CHEST RADIOLOGY
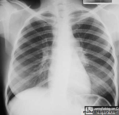
X-ray views1- PA view.
2- lateral.
AP ) ) 3-Lordotic
4-P A penetrated view.
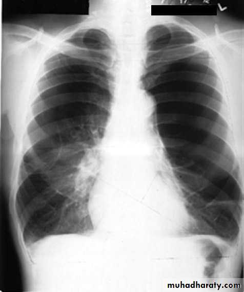
lateral PA view
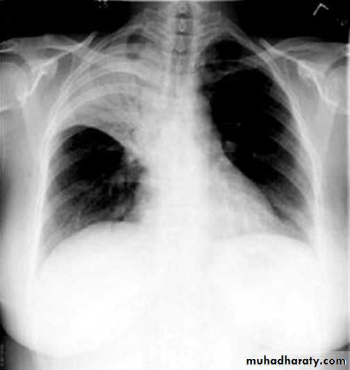
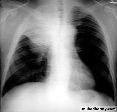
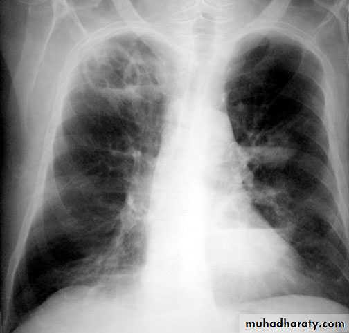
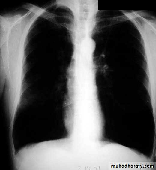
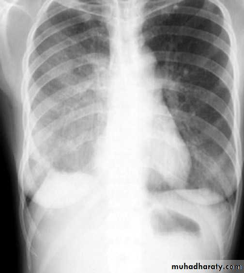
NORMAL PA view
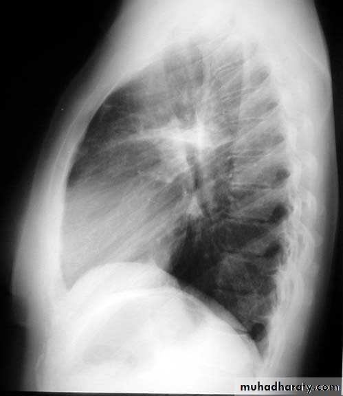
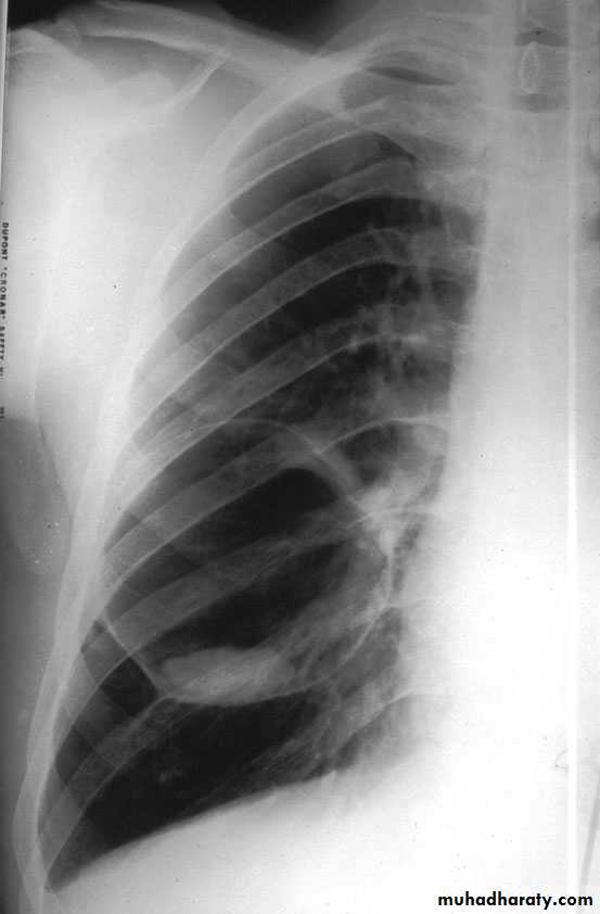
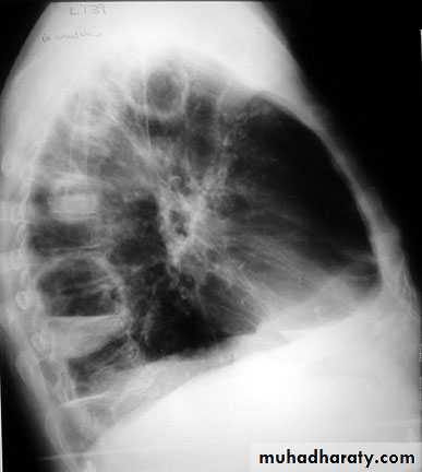
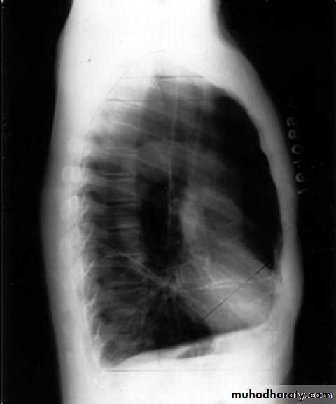
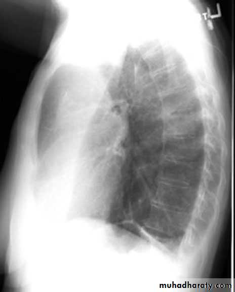
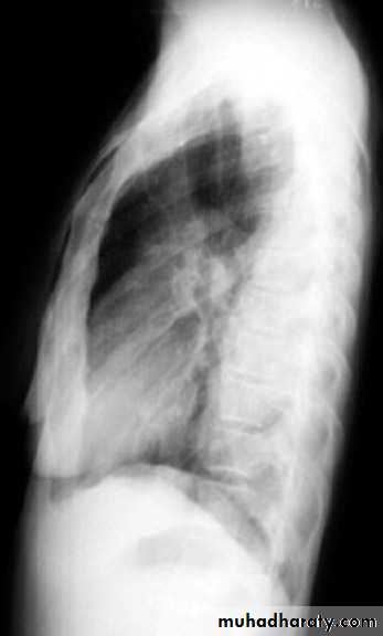
Lateral view position
Normal bronchial tree
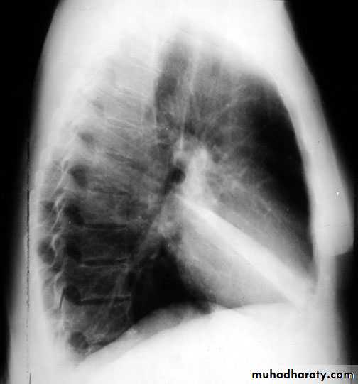
Lordotic view
How to interpret CXR
Pulmonary infection
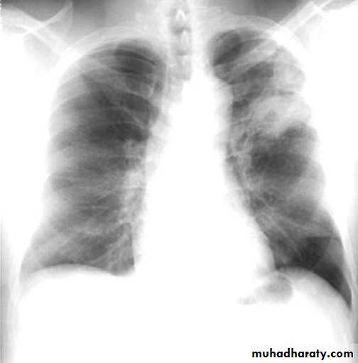
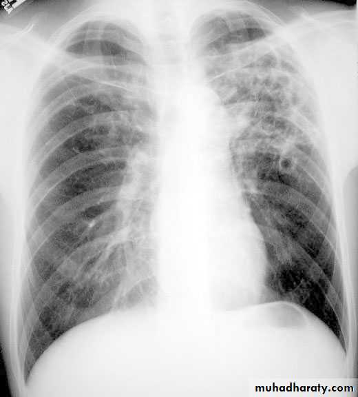
1- Pneumonia.(a) Lobar ( consolidation) pn.
(b) Lobular or broncho pn.
2- Lung Abscess.
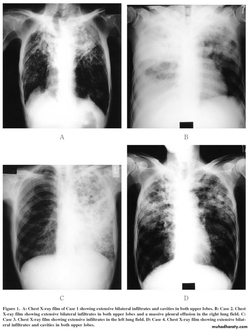
3- Tuberculosis.
Lobar pneumonia with bronchogram.
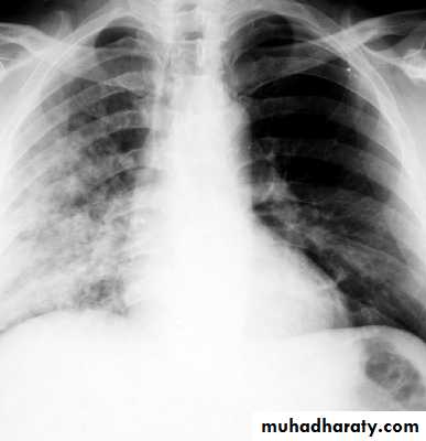
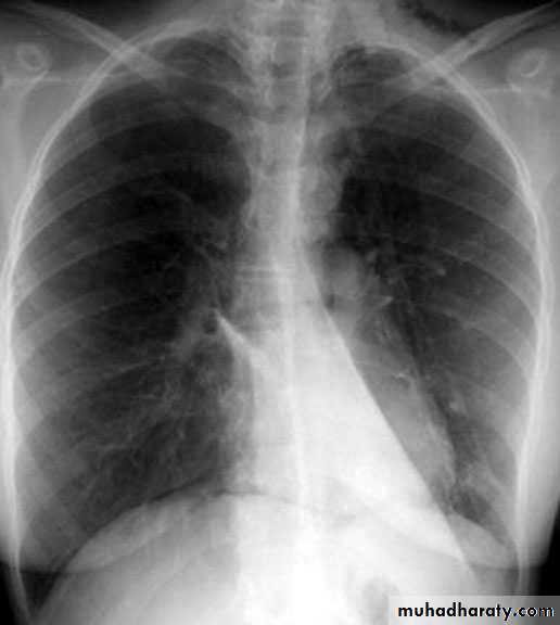
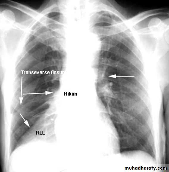
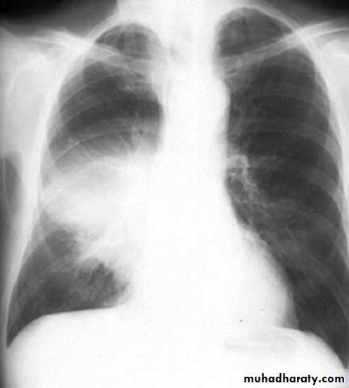
Middle lobe pneumonia
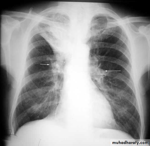
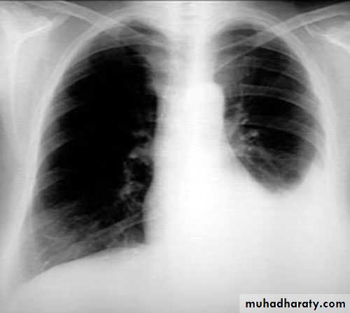
rt.upper lobe pn. Left lower lobe pn.
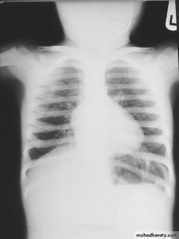
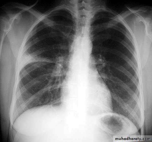
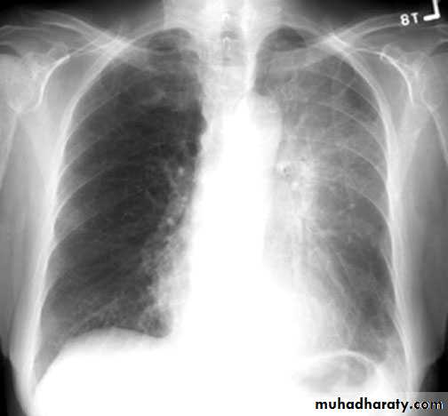
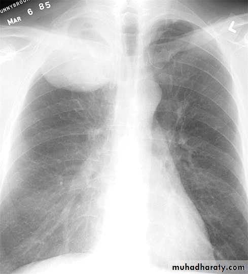
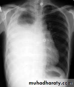
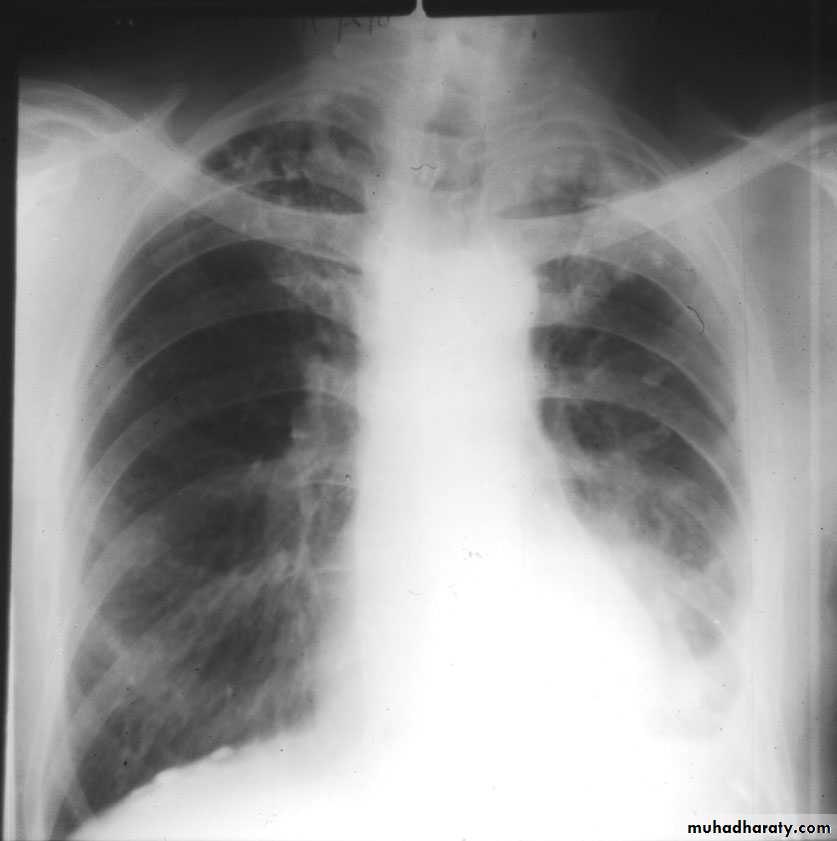
Klebsiella pn. Massive pn.
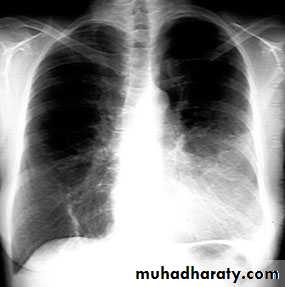
Resolving consolidation
Cavitations in consolidation
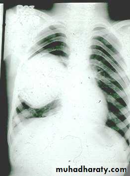
Bronchopneumonia
Lung abscess
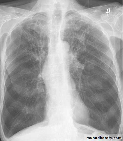
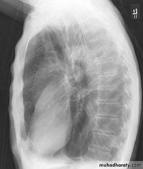
Tuberculosis primary TB
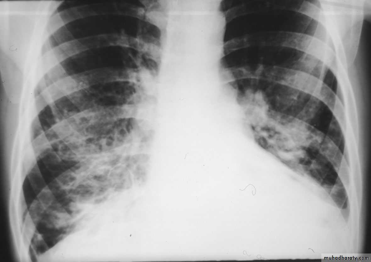
Post primary tb
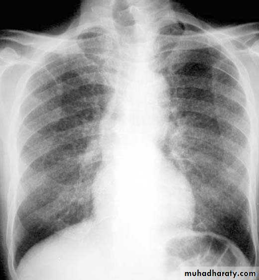
TB lung
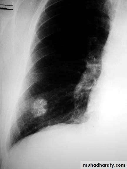
Tuberculoma mycetoma
Miliary tb
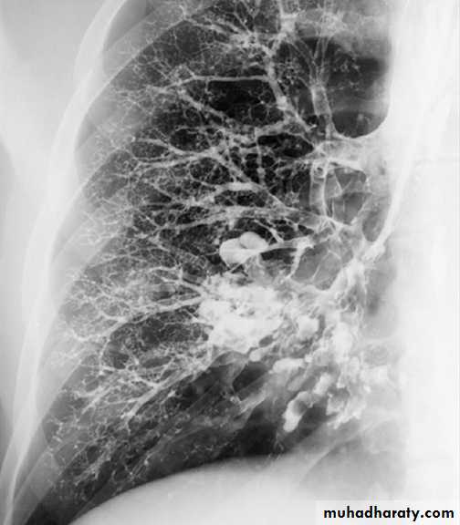
bronchiectasis
bronchiectasis
emphysemaemphysema
Bullous emphysema
Upper lobe c. Middle lobe c.
rt lower lobe c. Left lower lobe c.
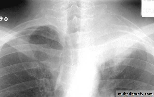
Left upper lobe collapse
Complete rt. & left Lung collapse
Hydatid cyst early rupture
Water lilly sign (ruptured hydatid cyst)
Lung tumour
Pancoast tumour
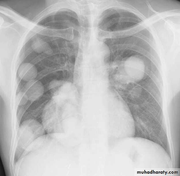
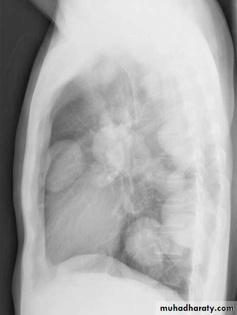
Cannon ball secondaries
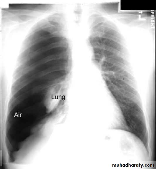
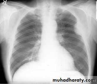
Pleural diseasespleural effusionpneumothorax hydro pneumothoraxpleural calcifications & thickeningpleural tumour
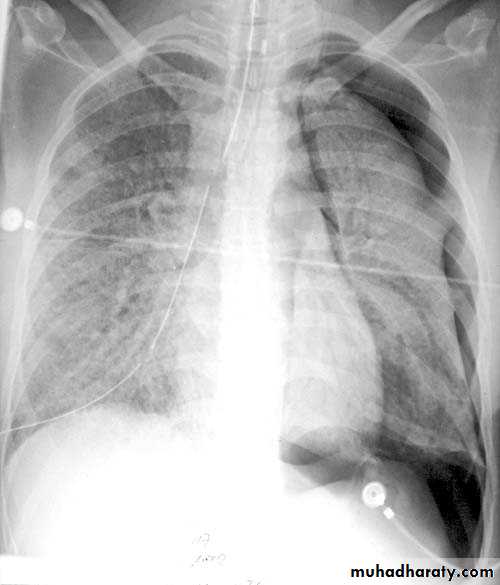
Pleural effusion ( free)
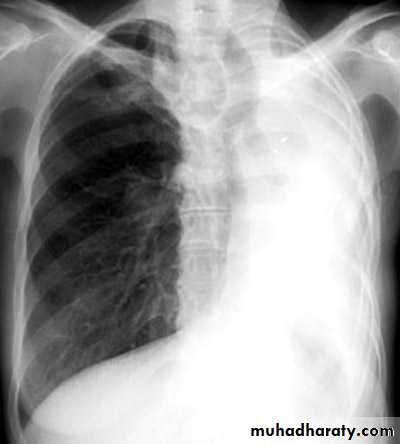
Massive pleural effusion
Lamellar pleural effusion
Encysted peural effusion
Sub costalFissural
Sub pulmonary
Mediastinal












































































