Cardiac Diseases
ByAssist Professor
Dr. Amin Turki Atyia
• In the fetus, the placenta is responsible for the gas exchange .
• Lungs are functionless, and pulmonary vessels are vasoconstricted shifting of the blood away from the pulmonary circulation.• Rt. and Lt. ventricles present in parallel circuits rather than series circuits as in newborn or adult.
The Fetal Circulation:
• Parallel circulation chieved by THREE CV structures :
• ductus venosus• foramen ovale
• ductus arteriosus.
• Mechanical expansion of the lungs and an increase in arterial Po2 result in a rapid decrease in pulmonary vascular resistance.
• Removal of the low-resistance placental circulation leads to an increase in systemic vascular resistance and closure of ductus venosus.
After delivery:
TWO important events occurs:
3. Functional closure of foramen ovale.
• Reverse shunt through ductus arteriosus and become LT to RT , and close over next several days to form ligamentum arteriosum.These 2 events will lead to:
• RV output flows entirely into the pulmonary circulation.
I. Acyanotic CHD:
• Acyanotic CHD causing increased volume load:• Atrial Septal Defect (ASD).
• Ventricular Septal Defect (VSD).
• Atrio-Ventricular Septal Defect (AV canal).
• Patent Ductus Arteriosus (PDA).
Classification of the Congenital Herat Diseases (CHD):
• Presence of communication between the pulmonary and systemic circulations
• shifting of oxygenated blood back to the lungs (Lt-to-Rt shunt)
• increased pulmonary blood flow.
Pathophysiology:
• Acyanotic CHD causing increased pressure load:
• Valvular pulmonary stenosis.• Valvular aortic stenosis.
• Coarctation of the aorta.
• Tricuspid stenosis.
• Mitral stenosis.
• Pulmonary veins obstruction.
• Presence of obstruction to the normal blood flow, which is either :
• obstruction to ventricular out flow( more common, as in the first 3 causes)• obstruction to ventricular inflow (less common, as in the last 3 causes).
Pathophysiology:
II. Cyanotic CHD:
• Cyanotic CHD with decreased pulmonary blood flow:• Tetralogy of Fallot (TOF).
• Pulmonary atresia with intact septum.
• Tricuspid atresia.
• Total anomalous pulmonary venous return with obstruction.
• obstruction to the pulmonary blood flow
• communication between the pulmonary and systemic circulation
• systemic deoxygenated venous blood shunt from right to left enter the systemic circulation (via PDA, foramen ovale, ASD and VSD).
Pathophysiology:
• Cyanotic CHD with increased pulmonary blood flow:
• Transposition of Great Arteries (TGA).• Single ventricle.
• Truncus arteriosus.
• Total anomalous pulmonary venous return without obstruction.
• There is no obstruction of pulmonary blood flow.
• Cyanosis caused by either abnormal ventricular-arterial connection,• or from total mixing of systemic venous and pulmonary venous blood within the heart.
Pathophysiology:
Atrial Septal Defect (ASD)
10% of all congenital heart defects.Types:
Ostium secondum ASD: the most common type, the hole in the region of the foramen ovale.
Ostium primum ASD: hole located near the endocardial cushions, and it may be part of a complete atrioventricular canal defect
Ostium
primum ASDOstium
secundum
ASD
Sinus venosus ASD: is the least common type, which may be associated with anomalous pulmonary venous return.
Pathophysiology:
• Degree of left-to-right shunting depend on:
• Size of the defect.
• Relative compliance of the Rt and Lt V
• Relative PVR and SVR.
• In large defects, a considerable shunt of oxygenated blood from the left to the right atrium.
• This blood is added to the usual venous return to the right atrium and is pumped by the right ventricle to the lungs.
• With large defects, the ratio of pulmonary to systemic blood flow (Qp : Qs) is usually between 2 : 1 and 4 : 1.
• ASD is often asymptomatic and discovered during physical examination.
• Even extremely large ASD, it rarely produce clinical heart failure during childhood, but subtle failure to thrive may be present.
• Various degrees of exercise intolerance might present in older children.
Clinical features:
• There is might be mild left precordial bulge due to cardiomegaly.
• Rt ventricular impulse can palpated on Lt. lower sternal border.On Examination:
3. On auscultation:
• Fixed splitting of S2.• Soft (grade I or II) systolic ejection murmur in the middle and upper sternal border due to increase blood flow across the Rt ventricle into the pulmonary artery and not due to low pressure flow across the ASD.
• Mid-diastolic murmur at Lt lower sternal border due to increase flow across the tricuspid valve.
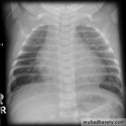
• CXR:
• cardiomegal• Rt atrial enlargement
• prominent PA
• increased pulmonary vascularity.
Diagnosis:
• ECG: Rt axis deviation and RVH
• Echocardiography demonstrate the definitive size and location of the defect.• Asymptomatic child required no treatment.
• Transcatheter or surgical closure indicated in:• All symptomatic children.
• Asymptomatic patient with Qp:Qs ratio of 2:1 and more.
• Severe Rt ventricular enlargement.
Treatment:
• Small-moderate ASD in term infants may close spontaneously.
• Secondum ASD is well tolerated during childhood.• complications at third decade or later:
• pulmonary HT
• atrial dysrhythmias
• tricuspid or mitral insufficiency
• heart failure.
Prognosis:
Ventricular Septal Defects (VSD):
The most common cardiac malformationAccounts for 25% of CHD.
Types:
Membranous type: The most common type. At membranous portion of the septum in the posteroinferior position.
Supracristal type: Is less common, located superior to crista supraventricularis, just beneath the pulmonary valve.
Muscular type: In the mid portion or apical region of the ventricular septum and it may be single or multiple (Swiss cheese septum)
The onset and severity of C\F depends on the magnitude of Lt-to-Rt shunt which determined by:
• Size of the VSD:
• Small defects (usually <5 mm) is called pressure restrictive VSD
• Large VSD (usually >10mm) is called nonrestrictive VSD
Pathophysiology:
2. PVR to SVR ratio (Qp:QS):
• High PVR limit the Lt-to-Rt shunt.• After birth, the PVR is high due to pulmonary vasoconstriction, causing limitation of the Lt-to-Rt shunt through the VSD.
• When the PVR fall during the first 6-8 wk, the shunt increase and the clinical manifestations will appears.
• When the PVR=SVR (Qp:Qs is 1:1), the shunt will become bidirectional and patient become cyanosed (Eisenmenger physiology).
• When the PVR>SVR (Qp:Qs is 2:1 or more), the shunt will reverse to become Rt-to-Lt and the cyanosis will increase more.
A. Small VSD with minimal Lt-to-Rt shunt and normal pulmonary pressure:
• asymptomatic and discovered during routine examination.• Characteristic loud, harsh, halosystolic murmur, over the lower Lt sternal border, frequently associated with thrill
Clinical Features:
B. Large VSD with excessive pulmonary blood flow and pulmonary HT:
• Heart failure in early infancy (Dyspnea, feeding difficulties, poor growth and profuse sweating) and recurrent chest infections.
• Cyanosis is usually absent, but duskiness may note during infection or crying.
• Lt precordium bulge and palpable parasternal lift is common.
• The halosystolic murmur is less harsh than that of small VSD.
• Mid-diastolic, low-pitched murmur at the apex due to increased blood flow across the mitral valve.Diagnosis:
• CXR:• Small VSD:
• Normal
• large VSD:
• cardiomegaly
• increased pulmonary vascularity.
• ECG: normal in small VSD, large VSD there is biventricular hypertrophy with notched or peaked P wave.
• Echocardiography: for size and location of the defect, direction and magnitude of the shunt, and measurement of pulmonary pressure.
Diagnosis:
• It depend on the size of VSD.
• 30-50% of small VSDs closed spontaneously, mostly during the first 2yr of life.
• Small muscular VSDs are more likely to close (up to 80%) than membranous VSDs (up to 35%)
• Closed VSD often have ventricular septal aneurysm which limit the shunt magnitude.
Natural coarse(natural history) of VSD:
• Most children with small restrictive VSD remain asymptomatic.
• Non operated VSD might increase incidence of arrhythmia, subaortic stenosis and exercise intolerance.• Prophylactic antibiotic to prevent subacute bacterial endocarditis (SBE).
• Treatment of heart failure in large VSD by diuretics and digoxin.• Surgical closure indicated in continued poor growth or pulmonary HT despite medical treatment.
Treatment:
Thank you for your attention






