Neck spaces
AnatomyParapharyngeal space :
Potential space
Extends from the base of skull to superior mediastinum
Bounded medially by buccopharyngeal fascia & laterally by ascending ramus of the mandible ,parotid gland & sternocledomastoid muscle .
Contents:
Carotid arteries & jugular vDeep cx. Ln.s
Last four cranial n.s
Cx. Sympathetic trunk.
Retropharyngeal space
Potential space lies behind the pharynxExtends from skull base to T1-T2
Bounded ant. By post. Pharyngeal wall and it`s covering fascia
post. By alar layer of the deep fascia
-- content:
Retropharyngeal Ln.
Parapharyngeal abscess
Aetiology:• Tonsillitis
• Penetrating foreign body• Infected lower wisdom tooth
Clinical features
• Sore throat• Pyrexia and toxaemia
• Trismus
• Tender Swelling of the neck
• Tonsil is pushed medially
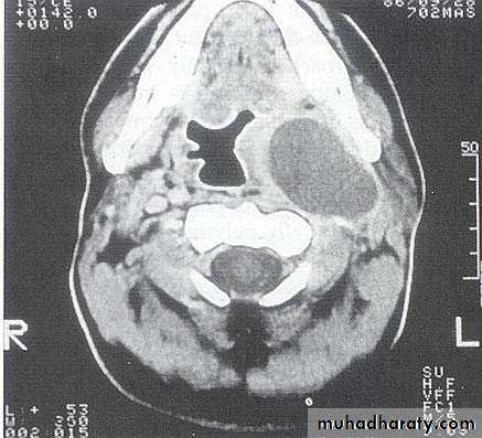
investigations
Complications:
• Acute oedema of the larynx• Thrombophlibitis of the int. jug. V.
• Spread to mediastinum.
Treatment:
Systemic antibioticsDrainage through the neck.
Retropharyngeal abscess
Pus collected between buccopharyngeal and alar fasciae.Acute
chronicAcute ret. Ph. abscess
Aetiology:- tonsillitis, nasopharyngitis , and rarely
acute sup.o.m.
- strept.pneumonia is the commonest m.o.
- mostly are infants & young children
Clinical features:
• Difficulty in breathing & suckling• Pyrexia
• Toxaemia
• Stiffness of the neck or torticollis
• Lat. Swelling of the post. Ph.wall
• Spontaneous rupture & aspiration
Investigation:
imagingLateral neck plain film
-Normal: 7mm at C-2
-14mm at C-6 for kids,
-22mm at C-6 for adults
Treatment:
Drainage without intubation with head down positionSystemic antibiotics
Tracheostomy may become necessary
Chronic retropharyngeal abscess
Aetiology: tuberculosis
Clinical features:
1. old children & adults
2. sore throat
3. slight dysphagia
4. cold abscess in the post. Wall
5. painless enlarged L.n.
X-ray of cx. Spine shows sign of tuberculosis
.
Treatment:
* incision through the neck
* antituberculus drugs





