Retro molar flap operation
(Distal wedge)This can be used distally to last molars or molars near to an edentulous area to gain access for root planning and pocket reduction. Initial incision is done buccally and palatally (distal wedge). Tissues between the two incisions are removed & the flap is reflected as much as possible fore better visualization of the root surface. The flap is then sutured after removing the excised tissue & packed with periodontal dressing.
Modified Widman flap
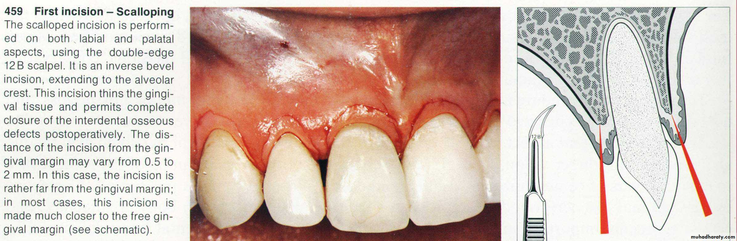
It is reported in 1974 by Ramfjord and Nissle. Principally, it is a replaced flap and no effort is needed to push the flap the same procedures as the replaced flap, but with some differences. There are essentially three incisions in this flap. It is usually conducted as following:1. Primary incision:
2. Secondary incision:
3. Flap retraction:
4. Third incision:
C I .3
Direct root planning:
5. Suturing:
Osseous surgery:
They are either:Osteoplasty as:
Thinning of a thick osseous ledge.Establishing of a scalloped pattern of buccal or lingual surfaces of alveolar bone.
Elimination of bone walls of a circumferential osseous defect.
Osteoectomy
which means removal of large amounts of bone. Such procedure. may create a problem to the adjacent tooth, so in this situation you have many choices such as:Maintains the area without bone resection.
Compromises the amount of bone & accepts pocket with certain depth to be remaining.Extraction of the involved tooth.
Bone grafting procedures
Bone grafting procedures may be used during periodontal surgery to augment a severely endangered bone or to fill a resorbed inter radicular area (furcation area).
Note: osseous surgery should be always carried out under continuous irrigation with normal saline to avoid bone necrosis.
Osseous surgery carried out with special instruments:
Bone Files:
Bone Rongeurs:
Bone burs:
Bone grafting instruments:
Bone filter Bone trephine
Mucogingival surgery:
They are plastic surgical procedures designed to correct defects in the morphology, Position &\or amount of the gingiva surrounding the teeth.Indications:
In areas where the change in the morphology of gingival margin will facilitate proper plaque control e.g. correction of high frenum attachment & deep narrow recession defect especially if it is extend to the level of vestibular fornix.In areas with localized soft tissue recession that creates esthetic or root sensitivity problems.
When we have a thin gingiva facial to a tooth planned for orthodontic movement when the final position of that tooth expected to result in an alveolar bone dehiscence.
Types of M.G.S:
We have two main types of muco gingival surgery:Vestibular extenuation procedures.
Transplantation of gingiva & palatal mucosa that may be either, free gingival graft or pedicle graft e.g. laterally repositioned flap.
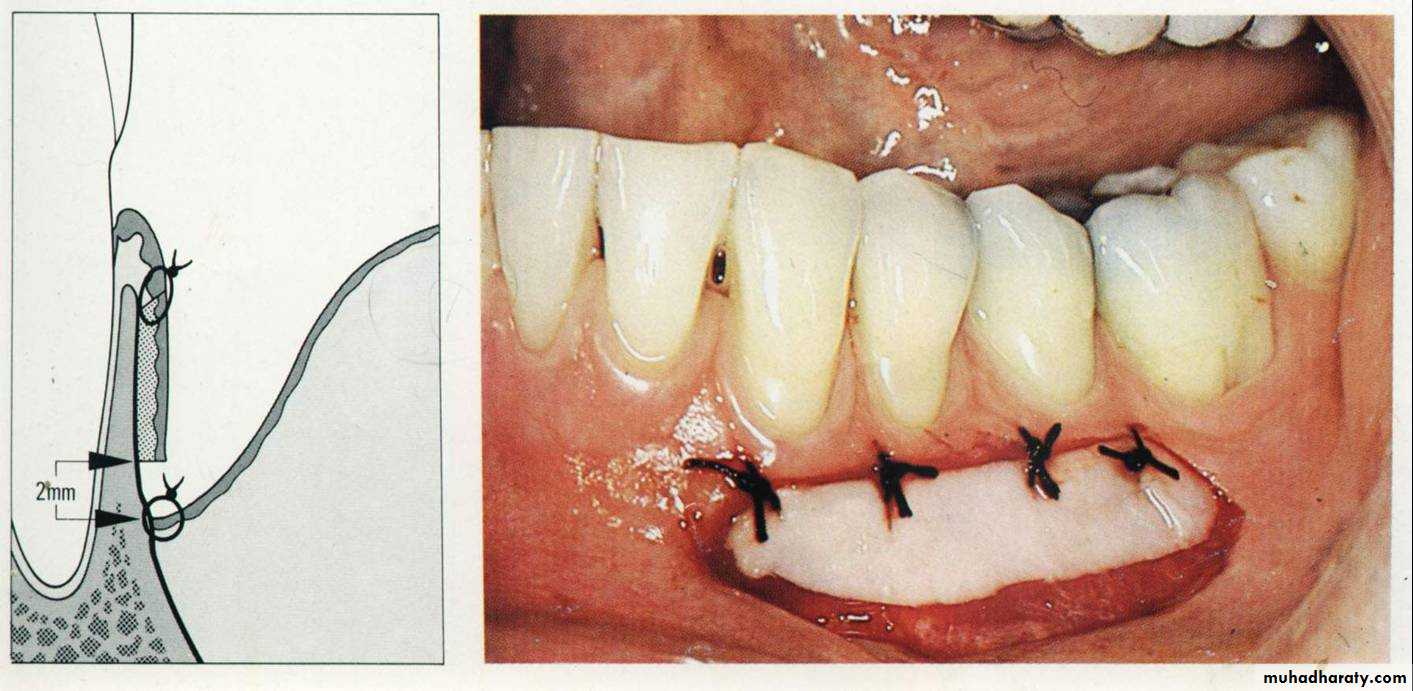
Suturing in Periodontology:
They may be either interrupted inter dental suture which used to approximate buccal & lingual flaps in replaced flaps , or Suspensory suture which used in surgical procedures involving one aspect only & also in repositioned flaps, or continuous suturing which used when several teeth are involved.Periodontal dressing:
They are used for the following purposes:To protect the wound during healing.
T o maintain close adaptation of the flap to the underlying bone.To provide more patient comfort.
To prevent post operative bleeding.
To prevent formation of excessive granulation tissues.
The ideal dressing materials should have the following characteristics:
Soft, but having enough plasticity to facilitate placing & removal.
Set with reasonable time to be applied & adapted.Rigid enough after setting to withstands fracture or dislocation.
Having smooth surface to prevent irritation of oral tissues.
Contains a bacteriostatic or bactericidal property.
Types of dressing: we have two types of dressing:
Euginol dressing: which came as powder & liquid? The powder contains ZnO Base, rosin to improve rigidity, tannic acid to improve healing, zinc acetate as accelerator & cellulose fibers to improve setting. While the liquid composed of Euginol, vegetable oils & thymol.














