Treatment of dentin hypersensitivity
Dr. Handren Hunar Najeebdentin hypersensitivity
Dentin or root hypersensitivity is a relatively common problem in periodontal practice.It may occur spontaneously when the root becomes exposed as a result of gingival recession or pocket formation, or it may appear after scaling and root planing and other periodontal surgical procedures, also as a result to enamel loss.
dentin hypersensitivity
This type of sensitivity is manifested as pain that is induced by:thermal changes (cold or hot temperature),
citrus fruits,
sweets,
contact with a toothbrush or a dental instrument.
Root sensitivity occurs more frequently in the cervical area of the root, where the cementum is extremely thin.
Etiology
Gingival RecessionAnatomy of the labial plate of the alveolar bone
Periodontal disease
Frenum involvement
Toothbrush abrasion
Poor oral hygiene
Inadequate attached gingiva
Periodontal surgery(pocket reduction)
Iatrogenic loss during restorative procedures
Aggressive scaling and root planing
Acute or chronic trauma
Occlusal trauma, tooth malposition
Excessive oral hygiene
Enamel Loss
Abrasion
• (Toothbrush Trauma)
Attrition
• (contact opposing teeth).
Erosion (intrinsic/extrinsic)
Abfraction
• (Occlusal load cause microfractures in cervical area)
Mechanisms of dentin sensitivity
A. Direct Innervation (DI) TheoryB. Odontoblast Receptor (OR) Theory
C. Fluid Movement/Hydrodynamic Theory
Mechanisms
DIRECT INNERVATION THEORY• directly affect nerve endings within the dentinal tubules through direct communication with pulpal nerve fibres.
Mechanisms
ODONTOBLAST RECEPTOR THEORYodontoblastic processes are exposed on the dentine surface and can be excited by a variety of chemical and mechanical stimuli.
Mechanisms
FLUID MOVEMENT THEORY/Hydrodynamic Theory• fluids within the dentinal tubules are disturbed either by temperature, physical or osmotic changes and that these fluid changes or movements stimulate a baroreceptor which leads to neural discharge.
Informing patients
The following information on how to cope with the problem should also be given to the patient:• Hypersensitivity appears as a result of the exposure of dentin, which is inevitable if calculus, biofilm, and their products, which are buried in the root, are to be removed.
• Hypersensitivity slowly disappears in a few weeks.
• An important factor in reducing hypersensitivity is biofilm control.
• Desensitizing agents do not produce immediate relief and must be used for several days or even weeks to produce results.
Desensitizing Agents
Desensitizing agents can be applied by the patient at home or by the dentist or hygienist in the dental office.MECHANISM OF ACTION
a. Tubule occlusion b. Nerve desensitizationmechanism of tubule occlusion
The most likely mechanism of action is the reduction of the diameter of the dentinal tubules to limit the displacement of fluid.this can be attained in the following ways:
• by the formation of a smear layer produced by burnishing the exposed surface.
• via the topical application of agents that form insoluble precipitates within the tubules.
• with the impregnation of tubules with plastic resins.
• by sealing the tubules with plastic resins.
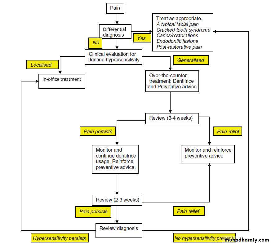
clinical evaluation of Desensitizing Agents
The clinical evaluation of the many agents proposed is difficult for the following reasons:• measuring and comparing pain among patients with different thresholds are difficult.
• the time table for hypersensitivity before it is completely alleviated is different for each patient.
• each desensitizing agent acts differently both in terms of time and the level of relief it offers.
Agents for Tubule occlusion
Agents Used by the PatientAlthough many dentifrice products contain fluoride, additional active ingredients for desensitization are:
strontium chloride.
potassium nitrate.
sodium citrate.
Desensitizing agents act through the precipitation of crystalline salts on the dentin surface that block dentinal tubules.
Agents for Tubule occlusion
Agents Used in the Dental Office
lists various office treatments for the desensitization of hypersensitive dentin.
These products and treatments aim to decrease hypersensitivity by blocking dentinal tubules with either a crystalline salt precipitation or an applied coating (varnish or bonding agent) on the root surface.
Office Treatments for Dentinal Hypersensitivity
Cavity varnishesAntiinflammatory agents
Treatments that partially obturate dentinal tubules
Burnishing of dentin
Silver nitrate
Zinc chloride–potassium ferrocyanide
Formalin
Calcium compounds
Calcium hydroxide
Dibasic calcium phosphate
Fluoride compounds
Sodium fluorideStannous fluoride
Iontophoresis
Strontium chloride
Potassium oxalate
Restorative resins
Dentin bonding agents
Fluoride solutions and pastes historically have been the agents of choice.
chlorhexidine, decrease the ability of fluoride to bind with calcium on the root surfaces.
Thus it is important to advise patients not to rinse or eat for 1 hour after a desensitizing treatment.
Currently, potassium oxalate (Protect) and ferric oxalate (Sensodyne Sealant) solutions are the preferred agents, and special applicators have been developed for their use. These agents form insoluble calcium oxalate crystals that occlude the dentinal tubules
The most current method of treatment for hypersensitive dentin is the use of varnishes or bonding agents to occlude dentinal tubules.
Despite some success with decreasing dentin hypersensitivity, these “dental office” treatments have not been predictable in resolving hypersensitivity, and the success that is achieved is often short-lived.
More recently, attempts have been made to improve the success and longevity of these treatments with the use of lasers.
Prevention of DH
Suggestions for patients:• Avoid gingival recession due to poor plaque removal by practicing good oral hygiene techniques.
• Avoid using large amounts of dentifrice or reapplying it during brushing.
• Avoid medium- or hard-bristle toothbrushes.
• Avoid brushing teeth immediately after ingesting acidic foods.
• Avoid brushing teeth with excessive pressure or for an extended period of time.
• Avoid excessive flossing or improper use of other interproximal cleaning devices.
• Avoid “picking” or scratching at the gumline or using toothpicks inappropriately.
Prevention of DH
Suggestions for dental professionals:• Avoid over-instrumenting the root surfaces during scaling and root planing, particularly in the cervical area of the tooth.
• Avoid over-polishing exposed dentine during stain removal.
• Avoid violating the biological width during restoration placement, as this may cause recession.
• Avoid burning the gingival tissues during in-office bleaching, and advise patients to be careful when using home bleaching products.








