture





Dento alveolar fracture




Dento alveolar fracture




Dento alveolar fracture




Dento alveolar fracture




Dento alveolar fracture




Dento alveolar fracture





Dento alveolar fracture




Dento alveolar fracture





رفعت المحاضرة من قبل: Mustafa Moniem
المشاهدات: لقد قام 0 عضواً و 217 زائراً بقراءة هذه المحاضرة








تسجيل دخول

أو
عبر الحساب الاعتيادي
الرجاء كتابة البريد الالكتروني بشكل صحيح
الرجاء كتابة كلمة المرور
لست عضواً في موقع محاضراتي؟
اضغط هنا للتسجيل