Common Problems Of Composite: CausesAnd Potential Solutions
Dr. Manaf Basil AhmedB.D.S - M.Sc. Conservative
• 1. Poor Isolation Of The Operating Area
Causes of poor isolation of the operating area include:• No rubber dam or
leaking rubber dam.
2. Inadequate cotton roll.
3. Careless technique.
4. Preparation so deep gingivally it cannot be isolated.
Potential solutions for poor isolation of the operating area include:
1. Better technique.2. Use of matrix to help isolation.
3. Use of a nonbonded restorative material.
4. Repeat bonding procedures (if the area is contaminated).
2. White Line Or Halo Around The Enamel Margin
Potential solutions include:
1. Re-etch, prime, and bond the area.2. Conservatively remove the fault and rerestore.
3. Use a traumatic finishing techniques (e.g., light intermittent pressure).
4. Use slow-start polymerization techniques.
5. Leave as is.
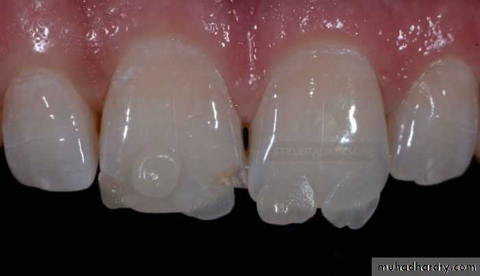
3. Voids
Causes of voids include:1. Mixing of self-cured composites.
2. Spaces left between increments during insertion.3. sticky composite pulling away from the preparation during insertion.
Potential solutions include:
1. More careful technique.2. Repair of marginal voids by preparing the area and rerestoring.
4. Weak Or Missing Proximal Contacts (Classes II, III, And Iv)
Potential solutions include:
1. Properly contour the matrix band.2. Use firm preoperative and insertion wedging technique.
3. Use a matrix system that places matrix only around the proximal surface to be restored like sectional matrix.
4. Use a hand instrument to hold the matrix.
5. Be very careful with insertion technique.
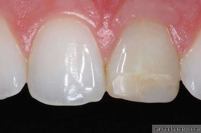
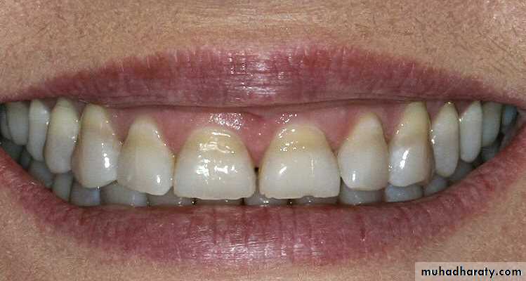
5. Incorrect Shade
Causes of an incorrect shade include:
1. Inappropriate operator lighting while selecting the shade.
2. Selecting the shade after the tooth is dried.
3.Shade tab not matching
the actual composite
Shade.
4. Wrong shade selected.
Potential solutions include:
1. Use natural light if possible.2. Select the shade before isolating the tooth.
3. Preoperatively place some of the selected shade on the tooth and cure (then remove).
• 4. Do not shine operating light directly on the area during shade selection.
• 5. Understand the typical zones of different shades for natural teeth.6. Poor Retention
Causes of poor retention include:1. Inadequate preparation form. 2.Contamination of operating area.
3. Poor bonding technique.
4. Using of bonding materials from different systems.
Potential solutions include:
• Prepare the tooth with appropriate bevels or flares and secondary retention feature, when necessary.• Keep the area isolated while bonding.
3. Follow the manufacturer's directions explicitly.
4. Do not used bonding materials from different systems.
7. Contouring And Finishing Problems
Causes of contouring or finishing problems include:1. Injuring adjacent unprepared tooth structure.
2. Overcontouring the restoration.
3. Undercontouring the restoration.
4. Creating inadequate anatomic tooth form.
Potential solutions include:
1. Be careful with use of rotary instruments.2. Have a proper matrix with appropriate axial and line angle contours.
3. Create embrasures to match the adjacent tooth embrasure form.
4. Use a properly shaped contouring instrument for the area being contoured.
5. Remember the outline form of the preparation.
6. View the restoration from all angles as it is contoured.












