Other Predisposing Factors for Periodontal Diseases
((Part 3Morphological anomalies of teeth
Enamel hypoplasia leads to rough surface.Cervical enamel projection dip from CEJ into furcation area of molars.
Due to lack of connective tissue attachment ,only long junctional epithelium is interposed between gingiva & tooth.Gingival Inflammation lead to rapid deepening of gingival sulcus.
Its induced natural irregularities,that enhances plaque accumulation & hinders plaque removal.
CEP
Morphological anomalies of teeth
Palatogingival groove:-
It is depression or concavity on cingulum that associated with groove that directed apically.
It is of 3 types;
1- mild groove that don’t reach gingival margin.
2- moderate one, below gingival margin.
3- deep that reaches the tooth apex.
Modifying Factors
Modifying factorsFactors that exaggerate the effect of local factor to oral cavity.
Many systemic diseases,hormonal disturbences and vitamins deficiencies could modify periodontal condition by aggravate preexisting periodontal diseases.i.e. periodontal inflammation that initiated by dental plaque.
Modifying factors
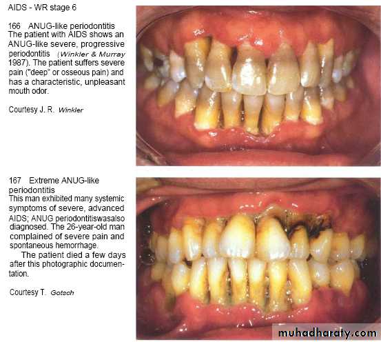
Systemic diseases includes:-• AIDS
• NUG
• NUP
• LGE: Liner Gingival Erythema (A condition in which the edge of the gums near the teeth become red and inflamed e.g. in HIV infection.)
The gingiva (localized or generalized) ( limited to marginal gingiva or extend to attached gingiva)( in a punctuate , a diffuse form or extend to mucosa ) is unresponsive to corrective therapy but may undergo spontaneous remission ,caused by C.dubliniensis)
AIDS
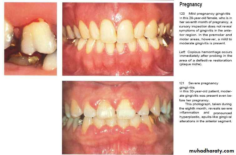
Hormonal disturbances as in pregnancy & puberty
The periodontium shows an exaggerated inflammatory response to plaque modified by female sex hormone(estrogen and progesterone) during puberty, pregnancy, in women taking oral contraceptives and at the postmenopausal stage.Sex steroid hormones directly and indirectly exert influences on cellular proliferation, differentiation and growth in target tissues.
Estrogen can influence the cytodifferentiation of stratified squamous epithelium as well as the synthesis and maintenance of fibrous collagen.
Hormonal disturbances as in pregnancy & puberty
The action of the hormones on these cells changes the effectiveness of the epithelial barrier to bacterial insult and collagen maintenance and repair.The levels of sex steroid hormones in saliva increases during pregnancy resulting in alterations in the microbial populations (Bacteroides melaninogenicus and Porphyromonas gingivalis).
Depression of T-lymphocyte response & destruction of gingival mast cell by increase sex hormones with the resultant release of histamine that aggravate the inflammation.
Pregnancy
Puberty
Vitamin C deficiency
Ascorbic acid is necessary for hydroxylation of amino acid,so its deficiency cause retardation of collagen fibres maturation & maintenance & osteoid formation.Deficiency of ascorbic acid leads to loosened teeth (common feature) ,epistaxis,echymosis,(capillaries permiability & susceptibility to traumatic hemorrhage) impaired wound healing and susceptibility to infection
Drugs induce gingival enlargement
Dilantin Na (antiepileptic drug).Cyclosporine A(immunosuppressant drug that inhibit function of T & B lymphocytes).
Calcium channel blockers
Antihypertensive
Antianginal drug
Pathogenesis of plaque associated periodontal disease
Gingivitis & periodontitis-They are chronic infectious diseases.
-Interaction of host & microorganisms determines course & extent of resulting disease.
-Microorganisms induce pathogenic effects directly by causing tissue destruction themselves, indirectly by stimulating &/or modulating host response.
-Host response mediated by microorganisms & inherent characteristics of host including genetic factors that vary among individuals.
-It have protective effect (prevent local infection from progress to systemic, life threatening infection).
-However, Local destruction of host tissue would result.
Charactaristic of periodontal diseases
Infection caused by group of different species with different biological potential (mixed infection).Synergism
Some bacteria not pathogenic but provide condition that promote virulence potential of others.
Dynamic infection
Pathogenic microorganisms at one stage not important at the others.
Episodic phenomenon;
Acute bursts of disease activity then quiescent period
Burst
deepening of pocket ,detachment of fibres & bone loss occur.
Quiescent
Healing not occur as subgingival bacteria remains & inflammation persist.
Charactaristic of periodontal diseases
1-Burst can be explained as transient impairment of inflammatory response of the host defense ,so bacteria become activated. Reaching of new opportunistic pathogens can infect the pocket.
2-The inflammatory reactions activated in away that the hurts are more than provided protections on the affected side (by mediators).
Charactaristic of periodontal diseases
3-Severity of tissue injury varies from tooth to tooth & from surface to others.Gingivitis can be sustained for prolong time without progression to periodontitis because there are no predisposing or modifying factors.
4-Frequency & severity increase with age & inadequate oral hygyiene.
Dental plaque on crown lead to gingival lesion & when extend to cementum lead to peiodontitis.Age has no effect by itself but has indirect effects
due to longer exposure to local factors.
There will be no inflammation if proper oral hygiene performs
Charactaristic of periodontal diseases
The unique periodontal disease and its progression or regression could be explicable by the following:--The pathogen are not equally virulent (e.g. some isolates of P.gingivalis express virulence and others may not).
-The pathogen must be in the right location (e.g. pocket apex adjacent to the epithelium) and in adequate numbers to initiate disease.
-Local subgingival environment, such as the temperature, osmotic pressure or the concentration of calcium, magnesium or iron are controlled genetically that in turn affects virulence expression.
-Different host susceptibility factors that include defects in poly-morphonuclear leukocyte levels or function, smoking, diet, immunological responses, systemic disease such as diabetes and infections (e.g. human immunodeficiency virus (HIV) infection).

















