Removable Orthodontic Appliances
Dr. Sarmad Sobhi Alqassar
BDS, MSc, PhD. OrthodonticWho needs orthodontics?
Orthodontics comes from the Greek words ‘orthos’ meaning normal, correct, or straight and ‘dontos’ meaning teeth.Orthodontics is concerned with correcting or improving the position of teeth and correcting any malocclusion.
Orthodontics is considered the oldest speciality of dentistry .
Primitive appliances to move teeth have been found in Greek excavations .Edward H. Angle(1855-1930) is considered the ‘Father of Modern Orthodontics’ for his numerous contributions to the orthodontics.
The scope of orthodontic treatments
Orthodontic treatment involve three main tissue system concerned in dentofacial development, namely
the dentition
the skeleton
the facial and jaw musculatures .
Orthodontic treatment can bring about changes in the dentition , the skeletal system and the enveloping soft tissue .
Services offered by the orthodontics
Preventive orthodonticsInterceptive orthodontics
Corrective orthodontics
Surgical orthodontics
Essentially, there are three principal reasons for carrying out orthodontic treatment:
1.To improve dento facial appearance
2.To correct the occlusal function of the teeth
3.To eliminate occlusion that could damage the long-term health of the teeth and periodontium
The aims and objectives of orthodontic therapy
Functional efficiencyStructural balance
Esthetical harmony
Orthodontic appliance
This may be defined as the “appliance by which mild pressure may be applied to a tooth or a group of teeth and their supporting tissue in a predetermined direction to bring about the necessary reaction processes within the bone and other tooth supporting tissues, to allow tooth movement”IDEAL REQUIREMENTS FOR AN ORTHODONTIC APPLIANCE
Generally:biological requirements
Mechanical requirements
Esthetical requirements
Hygienic requirements
IDEAL REQUIREMENTS FOR AN ORTHODONTIC APPLIANCE
More spesifically:1. Design of the appliance should be simple
1. It should be e comfortable to use and be aesthetically acceptable
2. It should exert desired force in desired amount and direction
3. It should not interfere with normal function and growth
4. It should have adequate retention
5. It should be tasteless, odorless, and inert in oral secretions
6. It should be unbreakable
7. It should not be heavy or bulky
8. It should be easily repairable and addable9. It should not cause any damage to the teeth or other tissue
10. It should be easy to remove and insert
11. It should be easy to clean
12. It should be readily cleaned
13. It should be dimensionally stable
14. Material for the appliance should be cheap and available
When designing an appliance, all these requirements should be taken into consideration and attempt should be made to incorporate as many as possible.
IDEAL REQUIREMENTS FOR AN ORTHODONTIC APPLIANCE
Appliance choices
There are confusing range of different orthodontic appliances. The appliance has to be selected with care and used correctly as inappropriate use can make the malocclusion worse.Removable appliances are only capable of very simple movements
whereas fixed appliances are sophisticated devices, which can precisely position the teeth.Functional appliances are useful in difficult cases and are primarily used for Class II Division I malocciusions.
Extra-oral devices are used to re-enforce anchorage and can be an aid in both opening and closing spaces.
Orthodontic appliances are divided into three main groups:
A. Removable appliance:The term removable appliance is used to indicate an appliance which can be removed for cleaning by the patient or for adjustment by the Orthodontist. These appliances can be taken out of the mouth by patient when required.
Removable appliances are four types:
1. Passive appliances:These appliances remain passive in the mouth and exert no active pressure. Example as
1. Space maintainer
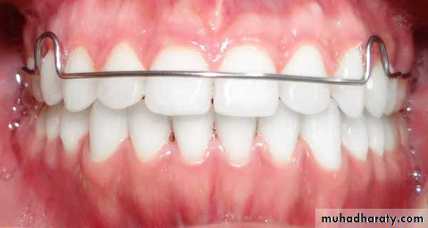
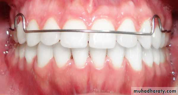
2. Retention appliances
3. Tongue guard
2. Functional appliances:
This may be defined as the “appliance by which mild pressure may be applied to a tooth or a group of teeth and their supporting tissue in a predetermined direction to bring about the necessary reaction processes within the bone and other tooth supporting tissues, to allow tooth movement”
Example as:
twin block appliances
Frankles functional regulators
3. Mechanical appliances:
These appliances carry some active components which are activated to exert active forces.Tooth movement with removable appliances in children almost always falls into one of two major categories:
(1) arch expansion, in which groups of teeth are moved to expand the arch perimeter;
and (2) repositioning of individual teeth within the arch.
4-sequential removable orthodontic appliances (aligners): to move teeth in a stepwise fashion (Invisalign, Align Technology, Santa Clara, Calif). Invisalign is a proprietary orthodontic technique that uses a series of computer generated custom plastic aligners to gradually guide the teeth into proper alignment.
B. Removable-Fixed appliances
Here some part of appliances can be removed by the patient and other parts remain fixed on the teeth.Example as:
Removable appliances with modified finger spring.
C. Fixed appliances
These cannot be removed by the patient and consists of:1. Bands- cemented on teeth (occasionally cast metal caps),
2. Attachments or brackets of different types attached on the bands or on teeth directly with bonding materials
3. Labial or lingual arches – These may themselves be active or passive and may carry auxiliary springs for movement of teeth.


























