Raed Z. Ahmed, Medical Parasitology Lab.,2012
Intestinal CestodesTaenia spp.
Taenia spp.
Of the 32 recognized species of Taenia, only Taenia solium and Taenia saginata are medically important.Taenia saginata, which is also known as the "beef tapeworm", though it also infects humans.
Taenia solium, which is known as the "pork tapeworm". Like Taenia saginata humans serve as its primary host.
Both have mature, immature and gravid segments.
Both have scolex provided with four cup- shaped suckers, but T. saginata has an unarmed scolex while T. solium has an armed scolex.
Raed Z. Ahmed, Medical Parasitology Lab.,2012
Taenia spp. (Cont….)
In both species the infective stage is the cysticercus.Cows are the intermediate host of T. saginata while pigs are the intermediate host of T. solium.
Definitive host: Human.
Diagnosis:
By finding gravid proglotid or eggs in stool.
Eggs present in stool less often are proglottids.
Direct fecal smear.
Brine flotation technique.
Taenia saginata and Taenia solium must be differentiated from each other by the following:
Mature segment, gravid proglotid and adult worm.
Raed Z. Ahmed, Medical Parasitology Lab.,2012
Comparison
Raed Z. Ahmed, Medical Parasitology Lab.,2012
Aspect
Taenia saginata
Taenia solium
• Intermediate host
• Cows
• (Beef tape worm)
Pigs
(Pork tape worm)
• Adult size
• Longer ( 4 – 8 meters )
• Smaller ( 2 - 4 meters )• Number of segment
• 1000 – 2000• 700 - 1000
Mature segment
• 2 lobes ovary
• 3 lobes ovary
Gravid proglotid
With 15 – 30 uterine branches
With 7 – 13 uterine branches
• Scolex
• Devoid rostellum and hooks
• With rostellum and 2 rows of hooks• Larvae
• Cysticercus bovis in cattle only
• Cysticercus cellulosae in pig as well as in manDisease caused in man
• Taeniasis
• Taeniasis and cysticercosisTaenia Egg
Raed Z. Ahmed, Medical Parasitology Lab.,2012
We can’t use egg to differentiate b/w two spieces
Taenia scolex
Raed Z. Ahmed, Medical Parasitology Lab.,2012Taenia saginata
Taenia soliumTaenia mature segment
Raed Z. Ahmed, Medical Parasitology Lab.,2012Taenia solium
3 ovary lobesTaenia saginata
2 ovary lobes
Taenia Gravid Proglotid
Raed Z. Ahmed, Medical Parasitology Lab.,2012Taenia solium
Taenia saginata
Taenia Adult worm
Raed Z. Ahmed, Medical Parasitology Lab.,2012Taenia solium
Taenia saginata
Fish TapewormDiphyllobothrium latum
Fish tapeworm Diphyllobothrium latum
• Diphyllobothrium latum: Morphology
1 cm
• Diphyllobothrium latum: Life Cycle• Diphyllobothriasis:Symptoms
SiteSymptoms
Pathogenesis
gastro-intestinal
abdominal discomfort, rarely severe cramping pain, diarrhea alternated by constipation, vomitingrelated to worm burden
general
weight loss, vitamin B-12 deficiency
physical mass and inflammation
• symptoms
• history of eating raw fish
• recovery of proglottids and/or eggs in the stool
• Diphyllobothriasis:Diagnosis
• Praziquantel is the drug of choice• Avoid uncooked fish from infested waters
• Freezing for 24 hours and pickling kills the tape
• Diphyllobothriasis:Treatment
• Hymenolepis nana (Dwarf Tape Worm)Morphology
Hymenolepis nana (Dwarf Worm)Life Cycle
• Lighter infections: mild abdominal disturbance
• Heavier infections: enteritisHymenolepis nana (Dwarf Worm)Symptoms
Hymenolepis nana (Dwarf Worm)Diagnosis, Treatment And Control
• Diagnosis• rodent infestation
• ova in the feces
• Treatment and Control
Praziquantel is the drug of choice
rodent population control
•
Echinococcus granulosus (hydatid)Geographic Distribution
Raed Z. Ahmed, Medical Parasitology Lab.,2012
Ecchinococcus granulosus stages
• Echinococcus granulosus (hydatid)Morphology
• Echinococcus granulosus: Life Cycle
• Echinococcus granulosus: Life Cycle
http://workforce.cup.edu/buckelew/
• Echinococcus granulosus: SymptomsSite
SymptomsPathogenesis
abdomen
abdominal distension, ascitisprogressively growing cyst
liver
obstructive jaundice
growing cyst
lung
pulmonary abscess, cough, chest pain
growing cyst
CNS
Jacksonian epilepsy
growing cyst
Fever, pruritus, urticaria, anaphylactoid reactions
Type-I hypersensitivity
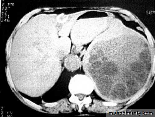
• Echinococcus granulosus: Diagnosis
• Endemicity• Symptoms
• X-ray and CT scan
• Serology
• Skin (Casoni) test
Echinococcus granulosus: Treatment and Control
• Surgical removal of the cyst• Praziquantel
• Avoidance or treatment of infected canine









































