Mosul university- College of dentistry-oral & maxillofacial surgery department
Waseem Khalid MahmoodAssistant lecturer
2019-2020
Impacted canine
The impacted maxillary canine
Upper canine are more frequently fail to erupt than lower canine . In both cases malposition of the unerupted tooth is common and in some circumstances the tooth lies a substantial distance from its normal path of eruption .Failure of bilateral upper canines to erupt properly is also a frequent occurrence.Mosul university- College of dentistry-oral & maxillofacial surgery department
Normally, the maxillary canine teeth are the last of the “anterior” teeth to erupt into place. They usually come into place around age 13 and cause any space left between the upper front teeth to close tight together. If a cuspid tooth gets impacted, every effort is made to get it to erupt into its proper position in the dental arch.
Causes of canine impaction
1- disturbance of the long axis of the tooth germ .2-scar tissue in the path of eruption .
3-Failure of the root of the deciduous predecessor to resorbed.
4- ankylosis of the deciduous predecessor
5- congenital absence of the lateral incisors , the root of which may act as a guiding influence for the canines.
Mosul university- College of dentistry-oral & maxillofacial surgery department
-maxillary canines start their development at a higher level than and erupt after the adjacent teeth .
with a greater distance to travel through the bone to its normal position there is an increased chance of deflection from its path .
In a crowded arch , the additional space required for the canine may be taken up by the first premolar which erupted before the canine .
Mosul university- College of dentistry-oral & maxillofacial surgery department
Clinical examination
If by the age of 13 the upper canine have failed to erupt their position should be investigated . By inspection the canine may be partially erupted or there may be an obvious bulge on either the buccal aspect of the alveolar process or in the palate ,which denote its position . A palatal impaction is more common than the buccal.Mosul university- College of dentistry-oral & maxillofacial surgery department
The exact position of the tooth and the precise relationship to other unerupted teeth must be determined .it is of particular importance to determine whether impacted tooth lying labially or palataly to the standing teeth , so that the surgeon knows whether to use a labial or palatal approach. If the impacted tooth lies within the arch of the standing teeth the use of both labial and palatal approach may be indicated .
Mosul university- College of dentistry-oral & maxillofacial surgery department
Palpation of the maxilla through the labiobuccal sulcus may also reveal the crown of the tooth to be high in the maxilla and adjacent to the floor of the nose .
Occasionally the lateral incisor may be proclined due to the presence of the canine crown lying labial to the root . Palatal inclination of the lateral incisor can be caused by a palataly placed canine which is impacted against the apical part of its root .
Mosul university- College of dentistry-oral & maxillofacial surgery department
Radiological examination
The periapical radiograph provide a detailed picture of the tooth and its surroundings and is helpful for demonstrating the degree of root formation of the canine , apical curvature , the existence of any root resorption affecting the adjacent lateral incisor and the presence of an associated cyst .Mosul university- College of dentistry-oral & maxillofacial surgery department
The relative radiopacity of the crown of the impacted canine may assist in the determination of the tooth position (the more radiopaque lie palataly )
The occlusal views are 3 types ,anterior , vertex , and true . the vertex occlusal technique is the only technique used for determination of the true position of the impacted tooth.
Mosul university- College of dentistry-oral & maxillofacial surgery department
the anterior occlusal radiograph is taken the x ray tube is sited at the nasion
the vertex occlusal view the x ray tube is arranged so that the central ray passes along the long axis of the central incisors
the true occlusal view is taken with x ray tube positioned so that the central ray is at right angle to the film
Parallax method in this technique a periapical radiograph of the area is taken and the x ray tube is then moved in either mesial or distal direction before a second periapical film is taken .the two radiograph is then compared and if the impacted tooth seen to move in the same direction as the x ray tube it is lying palataly , whilst if it moves in the opposite direction it is lying labially.
Mosul university- College of dentistry-oral & maxillofacial surgery department
CBCT
methods of treatment of the unerupted canine
1- Leave it in situ2 –Surgical removal
3 - Surgical exposure
4- Transplantation and surgical repositioning .
5- Orthodontic treatment
6- Surgical exposure followed by orthodontic treatment.
Mosul university- College of dentistry-oral & maxillofacial surgery department
Leave it in situ ?It is indicated when :
1- the impacted canine is asymptomatic and in ectopic posistion and its extraction might cause damage to the adjacent teeth or difficult to access .
2- When there is intimate contact between the lateral incisor and the first premolar where it is acceptable from the esthetic point of view.
The patient should be kept under annual review to see if any complication occur .such as resorption of adjacent tooth or progressive widening of the follicular space .
Mosul university- College of dentistry-oral & maxillofacial surgery department
Indications for removal of impacted upper canine
1- before the insertion of complete or partial denture or a bridge .
2- to permit orthodontic alignment of other anterior teeth.
3- where there is resorption of the root of an adjacent lateral or central incisor .if resorption is noticed at time , it may be arrested by removal of the impacted canine , but , if resorption is marked ,exposure of the canine and removal f the lateral incisor should be considered .
4 – where a follicular cyst has developed
Mosul university- College of dentistry-oral & maxillofacial surgery department
Surgical technique
If the canine located buccally a buccal incision should be made and if it is impacted in the palate a palatal approach is required .. If the long axis of the impacted canine lies across the arch with the root lies on one side and the crown on the other both labial and palatal flaps should be reflected from the beginning.Mosul university- College of dentistry-oral & maxillofacial surgery department
In the edentulous patient one incision made along the crest of the ridge will permit access from both aspects .
Incision in the palate should never be made directly over the impacted tooth . If the suture edges of the flap rest over a socket this will lead to the formation of an oroantral or oronasal communication .
Mosul university- College of dentistry-oral & maxillofacial surgery department
Extraction by the buccal approach
Three sided flap is designed so that complete interdental papilla is left at each corner .after the flap has been raised a bony bulge may be visible or palpable indicating the site of the impacted tooth .occasionally there is no clinical indication of the exact position of the tooth .Mosul university- College of dentistry-oral & maxillofacial surgery department
Sufficient overlying bone is removed to expose the crown of the impacted tooth .if root configuration prevent simple elevation the root should be exposed over a good part of its length before further force is applied .if delivery of the canine still can not be achieved , the tooth must be sectioned at its neck and the 2 segments removed separately .
Mosul university- College of dentistry-oral & maxillofacial surgery department
Extraction by the palatal approach
The length of the palatal incision will depend upon whether one or two impacted canines are to be removed .if two canines required extraction the incision line runs in the gingival crevice from the first molar region in one side to the first molar in the opposite side . But if only a single canine is to be removed the incision extend from the first molar in the side of operation to the canine of the other side .Mosul university- College of dentistry-oral & maxillofacial surgery department
The mucoperiosteal flap is raised with a Howarth periosteal elevator ,working from each side toward the midline .the neurovascular bundle passing through the incisive foramen should be divided with a sharp scalpel close to the bone .
Mosul university- College of dentistry-oral & maxillofacial surgery department
Once the palatal mucoperiosteal flap has been raised , the crown of the tooth may be immediately visible , or a bulge may present in the palate and there is a thin layer of bone overlying the crown . The bone should be removed to expose the neck of the impacted tooth .
Mosul university- College of dentistry-oral & maxillofacial surgery department
If the impacted canine is lying in close proximity to adjacent teeth , bone removal must be restricted to the palatal and distal aspect of the tooth .this approach will reduce the risk of damage to the root of adjacent incisor or premolars . After exposing the crown of the tooth , it can be extracted with Copland chisel elevator , otherwise tooth sectioning is required .
Mosul university- College of dentistry-oral & maxillofacial surgery department
When the root of the canine lies across the alveolar process between the root of the standing teeth , in this case both palatal and buccal flaps are raised .
A thin acrylic palatal splint held in place by a clasp on the first molars , will prevent the formation of a hematoma beneath the palatal flap .
Mosul university- College of dentistry-oral & maxillofacial surgery department
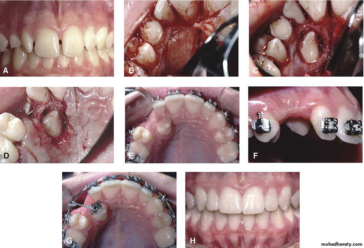
Surgical exposure
An attempt is made to assist the eruption of a malposed and unerupted canine into a functional position . It is considered when :1- there is adequate room in the arch to accommodate the tooth .
2- the potential path of eruption is unobstructed
3- exposure of the crown can be carried out as close as possible to the time at which normal eruption would occur .
Mosul university- College of dentistry-oral & maxillofacial surgery department
The initial stage of the operation is to reflect the mucoperiosteum and to remove the bone overlying the tooth to expose the greatest coronal diameter, the incisal edge and the cingulum . before repositioning the palatal flap a window is excised in it corresponding to the bony cavity containing the crown .the flap is then sutured as usual and a pack of iodoform gauze should be pressed firmly in to the bony defect so as to cover the exposed crown .
Mosul university- College of dentistry-oral & maxillofacial surgery department
This pack should be held in position with suture and left insitu for 2-3 weeks to prevent granulation tissue and mucosa from overgrowing the denuded crown .after removal of the pack the progress of eruption should be observed at frequent intervals .
Following eruption of the tooth , orthodontic treatment may be required to guide it into a good position in the arch . Some times orthodontic traction is arranged at the time of surgery .
Mosul university- College of dentistry-oral & maxillofacial surgery department
Surgical exposure :the path of eruption is not obstructed
Surgical exposure with orthodontic treatment : the path of eruption is obstructed
Surgical exposure with orthodontic treatment (palatal approach )
Transplantation and surgical repositioning
The success rate with transplantation is highest for unerupted teeth which have open apices because of the possibility of revascularization .It is essential to establish that there is sufficient space to accommodate the canine crown. minimal space deficiency may be overcome by grinding of the crown , but otherwise orthodontic therapy may be required to move the premolar distally .
Mosul university- College of dentistry-oral & maxillofacial surgery department
The canine should be extracted carefully and transferred to the surgically prepared socket in the dental arch with the minimum of delay.
It is preferable that the root surface should not be touched either with instruments or fingers as the viability of the cementum and periodontal membrane remnants will determine the success of the transplant. The tooth is stored under the flap until the new socket is prepared .
Mosul university- College of dentistry-oral & maxillofacial surgery department
Root filling is not attempted so as to reduce handling of the tooth . The transplanted tooth should be splinted in its new position for a month after the operation .
Mosul university- College of dentistry-oral & maxillofacial surgery department
Possible complications associated with removal of impacted canines
1- hematoma can some times developed. Patients will return with the hard palate bulging down from the roof of the mouth as a result of a large hematoma collection .this complication can be prevented by acrylic splint fabricated before surgery .Mosul university- College of dentistry-oral & maxillofacial surgery department
2-perforation into the floor of the nose may occur with some post operative nasal bleeding . If a small opening is seen during surgery it should be covered with a small layer of gel-foam or surgicel or collagen membrane before the mucosal closure .
Mosul university- College of dentistry-oral & maxillofacial surgery department




































