B.D.S M.Sc Waseem Khalid Mahmood
Assistant lectureroral and maxillofacial
surgery
College of dentistry, Mosul university
Tooth impaction
Mosul university- College of dentistry-oral & maxillofacial surgery department
Impacted tooth is a tooth that can not, or will not, erupt into its normal functioning positions(within the normal time of eruption), and is, therefore, pathologic and requires treatment.unerupted teeth tooth that have not yet perforated the oral mucosa(include both with or without root apex)(within normal time of eruption)
Definitions
Mosul university- College of dentistry-oral & maxillofacial surgery department
Ankylosed tooth: fusion between cementum of root and alveolar bone (no periodontal ligament)Malposed tooth : a tooth whether erupted or unerupted that is in an abnormal position in maxilla or mandible.
Ectopic or displaced: a malposed tooth caused by either congenital factor or pathology
Mosul university- College of dentistry-oral & maxillofacial surgery department
4
Mosul university- College of dentistry-oral & maxillofacial surgery department
Mosul university- College of dentistry-oral & maxillofacial surgery department
Mosul university- College of dentistry-oral & maxillofacial surgery department
Causes of tooth impaction 1- Systemic causes2- Local causesMosul university- College of dentistry-oral & maxillofacial surgery department
Systemic causes of impaction1- Hereditary syndromes like cliedo cranial dysostosis , downs syndrome ,etc…2- Endocrinal deficiency like hypothyroidism and hypopituitarism3- Febrile diseases (brucellosis , scarlet fever,…etc)( all systemic causes is usually associated with multiple teeth impaction)
Mosul university- College of dentistry-oral & maxillofacial surgery department
Mosul university- College of dentistry-oral & maxillofacial surgery department
Local causes of tooth impaction1 – Prolonged retention of deciduous teeth
2 – Arch length deficiency with large sized teeth(arch –tooth discrepancy)
3 – Odontogenic cyst or tumor change the path of eruption(pathology)
4- Cleft lip and cleft palate
5- Dense overlying bone or thick fibrous soft tissue(due to chronic inflammation)
6- Abnormal root pattern( dilacerated or curved or bulbous…etc )
Mosul university- College of dentistry-oral & maxillofacial surgery department
Frequency of tooth impactionThe frequency of tooth impaction is as follow:
1- lower third molar
2- upper third molar
3- upper canine
4- lower canine
5- lower premolar
6- maxillary premolar
• 7-maxillary central and lateral incisor
Mosul university- College of dentistry-oral & maxillofacial surgery department
Management of impacted teeth:
Personal information
Medical history
Past dental history
Clinical examination (intra and extra oral)
Radiographic assessment showing the position of the impacted tooth
a –The tube shift technique(localization)
b – Periapical and occlusal film
c – Panoramic view (OPG)
d - CBCT
Mosul university- College of dentistry-oral & maxillofacial surgery department
The tube shift technique
• Uses 2 periapical radiograph , shifting the tube horizontally between exposures .• If the impacted tooth moves in the same direction in which the tube is shifted , it is located in the lingual or palatal side
• A facial or buccally located tooth moves in the opposite direction of the tube shift
Mosul university- College of dentistry-oral & maxillofacial surgery department
SLOB technique
(S)SAME : (L)LINGUAL(O)OPPOSITE : (B)BUCCAL
Mosul university- College of dentistry-oral & maxillofacial surgery department
Mosul university- College of dentistry-oral & maxillofacial surgery department
Mosul university- College of dentistry-oral & maxillofacial surgery department
Mosul university- College of dentistry-oral & maxillofacial surgery department
Types of impaction :• Soft tissue impaction
• Bony impaction
• Tooth impaction
• combination
Types of impaction:
• Partial impaction
• Complete impaction
Mosul university- College of dentistry-oral & maxillofacial surgery department
Treatment options of impacted teeth
1- leave it insitu
2 - orthodontic treatment
3 - surgical exposure
4- surgical relocation ( intentional replantation or auto transplantation )
5 -surgical extraction
Mosul university- College of dentistry-oral & maxillofacial surgery department
Indications for impacted tooth removal:
The presence of impacted tooth in the jaw can cause a variety of problems or complications , so it should be removed as soon as diagnosis is made , these complications may include :Mosul university- College of dentistry-oral & maxillofacial surgery department
1-PericoronitisPericoronitis is an inflammation of the soft tissues around the crown of partially erupted tooth (operculum) and is caused by :
1- The normal oral flora associated with transient decrease in host defense mechanism
2- It may arise secondary minor trauma from an opposing or adjacent teeth.
3- food debris accumulation under the operculum.
the operculum can be traumatized and become swollen ,this can be treated by removal of traumatizing tooth.
Mosul university- College of dentistry-oral & maxillofacial surgery department
Operculum
Mosul university- College of dentistry-oral & maxillofacial surgery department
Classification of pericoronitis1 – acute pericoronitis
2- sub acute pericoronitis
3- chronic pericoronitisMosul university- College of dentistry-oral & maxillofacial surgery department
Acute pericoronitis
It is characterized by a severe throbbing pain which is exacerbated by chewing , interferes with sleep, with limited mouth opening (trismus) . The patient may complain of extra oral swelling and discomfort during swallowing , submandibular adenopathy can be palpated ,and foeter oris(bad oder) may be noted.In this state tooth extraction is absolutely contraindicated.
Mosul university- College of dentistry-oral & maxillofacial surgery department
Mosul university- College of dentistry-oral & maxillofacial surgery department
Sub acute pericoronitisIt is characterized by a continuous dull ache , some times pus tracks from the third molar region and present in the buccal sulcus alongside the first molar , a condition known as migratory abscess of the buccal sulcus .
Mosul university- College of dentistry-oral & maxillofacial surgery department
Mosul university- College of dentistry-oral & maxillofacial surgery department
Chronic pericoronitisThis is characterized by dull pain or mild discomfort lasting for only a day and interspersed with remissions lasting many months . The patient usually complain of unpleasant taste ..
Mosul university- College of dentistry-oral & maxillofacial surgery department
Treatment of pericoronitis
• Conservative treatment: irrigation by normal saline or chlorhexidine and proper antibiotic prescription .• Surgical removal of operculum (operculuectomy)
• Surgical removal of the impacted tooth
Mosul university- College of dentistry-oral & maxillofacial surgery department
2 – prevention of Dental caries
E.g Dental caries can occur at the lower 8 or
adjacent lower 7 most commonly at the
cervical line due to the inability of the patient
to clean the area thoroughly .
Mosul university- College of dentistry-oral & maxillofacial surgery department
3 - Prevention of Periodontal diseasee.g Food debris accumulation distal to the second molar and difficulty to clean it may lead to periodontal problems
4-Prevention of resorption of adjacent tooth root
Mosul university- College of dentistry-oral & maxillofacial surgery department
5- Pain of unexplained originOccasionally patient complain of jaw pain at the area of impacted third molar that has neither clinical nor radiographic signs of pathology . removal of this impacted tooth may relieve this pain .
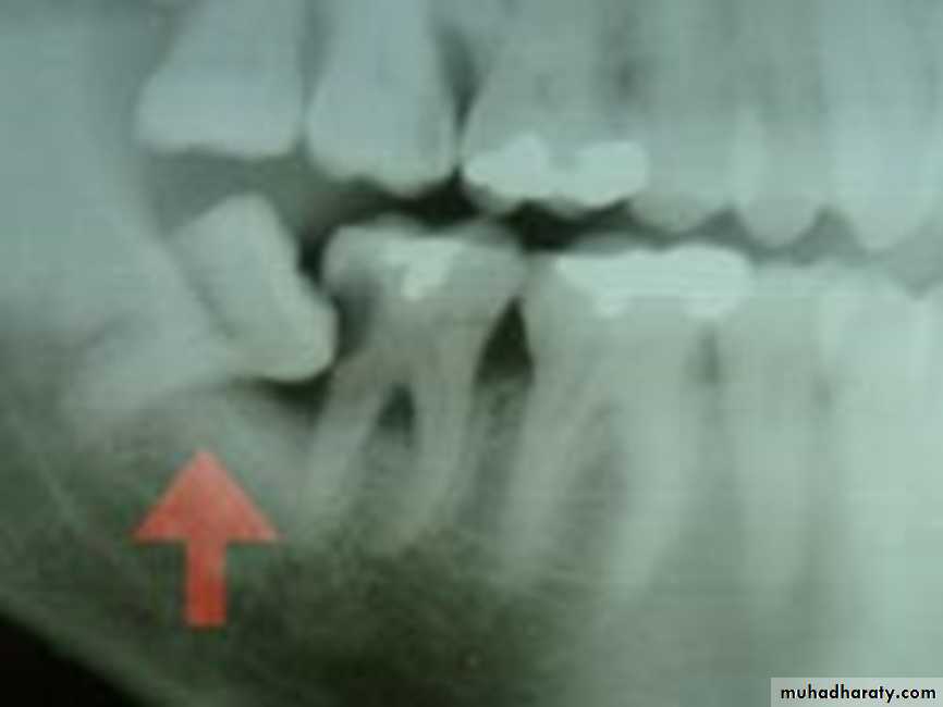
6 - Prevention of odontogenic cysts and tumors:
The dental follicle may undergo cystic degeneration like a Dentigerous cyst ( which arise from the reduced enamel epithelium) or odontogenic keratocyst ( which arise from the dental lamina ) . Ameloblastoma may develop from epithelium within the dental follicle .
Mosul university- College of dentistry-oral & maxillofacial surgery department
Dentigerous cyst causes tooth impaction
Mosul university- College of dentistry-oral & maxillofacial surgery department
7 - Tooth in the fracture lineE.g Impacted lower third molar may weakens the angle of the mandible and make it more liable to fracture during trauma to the face .
8 - Impacted tooth under dental prosthesis
Asymptomatic deeply impacted tooth can be safely left in place , but if the bone overlying the tooth is very thin or absent the tooth should be removed before construction of the prosthesis as it may interfere with denture construction .
Mosul university- College of dentistry-oral & maxillofacial surgery department
9 - To facilitate orthodontic treatment
1- crowding of mandibular incisors :in fact anterior incisor crowding is associated with arch length deficiency rather than the mere presence of impacted tooth2 – if the orthodontist is attempting to remove the molars distally (distalization) to get space, removal of the impacted third molar may facilitate treatment.
3-interferance with orthognathic surgery especially in mandibular osteotomy or mandibular advancement surgery.
Mosul university- College of dentistry-oral & maxillofacial surgery department
Contra indications for removal of impacted tooth
1 – extreme of age2- compromised medical status
3- possible unnecessary excessive damage to adjacent structures .
4- acute pericoronitis.
5- maloposed and asymptomatic .
Mosul university- College of dentistry-oral & maxillofacial surgery department
Classification of impacted lower third molar
1- Pell and Gregory classification according to the depth or according to the relation of the impacted tooth to the occlusal plane of the lower second molar
2- Pell and Gregory classification according to the relation ship of the lower second molar to the anterior border of the ramus
3- Winters classification according to the angulations of the long axis of the impacted tooth
Why?
Determine the best possible path of removal
Determine difficulty encountered during surgery
Mosul university- College of dentistry-oral & maxillofacial surgery department
according to the depth:
Level A the highest point of the occlusal surface of the impacted tooth lie with or above the occlusal surface of the second molarLevel B the highest point of the impacted tooth lie below the occlusal surface but above the cervical surface of the lower second molar
Mosul university- College of dentistry-oral & maxillofacial surgery department
Level A
Mosul university- College of dentistry-oral & maxillofacial surgery department
Level B
Mosul university- College of dentistry-oral & maxillofacial surgery department
Level C the highest point of the occlusal surface o f the impacted tooth lie below the cervical line of the lower second molar .
Relation of the impacted tooth to the anterior border of the ramus
Class 1 : the space between the lower second molar and the anterior border of the ramus is sufficient to accommodate the mesio distal dimension of the crown of the impacted lower third molarClass 2 : the space between the lower second molar and the ramus is insufficient to accommodate the crown of the impacted tooth .so part of it in the body and the other part lie in the ramus .
Mosul university- College of dentistry-oral & maxillofacial surgery department
Mosul university- College of dentistry-oral & maxillofacial surgery department
Mosul university- College of dentistry-oral & maxillofacial surgery department
Class 3 the anterior border of the ramus lie near the distal surface of the lower second molar ,so ,the whole impacted tooth lie within the ramus .
Mosul university- College of dentistry-oral & maxillofacial surgery department
Impacted tooth in relation to the ramusMosul university- College of dentistry-oral & maxillofacial surgery department
Winters classification of impacted lower third molarMesio angular
Disto angular
Horizontal
Vertical
Inverted
Transverse
Buccoversion
Linguversion
Mosul university- College of dentistry-oral & maxillofacial surgery department
Mosul university- College of dentistry-oral & maxillofacial surgery department
Mosul university- College of dentistry-oral & maxillofacial surgery department
Mosul university- College of dentistry-oral & maxillofacial surgery department
Mosul university- College of dentistry-oral & maxillofacial surgery department
Mosul university- College of dentistry-oral & maxillofacial surgery department
53Mosul university- College of dentistry-oral & maxillofacial surgery department
The difficulty index (Pederson sclae):Angulations Mesioangular 1 , horizontal or transverse 2, Vertical 3, disto angular 4.
Depth : level A value 1 ,level B value 2 ,level C value 3
Ramus relation ship cl 1 value 1, cl 2 value 2 , cl 3 value 3.
summation of the three categories give the difficulty index value
Mosul university- College of dentistry-oral & maxillofacial surgery department
Very difficult 7-10 , moderately difficult 5-7 , minimally difficult 3-4
Example a tooth which is mesioangular B class 2mesioangular =1
Level B =2
Class 2 = 2
Difficulty score =5
This impaction can be expected to be moderately difficult to remove .
Mosul university- College of dentistry-oral & maxillofacial surgery department
Mosul university- College of dentistry-oral & maxillofacial surgery department
Classification of impacted upper third molar1- pell and Gregory according to the relation of the impacted tooth to the occlusal plane of the upper second molar
2- the relation of the impacted upper third molar to the maxillary sinus
Mosul university- College of dentistry-oral & maxillofacial surgery department
According to the depth
Level A the lowest point of the occlusal surface o the impacted upper third molar lie with or below the occlusal plane of the upper second molar.Level B the lowest point of the impacted tooth lie between the occlusal and cervical line of the second molar
Level C the impacted tooth above the cervical line of the maxillary second molar
Mosul university- College of dentistry-oral & maxillofacial surgery department
Relation of the impacted maxillary third molar to the maxillary sinus
Class A sinus approximation ( less than 2 mm bone between the antrum and the impacted tooth )Class B non sinus approximation ( more than 2 mm of bone exist between the impacted tooth and the sinus )
Mosul university- College of dentistry-oral & maxillofacial surgery department
Classification of impacted maxillary canine
Class 1 palataly impacted
Class 2 labially impacted
Class 3 intermediate
Class 4 impacted canine in edentulous patient

































