University Of Mosul
College Of DentistryPost-insertion Problems of Removable Partial Denture
ByJomana A. Hassan Jalal H. Salih Tamara S. Ibrahim Jasim M. Elias
Khattab Q. Abed
Supervisor
Dr.Nagham Kassab
INTRODUCTION
Post insertion difficulties should be expected by both the dentist and the patient. The types of difficulties encountered are discussed in this seminar .It is important that the practitioner address expected common complications at the insertion appointment so the patient is not alarmed by their occurrence.
The patient must also be informed that sore teeth or painful soft tissue areas are not an integral part of removable partial denture therapy.
These complications must be managed in a timely manner at scheduled post insertion appointments.
Attention to detail during the fitting and insertion appointments will minimize, but not eliminate, all possible complications of removable partial denture therapy.
Therefore, the patient should return to the office within 24 hours of partial denture insertion.
This period is sufficient to allow detection of initial signs of most post insertion complications.
The problems associated with wearing an RPD may be classified into six categories:
Pain and discomfort related to soft tissues or remaining teeth .
Difficulty seating or removing the RPD .Lack of retention and stability .
Functional problems .
Esthetic problems .
Compromised periodontal health and mucosal Lesions .
1. Pain and Discomfort Related to Soft Tissues or Remaining Teeth :
Pain and discomfort may be associated with the remaining teeth, soft tissues surrounding the denture base, or both and classified as one of the most usually seen RPD post insertion problems.The areas of tissue trauma may be in the incisive papilla, hard palate, residual ridge crest, the peripheral borders of the RPDs, or the mucosa not covered by the RPDs such as lips and cheeks.
Tissue trauma reveals as increased redness or translucency in the oral mucosa. Increased redness is the symptom of the ulcerations, and a translucency may occur just before ulceration exists.
Overextension of the denture bases and the pressures on the fragile tissues such as incisive papilla or occlusal prematurities are the main causes of these ulcerations. Ulcerations due to tissue trauma develop generally at the initial recall appointments and can be solved easily by relieving the denture base parts touching the pain area. In case of overextension, ill-fitting RPDs, or acrylic irregularities, the areas can be identified by the aid of an indelible pencil or pressure- indicating paste. An ulceration due to tissue trauma caused by
the overextension of the lingual border of an RPD
Nevertheless, it is much better to prefer an indelible pencil because using a pressure- indicating paste or cream for determining these areas may cause faulty results as the paste is easily displaced due to its softnessAn indelible pencil may be used to mark the
ulceration area
The indelible pencil is used to mark the ulceration area, and after the area is transferred to the RPD, these parts are
gently removed using a tungsten carbide bur.
The ulcerations appearing on the residual ridge crests are usually due to occlusal prematurities; but they may also be because of the irregularities of the acrylic resin on the intaglio surface of the denture base. These irregularities may be recognized by clinicians by examining the denture base with fingertips and eliminated before the delivery of the RPDs. ulceration area is transferred to the
RPD. The marked parts may be easily removed using a tungsten carbide bur afterward
Additionally, denture base roughness can be corrected after using a pressure-indicating paste and identifying the exact areas causing the discomfort. After the adjustment, the pressure-indicating paste should be reapplied for verification. Topical agents may be used to relieve pain and stimulate healing.
2. Difficulty Seating or Removing the RPD :
The difficulties in seating or removal of an RPD are usually seen in the insertion period, but this complaint may also appear after the RPD has been in use for some time.This complaint may be classified into three categories.
A . Incomplete Seating of a Rest and Clasp Assembly on the Related Abutment :
If the rest and clasp assembly is not fully seated on the abutment , it may apply nonaxial forces to the abutment.
These forces may cause significant discomfort, tooth movement, or metallurgical fatigue of the clasp arms due to being active all the time.
This may usually occur because of design errors. If a proper path of insertion was not designated at the time of treatment planning, the RPD may not fully seat on the abutments.
The guiding planes should be carefully examined, and if there is a minor incongruity, the RPD may seat after preparing the guiding planes.A rest and clasp assembly not fully seated will
probably apply nonaxial forces to the abutment tooth
If it is not possible to seat the RPD by modifying the guiding planes, refabricating procedure may be the only solution.
B . Seating Problems Due to Pronounced Soft Tissue Undercuts :
Soft tissue undercuts may create problems if any component of an RPD passes over them during insertion or removal of the prosthesis.These problems usually involve pain and discomfort due to injuries of these soft tissues.
These soft tissue undercuts should be surgically corrected prior to definitive treatment ;but if they appear after the treatment, the RPDs may be rebased, relined, or remade according to the extent of the surgical procedure.
C . Patient-Related Factors :
Patient-related factors may be inability to manipulate or distortion of the RPD after usage. Elder RPD users may have systemic neurologic disorders.Therefore, it is not feasible to use complicated RPD designs which have more than one path of insertion.
It is very important to show the patient how to insert and remove the prosthesis and ask him/her to manipulate with the practitioner in the first and the following early appointments.
Distortion of the RPD may occur if the patient tries to tighten the RPD or uses the
clasps while insertion and removal.
The distorted clasps may be changed with wrought wires or cast clasps by the laboratory after making an impression with the RPD.
3 . Lack of Retention and Stability :
Retention or stability loss of an RPD may originate from the following situations:1. Broken clasps or loss of the precision attachments .
2. Decrease in the function of the clasps or precision attachments .
3. Overextended or under extended denture bases .
4. Deflective occlusal contacts .
Retention or stability loss may be due to one or all of these situations.
The clinician must examine the origin of the looseness and make the appropriate treatment.
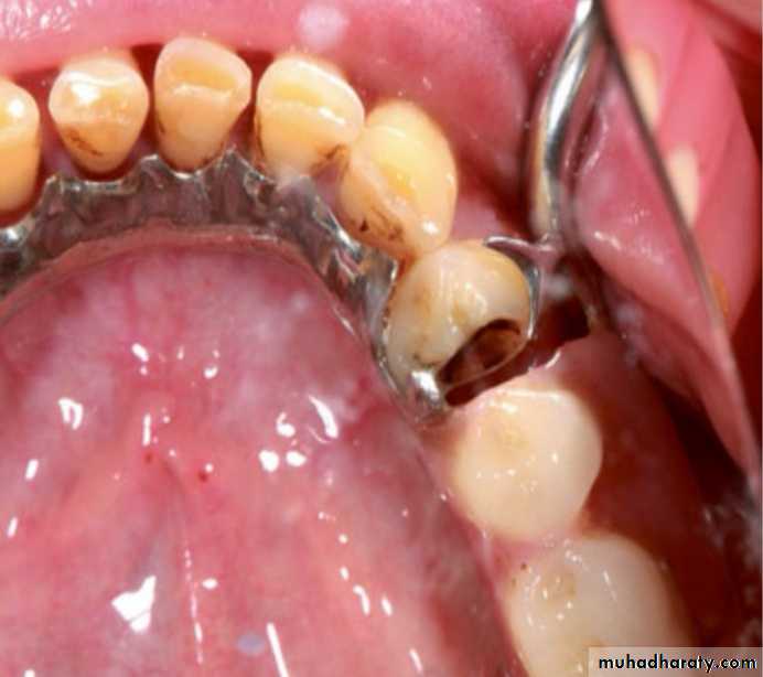
A . Broken Clasps or Loss of the Precision Attachments :
Broken clasps are usually due to fatigue of the RPD components .
B . Decrease in the Function of the Clasps or Precision Attachments :
Function of a clasp may decrease after some time of usage because of multiple insertion and removals performed by the patient and this problem may be easily solved by bending the retentive arms into the undercut areas with the aid of an appropriate pliers .
The bending force are generally applied vertically in order to reach the undercut area properly.
However, excessive bending should be avoided in order not to cause an accelerated fatigue of the clasp.
Clasps may not function properly in case of wear of the abutments due to caries, abrasion, or erosion on the facial or proximal surfaces or because of patient misuse.
However, it should be under-lined that these may be the reasons only if the RPD has been designed properly.
The design must have been completed using a surveyor for deciding the path of insertion and for tracing the survey line to obtain efficient retentive clasps.
If the function of the clasp decreases, it can be reactivated using pliers and bending the retentive arm into the undercut area
The clasp assemblies may lose their retentive
properties due to caries of the abutment teeth
If this procedure has not been employed before, the clasps of the RPD are obliged to be loosened every time. If wear exists on the abutments, the nonfunctioning clasps may be changed to functioning by adding composite material to the teeth surfaces and bending the retentive arms into the deepened undercuts with pliers.
The function of the precision attachments may be abridged in time because of the wear of plastic components, and this should have been told CEKA attachments may be changed to original position or activated using the driver provided by the manufacturer
to the patients prior to the insertion of the prosthesis.
The consistent replacement has to be a standard process of the planned patient maintenance. The worn plastic components should be replaced with
new ones regularly in accordance with the manufacturer’s recommendations Activation of the precision attachments is also possible in some attachment types.
Precision attachments may lose their retention properties due to wear of plastic components. Worn plastic components ( a ) are removed ( b ) and replaced with new ones ( c ) regularly in accordance with the manufacturer’s recommendations
C . Overextended or Under extended Denture Bases :
An overextended denture base may cause the muscles and frena to dislodge the RPD, and an under extended denture base may affect stability; the RPD may not be stabilized under lateral forces and may result in food entrapment.Overextended denture base areas should be corrected by using a laboratory bur and the flange should be rounded thoroughly while it is being shortened.
Under extended denture base of an RPD may be elongated by relining or rebasing with a suitable functional impression method.
However, if the borders are too short to be relined, the denture base of the RPD may be remade by completely removing the resin and the artificial teeth if the framework exhibits a clinically acceptable fit.
Overextended denture bases may cause the muscles and frena to dislodge the RPDs and may also cause tissue irritation and subsequent ulcerations
Underextended denture bases may affect the stability of the RPDs and food entrapment is inevitable in such cases
D . Deflective Occlusal Contacts :
Deflective occlusal contacts usually affect the stability of the RPDs and therefore should be eliminated.
If the deflective occlusal contacts are minor, they may be removed by occlusal reshaping with the aid of articulating papers; but if they are gross, the artificial teeth may be changed following a new interocclusal record.
If the RPD is a tooth-supported one, occlusal reshaping should be completed using intraoral methods; but if it is a distal extension RPD, the grinding procedures should be performed using remount procedures with the aid of an articulator.
However, it should be emphasized that the final grinding procedures should be completed intraorally to compensate the resiliency of the supporting soft tissues with articulating papers having various thicknesses.
4 . Functional Problems :
Functional problems are classified into five parts in this section as gagging; eating, or chewing difficulties; phonetic problems; tongue or cheek biting; and food impaction or collection on the RPD borders.A . Gaging :
Gag reflex is a somatic response in which the body tries to abolish foreign bodies from the oral cavity by muscle contraction at the base of the tongue and the pharyngeal wall.Unstable or poorly retained RPDs, increased occlusal vertical dimension, overextension of the mandibular RPDs in the retro mylohyoid space, and the overextended or too thick borders of the maxillary RPDs in the posterior regions can intrude the “trigger zones” and produce gagging.
Gagging may usually be observed as a problem of the first- time RPD users and mostly disappears after using the prosthesis for several days.
However, patients with severe gagging problems present big difficulties in usinog the RPDs.
Therefore, the RPD design and denture borders should be fabricated with caution taking into consideration the abovementioned factors.
The patient and the RPD should be examined thoroughly to find the reason of gagging.
Unstable or poorly retained RPDs may be relined or rebased; clasps or precision attachments may be activated or changed, or the RPD may be remade if these are not sufficient enough to maintain adequate retention.
To correct the problem of overextensions, the posterior lingual and palatal borders should be shortened and thinned.
Correction of the increased occlusal vertical dimension requires reestablishing of the appropriate occlusal vertical dimension and removing and rearranging the artificial teeth of the RPDs.
Poor adaptation of the maxillary RPDs to the tissues because of faulty impressions may also induce gagging.
If the denture base is acrylic, relining may be the solution of this problem, but if the denture base is metal like most of the cases, the RPD should be remade.
Placement of posterior denture teeth lingually may also restrict the tongue space and induce gagging.
This can be corrected after removing and rearranging the artificial teeth in correct positions.
Alternative treatment options such as hypnosis may also be applied to the patients with stubborn gagging problems.
B . Eating or Chewing Difficulties :
Patients usually report chewing or eating problems before prosthodontic treatment.
It should be under-lined that these problems decrease rapidly after treated with fixed partial dentures but slowly after RPD treatment due to an adaptation period for the new prosthesis.
Moreover, it has been shown that RPD treatment improves the ability to reduce the bolus particle size but is not able to fully restore the masticatory function especially if it is a distal extension one.
However, it has been indicated that perceived chewing ability is an important component of perceived oral health, and therefore these problems should be taken into account seriously.
Patients should be advised not to eat tough and sticky food during the early period of adjustment.
The occlusal surfaces of the artificial teeth should be examined with an articulating paper, and the occlusal prematurities should be eliminated or the artificial teeth of one or both sides should be reset where an occlusal adjustment is not adequate to overcome occlusal problems, or if some artificial teeth lack occluding the opposing arch.
Difficulties may also be related to retention, stability, or vertical dimension.
These factors should also be evaluated and corrected if necessary.
C . Phonetic Problems :
Unlike complete dentures, RPDs usually do not generate speech difficulties.However, the location of the anterior teeth especially on a maxillary RPD should be correct in order to allow the tongue and other articulators to work accurately.
Also, changes in the contour of the anterior palate and occlusal vertical dimension may show phonetic difficulties.
Speech problems are usually seen in the first few days after the insertion of the RPDs especially when the patient is a first-time denture user.
It has been shown that most of the patients with these problems show remarkable improvements after 1 week of use.
f no improvement is achieved, alterations in the RPD design or tooth arrangement should be considered.
Additionally, it should be noted that since degenerative changes in auditory abilities exhibit difficulties to adapt to new prosthesis in older patients, adaptation is usually much easier to achieve in younger patients.
D . Tongue or Cheek Biting :
Tongue, cheek, or lip biting is a common com-plaint among patients receiving prosthodontic treatment.
Patients bite their cheeks mostly because of the inadequate occluding posterior teeth overlap.
With the use of monoplane posterior artificial teeth, this problem is seen more often because the teeth are arranged with no horizontal overlap.The cheeks may be trapped between the
occluding surfaces of the posterior artificial teeth, and painful ulcerations may be seen in patients wearing RPDs with inadequate posterior teeth overlap
The cheeks are trapped between the occluding surfaces of the posterior artificial teeth and painful ulcerations may be seen .
To overcome the problem of insufficient overlap, the posterior teeth might be gently rounded and reduced in size buccally or all the posterior teeth may be reduced buccally to move away from the soft tissues.
However, it should be remembered that reducing the artificial teeth size may reduce the chewing ability of the patients.
In those circumstances, the artificial teeth should be changed and rearranged. Cheek biting may be seen in patients who have lost their posterior teeth a long time ago and have never used RPDs.
In this situation, the buccinator muscle drops down to the space between the edentulous residual ridge crests. After an adaptation period, the size of the muscle turns back to original, and this complaint is resolved most of the time.
Additional interocclusal space between the posterior denture bases of maxillary and mandibular RPDs is too small, the patient may bite his/her cheek.
Grinding the acrylic bases to lengthen the space is the only solution in those situations.
Tongue biting may be seen if the artificial teeth have been arranged too lingually or the mandibular posterior teeth have been missing fora long time and the tongue is broadened.
The lingual cusps of the mandibular artificial teeth should be broadened to resolve the problem.
In the case of long-time missing posterior teeth scenarios, the patients stop biting their tongue after the tongue turns to its normal size if the teeth were set in correct position.
Lip biting may be seen with the presence of wrong anterior teeth relations and is usually resolved by reshaping the labial surface of mandibular canine teeth.
E . Food Impaction or Collection on the RPD Border :
Food impaction happens usually when the acrylic denture base is not well adapted to the abutments .The reason is usually starting the treatment without restoring the abutment teeth.
Therefore, restarting the treatment with proper planning including restoring the abutments rather than relining is more appropriate in these situations.
However, if the food trap is due to an insufficiently extended denture base, the solution may be a relining.
Food collection on the borders may occur in the case of poorly contoured or not well polished acrylic surfaces or if the patient has a reduced salivary flow.
Appropriately contouring and polishing the surfaces will easily solve the problem.
If a reduced salivary flow is present, medications increasing the flow rate may be pre-scribed or chewing gums and fluids stimulating the flow may be recommended to the patients. When the acrylic denture base of the RPD is
not well adapted to the abutment tooth, food impaction is unavoidable
Some RPD designs such as lingual bar with cingulum bar and designs requiring deep reliefs because of anatomic restrictions or insufficient beading may also cause food impaction, which may only be corrected by refabricating the RPDs with a more appropriate planning.
5 . Esthetic Problems :
RPDs replacing the anterior teeth may cause esthetic problems.These problems may be related to several factors.
But before explaining these factors, it is very important to describe the esthetic zone and its effect on RPD treatment options.
● Esthetic Zone :
Esthetic zone is the observed teeth and soft tissues when a patient makes a usual smile or laugh.However, Preston describes the esthetic zone as the place wherever the patient thinks it is, meaning that even if the patient does not show metal while laughing, he/she still may believe that it is seen.
Therefore, it is essential to describe the esthetic zone to the patients before the treatment because they might not want to receive any metal on the facial surfaces even if it is not in the esthetic zone.
The open smiles of patients were divided into three categories as high smile, average smile, and low smile in a former study.
It is easier to mask the metal components in a low smile which displays less than 75 % of the anterior teeth; but every component is visible in a high smile that shows all the anterior teeth and a contiguous band of gingiva.
Therefore, it is much better to select alternative designs in these circumstances such as precision attachments or rotational path designs which do not show the metal components.
However, it should be underlined that most of the patients have average smile in which the cervical to incisal length of the maxillary anterior teeth is dis-played to either the first or second premolar.
Therefore, it is very important to eliminate the metal components until the maxillary premolars for the majority of individuals. Additionally, some precautions should be considered about the maxillary denture base contours.
The anterior flange should not be thick and extend to the reflection of the mucolabial fold to prevent the horizontal border of the flange from being visible during smiling. Mandibular anterior teeth should be taken into account if they are to be replaced with an RPD.
Most of the patients show 50 % of the mandibular anterior teeth and less than 50 % of the buccal surfaces of the premolars in the esthetic zone; similarly, the occlusal surfaces of the pre-molars are usually displayed.
Most of the esthetic problems of RPDs are due to display of the metal components such as clasp assemblies or frameworks in the esthetic zone.
These problems may be solved mostly with replacement dentures which follow the rules of the esthetic zone.
Therefore, it is very important to plan the RPD before the treatment according to the esthetic zone of the patient.
Additionally, the esthetic problems may be due to inappropriate axial inclination of the artificial tooth positions, discoloration or abrasion of the acrylic teeth, and too low or too high occlusal plane.
These problems may be solved by replacing the artificial teeth with new ones.
6 . Compromised Periodontal Health and Mucosal Lesions :
The existence of the RPD in the oral cavity affects the microbial ecosystem onto both the remaining teeth and the oral mucosa because of plaque accumulation and hygienic maintenance.
Although it has been publicized that if precise hygienic techniques and regular recalls are being applied, RPDs may not cause an increase of plaque accumulation; the majority of the studies focusing on this subject reported increased susceptibility to plaque accumulation with the use of RPDs.
The proliferation of Spirochetes and Fusobacteria upsurges with the presence of RPDs. While a rise of gingival inflammation at the marginal gingiva of the teeth in contact with the components of the RPD has been reported in a number of studies, others failed to find any difference at the gingival margin of the teeth that are in contact or not with the RPDs.
Most of the studies showed an increase in the depth of the pockets in RPD users.
However, there are also investigations pointing out no changes.
Bergman and Ericson showed that 3 years after RPD treatment, periodontal parameters were much better in patients who paid an annual check to a dentist as compared with those who did not.
It was presented in a comparative study that both the RPD users and nonusers showed an increase in periodontal parameters after 8 or 9 years showing that this increase should not be related directly to RPD usage.
Nevertheless, there still seems to be a controversy regarding the effect of RPDs on gingival inflammation or pocket depth in the dental literature.
It may be concluded that good oral hygiene, proper RPD design, and most prominently regular recalls for RPD users are essential for controlling and preventing the occurrence of periodontal diseases.
●REFERENCE
• Stewart’s Clinical/Chap. 16/Page 906
• A Practitioners’ Manual/Chap. 19/Page 217












