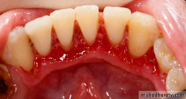
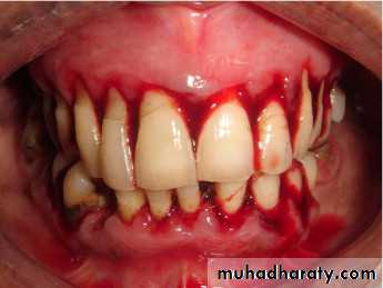
Bleeding disorders
د. محمد حارث الساعاتيbleeding disorders can be classified into 2 categories :
1. Platelet defects .2. Coagulation defects
* Platelet defects :
a. Defect in the number of platelets( thrombocytopenia ).
b. Defect in the function of platelets
( thrombosthenia)
* Causes of thrombocytopenia :
1. Bone marrow diseases like aplastic anemia , leukemia…2. Drugs : chemotherapy.
3. Autoimmune .
4. Congenital .
* Causes of thrombosthenia:
1. Systemic diseases like uremia
2. Congenital .
3. Antiplatelet drugs .
* Coagulation defects :
When there is deficiency of coagulation factors e.g. hemophilia A ( factor VIII deficiency) , hemophilia B ( factor IX deficiency ) , factor VII deficiency ..etc.
Coagulation defects can also occur secondary to systemic diseases like liver failure .
Approach to bleeding tendency :
1. History : site of bleeding , duration , family history , past history of bleeding following dental extraction or other dental procedures , drug history ( aspirin , clopidogrel , heparin , warfarin ..) .2. Examination .
3. Investigation ( platelet count , prothrombin time , activated partial thromboplastin time , bleeding time …)
Approach to patients taking antiplatelets or anticoagulation therapy :
* Assess the dental procedure whether it is high risk of bleeding or low risk of bleeding .
* Evaluate the patient status ( comorbidity , need for his drugs ..)
* Consultation to physicians .
* Dental procedures with low risk of bleeding :
- Scaling- Polishing
- Local anesthetic injections
- Simple uncomplicated extraction
- Biopsies
Dental procedure with high risk f bleeding :
1. Extensive maxillofacial surgery .2. Multiple extractions
3. Major periodontal surgery
4. Alveolar surgery ( bone removal .
Anticoagulation ( heparin , warfarin)
Continue anticoagulation with minor procedures & low risk of bleeding .
Discontinue with major dental procedures & high risk of bleeding .
( warfarin stopped 3-5 days before the major procedures , iv heparin stopped 4-6 hours before the procedures , s.c. heparin 12- 24 hours )
** in high risk patient ( e.g. cardiac disease , valve diseases ) when u stop warfarin , bridging with heparin is indicated !.
Antiplatelets ( aspirin , clopidogrel )
if the patient has recent cardiac stent or had recent myocardial infarction , he may need to continue the drugs .Minor surgery : continue treatment
Major surgery : discontinue 5-7 days before the surgery ..
**( if the patient has stent & he is on 2 antiplatelet & the procedure was urgent , discontinue clopidogrel , continue aspirin ) .
Thank
YouFor listening




