General Surgery
• Mosul university- College of dentistry-oral & maxillofacial surgery departmentChest injury
• Mosul university- College of dentistry-oral & maxillofacial surgery department
Thoracic injury :Trauma is the leading cause of death , hospitalization, short & long standing disability at any age, any sex, 25% of all traumatic death are due to chest injury , Second leading cause of trauma deaths after head injury, in war time chest injury are more common than civil & almost always there is a possibility of multiple injury.
Introduction
• Mosul university- College of dentistry-oral & maxillofacial surgery department
• Chest injuries may result from:• Vehicle accidents RTA
• Falls
• Gunshot wounds
• Crush injuries
• Stab wounds
Introduction
• Mosul university- College of dentistry-oral & maxillofacial surgery department
Anatomy of the Thorax
Trachea
LungsBronchi
Mediastinum
Heart
Pleura
Ribs
Intercostal muscles
Diaphragm
• Mosul university- College of dentistry-oral & maxillofacial surgery department
Penetrating traumaGunshot
Stab wounds
Blunt trauma
Mechanism of injury
• Mosul university- College of dentistry-oral & maxillofacial surgery department
Assess the casualty
Identify signs and symptomsAirway
Breathing
Circulation
• Mosul university- College of dentistry-oral & maxillofacial surgery department
Signs & symptoms of chest injuryShock
Cyanosis
Hemoptysis
Chest wall contusion
Open wounds
Distended neck veins
Tracheal deviation
Subcutaneous emphysema
• Mosul university- College of dentistry-oral & maxillofacial surgery department
Chest injuries
Chest wall injuriesLung injury
Heart , aorta and diaphragm injuriesChest wall injuries
Rib fracturesFlail chest
pneumothorax
haemothorax
• Mosul university- College of dentistry-oral & maxillofacial surgery department
Rib fractures
Most common thoracic injuryMost commonly 5th to 9th ribs
Poor protection
Localised pain, tenderness, crepitus
CXR to exclude other injuries
Analgesia..avoid taping
Upper ribs, clavicle or scapula fracture: suspect vascular injury
Fractures of 8th to 12th ribs can damage underlying abdominal solid organs:
Liver
Spleen
Kidneys
• Mosul university- College of dentistry-oral & maxillofacial surgery department
Flail chest
Two or more adjacent ribs are fractured in at least two places or separation of sternum from ribsMultiple rib fractures produce a mobile fragment which moves paradoxically with respiration
Significant force required
Usually diagnosed clinically
Rx: ABC Analgesia
• Mosul university- College of dentistry-oral & maxillofacial surgery department
Flail Chest
• Mosul university- College of dentistry-oral & maxillofacial surgery departmentPneumothorax
Air in the pleural cavityBlunt or penetrating injury that disrupts the parietal or visceral pleura
Unilateral signs: movement and breath sounds, resonant to percussion
Confirmed by CXR
Rx: chest drain
• Mosul university- College of dentistry-oral & maxillofacial surgery department
• Mosul university- College of dentistry-oral & maxillofacial surgery department
Pneumothorax
Pneumothorax (closed)• Mosul university- College of dentistry-oral & maxillofacial surgery department
Pneumothorax
• Mosul university- College of dentistry-oral & maxillofacial surgery departmentTension pneumothorax
Air enters pleural space and cannot escapeP/C: chest pain, dyspnoea
Dx: - respiratory distress
- tracheal deviation (away)
- absence of breath sounds
- distended neck veins
- hypotension
• Mosul university- College of dentistry-oral & maxillofacial surgery department
Surgical emergency
Rx: emergency decompression before CXREither large bore cannula in 2nd ICS, MCL or insert chest tube
CXR to confirm site of insertion
• Mosul university- College of dentistry-oral & maxillofacial surgery department
Tension pneumothorax
Open pneumothorax
Defect in chest wall provides a direct communication between the pleural space and the environmentLung collapse and paroxysmal shifting of mediastinum with each respiratory effort ± tension pneumothorax
“Sucking chest wound”
Rx: ABCs…closure of wound…chest drain
• Mosul university- College of dentistry-oral & maxillofacial surgery department
Open Pneumothorax
• Mosul university- College of dentistry-oral & maxillofacial surgery department
• Mosul university- College of dentistry-oral & maxillofacial surgery department
Open PneumothoraxHaemothorax
Blunt or penetrating traumaRequires rapid decompression and fluid resuscitation
May require surgical intervention
Clinically: hypovolaemia, absence of breath sounds, dullness to percussion.
CXR may be confused with collapse
• Mosul university- College of dentistry-oral & maxillofacial surgery department
Loss of 1500 cc blood or 200 cc per hour from the chest tube
Signs and symptomsHypotension from blood loss or compression of great vessels
Dullness to percussion
Decreased breath sounds
Anxiety or confusion secondary to hypovolemia or hypoxia
Massive Hemothorax
• Mosul university- College of dentistry-oral & maxillofacial surgery department
Lung injury
Pulmonary contusionPneumothorax
Haemothorax
Parenchymal injury
Trachea and bronchial injuries
Pneumomediastinum
• Mosul university- College of dentistry-oral & maxillofacial surgery department
Heart, Aorta & Diaphragm
Blunt cardiac injury-contusion
-ventricular, septal or valvular
rupture
Cardiac tamponade
Ruptured thoracic aorta
Diaphragmatic rupture
• Mosul university- College of dentistry-oral & maxillofacial surgery department
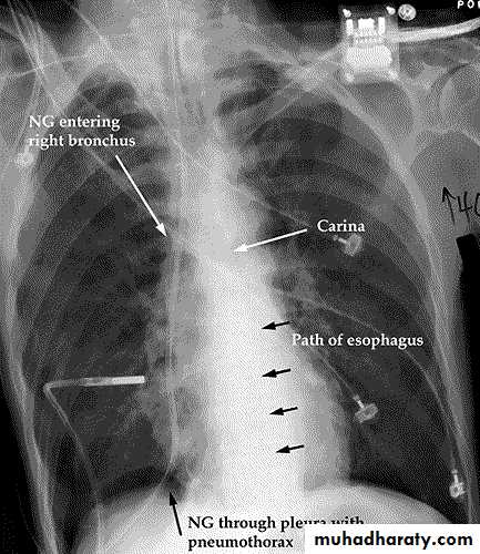
Iatrogenic trauma
NG tubes:
-coiling
-endobronchial placement
-pneumothorax
Chest tubes:
- subcutaneous
- intraparenchymal
- intrafissural
Central lines:
- neck
- coronary sinus
- pneumothorax
• Mosul university- College of dentistry-oral & maxillofacial surgery department














